第七章
肺血管病普通放射学诊断
第一节 胸部X线检查及基本征象
普通X线胸片可以清楚显示心脏、肺实质及肺(血管)纹理,是观察与评价肺循环的最佳检查方法,为肺血管疾患的临床诊断提供重要信息,应该合理加以应用。
一、X线胸片检查
目前普通X线胸片均采用直接数字成像摄影术(digital radiography,DR),或计算机成像摄影术(computed radiography,CR)。
普通X线胸片检查包括后前位片(或称远达片),左侧位片;必要时还包括左、右前斜位片。
(一)心脏远达片
X线管球焦点-胶片距离200cm的后前位片,此时的X线束几近平行,因此,心影的放大率较小(<5%),可用于心脏及其径线的测量。
(二)左侧位片
用于观察心、胸前后径;对于观察心脏-胸骨后间隙,评价右心室增大有一定价值。对胸廓畸形(如漏斗胸、鸡胸、桶状胸、直背等),主动脉瘤与纵隔肿瘤鉴别诊断、定位诊断有重要价值。
(三)左前斜位片
常规为左前斜位45°~60°对于显示胸主动脉全貌和分析右心房、室及左心房、室形态及大小有重要价值。
(四)右前斜位片
常规为右前斜位45°,同时服钡剂观察左心房增大对食管的压移;也用于观察右心室流出道增大变化。
上述四个位置针对心脏检查的X线胸片,可根据临床诊断需要进行选择。通常心脏远达片及左侧位片是必需的。
二、阅读普通X线胸片
普通X线胸片可以清楚显示胸廓、肺脏、心脏、大血管及横膈(图7-1-1)。
普通X线胸片读片与分析:①首先观察胸廓,包括骨骼及胸壁软组织;②对肺(血管)纹理、肺实质,自肺门向外围按肺野内、中、外带逐步观察;③观察纵隔、心脏、大血管的位置、形态、大小;④横膈全貌。
三、心脏增大X线征象
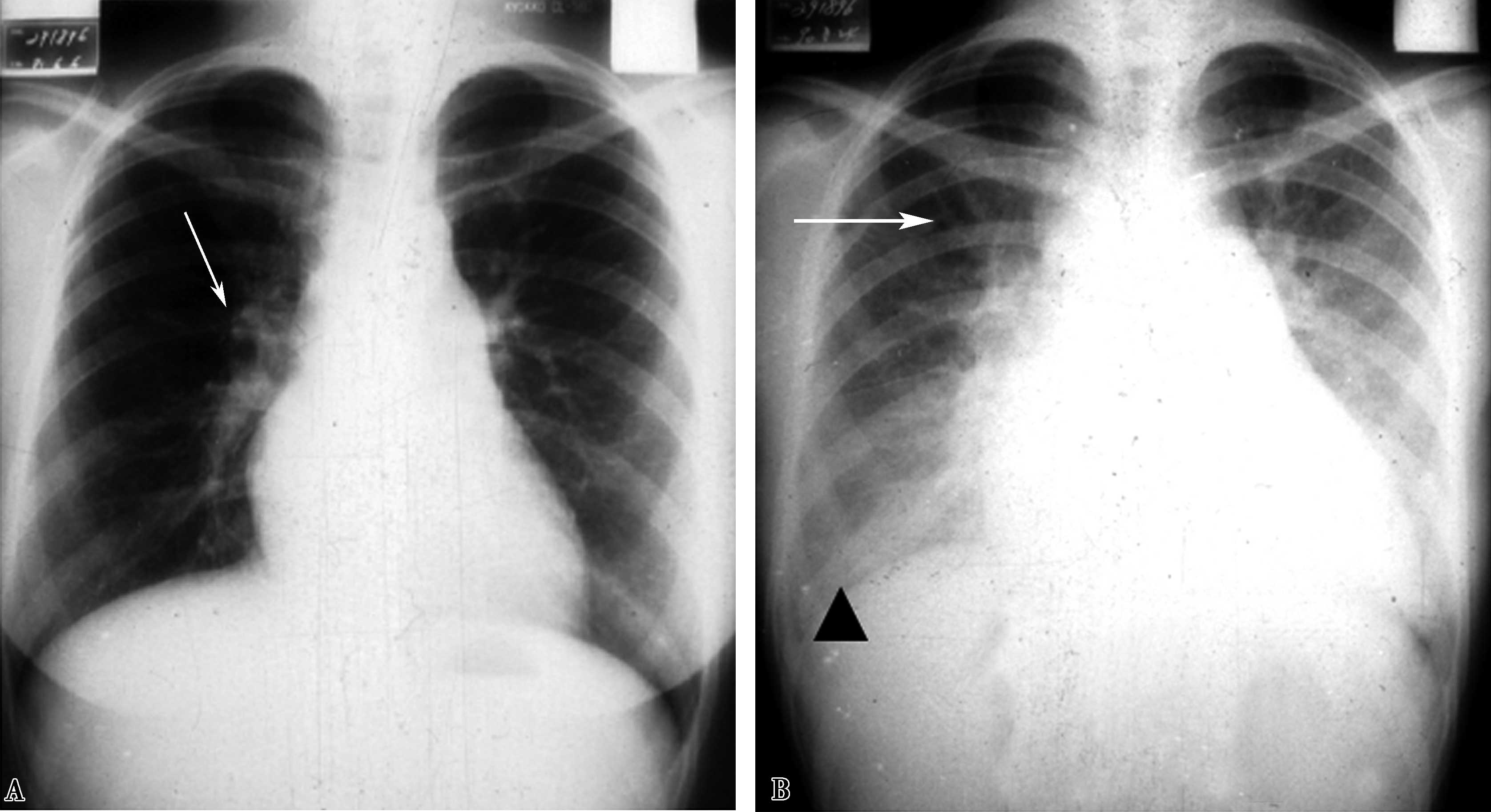
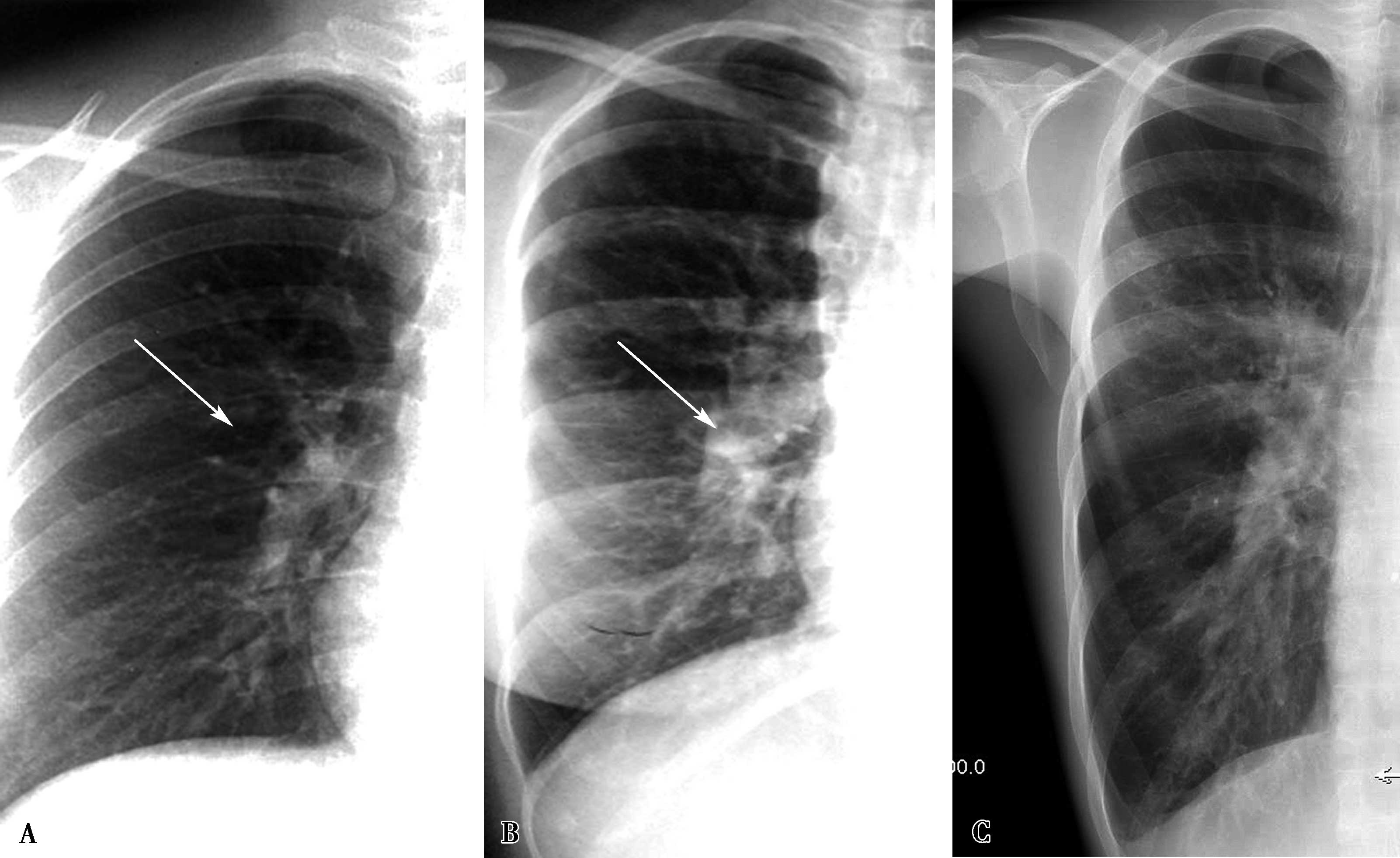
(一)左心房增大(图7-1-2)
1.远达片
左心房耳部膨隆;气管隆突角度开大;左心房高度增大时,可以向心右缘凸出(图7-1-2A↑)。
2.左前斜位
心脏后上缘膨隆,左主支气管抬高(图7-1-2B↑)。
3.右前斜位
心后缘膨隆,服钡食管中段压迹,左心房增大推压食管向后移位(图7-1-2C)。
4.左侧位
心后缘膨隆,服钡食管中段压迹,依左心房增大程度推压食管向后移位。
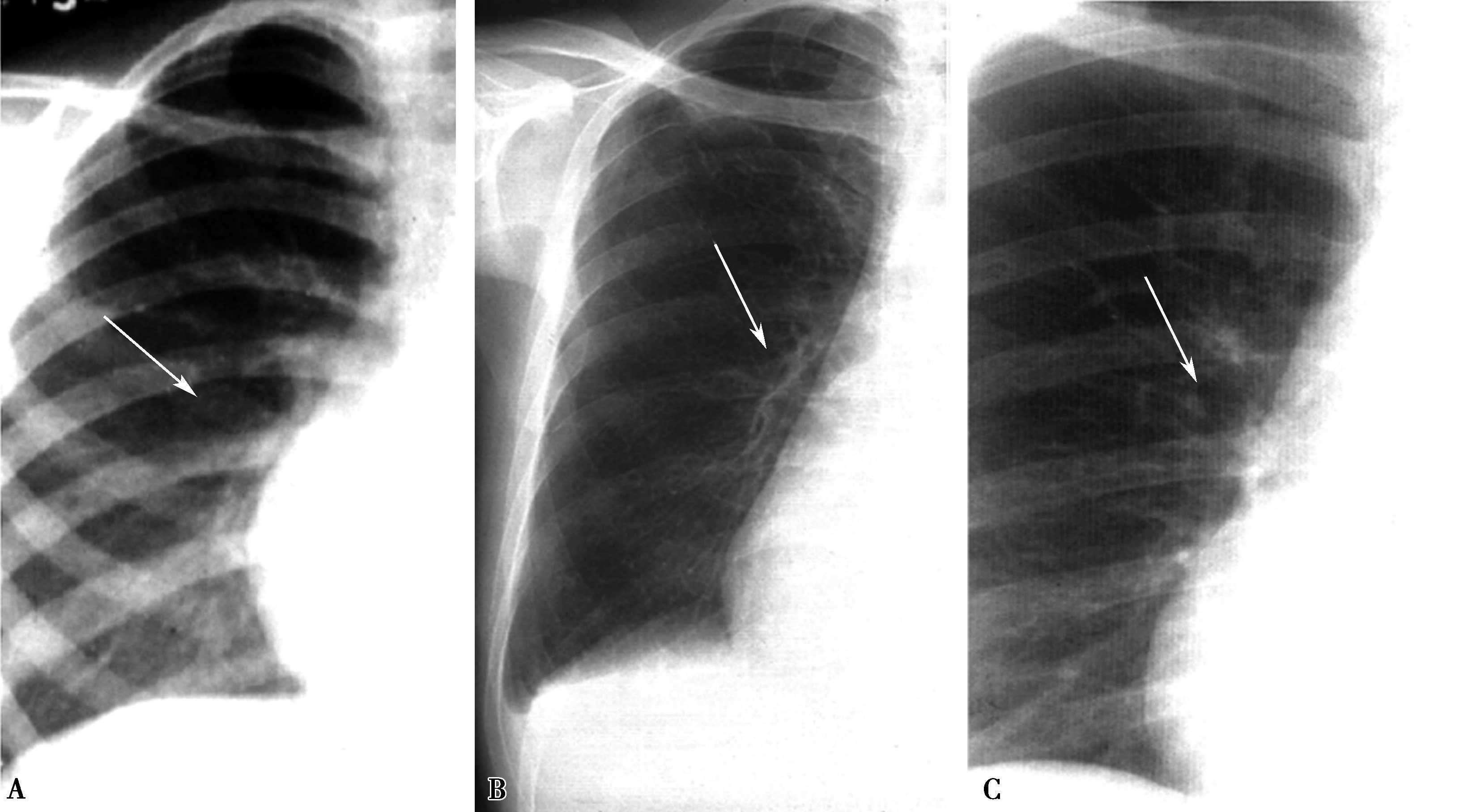
(二)左心室增大(图7-1-3)
1.远达片
左心室缘向左膨隆、向下延伸,心尖下垂可达左膈下(图7-1-3A↑)。
2.左前斜位
心脏后下缘向后膨隆,心后间隙消失,后室间沟下移(图7-1-3B↑)。
3.左侧位
心脏后下缘向后膨隆,心后间隙消失(图7-1-3C↑)。
图7-1-1 心脏远达及左侧位X线片及模式图
A.心脏远达X线片,B.胸部正位X线片模式图:1右无名静脉;2上腔静脉;3奇静脉;4右上肺动脉;5右上肺静脉;6右下肺动脉;7右心房;8右下肺静脉;9三尖瓣口;10下腔静脉;11主动脉弓;12左肺动脉;13主肺动脉;14肺动脉瓣口;15左心房耳部;16主动脉瓣口;17二尖瓣口;18左心室;19右心室,C.心脏左侧位X线片,D.胸部左侧位模式图:1上腔静脉;2主肺动脉;3升主动脉;4肺动脉瓣口;5右心房耳部;6主动脉瓣口;7三尖瓣口;8右心室;9左肺动脉;10右肺动脉;11降主动脉;12左心房;13肺静脉;14二尖瓣口;15左心室;16下腔静脉
图7-1-2 左心房增大征象
A.远达片;B.左前斜位;C.右前斜位
图7-1-3 左心室增大征象
A.远达片;B.左前斜位;C.左侧位
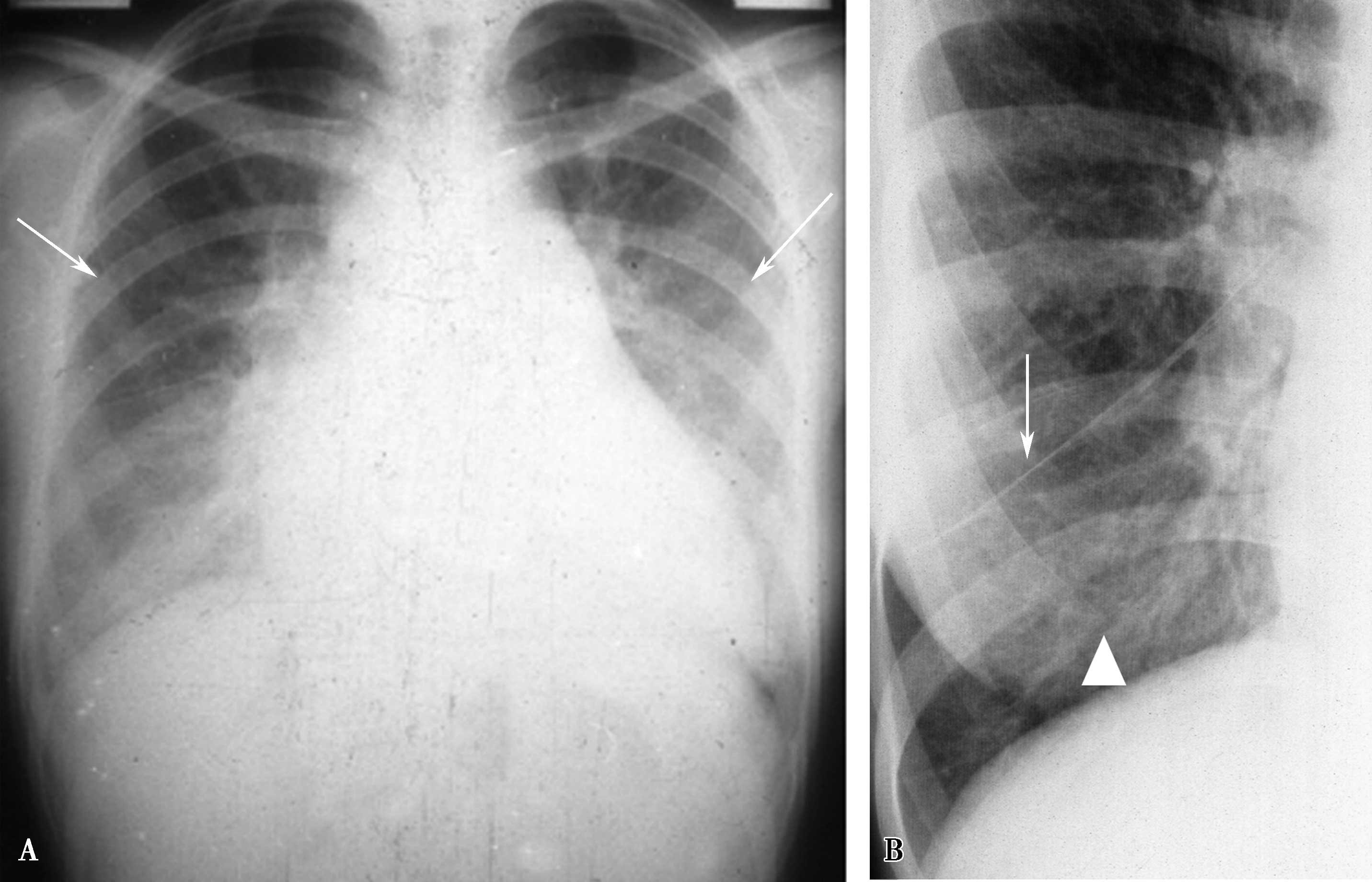
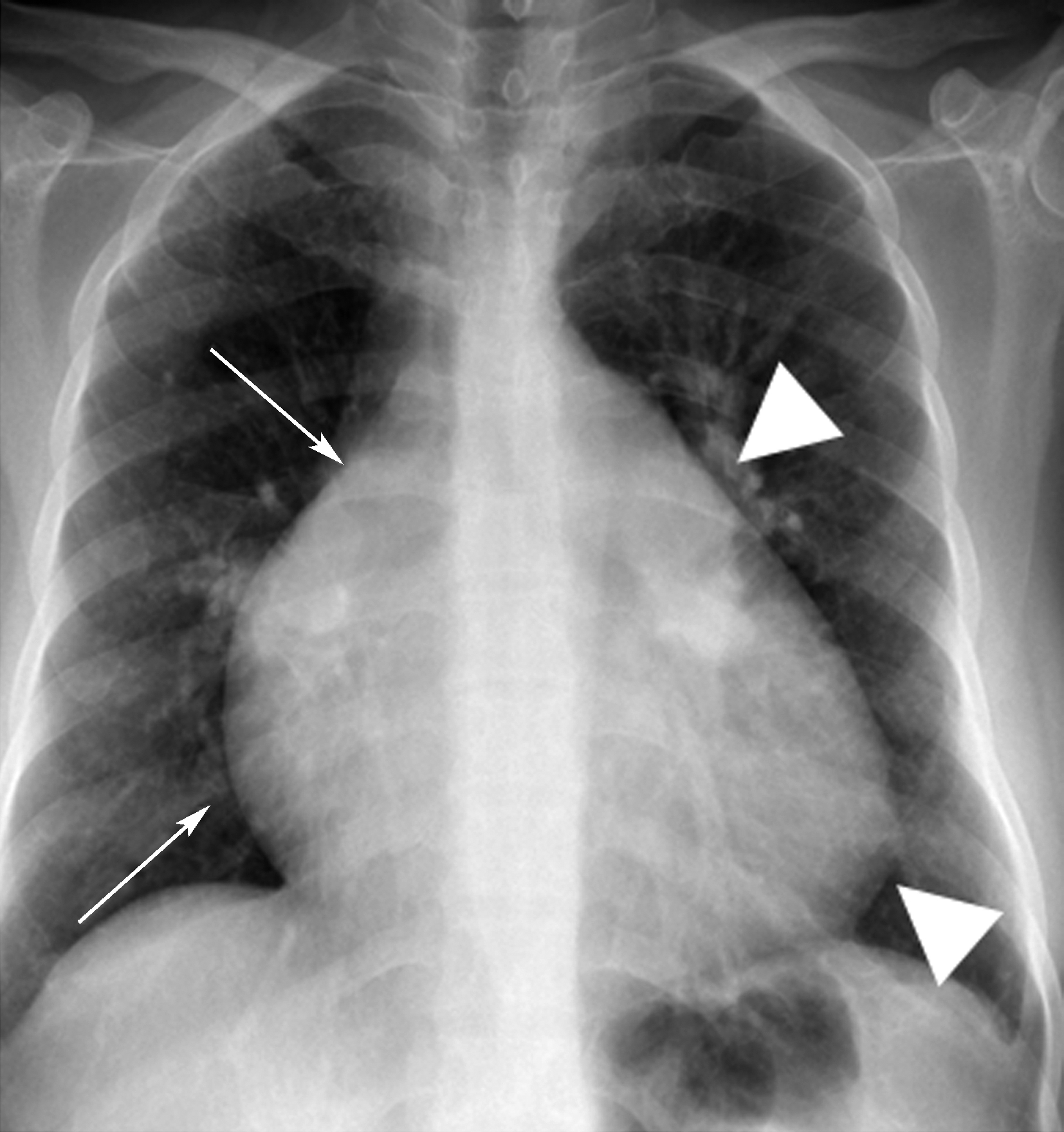
(三)右心房增大(图7-1-4)
1.远达片
心脏右缘(右心房段)向右、上膨隆;右心房高度增大、相反搏动点上移(图7-1-4A↑)。
2.左前斜位
心前缘向右、上膨隆,心前间隙缩小,如果右心室增大不相称,心前缘有成角现象(图7-1-4B↑)。
3.右前斜位
心后缘向后膨隆,与服钡食管仅是重叠无推移现象(图7-1-4C↑)。
图7-1-4 右心房增大征象
A.远达片;B.左前斜位;C.右前斜位
(四)右心室增大(图7-1-5,图7-1-6)
1.远达片
心脏左右缘膨隆;心尖圆隆、上翘;肺动脉段及圆锥部膨隆(图7-1-5A↑)。
2.左前斜位
心前缘向前膨隆,心-膈面延长,心前间隙缩小;后室间沟上移(图7-1-5B↑)。
3.右前斜位
心前缘向前膨隆,心前间隙缩小,肺动脉圆锥部膨隆(图7-1-5C↑)。
4.左侧位
心前缘向前膨隆,心前间隙缩小,肺动脉圆锥部膨隆(图7-1-5D↑)。
四、肺循环异常的X线征象
肺循环主要由肺动脉和肺静脉系统所组成。不同的疾患常可引起肺循环不同的血流动力学改变,分析肺循环的异常X线征象,对心-肺血管疾患的诊断和鉴别诊断、评价心功能及疾病状态有重要意义。肺循环异常主要包括:
(一)肺血增多
肺动脉血流量增多,肺动脉及分支充血、扩张,又称肺充血。主要见于左向右分流或有动静脉血混合的双向分流的先天性心脏畸形,如房、室间隔缺损,动脉导管未闭,不合并肺动脉狭窄的大动脉转位、单心室畸形等。体动-静脉瘘、甲状腺功能亢进、发热、缺氧等右心排血量增加也可表现肺血增多。冠心病心肌梗死室间隔穿孔者也可见肺血增多。
X线表现见图7-1-7。
图7-1-5 右心室增大征象
A.远达片;B.左前斜位;C.右前斜位;D.左侧位
图7-1-6 右心房、室增大征象 右心房增大(↑),右心室增大(▼)
图7-1-7 X线表现
A.轻度增多(右下肺动脉轻度增宽↑);B.中度增多(右下肺动脉中度增宽↑,肺内、中带血管增粗);C.高度增多(右下肺动脉高度增宽↑,肺内、中带血管增粗)
1.肺血管(动脉)纹理增粗、增多,可波及中外带肺野,增粗的纹理边缘清楚。
2.肺门影增大,主要是动脉部分增粗增大,肺动脉段突出,搏动增强,肺门舞蹈征。
3.肺野透过度正常。
(二)肺血减少
肺动脉血流量减少,肺动脉分支变细及稀少,又称肺缺血,主要见于右心排血受阻疾患,如肺动脉瓣狭窄、心脏三联症、四联症、肺动脉闭锁等。此外,见于肺动脉血栓栓塞,一侧肺动脉发育不全或缺如,以及各种病因引起的重度肺动脉高压,可以显示中心肺动脉扩张,而外围肺血减少。
X线表现见图7-1-8。
图7-1-8 X线表现
A.轻度肺血减少(右下肺动脉稍细↑);B.中度肺血减少(右下肺动脉中度变细↑);C.重度肺血减少(右下肺动脉明显变细,或不可见↑)
1.肺动脉血管纹理纤细、稀疏。
2.肺门阴影动脉缩小(右下肺动脉变细,图7-1-8↑),搏动减弱或呈静止状态。肺动脉段可因不同情况而表现突出(见于肺动脉瓣狭窄、肺动脉高压),或平直或凹陷(见于右心室流出道狭窄)。肺动脉瓣狭窄可表现两侧肺门(动脉)不对称,左侧大于右侧。
3.肺野透亮度增加。
4.严重的肺动脉狭窄或闭锁,可出现侧支循环,X线表现为肺内可见粗乱血管的网状阴影,扭曲、粗细不均,走向无规律。
(三)肺静脉高压
1.肺淤血
肺静脉压力升高(>10mmHg)可致肺静脉淤积,早期为毛细血管及肺小静脉扩张,可有少量血浆外渗。首先累及下肺静脉,发生下肺静脉收缩,造成血液再分布,上肺静脉扩张(图7-1-9A↑)。主要见于二尖瓣病变(尤其是狭窄)、左心房肿瘤;各种原因引起的左心功能不全(如冠心病、高血压、心肌病、主动脉瓣病等);肺静脉狭窄、梗阻性病变(先天性或获得性)。
X线表现见图7-1-9A(↑)。
图7-1-9
A.肺淤血;B.间质性肺水肿(↑,▲);C.肺泡性肺水肿
(1)肺纹理,普遍增多,稍增粗,边缘模糊;胸膜下间隔线增多,尤以中下肺野为著。
(2)肺门影增大,尤其是上肺门影增宽,反映上肺静脉扩张,下肺静脉正常或变细。肺门影边缘模糊。
(3)肺野透过度降低。
(4)肺内含铁血黄素沉积,钙化或骨化灶(慢性肺静脉高压,含铁血黄素沉积)。
2.肺水肿
当肺静脉压升高超过血浆胶体渗透压(>25mmHg),则可发生水分外渗,而引起肺水肿。首先渗入到肺间质出现间质性肺水肿;随着肺静脉压的进一步升高,出现肺泡性肺水肿。由心脏疾患引起的肺水肿,称心源性肺水肿;此外如肾炎、尿毒症、输液过量、吸入刺激性气体、过敏反应、创伤性或颅脑病变等也可发生肺水肿。
(1)间质性肺水肿X线表现在上述肺淤血基础出现(见图7-1-9B)
1)间隔线—Kerley A、B、C线:A线长约5~10cm,宽约0.5~1mm,自肺野外围斜行引向肺门的线状阴影,多见于上叶(b↑)。B线长约2~3cm,宽1~2mm,呈水平横线,最多见于中下肺野外带,特别是肋膈角区(b▲)。C线在中下肺野呈网格状阴影(参阅图7-2-7▲)。
2)叶间胸膜影增厚,肋膈角变钝,反映叶间和肋膈角少量渗液。
(2)肺泡性肺水肿X线表现(见图7-1-9C):
以肺门为中心大片模糊阴影向肺野外围扩散,呈“蝴蝶状”或 “翼状”,肺尖、肺底及肺外围相对清晰。可以两肺广泛分布、或一侧、单一肺叶分布。随着治疗和病情变化,阴影在短期内变化较大,为其特点。
(四)肺动脉高压
当静息时肺动脉平均压(MPAP)≥25mmHg或运动状态下肺动脉平均压≥30mmHg即为肺动脉高压。按其程度,肺动脉平均压为26~35mmHg、36~45mmHg和>45mmHg分别轻、中和重度肺动脉高压。不同病因所致的各种类型肺动脉高压,因病理生理、病理解剖基础不同,表现也有一定差异,但肺动脉高压的基本X线征象相同。
X线主要表现(图7-1-10):
1.肺动脉段突出。
2.肺门动脉扩张,右下肺动脉径>1.5cm(成人),外围分支扭曲,纤细以致稀疏、减少。
3.右心室增大。侧位肺动脉圆锥膨隆,心前间隙缩小(图7-1-10B↑)。
图7-1-10 X线胸片示肺动脉高压:肺门动脉增宽,右下肺动脉>1.5mm(↑),肺动脉段高度凸出(↑),右心房室增大(↑)。A.左-右分流先天性心脏病,肺动脉高压;B.↑侧位肺动脉圆锥膨隆,心前间隙缩小
第二节 普通X线检查在肺血管病诊断的应用
普通X线胸片可以反映心肺全貌,可以反映肺循环的变化;同时,可以反映肺实质及肺间质的征象,以提示其心-肺病理变化,为诊断提供多种信息,是其他影像学所无法比拟的。
一、肺血多
(一)两肺血均匀增多
主要见于左-右分流先天性心脏病。此外,体动-静脉瘘、甲状腺功能亢进、发热、缺氧等右心排血量增加也可表现肺血增多。冠心病心肌梗死室间隔穿孔者可见肺血增多。少量左-右分流X线片多无阳性所见(图7-2-1)。
图7-2-1 女,29岁,心悸;超声心动图示:心内结构未见异常
X线片(A)示两肺血均匀增多,右心轻度增大;诊断为少-中等量左-右分流先天性心脏病,房水平可能性大。CTA(B)证实为部分性(心上型)肺静脉畸形引流。SVC:上腔静脉;LSPV:左上肺静脉;PA:主肺动脉;RA:右心房;RV:右心室
(二)两肺血不均匀增多
X线表现为以一侧肺、肺叶或肺段分布的肺血增多(图7-2-2)。见于:①先天性肺动静脉畸形,如肺动静脉瘘;②获得性肺动脉疾病,如各种病因导致部分肺动脉狭窄-闭塞,血流再分布,正常肺血管代偿性扩张(图7-2-2)。
二、肺血少
(一)两肺血均匀减少
主要见于右心排血量减少,如先天性三尖瓣畸形,获得性三尖瓣狭窄、关闭不全;右心室梗阻性异常肌束,流出道狭窄,肺动脉瓣或瓣上狭窄等(图7-2-3)。
图7-2-2 女,39岁,气短,左手无脉。ECG:RVH;X线片(A)示两侧肺血不对称,右侧肺血少,右下肺动脉纤细(▲);左侧肺血多(↑);肺动脉段凸,右心增大,肺动脉高压。X线片诊断:大动脉炎 “肺动脉型”,肺动脉高压。诊断经造影证实(B)
图7-2-3 肺动脉瓣狭窄。A.胸部X线片示肺血减少,肺动脉段凸出,右肺门动脉细小(↑),右心增大;B.右心室造影侧位像,示肺动脉瓣 “喷射征”(↑),为重度肺动脉瓣狭窄
(二)两肺血不均匀减少
X线表现为按一侧肺或按肺叶、肺段分布的肺血减少。见于:①先天性肺动脉畸形,如一侧肺动脉缺如、叶-段局部肺动脉狭窄;②获得性肺血管疾患:各种病因导致局部肺动脉狭窄-梗阻(如血管炎,肺栓塞等);③胸-肺部疾患,如肺气肿、肺大疱等导致局部肺血减少。
1.大动脉炎 “肺动脉型”(图7-2-4)
X线征象:①肺血分布不均匀;②受累血管供血区肺血减少;③正常部分代偿性肺血增多。
图7-2-4 女,37岁,大动脉炎(肺动脉型),右肺动脉重度狭窄。右侧肺血减少
A.心脏远达,右肺血减少,右心室增大;B.CTPA三维重建(VR),示右肺动脉重度狭窄(↑)
2.先天性一侧肺动脉缺如(图7-2-5)
图7-2-5 男,20岁,先天性一侧肺动脉缺如 右侧肺透过度增高,肺血明显减少(▲)。右膈升高(↑),右肺容积减小;右心增大,肺动脉高压
三、肺淤血
(一)两肺淤血
主要见于二尖瓣病变;各种原因引起的左心功能不全(如冠心病、高血压性心脏病、心肌病左心功能不全等);肾功能不全等。根据程度分为肺淤血、间质性肺水肿及肺泡性肺水肿,X线表现见本章第一节(图7-2-6)。
图7-2-6 男,50岁,高血压冠心病,左心功能不全,间质性肺水肿。X线胸片示两肺透过度低,间隔线—Kerley B、C线见于中下肺野外带(▲),叶间胸膜影增厚(↑)
(二)节段性肺淤血(肺水肿)
X线表现为按一侧肺或按肺叶、肺段分布的肺淤血(或肺水肿)。见于:①先天性一侧或叶-段肺静脉闭锁或狭窄;②获得性:心源性肺淤血或肺水肿可以由于肺部基础疾患,可以表现分布不均匀,如肺气肿、肺大疱;获得性局部肺静脉狭窄-闭塞,导致局部肺淤血或肺水肿(图7-2-7)。
部分肺静脉闭塞:见于先天性部分性或获得性部分肺静脉狭窄-闭塞。X线征象:①受累区域可见间隔线;间质性肺水肿;②受累区域可见中心肺泡水肿;③先天性肺静脉闭锁可见相应肺叶实变不张或发育不全(图7-2-8)。
图7-2-7 右肺上叶及中叶肺水肿(间质性及肺泡性肺水肿)
造影证实为右上肺静脉闭塞;A.胸部正位;B.HRCT冠状位重建,可见典型小叶间隔增厚(↑),肺泡性水肿(▲)
图7-2-8 女婴,3个月,气促,发绀;X线胸片示右下肺实变不张(A↑);右心增大。CTA:右下肺静脉闭锁(BC↑),右肺下叶实变不张,右心房室增大。肺动脉高压
四、肺动脉高压
2009年8月在西班牙巴塞罗那召开的欧洲心脏病学会(ESC)年会发布了新的肺动脉高压诊断和治疗指南,新指南提出肺动脉高压的新定义,被国际认可。最新肺动脉高压临床分类分为5大类:①动脉性肺动脉高压(pulmonary arterial hypertension,PAH);②左心疾病所致肺动脉高压;③呼吸系统疾病和(或)低氧相关肺动脉高压;④慢性血栓栓塞性肺动脉高压;⑤不明原因或多因素多机制所致肺动脉高压。
(一)左-右分流先天性心脏病
右心排血量-肺血流量增多超过肺循环血量时将发生肺动脉高压。早期多为容量负荷增加,肺血管增粗,肺血增多,肺小动脉中膜平滑肌增生、内膜增厚,称为动力性肺动脉高压,为可逆性。长期大量肺血流量增多或高压分流,可导致肺小动脉内膜、中膜增厚,层样改变、进而发生丛样变,管腔狭窄-闭塞,以致坏死性血管炎发生,肺动脉高压演变为不可逆性,又称器质性肺动脉高压。肺动脉压超过体动脉压,出现右-左分流,称“艾森门格综合征”。
X线征象:①肺血管增粗、增多;②肺动脉高压征象;③右心室肥厚、增大。
图7-2-9胸部正、侧位X线片示:两肺血多,肺动脉段凸,右下肺动脉增宽>1.5cm;右心室增大(肥厚为主)。X线片诊断:肺动脉高压,继发于左-右分流先天性心脏病。CTA证实为房间隔缺损(Ⅱ孔型)。
图7-2-9 男,39岁,劳累后气短,心电图:右心室肥厚;超声心动图:肺动脉高压,72mmHg
(二)胸肺疾病肺动脉高压-肺源性心脏病
胸及肺部疾病,如胸廓畸形、慢性阻塞性肺疾病(COPD)等,可以导致低氧血症、高碳酸血症,红细胞增多症。引起肺小动脉痉挛收缩、促发肺血管重构;加之肺组织损毁,肺血管床减少、发展为肺动脉高压、肺源性心脏病(简称肺心病)。
X线征象:①胸、肺疾病;②肺动脉高压征象;③右心增大、右心功能不全(图7-2-10)。
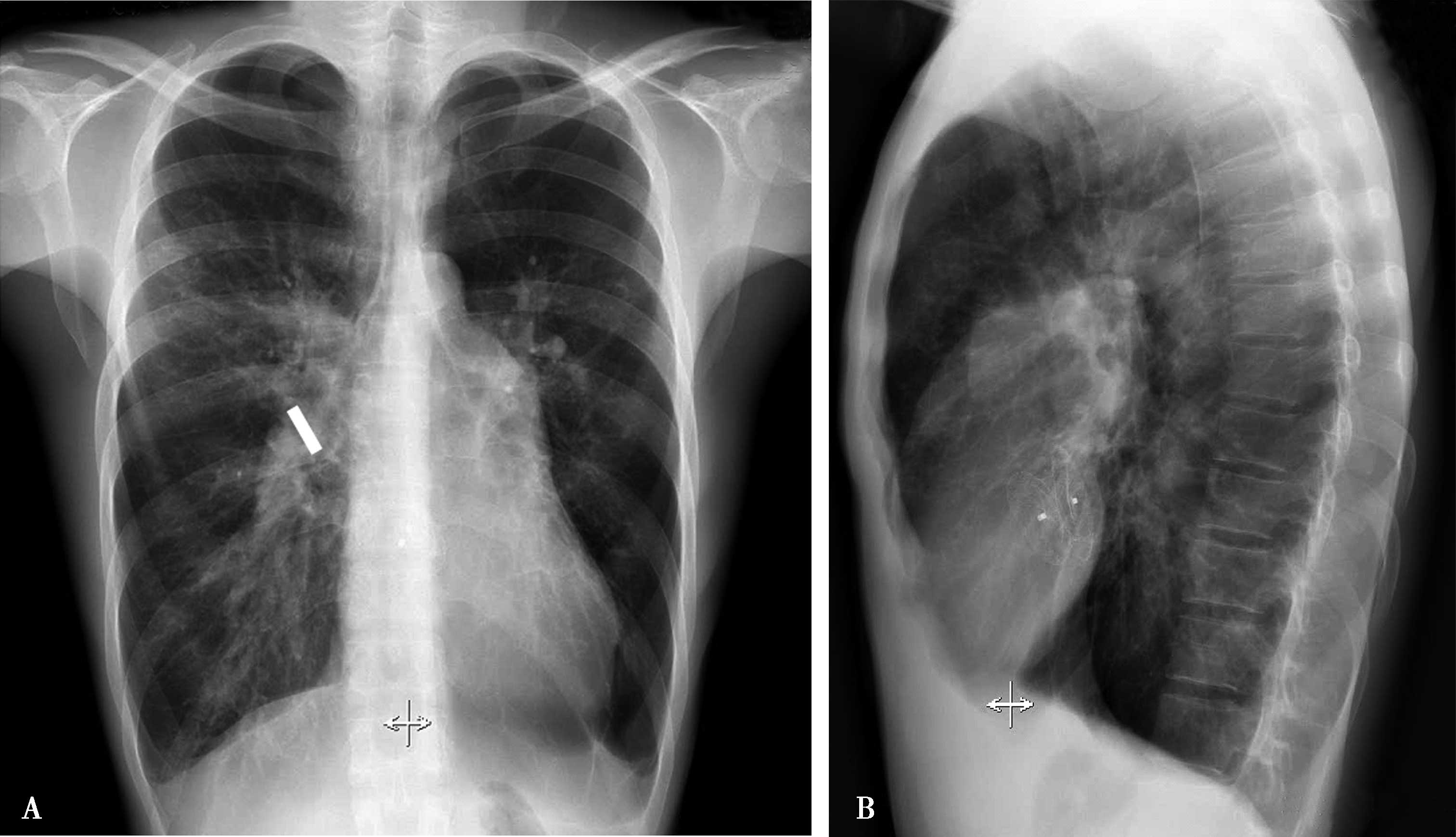
图7-2-10 胸部X线片。A.正位;B.左侧位。桶状胸(横径及前后径增大),侧位胸骨后心前间隙增大(侧位片),横膈位低平。两肺透过度增高,外围肺纹理少,两肺门动脉增宽,右下肺动脉宽20mm;肺动脉段轻度膨凸。胸主动脉迂曲扩张,肺动脉圆锥膨隆(B↑),右心室肥厚,心胸比率<0.5。X线胸片诊断:肺气肿(COPD),肺动脉高压,肺心病
(三)慢性血栓栓塞性肺动脉高压
慢性血栓栓塞性肺动脉高压(CTEPH):较大肺动脉由于慢性栓塞而闭塞,继发较小肺动脉内膜、中膜增厚,管腔狭窄-闭塞,原位血栓形成并发类似IPAH的丛样病变,加重肺动脉高压。
X线征象:①重度肺动脉高压;②中心肺动脉扩张,右下肺动脉增宽呈截断现象,外周分布不均,部分缺支、部分迂曲扩张;③肺内陈旧梗死灶;④右心高度增大(图7-2-11)。
图7-2-11 男,38岁,慢性肺栓塞5年,超声测肺动脉压110mmHg。A.胸部正位两肺纹理分布不均,两下肺纹理稀少,右下肺动脉增宽呈截断现象,上肺动脉迂曲增宽;肺动脉段高度凸出(↑),右心房室增大;B.左侧位心前间隙缩小,肺动脉圆锥扩张(↑)。X线胸片诊断:慢性血栓栓塞性肺动脉高压
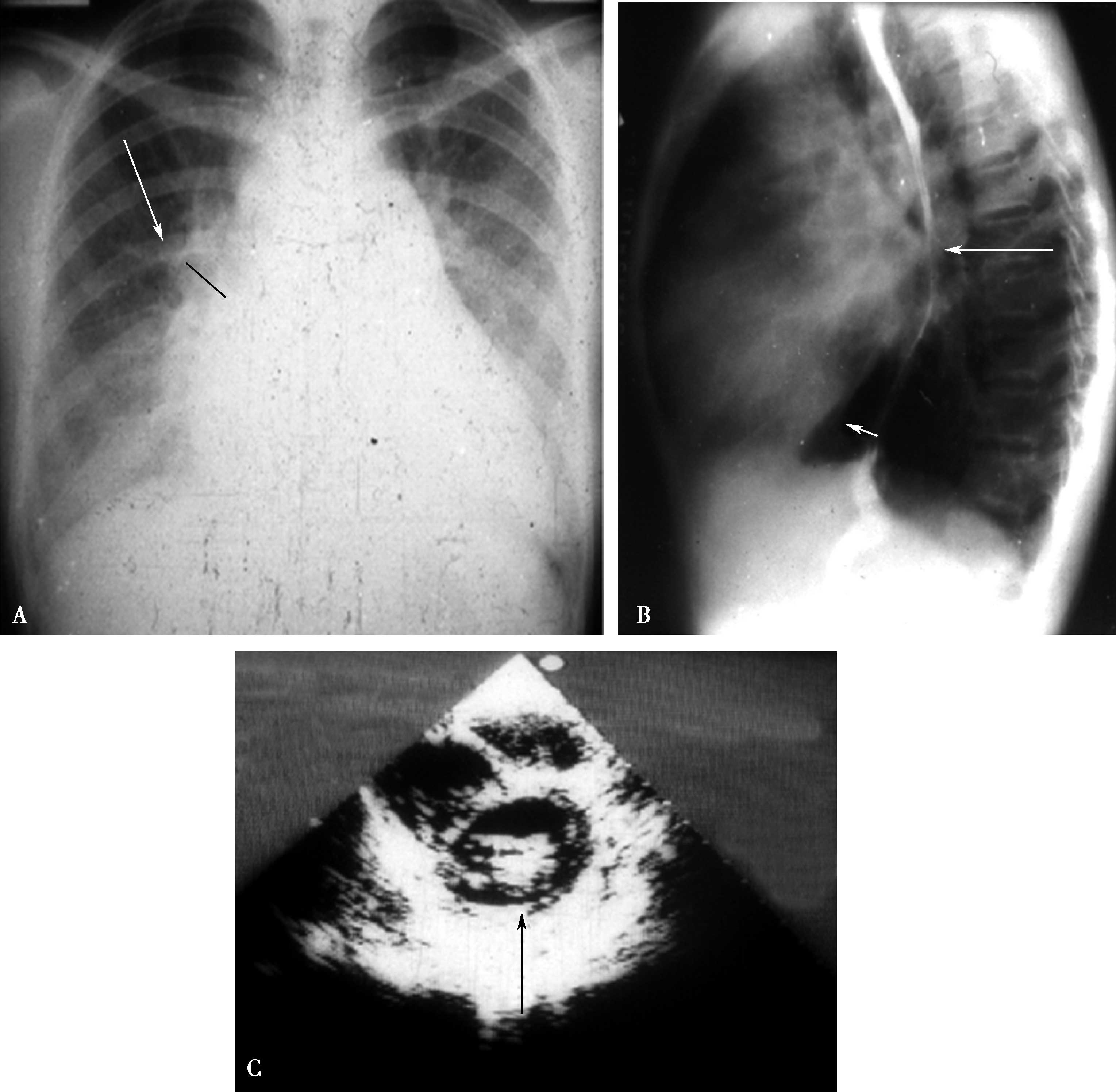
(四)二尖瓣狭窄肺动脉高压
二尖瓣狭的血流动力学改变是左心房-肺静脉压持续升高(左心房平均压10mmHg以上),出现肺静脉高压,随着肺静脉高压的发展,逐渐导致肺泡-毛细血管膜发生不可逆性重构,肺的弥散功能降低;肺小动脉肌化、中膜增厚、远端肺动脉新生内膜生成,导致肺血管阻力(PVR)增加,发生毛细血管后肺动脉高压,并逐步加重。
X线征象:肺淤血,左心房及右心室增大,肺循环高压(肺动脉高压+肺静脉高压)(图7-2-12)。
(五)结缔组织病相关肺动脉高压
结缔组织病是以血管及结缔组织慢性炎症为基础的自身免疫性疾病。主要包括系统性红斑狼疮、类风湿关节炎、原发性干燥综合征、多发性肌炎与皮肌炎、系统性硬化症、系统性血管炎等,患者常混合存在,而称为混合型结缔组织病(mixed connective tissue disease)。累及血管表现为血管炎,造成多脏器受损。累及肺小血管,发生肺小血管炎及肺间质纤维化,是造成肺动脉高压主要原因。
X线征象:①两肺间质性改变,间质纤维化;②心脏右心为主增大;③肺动脉高压征象。诊断需结合临床及实验室检查(图7-2-13)。
(六)特发性肺动脉高压与肺静脉阻塞病
特发性肺动脉高压是病因未明的一类肺动脉高压,但是有特征性的肺动脉病理改变:肺小动脉内皮细胞、平滑肌细胞增生肥大、血管内膜纤维化增厚、中膜增厚、管腔狭窄、闭塞、扭曲变形,呈丛状改变。临床诊断原则是 “排除诊断法”。需要排除所有已知的可以导致肺动脉高压的病因,才考虑为特发性肺动脉高压。
特发性肺动脉高压X线征象:肺野清晰,肺动脉高压,右心房室增大。特发性肺动脉高压诊断原则是 “排除诊断法”(图7-2-14)。
肺静脉阻塞病X线征象:肺野看见小叶中央型 “磨玻璃样”渗出性改变,胸膜下间隔线;肺动脉高压,右心房室增大(图7-2-15)。
图7-2-12 男,36岁,二尖瓣狭窄,肺动脉高压。X线片,AB.两肺间质性肺水肿,肺动脉高压(右下肺动脉2.0mm↑),左心房、右心室增大(↑),诊断二尖瓣狭窄,肺循环高压(肺动脉及肺静脉高压);C.超声心动图:二尖瓣口面积:1.02cm 2 (↑);PAP:78mmHg
图7-2-13 女,54岁,混合型结缔组织病。A.X线胸片,示两肺透过度降低,广泛间质性改变。肺动脉段凸,右心增大,右下肺动脉增宽,肺动脉高压(↑);B.CT横断扫描,两肺不均匀磨玻璃状改变,间质改变,间质纤维化,可见间隔线,为肺小动脉炎特点
图7-2-14 女,26岁,特发性肺动脉高压。X线胸片:肺野清晰,右心增大。采用排除诊断法,考虑为 “特发性肺动脉高压”
特发性肺动脉高压诊断较多关注与 “肺静脉阻塞病”或 “毛细血管瘤病”相鉴别。仔细分析X线片征象,可以提供一定诊断线索。CT可以提供更多征象,但是确诊要依靠病理。
五、肺梗死
肺动脉分支发生栓塞其供血范围的肺组织发生出血性实变、坏死,称为肺梗死。常见于风湿性心脏瓣膜病、肺栓塞、心力衰竭或慢性病长期卧床者下肢深静脉血栓栓塞。
图7-2-15 女,40岁,肺动脉高压,肺静脉阻塞病。X线胸片:右肺叶片状渗出性病变,可见间隔线。证实为肺静脉阻塞病
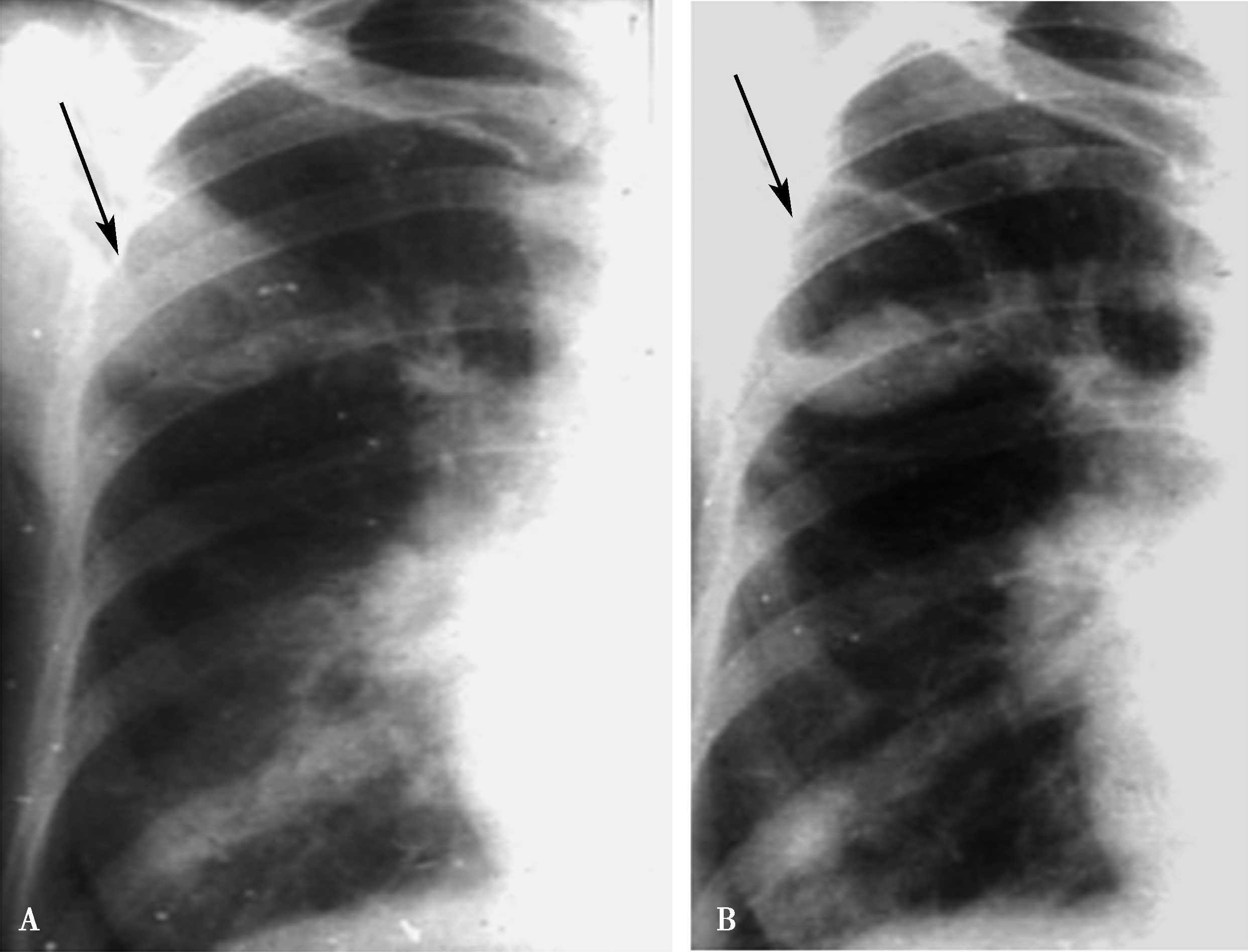
X线征象(图7-2-16):①肺梗死阴影一般呈三角形实变阴影,靠近肺野外围,尖端朝向肺门;②患侧胸膜反映及少量积液;③患侧膈升高和运动受限。
图7-2-16 肺梗死
A.右上肺三角形实变阴影,靠近肺野外围,尖端朝向肺门,为肺梗死(↑);B.两周后三角形实变区空腔形成;为梗死灶当与支气管交通时,坏死物排出空气进入而形成空腔(↑)
以出血性水肿为主要改变的 “不全性梗死”,可在数日内完全吸收。组织坏死者治疗后遗留纤维瘢痕组织。梗死区可发生感染和坏死,当与支气管交通时,坏死物排出空气进入而形成空腔(图7-2-17)。
六、原发肺动脉肿瘤
原发性肺动脉干肿瘤是指发生于肺动脉半月瓣或/和肺动脉干的原发肿瘤,大致可分为源自动脉内膜和动脉中膜外膜两类,绝大部分病例属于前者。有学者认为来源于肺动脉内膜及内膜下心球的原始细胞,沿血流生长,罕见逆行扩散,但有个例报道这种低分化肉瘤原发于左肺下叶动脉,然后逆行扩散到肺动脉干,一般不侵及动脉壁。肿瘤很少穿透外膜,侵及主动脉、心包及纵隔。恶性肿瘤生长发展较快。
X线征象:①肺门动脉影圆隆增大、分叶状,呈 “三叶草”征;②肺动脉段膨隆;③右心增大。临床抗凝-溶栓治疗无效(图7-2-18)。
图7-2-17 男,37岁,二尖瓣狭窄,胸痛、咯血。A.X线胸片示右下肺三角形实变阴影(↑);B.CTPA证实右下肺动脉栓塞,右下肺不规则实变,为肺梗死(↑)
图7-2-18 女,39岁,活动后胸闷气短半年,加重2个月,伴咯血4天入院。X线片:A.示肺纹理稀疏、纤细,左肺门圆形结节影(↑),右下肺动脉中段扩张呈杵指状(↑),右心房室大。X线片诊断:肺动脉高压,原发性肺动脉肿瘤可能;B.术后病理,诊断为肺动脉纤维肉瘤
七、白塞病
白塞病(Behcet disease,BD)是以血管炎为主要病理基础的慢性多系统疾病。该病与HLAB51强关联,感染或异常自身免疫应答(尤其是细胞免疫)参与发病。临床上以口腔溃疡、生殖器溃疡、眼炎及皮肤损害为突出表现,又称为口-眼-生殖器综合征。累及肺动脉主要侵犯大、中型血管,形成动脉瘤、合并血栓形成。
X线征象:①大、中型肺动脉受累及,动脉瘤形成,或瘤样扩张;②动脉瘤多发;③可以发生假性动脉瘤而出血;④动脉瘤内血栓形成(图7-2-19)。
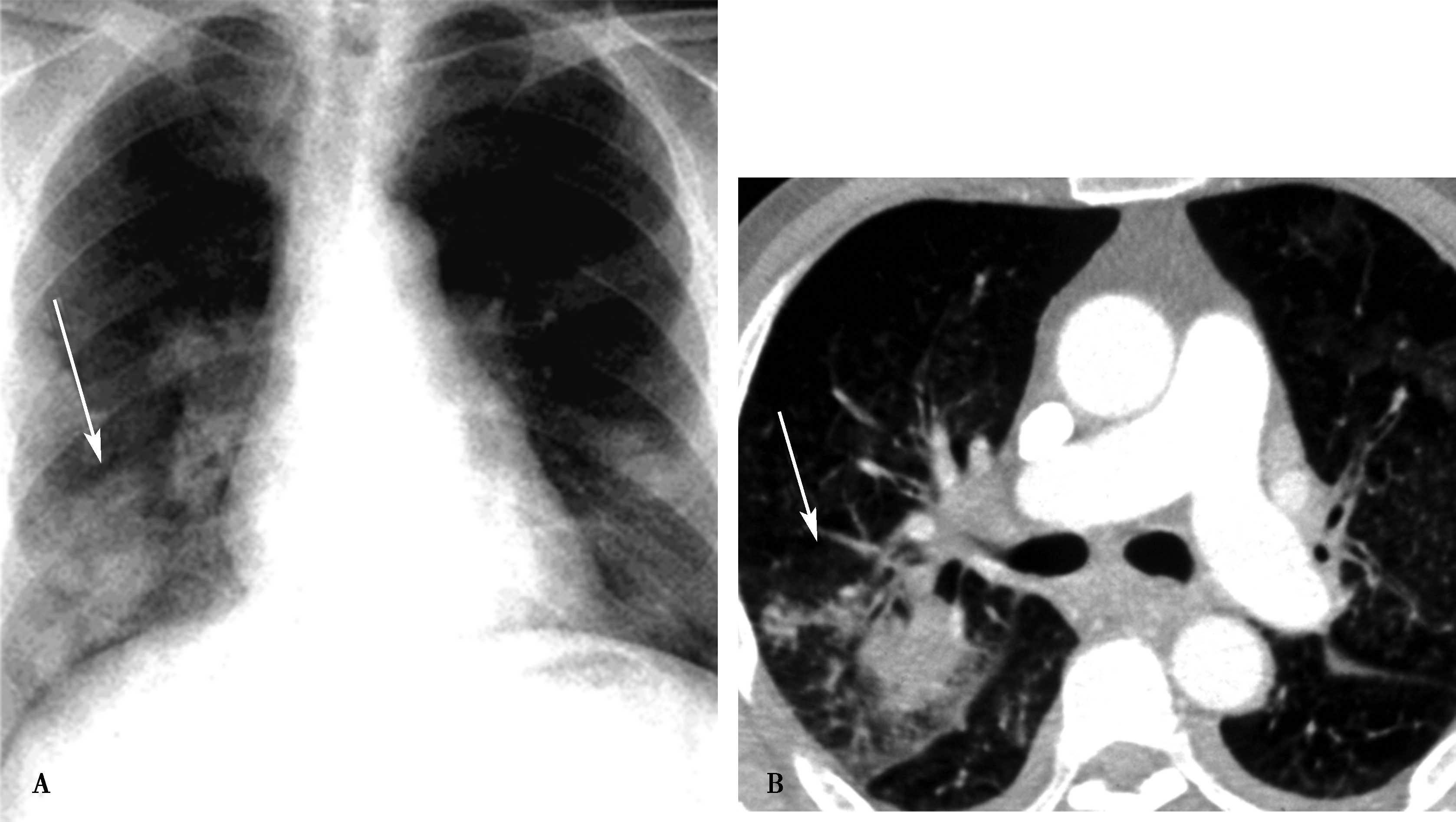
图7-2-19 男,38岁,白塞病,A.胸部X线片示,右下肺动脉瘤样扩张,左肺动脉瘤样扩张(↑);B.肺动脉CTA显示右下肺动脉、左下肺动脉瘤,合并血栓形成(↑)
第三节 普通X线检查对肺血管病诊断评价
肺血管疾病是各种病因(先天性及获得性)引起肺血管整体或局部结构和/或功能改变的一组疾病或病变的总称。累及包括肺动脉、肺毛细血管、肺静脉等不同结构的血管。肺血管病不仅包括肺血管病变本身,对其上游及下游的病变,也应包括在内。普通X线胸片既可以反映肺血管疾病的征象,也可反映肺实质及肺间质改变,能够全面提示心肺的病理生理及病理解剖的改变,为诊断提供多种信息,是其他影像学无法替代的,不应忽视。
1.普通X线胸片可以对心肺给出整体概念(包括心功能改变),对诊断或进一步检查提供重要信息;属临床一线检查方法。
2.普通X线胸片可以显示心脏外形及各房室大小改变,为诊断提供必要信息。
3.普通X线胸片提示肺循环异常,优于超声心动图、MRI、心血管造影等其他影像学检查。是其他影像学所无法比拟的。早年一组冠心病左心功能不全临床研究表明,肺循环异常(肺静脉高压)X线征象的出现早于临床症状,为临床治疗提供重要信息。
4.各种病因引起的肺动脉高压X线有共同征象。但是不同病因,可以有相对特点的X线征象,有助于鉴别,常见有:①左-右分流先天性心脏病;②瓣膜病(二尖瓣狭窄);③胸肺疾患(如COPD);④肺栓塞、慢性血栓栓塞性肺动脉高压;⑤左心疾病所致肺动脉高压等等;⑥特发性肺动脉高压(IPAH)诊断原则是 “排除诊断法”,需要排除所有已知的可以导致肺动脉高压的病因,才考虑为特发性肺动脉高压。
特发性肺动脉高压容易混淆的是 “肺静脉阻塞病”、“肺毛细血管瘤病”。认真分析X线胸片可以提供鉴别诊断的线索。
5.普通X线胸片可以明确显示胸-肺病变,特别是肺实质、肺间质病变;可以提示病变累及范围及程度。为研究肺血管疾病的病因及后果,提供线索和依据。
6.为了充分发挥普通X线胸片的作用,应做到三结合:①心肺相结合。分析X线胸片时,既要观察心脏,又要分析肺循环及肺实质征象;②X线与临床相结合。X线诊断应密切结合临床症状、体征及实验室检查;③与其他影像学相结合。综合其他影像学检查提供的信息,可以充分发挥X线胸片优势,起到影像学优势互补,为肺血管病做出正确诊断。
7.普通X线胸片是治疗后随访的重要检查方法。属于无创检查,方法简单、易得,方便。
8.普通X线胸片射线剂量低,正位胸片约0.02mSv,左侧位片为0.05mSv,属安全范围。
(戴汝平)
参考文献
1.刘玉清,汪绍训,艾荣芳。二尖瓣狭窄症肺动脉高压的X线研究。中华放射学杂志,1958,6(1):1-12.
2.李益群,刘玉清。二尖瓣狭窄肺静脉高压X线征象的分析。中华放射学杂志,1965,10(3):241.
3.刘玉清,荆宝莲。肺气肿及早期肺心病。心脏血管疾病杂志,1973,1(3):75.
4.荆宝莲,刘玉清。肺静脉阻塞性疾病。心脏血管疾病杂志,1975,3(4): 371.
5.杜嘉会,刘玉清。一侧肺动脉缺如和肺动脉高压。心脏血管疾病杂志,1978,6(4):233.
6.李益群,刘玉清,蒋世良。先天性心脏病左向右分流畸形并发一侧肺缺血的X线观察。中华放射学杂志,1983,17(1): 17-21.
7.刘玉清,刘秀杰,荆宝莲。慢性肺动脉血栓栓塞症。中华结核和呼吸系统疾病杂志,1981,29(4):278.
8.荆宝莲,刘玉清。原发性肺动脉高压的X线分析。中华放射学杂志,1981,15(4):269-271.
9.刘玉清。普通X线检查在心血管疾病诊断上的评价。实用内科杂志,1984,4(1):69-70.
10.李益群,刘玉清。心血管病普通X线诊断经验。中级医刊,1987,22(2)。
11.袁旭春,刘玉清,荆宝莲,阮英茆。先天性心脏病肺动脉高压X线和血液动力学、病理组织学的对照研究。中国循环杂志,1994,9(11):666-669.
12.刘玉清。心血管病影像诊断学。合肥:安徽科学技术出版社,2000.
13.戴汝平。心血管病CT诊断学。第2版。北京:人民卫生出版社,2013.
14.戴汝平。先天性心脏病多排螺旋CT成像及诊断。北京:科学出版社,2012.
15.戴汝平。肺血管疾病多排螺旋CT成像及诊断。北京:科学出版社,2014.
16.Bouzelmat H,Chaib A,Kheyi J,et al.Hemoptysis revealing pulmonary artery aneurysm associated with intracardiac thrombosis: A delicate anticoagulation situation(a case report of Behçet′s disease).Journal Des Maladies Vasculaires,2013,38(3): 198-200.
17.McLaughlin VV,Archer SL,Badesch DB,et al.ACCF/AHA 2009expert consensus document on pulmonary hypertension:a report of the American College of Cardiology Foundation Task Force on Expert Consensus Documents and the American Heart Association:developed in collaboration with the American College of Chest Physicians,American Thoracic Society,Inc.,and the Pulmonary Hypertension Association.Circulation,2009,119(16): 2250-2294.
18.Galie N,Hoeper MM,Humbert M,et al.The Task Force for the Diagnosis and Treatment of Pulmonary Hypertension of the European Society of Cardiology(ESC)and the European Respiratory Society(ERS)endorsed by the International Society of Heart and Lung Transplantation(ISHLT)Guidelines for the diagnosis and treatment of pulmonary hypertension.Eur Respir J,2009,34(20):1219-1263.
19.Simonneau G,Robbins IM,Beghetti M,et al.Updated Clinical Classification of Pulmonary Hypertension.J Am Coll Cardiol,2009,54(1): s43-s54.
20.Badesch DB,Champion HC,Sanchez MA,et al.Diagnosis and assessment of pulmonary arterial hypertension.J Am Coll Cardiol,2009,54:S55-66.
21.Fishman AP.Primary pulmonary arterial hypertension:a look back.J Am Coll Cardiol,2004,43(12): 2s-4s.
22.Goldhaber SZ.Epidemiology of pulmonary embolism.Semin Vasc Med,2001,1(2): 139-146.
23.Auger WR,Fedullo PF,Moser KM,et al.Chronic major-vessel thromboembolic pulmonary artery obstruction:appearance at angiography.Radiology,1992,182(2):393-398.
24.马展鸿,戴汝平,曹程,等.肺动脉栓塞比较影像学研究。中华放射学杂志,2007,41(6):602-606.
25.马展鸿,戴汝平,柳志红,等.电子束CT在肺动脉血栓栓塞症诊断中的应用。中华结核和呼吸杂志,2005,38(9): 590-595.
26.马展鸿,戴汝平,何建国,等.电子束计算机断层摄影术在肺栓塞治疗随访中的应用。中国循环杂志,2005,20(5): 367-370.
27.方玮,马展鸿,戴汝平,等.急性肺动脉血栓栓塞症核素肺灌注显像与电子束计算机断层摄影术的对照研究。中国循环杂志,2005,20(4):289-292.
28.曹程,戴汝平,程显声,等.电子束CT在诊断肺动脉栓塞中的应用。中华放射学杂志,1999,33(5):295-298.
29.戴汝平。重视肺动脉栓塞的影像学诊断。中华放射学杂志,1999,33(5): 293-294.
30.吴文辉,戴汝平。肺动脉栓塞诊断的现代策略。当代医学,2001,7(3): 31-33.
31.戴汝平。肺栓塞的影像学诊断。中华心血管病杂志,2001,29(5): 263-264.
32.宋金松,刘玉清,朱杰敏,等.磁共振三维增强肺动脉造影及其临床应用初步研究。中国医学影像学杂志.2000,8(2)81-83.
33.宋云龙,刘玉清,荆宝莲。肺栓塞影像学诊断-着重于X线平片的作用。中国医学影像技术杂志,1998,14(5): 340-342.
34.宋云龙,刘玉清,刘蕴忠。肺栓塞的磁共振诊断研究。中华放射学杂志,1997,31(7):485-487.
35.Johnston SL,Lock RJ,Gompels MM.Takayasu arteritis: a review.J Clin Pathol,2002,55(7): 481-486.
36.Tanabe N.Diagnosis and vasculopathy in chronic thromboembolic pulmonary hypertension.Ann Vasc Dis,2009,2(3): 136-143.
37.Jenkins D,Mayer E,Screaton N,et al.State-of-the-Art:chronic thromboembolic pulmonary hypertension diagnosis and management.Eur Respir Rev,2012,21(123): 32-39.
38.陆慰萱,王辰。肺循环病学。北京:人民卫生出版社,2007.
39.王辰。肺栓塞。北京:人民卫生出版社,2003.
40.程显声。右心疾病。北京:人民卫生出版社,2008.
41.Nakabayashi K,Kurata N,Nangi N.Pulmonary artery involvement asfirstmanifestation in three casesof Takayaan′s arteritis.Int J Cardiol,1996,54(3):S177-183.
42.Lie JT.Isolated pulmonary Takayasu′s arteritis: clinicopathologic characteristics.Mod Pathol,1996,9(5):469-474.
43.Haque U,Hellmann D,Trail T.Takayasu′s arteritis involving proximal pulmonary arteries and mimicking thromboembolic disease.Rheumatol,1999,26(2):450-453.
44.Arend WP,Michel BA,Bloch DA.The American College of Rheumatology 1990criteria for the classification of Takayasu′s arteritis.Arthritis Rheum,1990,33(8):1129-1134.
45.Kissin EY,Merkel PA.Diagnostic imaging in Takayasu′s arteritis.Current Opinion in Rheumatology,2004,16(1): 31-37.
46.Fei Y,Li X,Lin S,et al.Major vascular involvement in Behçet′s disease: a retrospective study of 796patients.Clin Rheumatol,2013,32(6): 845-852.
47.Bouzelmat H,Chaib A,Kheyi J,et al.Hemoptysis revealing pulmonary artery aneurysm associated with intracardiac thrombosis: A delicate anticoagulation situation(a case report of Behçet′s disease).J Mal Vasc,2013,38(3): 198-200.
48.Vij R,Strek ME.Diagnosis and treatment of connective tissue disease associated interstitial lung disease.Chest,2013,143(3): 814-824.
49.Frazier AA,Burke AP.The imaging of pulmonary hypertension.Semin Ultrasound CT MR,2012,33(6):535-551.
50.程显声,戴汝平,史蓉芳。增强CT与核素肺显像对肺栓塞诊断相辅相成,中华医学杂志2002;82:784-785.


