第六章
肺血管病多普勒超声心电图诊断
肺血管是指从起始于肺动脉瓣的肺动脉到肺静脉左心房入口间的整个管道系统。它的生理学特点是低压、低阻和高容量,以确保正常的气体交换及其他功能。肺血管病是指原发或继发引起肺血管功能与结构改变的一组疾病或病变的总称,常见肺血管病包括肺栓塞、特发性肺动脉高压等。超声心动图是诊断、鉴别诊断和评估肺血管病预后的重要的无创性检查方法。
第一节 肺栓塞
一、病理生理
肺栓塞为来自静脉系统或右心的内源性或外源性栓子堵塞肺动脉或其分支,引起肺循环和呼吸功能障碍的临床病理生理综合征。肺栓塞是一个常见、重要又易被误诊的病症。其血流动力学改变主要是造成肺动脉及分支的栓塞,并发肺部细小动脉痉挛,引起肺循环阻力增加、肺动脉高压、右心功能障碍及冠脉循环改变;肺泡死腔增加和通气功能障碍引起的呼吸动力学改变、通气/灌注不匹配、低氧血症。它是许多疾病的严重并发症及致死原因,因此也是各科医生都必须面临的重要挑战。
二、临床表现
由于阻塞肺动脉的栓子大小、阻塞面积及发病缓急的不同,其症状和体征差别较大,轻者可无症状,多数可有呼吸困难、胸痛、咯血,严重者晕厥甚至休克,可因严重循环障碍而猝死。急性肺栓塞常见体征为:发热、发绀、呼吸困难、肺部有哮鸣音及干湿啰音等。有右心负荷增加者出现颈静脉充盈,P2增强,肺动脉瓣区有收缩期喷射音,三尖瓣区收缩期杂音。
三、超声心动图检查
超声心动图对于肺栓塞的诊断是一项重要检查,尤其是血流动力学不稳定的重症急诊患者可在床边检查,对诊断及鉴别诊断均为重要首选方法,且有助于作危险分层、疗效观察和评估预后。肺栓塞的经胸超声心动图检查表现包括直接征象及间接征象,超声心动图在肺栓塞诊断中的作用主要在于检出肺动脉内血栓的直接征象,可以直接诊断肺血栓栓塞,以及对右心系统的血流动力学改变等间接征象进行检测、分析,可以提示或者高度怀疑肺血栓栓塞。
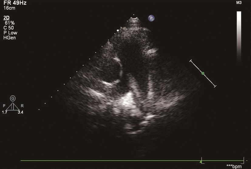
1.直接征象为显示出右心、肺动脉及其左右分支主干内有血栓。①主肺动脉和左右肺动脉内径增宽,探及不规则团块状血栓回声(图6-1-1),多附着于血管壁,以左肺动脉血栓栓塞发病率高,相应肺动脉内团块附着处血流信号消失,其周围流通部分血流流速加快;②右心内探及血栓回声合并右心扩大、肺动脉高压者可直接诊断肺栓塞。此外,上、下腔静脉,肝静脉、门脉系统血栓形成伴有右心室扩大或肺动脉高压也可视为直接征象。
图6-1-1 主肺动脉和左右肺动脉内径增宽,探及团块状血栓回声
肺动脉内发现血栓栓子时,可以直接诊断肺栓塞,但超声发现直接征象的概率较低。主要原因有:①肺栓塞栓子位于肺动脉主干较少,大多位于左右肺动脉分支,而经胸超声仅能显示肺动脉主干、肺动脉分叉处及左右肺动脉近端,左右肺动脉远端显示不清。②急性肺栓塞,新鲜的血栓回声较低,或者可探及范围内血栓团块较小,患者声窗不佳,超声不易识别。
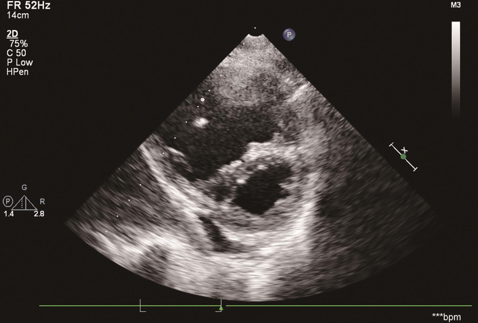
2.间接征象是由于右心室负荷增加所致。①栓子栓塞肺小动脉,右心室充盈压上升,致右心室扩大(图6-1-2),室间隔左移,左心室内径减小;②因右心室收缩负荷过重引起右心室游离壁运动减弱;③肺动脉高压及不同程度三尖瓣反流;④还有肺动脉血流曲线形态的改变。射血前期/射血期(RPEP/RVET)比值增大 >0.3等。仅凭间接征象不能直接诊断肺栓塞,但对于已确诊的肺栓塞患者,通过间接征象,通过超声评估右心室功能不全及血流动力学紊乱,对于治疗的选择、预后的判断具有极其重要的意义。肺栓塞的超声间接征象可以提示诊断,并可在同急性心肌梗死、主动脉夹层动脉瘤、室间隔穿孔等心血管急症的鉴别中发挥重要作用。
图6-1-2 胸骨旁左心室长轴切面显示右心室增大
3.对于确诊肺栓塞的患者,超声心动图能根据右心室功能状态进行危险度分层、选择治疗方案、判断预后及疗效。超声心动图是肺栓塞分层和右心室功能不全评价的最重要技术方法,可见右心室扩张,右心室/左心室舒张内径比率>1.0,右心室游离壁(特别是中段)运动幅度减弱,右心室功能下降伴右心室后负荷增加和右心室搏出功下降,多普勒估测肺动脉压升高,心室间隔左移,收缩期室间隔矛盾运动,左心室舒张充盈障碍(A/E比率>1)等。急性肺栓塞有以上一项即可诊断急性右心室功能不全。在急性肺栓塞的患者,右心室内径和容积开始增大,右心室壁节段运动常伴有一个具有特征性的表现:右心室游离壁中部相对于右心室心尖和心底段呈现矛盾活动。这些表现具有重要的预后意义,并可随肺血管血流动力学的改善而完全逆转。右心室功能不全是急性肺栓塞早期死亡的独立的、强有力的预测因子。超声心动图对肺栓塞死亡的间接预测因子有三尖瓣反流速率增加,>2.6m/s提示肺动脉收缩压升高,中心静脉压增高引起扩张的下腔静脉吸气回陷变小。从预后的观点,超声心动图检查可把肺栓塞分为3组:①低危险肺栓塞组:血压正常无右心室功能不全,住院病死率<4%;②次大块肺栓塞组:右心室功能不全血压正常,住院病死率为5%~10%;③大块肺栓塞组:右心室功能不全伴低血压或心源性休克,住院病死率近30%。
4.欧洲心脏病学会ESC2008急性肺栓塞诊疗指南强调将深静脉血栓形成(DVT)和肺栓塞(PE)的诊断、治疗和预防融于一体的静脉血栓栓塞症(VTE)观。肺栓塞最常见的类型是肺血栓栓塞症(pulmonary thromboembolism,PTE)。PTE的血栓主要来源于深静脉血栓形成(deep venous thrombosis,DVT),PTE与DVT是静脉血栓栓塞症(venous thromboembolism,VTE)在两个不同发病阶段、不同部位的临床表现形式,即PTE和DVT是同一种疾病。肺血栓栓塞外周血管超声:肺血栓栓塞的栓子70%~90%以上来源于下肢深静脉,多见于股静脉、腘静脉及小腿肌间静脉,故下肢深静脉的检查对诊断和防治肺血栓栓塞十分重要。下肢深静脉血栓的超声特征:二维超声心动图见静脉血管管腔增宽,腔内存在中低血栓回声,彩色多普勒血流显像显示断流或者充盈缺损,深静脉血栓超声表现的另一特征征象就是受压后静脉不能像正常血管那样塌陷,且呼吸对下肢静脉回流的影响减弱。下肢静脉的超声检查可以明确肺栓塞栓子的来源,并可观察疗效,对肺栓塞的诊断、预防及预后是必不可少的一项检查。因此,肺栓塞患者的超声检查具有重要的临床意义。
第二节 肺动脉高压
肺动脉高压指肺动脉压力升高超过一定界值的一种血流动力学和病理生理状态,肺循环血流通过受阻,可导致右心衰竭,可以是一种独立的疾病,也可以是并发症,还可以是综合征。肺动脉高压是一种常见病、多发病,且致残率和病死率均很高,应引起高度重视。肺动脉高压的检查方法很多,包括心电图、X线、CT等,但这些检查方法准确性及特异性较差;诊断肺动脉高压的金标准是右心导管检查,但由于其有创,无法作为常规初筛检查手段。随着超声心动图技术的日益发展,且因超声心动图具有无创性、简便性、准确性和可重复性等优势,逐渐成为肺动脉高压的首选检查方法。对于怀疑肺动脉高压的患者,首选多普勒超声心动图检查,除估计肺动脉高压程度外,还可评估是否存在由于肺动脉高压引起的其他心脏结构和形态的改变,如是否存在右心房室扩大,心包积液,左心室收缩功能和/或舒张功能受损,左心是否扩大,是否合并瓣膜病,并探查是否存在能够导致肺动脉高压的心内和/或心外分流。多普勒超声心动图与心导管检查结果相关性高,能够无创性估测PASP,可作为早期筛选肺动脉高压患者的简便、有效手段。超声心动图是肺动脉高压病因诊断与鉴别诊断的重要工具,有时还可以对肺动脉高压的病因做出明确诊断,尤其是发生于各种心血管病基础上的肺动脉高压,如先天性心脏病、二尖瓣狭窄、左心功能减低等。超声心动图所测肺动脉、右心内径、三尖瓣反流最高速度能敏感地反映不同程度肺动脉压力引起心脏结构及血流动力学的变化,可作为临床评价肺动脉高压严重程度的参考指标。
1.M型超声心动图
肺动脉高压时,M型超声可显示肺动脉瓣开放曲线呈W形或V形,主要是由于肺动脉高压患者肺动脉瓣开放是可出现收缩中期关闭或切迹。
2.二维超声心动图
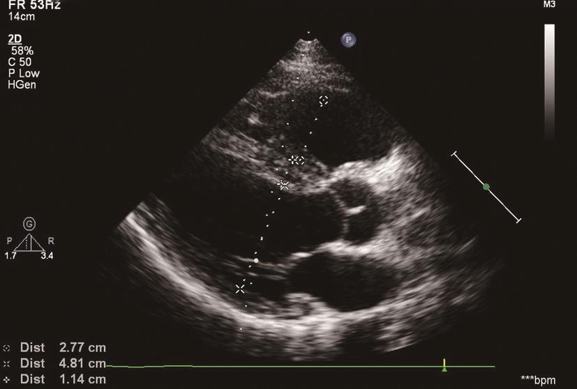
在左心室长轴切面、心尖四腔心切面及大动脉短轴切面,可显示右心房室内径增大,右心室壁厚度的增加>5mm、室间隔形状和运动的异常,左心室受压呈 “D”形(图6-2-1),右心室流出道增宽,主肺动脉及左右肺动脉内径扩张。
3.彩色多普勒及频谱多普勒
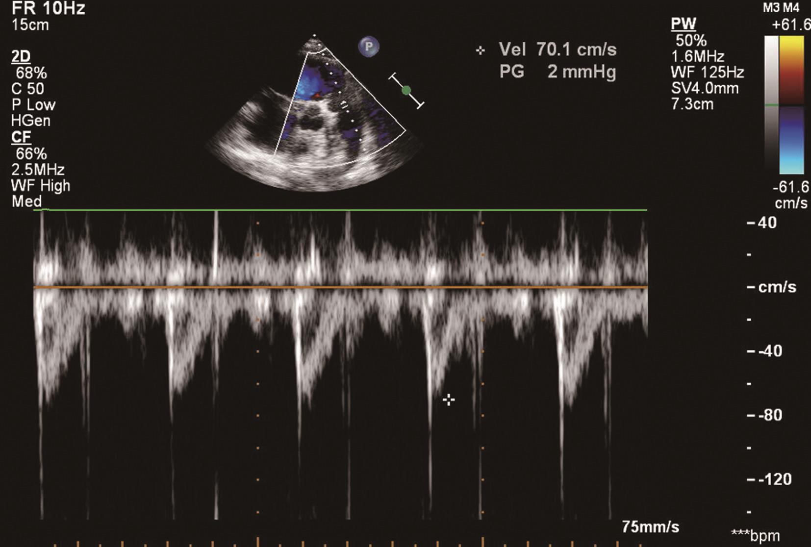
(1)心尖四腔心及大动脉短轴切面收缩期可探及花彩血流自右心室经三尖瓣反流入右心房,连续波多普勒可探及频谱呈收缩期位于基线下方的负向频谱(图6-2-2),并可测量反流的峰值流速以估测肺动脉收缩压。
图6-2-1 右心室增大,左心室呈 “D”形
图6-2-2 连续波多普勒显示三尖瓣频谱呈负向高速频谱
(2)大动脉短轴切面舒张期可见花彩血流信号自肺动脉经肺动脉瓣口反流入右心室流出道。连续波多普勒可探及舒张期位于基线上方的反流频谱(图6-2-3),并可测量反流的峰值流速以估测肺动脉平均压。
图6-2-3 连续波多普勒探及舒张期位于基线上方的肺动脉瓣反流频谱
(3)肺动脉血流频谱测算法:于大动脉短轴或右心室流出道长轴断面观察,将多普勒的取样点置于肺动脉瓣上方,因血流的方向背离探头,收缩期频谱位于基线之下,正常时上升支与下降支基本对称,为层流状态,频谱内部为中空带。肺动脉高压时,肺动脉血流频谱的峰值前移,上升支与下降支不对称,收缩早期时间缩短。
1)加速时间(ACT):加速时间指肺动脉血流频谱起点至顶峰的时间,随着肺动脉压力增高,肺血管阻力增加,ACT逐渐缩短,峰值前移,血流频谱形态从圆钝形转变为三角形(图6-2-4)。
图6-2-4 肺动脉瓣频谱加速时间缩短,峰值前移
2)右心室射血前期(RPEP):RPEP指从心动图QRS波起点至肺动脉血流频谱起始部之间的时间,RPEP时间延长,表明肺动脉压升高。
3)右心室射血时间(RVET):RVET指从肺动脉血流频谱的起点到频谱终点之间的时间。RVET缩短是肺血管阻力增加、肺血流量减少型肺动脉高压的超声特点。
4)RPEP/RVET:肺动脉高压时,右心室射血前期时间延长,而右心室射血时间缩短,两者之间的比值RPEP/RVET增大。
4.肺动脉压的超声测量方法
肺动脉收缩压(SPAP)、肺动脉平均压(PAPm)和肺动脉舒张压(PAPd)的计算公式:SPAP=4×三尖瓣反流峰值速度 2 +右心房压。
三尖瓣反流是临床最常用的筛选肺动脉高压量化指标。通常采取胸骨旁、心尖和剑突下三尖瓣标准切面,利用彩色多普勒证实三尖瓣反流的存在,再用连续多普勒测量三尖瓣反流峰值流速。为避免低估三尖瓣反流速度,应仔细调整声束方向,尽量使声束方向与取样线平行。在少数情况下,需要使用声学造影剂来获取更为清晰的三尖瓣反流频谱。在不合并肺动脉瓣狭窄及右心室流出道梗阻时,肺动脉收缩压(SPAP)等于右心室收缩压(RVSP)。可通过多普勒超声心动图测量收缩期右心室与右心房压(RAP)差来估测RVSP。按照改良柏努力公式,右心房、室压差大约等于4V max 2 ,V max 是三尖瓣最大反流速度(m/s)。RVSP=4V max 2 +RAP。RAP可通过超声心动图测量下腔静脉宽度或通过查体观察颈静脉搏动幅度来估测。成人患者下腔静脉(IVC)≤18mm,RAP=5mmHg;IVC≥18mm,吸气时 IVC塌陷≥50%,RAP=10mmHg,吸气时IVC塌陷≤50%,RAP=15mmHg。
PAPd=4×肺动脉瓣反流舒张末速度 2 +右心房压
PAPm=4×肺动脉瓣反流峰值速度 2
彩色多普勒检测是否存在肺动脉瓣反流,如果肺动脉瓣反流存在,再用连续多普勒测量反流速度,调整声束方向,尽量使取样线与反流束平行,以获取最大反流压差。通过肺动脉瓣舒张早期反流峰值流速及舒张末反流速度可分别估算肺动脉平均压及舒张压。
5.肺动脉高压诊断标准
(1)除外肺动脉高压:
三尖瓣反流速度≤2.8m/s,肺动脉收缩压≤36mmHg,无其他超声心动图参数支持肺动脉高压。
(2)可疑肺动脉高压:
三尖瓣反流速度≤2.8m/s,肺动脉收缩压≤36mmHg,有其他超声心动图参数支持肺动脉高压;三尖瓣反流速度2.9~3.4m/s,肺动脉收缩压37~50mmHg,伴或不伴其他超声心动图参数支持肺动脉高压。
(3)肺动脉高压可能性较大:
三尖瓣反流速度>3.4m/s,肺动脉收缩压>50mmHg,伴或不伴其他超声心动图参数支持肺动脉高压。
6.应用超声心动图的检查时机的建议
当患者临床表现提示肺动脉高压可能时,应立即进行肺动脉高压的筛查。同时也应注意与肺动脉高压明显不相关的异常表现,有助于进一步明确肺动脉高压的类型并确定其严重程度,以便选择合理的肺动脉高压治疗策略及对患者预后进行正确评估。对怀疑患有肺动脉高压的患者,虽然多普勒超声心动图估测的肺动脉压与介入检查相比并不精确,但仍是一种重要的无创筛查手段。对怀疑患有PAH的患者,应采用多普勒超声心动图估测右心室收缩压,观察有无右心房扩大、右心室扩大、右心室壁增厚及心包积液等心脏结构异常。对高危的无症状肺动脉高压患者应进行多普勒超声心动图检查,有助于及早发现肺动脉压的升高。应对肺动脉高压高危人群进行多普勒超声心动图的筛查:如存在肺动脉高压倾向的基因突变、家族性肺动脉高压的一级亲属、肝移植前合并门静脉高压的患者、体-肺分流的先天性心脏病患者、硬皮病患者等。适当的检查顺序是通过超声心动图来筛查可疑患者,对于高度怀疑患者再进行右心导管检查确诊。多普勒超声心动图检查的准确性不仅与其敏感性和特异性有关,也与人群中肺动脉高压的发病率有关。如果人群中肺动脉高压的发病率较低,则多普勒超声心动图检查的假阳性率升高;而对家族性肺动脉高压家系成员进行筛查时的假阳性率比较低。
7.超声心动图对肺动脉高压的病因诊断和鉴别诊断方面的价值
超声心动图是先天性心脏病的首选诊断手段,可明确绝大多数患者的诊断。往往首先确诊先天性心脏病后发现肺动脉高压,或者确诊为先天性心脏病的同时发现肺动脉高压。对病因未明的已确诊或疑诊肺动脉高压患者应采用超声心动图右心声学造影检查,对心内分流特别是右向左分流有重要的诊断价值。如果临床高度怀疑或已明确存在心内分流,应进行经食管超声心动图检查进一步确诊。超声心动图估测肺动脉压的方法主要有三尖瓣反流频谱测压法、肺动脉瓣反流法、动脉水平分流法、室水平分流法等。一般室间隔缺损以室水平分流压差估测肺动脉压力为准,动脉导管未闭以导管水平分流压差估测肺动脉压力为准,没有分流以三尖瓣反流压差估测肺动脉压力为准。
超声心动图可以诊断许多肺动脉高压的病因,如风湿性心脏病二尖瓣狭窄导致左心房压力高,肺静脉压力进而肺动脉压力升高;冠心病心肌梗死导致左心衰竭进而肺静脉和肺动脉高压;各种左右心功能减低的心肌疾病;肺栓塞;缩窄性心包炎等。超声心动图无创便捷,还是瓣膜性心脏病或先天性心脏病合并PAH患者术后随访的重要工具。
左心室舒张功能障碍所致肺动脉高压近来引起越来越多的重视。原理是左心室舒张功能障碍引起左心室舒张末压增加、肺静脉压升高、肺充血、肺动脉压力升高。此类患者往往超声可以显示左心室向心性肥厚而左心室射血分数正常。左心室舒张功能不全发展的三个阶段超声可予以鉴别。第一阶段:舒张早期左心室充盈减少,左心室和左心房压力和顺应性正常,左心房大小正常,左心室充盈量减少导致左心房排空阻抗下降,E/A比值小于1。第二阶段:心室充盈假性正常化,左心室和左心房充盈压增加,左心室顺应性明显下降,超声显示E/A比值大于1,实际上左心室舒张功能明显异常。左心房增大,左心房与左心室舒张末压增加。第三阶段:严重充盈受限,左心室顺应性明显下降,舒张压明显升高,左心房压增加,左心房扩张,收缩性下降,左心室舒张早期充盈速率增加,但左心室压迅速增加,使舒张突然终止,几乎没有晚期充盈,E/A比值远大于1,为舒张功能严重衰竭阶段。超声心动图二尖瓣舒张期频谱结合组织多普勒以及肺静脉频谱可以对上述三个阶段进行鉴别。
第三节 超声心动图对肺血管病右心功能的评价
精确评价右心功能,对了解肺血管病引起的右心室容量和压力负荷过重患者的病情和治疗决策有重要意义。由于右心室是一个不规则的结构,不能以简单的几何模型来描述,因此采用超声心动图测定右心室功能难度较大。随着临床对评价右心功能的日益关注,2010年美国超声心动图学会和欧洲心脏病协会,针对右心功能颁布了新的指南,对指导临床工作具有重要意义。超声心动图是筛查右心衰竭病因和监测病情的重要手段。多普勒组织显像(TDI)测定的三尖瓣瓣环收缩期位移(TAPSE)、右心室收缩和舒张末期面积变化分数(FAC)以及心肌做功指数(MPI,又称Tei指数)等指标是目前评价右心室整体功能的重要指标。
2010年美国超声心动图学会和欧洲心脏病协会指南推荐的右心功能指标如下:
一、右心房室腔结构特点的判断
1.右心室的评价
取心尖四腔心切面,如果右心室心底部舒张末期横径>42mm,右心室中部水平横径>35mm,右心室心底至心尖纵径>86mm视为右心室扩大。右心室扩张源于慢性的容量或压力负荷过重,与右心衰竭有关。右心室舒张末内径被认为是评价慢性肺源性心脏病患者生存率的指标。心尖四腔心切面上右心室与左心室舒张末内径的比值是急性肺栓塞患者临床不良事件及/或住院生存率的预测因子。
2.“D”形左心室
右心室压力或容量负荷过重,右心室的中心向左侧偏移,使室间隔自右向左心室的中心移动,室间隔变平,从而使左心室的短轴切面在收缩期呈现 “D”形。在这种情况下,左心室和右心室的形态关系,可用偏心指数来表示。偏心指数(eccentric index,EI),EI=D1/D2,D1表示与室间隔平行的左心室腔的前后径,D2表示从室间隔到侧壁的垂直于长径的短径。PAH特点:偏心指数>1。正常人:收缩期和舒张期EI均为1(左心室接近圆形)。异常的意义:舒张末期>1,表明右心室容量负荷过重,收缩末期和舒张末期>1,表明右心室压力负荷过重。分析室间隔的运动应在无合并严重传导阻滞的患者中进行,尤其应该避免那些合并左束支传导阻滞的患者。
3.右心室壁肥厚
右心室壁肥厚可提示右心室压增高,通常为右心室收缩压超负荷的表现。如果在右心室壁剑下切面,声束方向需与右心室游离壁垂直,测量右心室游离壁厚度>5mm,视为右心室壁肥厚。
4.右心房的评价
包括三个内容:心尖四腔心切面右心房在心电图收缩末期面积、纵径和横径。如果面积超过18cm 2 ,纵径超过53mm,横径超过44mm,应视为右心房扩大。原发性肺动脉高压者的右心房面积是死亡及心脏移植的预测因子。
5.下腔静脉内径与吸气塌陷率
右心房压可通过测量下腔静脉内径及吸气相塌陷来估测。右侧肋下切面,距右心房0.5~3cm处,测定呼气时下腔静脉内径。如果内径<21mm,吸气时下腔静脉塌陷>50%,估测右心房压为3mmHg;如果内径>21mm,下腔静脉塌陷<50%,估测右心房压为15mmHg;如果内径>21mm,下腔静脉塌陷>50%,或内径<21mm,下腔静脉塌陷<50%,估测右心房压为8mmHg。
二、右心室收缩功能
1.三尖瓣环收缩期位移(TAPSE)
的评价TAPSE>16mm提示右心室收缩功能正常,TAPSE<16mm提示右心室收缩功能不全,<8mm常伴有严重的右心功能障碍。TAPSE的程度可大致地反映RVEF%:5mm=20%EF,10mm=30%EF,15mm=40%EF,20mm=50%EF。
2.右心室面积变化分数(fractional area change,FAC)的评价
右心室面积变化分数(FAC)为心尖四腔心切面右心室舒张末期与收缩末期面积之差与舒张末期面积的比值,是评价右心室收缩功能的指标之一。FAC=(舒张末面积-收缩末面积)/舒张末面积×100%,FAC的正常值:>35%,测值<35%视为右心室收缩功能不全。测量FAC时,需描绘右心室在舒张末期和收缩末期的内膜轮廓,心尖小梁的形成影响心内膜描记的准确性。FAC被认为是肺栓塞患者,心力衰竭、猝死,脑血管意外及/或死亡的独立的预测因子。
3.Tei指数
即心肌运动指数(MPI)通过多普勒方法测量Tei指数,又称右心室心肌功能指数(RIMP),可反映右心室整体功能。Tei指数=(右心室等容收缩时间+等容舒张时间)/射血时间。不受心脏形态、心率、相对不受前负荷等因素的影响。PAH患者Tei指数升高,脉冲多普勒RIMP>0.40,组织多普勒RIMP>0.55提示右心室收缩功能不全。
4.多普勒组织成像S′波速度评价右心室节段功能
将多普勒组织成像的取样容积置于右心室壁各节段,可根据血流频谱中S′波的幅度定量其流速,评价右心室节段功能。S′波血流速度<10cm/s提示右心室收缩功能不全。S′波血流速度<11.5cm/s预测RVEF<45%的敏感性90%,特异性85%,在PAH患者中,S′波血流速度<9.5cm/s是预测RVEF<40%的最佳值。不足之处:TDI测量的心室壁运动速度受角度的依赖性、心脏整体位移、呼吸、和邻近心肌节段运动的影响等,因而,其测量的准确性受到一定程度影响。
三、右心室舒张功能的超声评价
三尖瓣E/A比值<0.8提示右心室舒张功能不全。三尖瓣 E/A比值在0.8 ~2.1伴E/E′比值>6,肝静脉舒张期血流占优势,提示右心室舒张功能重度受损(假性正常化)。三尖瓣E/A比值>2.1伴减速时间<120ms提示右心室限制性充盈。
三尖瓣E/E′比值≥4预测右心房压≥10mmHg具有高度的敏感性和特异性。在慢性心力衰竭和肺动脉高压的患者,右心室舒张功能不全伴心功能级别减退是患者死亡率的独立预测值。
四、负荷超声心动图与肺动脉高压
随着肺动脉高压治疗方法不断进步,患者存活率和功能状态较过去有明显的提高,采取有效的方法早期筛查肺动脉高压患者并及时治疗具有重要意义。运动试验能够帮助早期发现肺动脉高压。对于有肺动脉高压的患者,即使静息状态下肺动脉压力正常,但是运动时常有明显三尖瓣反流。运动诱发的肺动脉压力异常升高,可源于心输出量过高、血流量异常升高,或因肺血管床容量有限导致血管阻力增高。压力阶差(通过三尖瓣反流测得)与血流(通过右心室流出道血流速度-时间积分测算)可能有助于鉴别升高的肺动脉压是源于血流量增加或是阻力增加。
五、未被2010年指南推荐的右心功能指标
较新的几项技术未被推荐,包括三维超声测量右心室容积、右心室壁节段应变和应变率评价右心功能以及二维斑点追踪技术,还需要进一步研究的验证。
1.实时三维超声(RT-3DE)
由于心血管为复杂的立体结构,二维超声在显示心脏病变的病理特征、心腔容积与心功能等方面均存在主观误差和局限性,而实时三维超声心动图(realtime three-dimensional echocardiography)可在同一声窗、同一心动周期显示不同角度的心脏结构,大大提高了其测量的准确性。实时三维超声可以实时、全面地观察心脏的解剖结构,测得的右心室射血分数,在容积测量上不依赖于形状假定,其准确性甚至可与心脏磁共振三维成像媲美。实时三维超声能够准确、同步地测量先天性心脏病患者的左、右心室的容积,从而评估其收缩功能。一项肺动脉高压患者实时三维超声研究结果显示:轻度肺动脉高压患者,先引起右心室容积的改变,而右心室收缩功能通常为正常;在中、重度肺动脉高压患者,肺动脉高压导致右心室室壁肥厚、右心室扩张、重构,形态不规则,肌小梁发达。
2.组织多普勒应变、应变率成像技术在肺动脉高压诊断中的临床应用
组织多普勒应变(strain,S)、应变率(strain rate,SR)成像技术是一种基于TDI的心室功能定量估测的新技术,应变(strain,S)是指物体的形变,心肌应变反映了张力作用下心肌发生变形的能力。应变率(strain rate,SR)是指单位时间内的应变,反映心肌发生变形的速度,即沿超声声束方向上单位长度的速度阶差。排除了心脏整体移动和周围组织牵拉对心肌运动速度的影响,能更加准确客观地评价室壁运动和局部心肌功能。与肺动脉高压患者血流动力学指标相关,可用于右心局部功能的评价。有研究表明:肺动脉高压患者存在右心室的非同步运动,右心室非同步运动应变参数、右心室结构和功能的改变三者之间存在明显的相关性,在肺动脉高压患者右心室功能衰竭发展过程中起到了不同的作用,提示右心室非同步应变参数可用于早期评价肺动脉高压患者的右心室功能。一项评估肺动脉高压患者右心室局部与整体心功能的研究表明:肺动脉高压患者右心室游离壁及室间隔心肌收缩速度、应变与应变率等指标均较正常人明显减低,且与右心室容积及射血分数高度相关。但应变、应变率数据测量变异性比较大,可信区间比较宽,需要特殊软件脱机处理,限制了其临床应用。
3.二维斑点追踪应变、应变率成像技术
斑点追踪技术(speckle tracking imaging,STI)通过追踪心肌斑点的运动计算速度与应变,解决了组织多普勒应变成像、应变率成像受角度和应变长度影响的问题,可用于研究心肌的纵向、径向、和轴向运动。有研究应用二维斑点追踪技术对肺动脉高压患者右心室功能的研究表明:肺动脉高压患者右心室游离壁各节段的收缩期峰值应变、应变率、舒张早期峰值应变率及舒张晚期应变率均较正常人明显减低,且与肺血管阻力及肺动脉收缩压有良好的相关性。说明二维应变是评价肺动脉高压患者右心室功能的一种有价值的方法。
综上所述,超声心动图在肺血管疾病诊断中的价值主要在于:①根据三尖瓣反流或者肺动脉瓣反流速度评估有无肺动脉高压,以及肺动脉高压的程度;②判断病因,寻找有无左向右分流等先天性疾病、二尖瓣狭窄、左心收缩及舒张功能减低、肺动脉栓塞等引起肺动脉压力升高的基础疾病;③评价右心系统结构、功能、以及血流动力学改变。
(王浩 王燕)
参考文献
1.程显声。肺栓塞的临床表现与初步诊断。中华心血管病杂志,2001,29(5):262-263.
2.程芮,杨浣宜。超声心动图在肺栓塞诊断中的价值。中华超声影像学杂志,1999,8(1):51-52.
3.Konstantinides SV,TorbickiA,AgnelliG,etal.2014ESC Guidelines on the diagnosis and management of acutepulmonary embolism.EurHeartJ.2014,35(43): 3033-3069.
4.王新房。超声心动图学。第4版。北京:人民卫生出版社,2009.
5.Lawrence GR,Wyman WL,Jonathan A,et al.Guidelines for the Echocardiographic Assessment of the Right Heart in Adults:A Report from the American Society of Echocardiography.J Am Soc Echocardiography,2010,23(7): 685-713.


