第八章
肺血管多排螺旋CT成像及诊断
第一节 多排螺旋CT肺动脉造影检查
20世纪70年代计算机体层摄影(computed tomography,CT)研制成功,至此已有40年历史,对临床医学发展起到重大推动作用。早年,只是单层扫描,时间分辨率与空间分辨率低,应用受到限制。80年代电子束CT(electro-beam CT简称EBCT)的开发,开展了心血管病CT诊断新领域。90年代末期多排螺旋CT(multi-raw-detector spiral CT简称MDCT)研发是CT技术的革命。2004年开发64排MDCT,已成功替代EBCT广泛应用于心血管病临床诊断。近年来256、320层多排螺旋CT陆续投入使用。
Siemens公司2005年开发了双源 CT(dual source CT)至今已有10年,从第一代SOMATOM Definition,提高了扫描速度;2008年开发第二代Definition Flash(炫速双源CT);2013年Steller光子CT诞生,有大的突破。
一、基本知识
螺旋CT是X线管球-检测器在旋转曝光过程中检查床沿人体Z轴持续进动,形成螺旋形扫描,获得人体容积数据,得到断层图像,称螺旋CT。
(一)单源多排螺旋CT
1.基本结构
(1)X线发生器:
X线发生器是CT中最重要的部件之一,球管的最大功率可以达到100kW,小焦点的功率也能达到约50kW,大大提高了高分辨率在临床上的应用。
(2)X线准直器和滤线器:
X线准直器起两个作用:①减少对患者不必要的辐射剂量;②保证良好的图像质量。
(3)X线探测器:
采用固体稀土元素探测器,量子探测效率达99%。多排探测器的应用使CT的探测器覆盖率从10mm增加到目前的40mm,同时最小片厚减少到0.5mm左右,从而真正实现了 “各向同性”体素采集的信息模式。此外,目前研究把X线直接转换成电信号的探测器,得到真正能谱CT图像,实现分析物质成分。
(4)数据采集系统(DAS):
是X线探测系统重要组成部分。每周小于0.4秒的机架转速要求DAS具有极高的取样频率,DAS的取样频率必须在2500Hz左右。低电子噪声的DAS为多排CT在低剂量临床应用时,提供可靠的保障。
(5)机架和滑环:
机架承载X线管球及探测器,保证快速旋转;滑环是CT系统能量和信号传输的桥梁,滑环的使用使螺旋扫描成为现实,X线源所需的能量和数据信号通过滑环上的电的和光的或者射频的连接而得到在连续旋转的机架和静止的CT部件之间传输。
(6)扫描床和螺距:
扫描床承载受检查者;薄层对扫描床的准确移动距离及加速和减速精度要求很高。各种扫描时间的选择往往可以通过螺距和层厚的组合来控制。
在多排CT中螺距p可以用以下公式来定义:
p=d/M×T
其中d是扫描床每旋转一圈的进床距离;T是探测器层厚(mm);M是实际应用的探测器排数。
2.工作原理
早期单源CT机(单管球)采用扇形线束只做单层扫描。新发展的单源螺旋多排CT是以锥形X线束在人体Z轴方向覆盖较大范围,旋转一周能完成一定容积组织数据的采集,称容积CT(volume-CT,简称VCT),是CT在扫描方式的重大革新。目前多排螺旋CT可达到一次旋转扫描进行16、64、128、256及320排层面图像采集。如果以层厚为0.625mm,一次扫描64排,可以在Z轴完成4cm采像;如果320排,一次扫描可以完成16cm采像。随着薄层CT应用的不断深入,探测器的设计逐渐回到等距矩阵型的设计上,计算机通过这些容积数据进行横断图像或容积图像二维或三维重建。
根据Radon的重建原理要求,对原始数据的相邻点用内插法(interpolation)进行逐点修正,得到与轴位扫描方式同等的数据,然后再用二维或三维法进行重建。目前至少有两种方法能提高Z轴方向的空间分辨力:一是飞焦采集技术,另一种是共轭采集技术。这两种方法都能达到增加数据采样率来提高Z轴方向分辨率的目的。
CT获取高分辨率心脏图像的发展过程中,检测器排数的增加,在Z轴的覆盖范围增加,扩大容积扫描覆盖范围,目前已开发的320排,一周扫描容积增大到16cm,采集过程中需要的心搏周期数减少,可以在一次心动周期内完成对整个心脏的扫描,相对扫描时间缩短,大大缩短患者闭气时间,从而可以避免阶梯状伪影的发生(图8-1-1)。
图8-1-1 A.64排螺旋CT模式图;B.320排螺旋CT模式图
目前,不同厂家MDCT机架旋转速度稍有不同,有0.37、0.35、0.33、0.28秒等。单源多排螺旋CT的基本扫描重建模式是双扇区重建。双扇区重建时间为175ms。使用多扇区重建的方法时,时间分辨率主要由心率决定,要想获得良好的图像质量,心率的稳定性及每一次心搏运动周期的完全一致性是必需的。心率以≤70次/分最为理想。
(二)双源多排螺旋CT
双源多排螺旋CT在螺旋CT理念及结构上与前者有所不同,机架上安装互呈90°角的两个球管/探测器系统(图8-1-2),采集一层图像数据只需要旋转90°,所需时间是单源螺旋CT的一半。双源螺旋CT在心脏扫描检查中最大的优势在于提高了时间分辨率。机架旋转一圈的时间为0.33秒,因此系统的时间分辨率为旋转时间的四分之一即82.5ms,因此对受检者的心率要求宽容度增大,而且不需要进行多扇区重建。小于100ms的时间分辨率、亚毫米的空间分辨率,以及缩短的覆盖全心的扫描时间,是成功进行临床常规心脏CT检查的三个必要条件。目前新一代双源螺旋CT时间分辨率达到82.5ms,支持快心率和不规则心律的心脏扫描,因此不再需要人为服用β阻滞剂降低心率,实现了真正常规、快速、可靠的心脏图像采集。
图8-1-2 双源螺旋CT模式图
放射剂量低是双源螺旋CT在心脏扫描检查中的一个优势。第一,双源CT的容积覆盖速度提高了两倍;第二,心电门控的成像时间窗缩短了一半,全剂量曝光的时间窗从单源64层CT的约200ms缩小到了双源CT的约100ms;第三,心电门控剂量调节技术使不用于冠状动脉成像的心动时相的射线剂量降至4%;第四,双源CT的83ms的时间分辨率能够实现所有心率条件下单扇区心脏成像,从而避免多扇区重建所需要的过度重叠扫描导致长时间曝光引起的剂量叠加;第五,单源CT螺距不能改变,而双源CT螺距依据心率自动进行适应性调整,在高心率时能保持与心率匹配的高速扫描,因此剂量下降,受检者的心率越高,双源CT的射线剂量就越低;第六,应用心脏 “领带形”滤过器,减少心脏扫描野边缘射线剂量。这样,在保持相同图像信噪比和空间分辨率的条件下,双源CT的射线剂量可以减少到单源64层CT的一半。
双源螺旋CT实现了前瞻性门控心脏检查。“适应性智能序列心脏扫描模式”方法更加灵活、更加稳定。它能对高心率的患者进行前瞻性扫描,能在心律不齐时候自动进行曝光补偿,还能在重建时有更灵活的时相选择,因此,双源CT的前瞻性门控心脏扫描适应证更宽、成功率更高。
二、多排螺旋CT肺动脉造影检查方法
CT肺动脉造影(computed tomographic pulmonary angiography CTPA),主要采用螺旋扫描模式。根据患者的特点或不同需要,选择采用螺旋单期扫描方案、螺旋双期扫描方案或回顾性心电门控扫描方案,分述如下。
(一)螺旋单期扫描法
1.患者仰卧位,足先进,双手上举,仰卧于检查床上。对检查范围以外的部位用铅衣、铅帽遮盖做好防护。
2.对比剂 对比剂浓度370mgI/ml,采用单筒高压注射器团注,流率为4.0~5.0ml/s,对比剂总量为70~90ml,如加做下肢静脉造影,可增加对比剂剂量为120~150ml。
3.扫描的范围 从肺尖到膈肌。
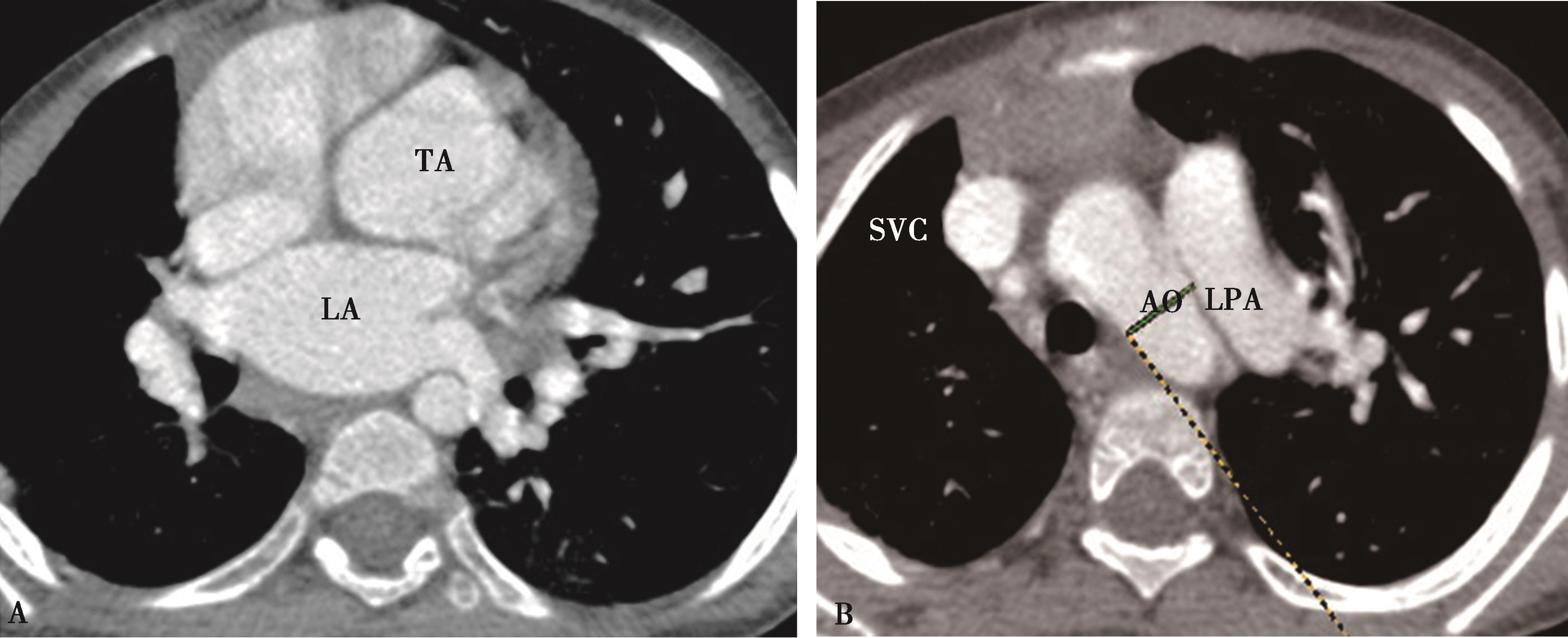
4.主要参数 以64排VCT做螺旋扫描为例,增强扫描参数设定为:电压120kV,电流400~600mA,根据患者身高/体质指数比进行个体化调整,机架转速0.35秒/圈,螺距为0.984∶1,准直器宽度为2.5mm,重建层厚0.625mm,视野(FOV)为25cm, 矩阵512×512。
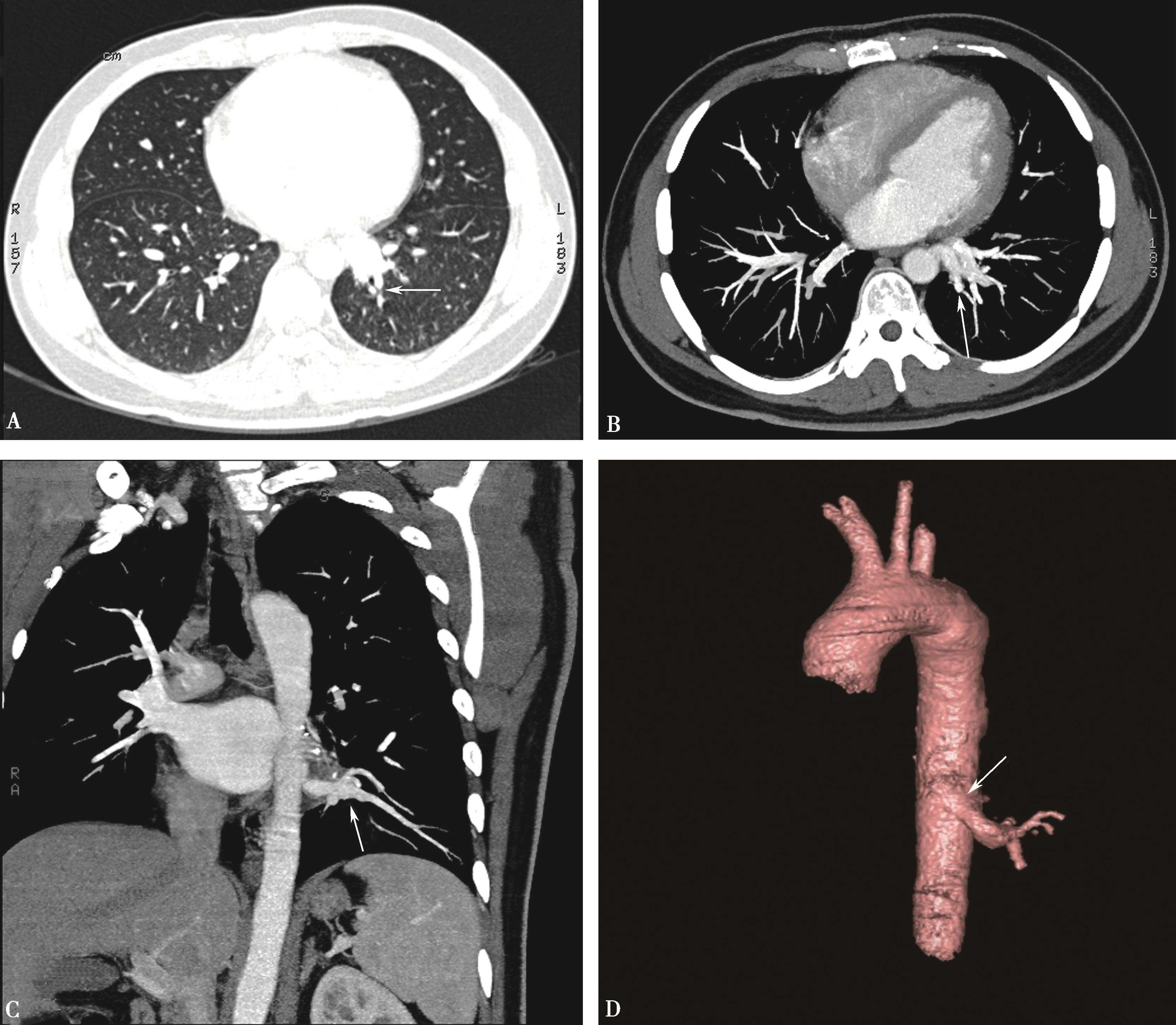
5.扫描采用对比剂智能自动跟踪触发技术,监测层面设定在气管分叉平面,ROI定位于肺动脉干,触发阈值定义为100Hu(图8-1-3,图8-1-4)。
(二)双期扫描法(图8-1-5)
1.患者仰卧位,足先进,仰卧于检查床上。对检查范围以外的部位用铅衣、铅帽遮盖做好防护。
2.对比剂 对比剂浓度370mgI/ml,采用单筒高压注射器团注,流率为4.0~5.0ml/s,对比剂总量为70~90ml,如加做下肢静脉造影,可增加对比剂剂量为120~150ml。
3.扫描的范围 从肺尖到膈肌。
4.扫描采用的对比剂跟踪技术,监测层面设定在上腔静脉入右心房的层面,ROI定为上腔静脉,触发阈值定义为80~100HU。
5.当ROI的CT值达到阈值时启动增强扫描程序。实行双期扫描,第一期为肺动脉期,从肺尖扫描至膈肌,第二期为主动脉期,由膈肌扫描至肺尖,双期扫描范围一致。双期扫描的意义在于:①充分保证了对比剂团注时间与肺动脉CT数据采集时间的吻合;②肺动脉高压或/和右心功能不全循环时延长者,是一弥补措施;③多期观察可以辨别对比剂充盈不均造成的假象;④有利于对肺灌注的评价;⑤主动脉期可以兼顾观察左心系统的病变。
图8-1-3 对比剂智能自动跟踪触发技术
造影剂智能自动跟踪触发技术能够准确获得扫描启动时间点并及时启动扫描
图8-1-4 常规肺动脉CT造影横断图及重建图像
图8-1-5 CTPA两期扫描应用:患者,男,37岁,二尖瓣狭窄,肺循环高压,怀疑肺栓塞。第一期右肺下叶基底段对比剂充盈不充分(ABC↑);第二期充盈充分(DEF↑),排除肺栓塞诊断
(三)回顾性心电门控螺旋扫描法
1.心电门控 患者体位同上述。在患者前胸安装电极,心电监护仪默认显示Ⅱ导联信号,如Ⅱ导联信号弱时,可改用Ⅰ或Ⅲ导联信号。保证扫描与心动周期同步。
2.采用单筒高压注射器团注,流速为4.0~5.0ml/s,对比剂总量为70~90ml。
3.扫描的范围 扫描采用的对比剂跟踪技术,从肺尖到膈肌。ROI定为气管分叉平面肺动脉干;触发阈值定义为80~100HU,当ROI的CT值达到阈值时启动增强扫描程序,实施回顾性心电门控扫描方案。
主要参数:以西门子双源 CT(SOMATOM Definition)为例,回顾性心电门控增强扫描参数设定为:电压120Kv,电流,采用Caredose 4D,管电压120kV,管电流380~400mAs。准直器宽度为0.6mm×32像素单元,采用Z轴飞焦点技术采集64层,每层1mm,矩阵512×512,视野150mm×150mm~180mm×180mm;机架每转旋转时间330ms,螺距0.2~0.5,根据扫描时心率变化自动调整。
(四)CT能谱成像(spectral CT imaging)
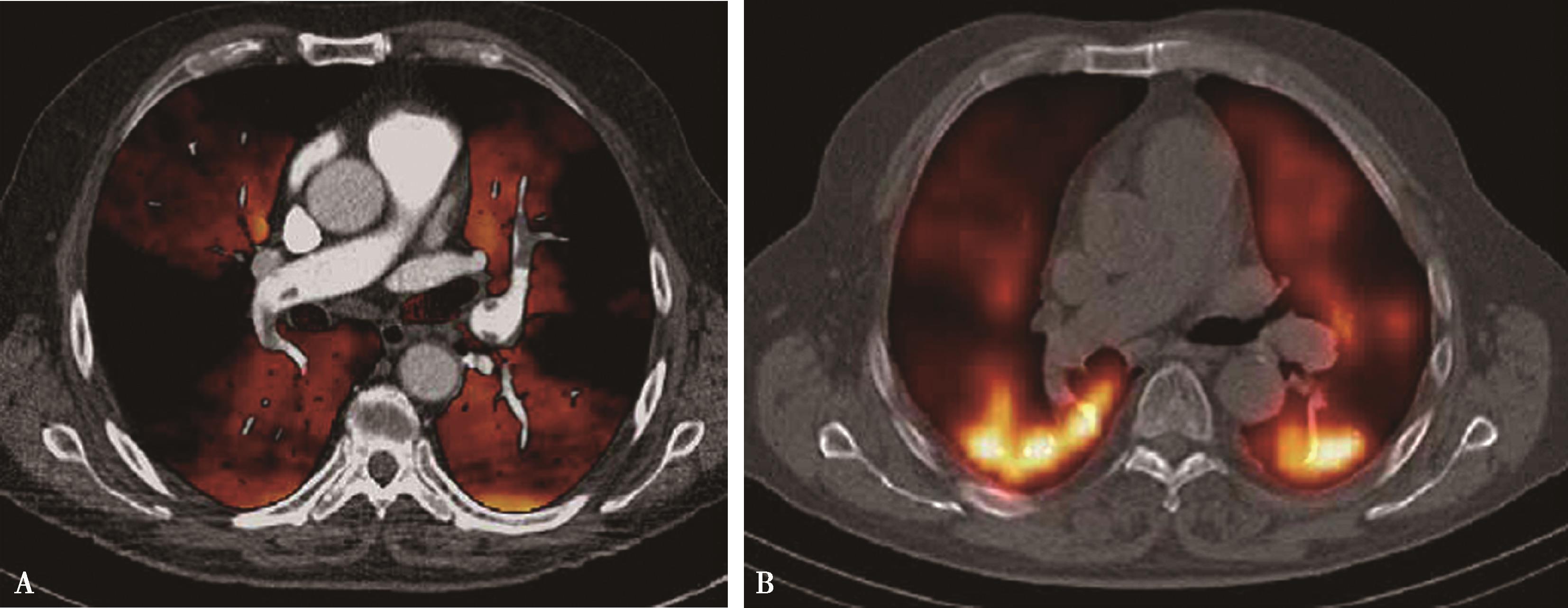
传统X线是40~140keV混合能量。该项技术能将传统X线混合能量按1keV将40~140keV分解成连续的101个单能量,获得任意一个单能量图像及单能谱曲线;从而可以对不同物质组成的进行定性、定量分析;重组出任意单能量图像。碘对比剂是常规应用的对比剂,CT能谱成像实现定量碘基物质图对肺栓塞诊断,特别是对提高检出亚分段栓塞敏感性有重要价值。
1.检查方法
以GE medical system,discovery 750HDCT为例。患者仰卧位,足先进,双手上举,仰卧于检查床上。对检查范围以外的部位用铅衣、铅帽遮盖做好防护。
(1)胸部平扫:扫描范围从肺尖-肺底,包括整个肺野。主要技术参数:机架旋转时间0.6s/r,螺距0.984,床速39.37mm/r。管电流600mA,层厚及层间距均为5mm;FOV:400mm×400mm。
(2)能谱增强扫描:电压行高低能量(80~140kVp)瞬时(0.5ms)切换;其他参数同平扫。
(3)对比剂:对比剂如碘帕醇(300mgI/ml),采用双筒高压注射器团注,流率为4.0ml/s,对比剂总量为80~100ml,经肘部静脉注入,随后按同一流速注入生理盐水20ml。
(4)人工智能触发扫描系统,感兴趣区设定在主肺动脉,CT值设定为100HU时,再延迟7秒,开始自动扫描。
(5)原始数据重建厚度:1.25mm;应用随机软件gemstone spectral imaging(GSI)Viewer软件进行处理及分析。
(6)获得单能量70keV下CTA图像,即碘基物质图像(iodine-based material decomposition images)(图 8-1-6)。
图8-1-6 右肺下叶外基底段栓塞;能谱成像得到肺碘基物质图,反映栓塞分布、梗阻呈低灌注、程度
(7)重建横断面、冠状面及矢状面图像。供分析。
2.能谱CT成像应用评价
(1)提高了肺栓塞检出的敏感度(提高20%),检出段-亚分段及隐性栓塞。
(2)实现肺灌注功能诊断检查,碘基物质图对定量分析提供更为科学的依据。
(3)能谱成像解决了X线硬化效应,提高小血管狭窄诊断的准确性。
(4)克服了双源CT成像的两个X管球扫描视野不同,可能遗漏外带病变。
3.能谱CT成像限度
(1)腔静脉高浓度碘剂、肺气肿、气管的空气都影响碘基物质图。
(2)血管不完全梗阻,仅有26.2%检出低灌注征象。
三、双源多排螺旋CT肺动脉造影检查方法
双源多排螺旋CT(简称双源CT)拥有两套球管-探测器的机架结构设计,双源CT除具有传统C成像技术外,还包括Flash成像技术、70kV成像技术、智能最佳对比度成像技术、双能量成像技术。这些技术都可以应用于肺动脉造影成像并有各自的独特优势。
(一)传统CT肺动脉成像技术
由于肺循环快,肺的天然对比较高,要求肺动脉CT成像时扫描启动时间点要准确、扫描速度要足够快,保证在肺静脉显影前,获得肺动脉图像。传统CT的肺动脉成像技术采用较快机架旋转速度、较大的X射线准直宽度和较大的螺距从而获取较快的扫描速度。采用造影剂智能自动跟踪触发技术则能够准确获得扫描启动时间点并及时启动扫描。西门子双源多排螺旋CT机架旋转时间为0.28秒,所以CT螺旋扫描速度明显加快。
(二)肺动脉Flash扫描成像技术
Flash扫描成像技术使用大螺距扫描。常规CT的螺距一般不超过1.5,但Flash扫描成像技术的螺距可高达3.2,从而使得扫描速度是常规CT的2.1倍,可达48cm/s。解决了肺动脉扫描要求快速问题。这一技术得益该CT机架设计采用了双源结构,使得机架旋转90°时即可获得重建一幅CT图像所必需的180°相位数据(图8-1-7)。
图8-1-7 双源CT的Flash扫描成像技术原理
Flash扫描成像技术:机架旋转90°可获得180°相位数据;扫描速度高达48cm/s
Flash扫描成像技术应用于肺动脉成像时可在不到一秒的时间内完成全肺的扫描,从而可以获得近乎纯粹肺动脉期成像,患者无须屏住呼吸,同时还可以减少造影剂的用量(约30ml)(图8-1-8)。
(三)肺动脉70kV成像技术
由于肺的天然对比高,再加之使用高浓度的造影剂,使得扫描范围的组织对比差异更为明显,可以采用低千伏扫描。目前仅西门子的5070球管具有70kV成像技术。有三个明显的优势:①成像对比更加强烈,有利于微小病灶的检出;②明显降低检查的辐射剂量;③对比剂的浓度、注射速度、使用的总量可以明显减少,降低受检者发生对比剂毒副作用(图8-1-9)。
(四)肺动脉CT成像的智能最佳对比度成像技术
智能最佳对比度成像技术可以根据检查目的和受检者的体型大小首先自动调节对辐射剂量大小影响权重最大的管电压,然后对管电流进行自动调节,从而使得扫描获得的图像在获得最佳图像质量的同时,可以实现辐射剂量的降低。
1.首先根据检查目的,确定扫描方案;根据定位像自动确定受检者的体型。
图8-1-8 Flash扫描技术应用于肺动脉成像
(快速、非屏气、使用30ml造影剂,获得完美肺动脉期成像)
图8-1-9 肺动脉70kV成像技术,受检者接受的辐射剂量低于1mSv;高对比度,肺动脉干的CT值高达1000HU
2.根据预先设定的图像质量水平,CT系统根据检查目的和受检者的体型,自动计算出不同管电压下所需的管电流的基准值和变化曲线,同时计算出CT剂量指数CTDIvol进行比较。然后从低到高依次选择管电压,得到最佳扫描条件。
使用智能最佳对比度成像技术应用于肺动脉成像,可使一般条件下的辐射剂量降低50%,管电压从常规的120kV降为100kV或80、70kV,同时保证优秀的图像质量。
(五)双源CT双能量肺灌注成像
1.双源螺旋CT利用被照射物质在不同kV条件下产生的X射线衰减值的差异性在二维能量空间内对被照射物质进行定位和成像显示;或根据特定的数学模型进行应用计算,从而可实现对被照射物质的识别、定性和定量分析,提高CT图像质量,减少X射线辐射剂量等应用。
2.CT双能量成像技术应用于肺动脉造影成像时,仅通过一次扫描即可获得常规肺动脉成像图像、同时还获得了肺灌注的图像可评估肺灌注受累情况。在一次检查中可以得到形态学诊断,又得到功能诊断。这是传统CT无法实现的。
3.CT双能量成像技术应用于肺动脉造影成像时,可以采用自动识别彩色编码功能,能够对血管进行选择性色彩编码,从而提示可能的发生栓塞的肺血管,尤其是细小的肺血管,从而提高微小栓子的检出率,降低漏诊率(图8-1-10)。
4.本技术属于一种低辐射剂量的肺动脉成像。
四、多排螺旋CT肺动脉造影影响因素
1.心功能 受检患者心功能直接影响检查效果,要特别加以注意。正常心功能的患者肺循环时间为10~14秒,而对于右心功能衰竭的患者,由于循环时间变长,则应当适当的延长注药时间,如5~8秒或更长,以使对比剂团注时间和CT图像采集时间窗相吻合。提高对比剂的注射流率,增加肺动脉血管腔内碘的浓度,可以提高检查成功率。
图8-1-10 双源CT双能成像,显示左肺舌叶及下叶肺段及亚分段小分支栓塞,灌注缺损;彩色编码,使得图像清晰,利于观察,提高诊断检出率(↑)
2.肺动脉高压 引起肺动脉高压的病因很多,但是造成肺循环异常的后果是相似的。肺动脉高压时肺循环时延长,右心排血受限。检查中掌握不好时机,会影响CTPA成功率及图像质量。
3.三尖瓣病变(如关闭不全),影响右心排血量,循环时延长,对比剂浓度被稀释,CTPA成功率及图像质量大大降低。
4.患者呼吸系统疾病,如COPD肺大疱、肺叶切除术后、胸膜疾病、胸廓畸形等影响肺功能。以及扫描时患者配合等均可影响CTPA扫描与成像。
因此,必要时CTPA扫描需要采用二期扫描,甚至三期扫描,才可能获得肺动脉CT造影满意图像。
五、多排螺旋CT肺静脉造影方法
多排螺旋CT肺静脉造影检查多用于:①左心房-肺静脉检查,用以检查左心房,左心耳和肺静脉的解剖,评价肺静脉,评估左心房大小,检出左心房(耳部)血栓,指导临床诊断及射频消融治疗;②肺静脉疾患:肺静脉瘤,肺静脉狭窄,闭塞;回流异常等(包括先天性或获得性)。CT检查可以减少对有创检查的依赖、减少患者负担,有重大的优势。
(一)多排螺旋CT肺静脉造影检查方法
1.扫描的范围 从主动脉弓上水平到心脏膈面。
2.主要参数 以64排VCT为例,增强扫描参数设定为:电压120kV,电流400~600mA,机架转速0.35秒/圈,螺距为0.984∶1,准直器宽度为2.5mm,重建层厚0.625mm,视野(FOV)为25cm,矩阵512×512。由于采用的是智能监测跟踪技术。
3.扫描采用智能对比剂跟踪技术,监测层面设定在左心房的层面,ROI定为左心房,触发阈值定义为100~120HU。
4.对比剂 对比剂浓度320~370mgI/ml,采用单筒高压注射器团注,流率为4.0~5.0ml/s,对比剂总量为70~90ml。
5.一期扫描 当ROI的CT值达到阈值时启动增强扫描程序。第一期扫描得到完整的肺静脉-左心房图像。如果达到诊断目的,可结束扫描(图8-1-11)。
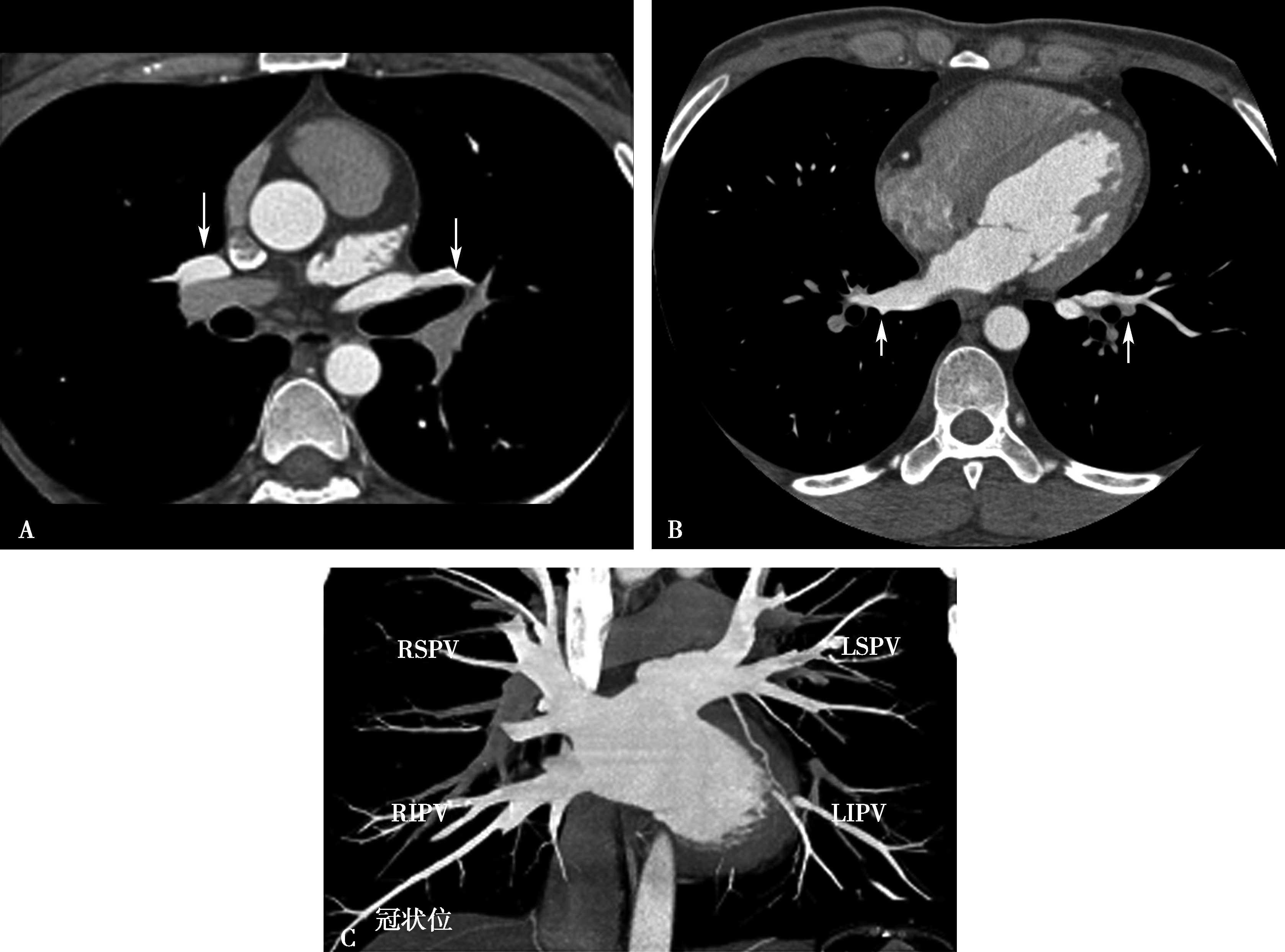
图8-1-11 肺静脉CTA检查
A.上肺静脉(↑);B.下肺静脉(↑);C.肺静脉最大密度投影。LSPV:左上肺静脉;LIPV:左下肺静脉;RSPV:右上肺静脉;RIPV:右下肺静脉
6.二期扫描 二期扫描目的用于:①各种病因引起肺循环时延长,肺静脉显影延迟者(如肺动脉狭窄、右心功能不全或肺动脉高压患者);②左心房高度扩大或心房纤颤造成左心房涡流,左心房耳部显影不满意时,采用第二期扫描。二期扫描可以采用目测手控扫描,亦可采用自动扫描。
7.第二期延迟扫描可以弥补上述原因引起的肺静脉、左心房及左心房耳部充盈不满意,利于真伪影像的鉴别(图8-1-12)。
图8-1-12 左心房双期扫描女,62岁,阵发房颤,第一期扫描左心房耳部充盈缺损(A↑);第二期扫描左心房耳部充盈良好(B↑),为涡流所致,排除左房耳部血栓。
8.回顾性心电控扫描的应用 如果患者在扫描期间没有房颤,可以采用心电门控技术。消除了心脏的搏动伪影,可以对患者的左心房进行功能分析。采集一个全期相的心脏左心房,可以分析在收缩期和舒张期以及其他期相患者左心房的变化情况,以及左房功能研究。扫描方法可以参照冠状动脉扫描的方法。但是心电门控技术对患者心率要求比较高,并且由于是小螺距过采集技术,患者所受的辐射剂量增加,需要注意。
(二)多排螺旋CT肺静脉造影影响因素
1.心功能
受检患者心功能直接影响检查效果,心功能不全者,由于循环时间变长,影响对比剂团注时间和CT图像采集时间窗相吻合,则应当适当调整曝光延时、适当提高对比剂的注射流率,增加左心房-肺静脉碘的浓度,可以提高检查成功率。
2.肺循环高压
多种病因可以引起肺动脉高压及肺静脉高压(如二尖瓣狭窄),造成肺循环时延长,CT检查时机掌握不好会影响左心房-肺静脉成像及图像质量。
六、MDCT肺动脉检查X辐射剂量
X线辐射的生物学危害分为远期效应和近期效应。欧洲的一项研究显示,受到X线照射每10mSv有效剂量,癌症危险性增加0.05%,同时这种危险性随年龄减小而增大,因此在小儿CT检查中要特别注意X线剂量的管理问题。目前MDCT由于其探测器排数的增加,在扫描中采用亚毫米薄层、小螺距连续扫描,在提高图像质量的同时,射线剂量也相应增加。国际辐射防护委员会建议每人每年接受放射剂量(有效剂量)累计不得超过50mSv。成人多排螺旋CT肺动脉造影(CTPA),每次检查辐射剂量1.6~8.3mSv。尚属安全范围。
辐射剂量比较见下表8-1-1。
表8-1-1 CT检查辐射剂量比较
CT:多排螺旋CT;CTA:CT增强扫描;V/Q:核素肺灌注/通气扫描;CTV:CT静脉造影;DSA:数字减影血管造影;CTPA:CT肺动脉造影
CTPA检查人体X线辐射剂量是安全的。但是,X线的生物学危害仍需重视。降低检查辐射剂量的方法:①合理选择扫描参数。辐射剂量与管电压的平方成正相关关系。对比剂经过上腔静脉到右心房到右心室相对比较集中,可以选用相对低的管电压。管电流的合理选择,如果使用固定管电流,可以根据患者的体质指数来选择恰当的管电流;如果采用管电流自动调制技术,可以设定一个恒定的噪声指数,以保证图像质量。噪声指数的合理选择既可以满足图像诊断的需要又能够避免患者接受无谓的射线。②减少曝光时间、增大螺距,选用较大的射线束宽度,合理地选择曝光范围,都可以减少曝光时间,从而可以有效地减少辐射剂量。③对女性患者乳腺组织在X线的照射下有增加癌症发病率的风险,尤其对于年轻患者女性来说,CTPA检查对乳腺组织不可避免地要受到X线照射,因此如何对乳腺组织进行有效的防护也非常重要。外屏蔽技术的原理是可以在患者乳腺组织覆盖屏蔽材料(如含铋的防护材料),避免了乳腺直接接受X线的照射,减少了患者腺体组织所接受的剂量,降低了患者患乳腺癌的风险。妇女、儿童不建议CT静脉造影(CTV)检查,可以应用超声或MRA解决。④临床医生应该严格掌握CTPA检查适应证,避免不必要的检查申请。CT科医生及技师应该严格做好放射防护。
(戴汝平)
参考文献
1.戴汝平,马展鸿。肺血管疾患多排螺旋CT成像及诊断。北京:科学出版社,2014.
2.戴汝平。心血管病CT诊断学。第2版。北京:人民卫生出版社,2013.
3.王辰。肺动脉高压。北京:人民卫生出版社,2014.
4.吴华伟,程杰军,李剑颖,等.CT能谱成像定量碘基物质图对肺栓塞的诊断价值。中华放射学杂志,2011,45(8): 727-730.
5.刘兴龙,徐卓东,于晶,等。锐影扫描成像技术原理和应用。中国医疗设备,2013,28(3):120-123.
6.Gnannt R,Winklehner A,Goetti R,et al.Low kilovoltage CT of the neck with 70kVp:comparison with a standard protocol.AJNR Am JNeuroradiol,2012,33(6):1014-1019.
7.Winklehner A,Goetti R,Baumueller S,et al.Automated attenuation-based tube potential selection for thoracoabdominal computed tomography angiography:improved dose effectiveness.Invest Radiol,2011,46(12): 767-773.
8.CAREkV(computer program).Version syngo CT 2011A(VA40).Forchheim: Siemens Healthcare,2011.
9.Alibek S,Brand M,Suess C,et al.Dose reduction in pediatric computed tomography with automated exposure control.Acad Radiol,2011,18(6): 690-693.
10.Smith AB,Dillon WP,Gould R,et al.Radiation dosereduction strategies for neuroradiology CT protocols.Am J Neuroradiol,2007,28(9): 1628-1632.
11.Zhang LJ,Wang ZJ,Zhou CS,et al.Evaluation of pulmonary embolism in pediatric patients with nephrotic syndrome with dual energy CT pulmonary angiography.Acad Radiol,2012,19(3): 341-348.
12.Wang G,Yu H,De Man B.An outlook on x-ray CT research and development.Med Phys,2008,35(3):1051-1064.
13.Brenner DJ,Hall EJ.Computed tomography-an increasing source of radiation exposure.N Engl J Med,2007,357(22): 2277-2284.
14.Brooks RA,Di Chiro G.Principles of computer assisted tomography(CAT)in radiographic and radioisotopic imaging.Phys Med Biol,1976,21(5): 689-732.
15.Xu J,Mahesh M,Tsui BM.Is iterative reconstruction ready For MDCT?J Am Coil Radiol,2009,6(4):274-276.
16.Hu XH,Ding XF,Wu RZ,et al.Radiation dose of non-enhanced chest CT can be reduced 40%by using iterative reconstruction in image space.Clin Kadiol,201l,66(11): 1023-1029.
17.Ghetti C,Ortenzia O,Serreli G.CT iterative reconstruction in image space:A phantom study.Phys Med,2011,28(2): 161-165.
18.Moscariello A,Takx RA,Schoepf UJ,et al.Coronary CT angiography:image quality,diagnostic accuracy,and potential for radiation dose reduction using a novel iterative image reconstruction technique—comparison with traditional filtered back projection.Eur Radiol,2011,21(5):2130-2138.
19.赵艳娥,张龙江,卢光明,等。双源CT双能量肺灌注成像诊断肺栓塞。中国介入影像与治疗学,2009,6(1): 36-39.
20.Brenner DJ,Hall EJ.Computed Tomography—An increasing Source of Radiation Exposure.N Engl J Med,2007,357(22): 2277-2284.
21.Kalra MK,Maher MM,Toth TL,et al.Strategies for CT Radiation Dose Optimization.Radiology,2004,230(3): 619-628.
22.Matin D,Nelson RC,Sclnndera ST,et al.Low-tubevoltage,high-tube-cunenc multidetector abdominal CT:improved image quality and decreased radiation dose with adaptive statistical iterative reconstruction algorithm-initial clinical experience. Radiology, 2010, 254(1):145-153.
23.Beister M,Kolditz D,Kalender W.Iterative reconstruction methods in X-ray CT.Phys Med,2012,28(2):94-108.
24.Mieville FA,Gudinchet F,Brunelle F,et al.Iterative reconstruction methods in two different MDCT scanners:Physical Metrics and 4-alternative forced-choice detectability experiments-A phantom approach.Phys Med,2013,29(1): 99-110.
25.Sodickson A,Weiss M.Effects of patient size on radiation dose reduction and image quality in low-kVp CT pulmonary angiography performed with reduced IV contrast dose.Emerg Radiol,2012,19(5): 437-445.
26.Co S J,Mayo J,Liang T,et al.Iterative reconstructed ultra-high pitch CT pulmonary angiography with cardiac bowtie-shaped filter in the acute setting:Effect on dose and image quality.European Journal of Radiology,2013,82(9): 1571-1576.
27.Zamboni GA,Guariglia S,Bonfante A,et al.Low voltage CTPA for patients with suspected pulmonary embolism.Eur J Radiol,2012,81(4): e580-584.
28.Kalra N,Vyas S,Gupta A,et al.Comparison of helical and axial mode indirect computed tomographic venography in patients with pulmonary thromboembolism.Lung India,2012,29(2): 131-136.
29.O′Neill J,Murchison JT,Wright L,et al.Effect of the introduction of helical CT on radiation dose in the investigation of pulmonary embolism.Br J Radiol,2005,78(925): 46-50.
30.Sangwaiya MJ,Kalra MK,Sharma A,et al.Dual-energy computed tomographic pulmonary angiography:a pilot study to assess the effect on image quality and diagnostic confidence.J Comput Assist Tomogr,2010,34(1):46-51.
31.Stein EG,Haramati LB,Chamarthy M,et al.Success of a safe and simple algorithm to reduce use of CT pulmonary angiography in the emergency department.Am J Roentgenol,2010,194(2): 392-397.
32.Uehara M,Tanabe N,Funabashi N,et al.Detailed distribution of acute pulmonary thromboemboli:direct evidence for reduction of acquisition length and radiation dose for triple rule-out CT angiography.Int J Cardiol,2011,147(2): 234-238.
33.Rodrigues JC,Negus IS,Manghat NE,et al.A completed audit cycle of the lateral scan projection radiograph in CT pulmonary angiography(CTPA);the impact on scan length and radiation dose.Clin Radiol,2013,68(6):574-579.
34.Shuman WP,Leipsic JA,Busey JM,et al,Prospectively ECG gated CT pulmonary angiography versus helical ungated CT pulmonary angiography:impact on cardiac related motion artifacts and patient radiation dose.Eur J Radiol,2012,81(9): 2444-2449.
35.Henes FO,Groth M,Begemann PG,et al.Impact of tube current-time and tube voltage reduction in 64-detector-row computed tomography pulmonary angiography for pulmonary embolism in a porcine model.J Thorac Imaging,2012,27(2): 113-120.
36.Lee EY,Zurakowski D,Boiselle PM.Pulmonary embolism in pediatric patients survey of CT pulmonary angiography practices and policies.Acad Radiol,2010,17(12): 1543-1549.
37.Godoy MC,Heller SL,Naidich DP,et al.Dual-energy MDCT:comparison of pulmonary artery enhancement on dedicated CT pulmonary angiography,routine and low contrast volume studies.Eur J Radiol,2011,79(2):e11-17.
38.Mendrik AM,Vonken EP,de Kort GA,et al.Improved arterial visualization in cerebral CT perfusion-derived arteriograms compared with standard CT angiography:a visual assessment study.AJNR,2012,33:2171-2177.
39.Leung AN,Bull TM,Jaeschke R,et al.An official A-merican Thoracic Society/Society of Thoracic Radiology clinical practice guideline:evaluation of suspected pulmonary embolism in pregnancy.ATS/STR Committee on Pulmonary Embolism in Pregnancy.Am J Respir Crit Care Med,2011,184(15): 1200-1208.
40.Yuan R,Shuman WP,Earls JP,et al.Reduced iodine load at CT pulmonary angiography with dual-energy monochromatic imaging:comparison with standard CT pulmonary angiography——a prospective randomized trial.Radiology,2012,262(1): 290-297.
41.Ezwawah O,Alkoteesh J,Barry JE,et al.Pulmonary embolism in pregnancy:is nuclear medicine imaging still a valid option?Ir Med J,2008,101(9): 281-284.
42.Leung AN,Bull TM,Jaeschke R,et al.American Thoracic Society documents:an official American Thoracic Society/Society of Thoracic Radiology Clinical Practice Guideline——Evaluation of Suspected Pulmonary Embolism in Pregnancy.ATS/STR Committee on Pulmonary Embolism in Pregnancy.Radiology,2012,262(2):635-646.
43.Doshi SK,Negus IS,Oduko JM.Fetal radiation dose from CT pulmonary angiography in late pregnancy:a phantom study. Br J Radiol,2008; 81(968):653-658.
44.Freeman LM,Glaser JE,Haramati LB.Planar ventilation-perfusion imaging for pulmonary embolism:the case for“outcomes” medicine.Semin Nucl Med,2012,42(1): 3-10.
45.Miles S,Rogers KM,Thomas P,et al.A comparison of single-photon emission CT lung scintigraphy and CT pulmonary angiography for the diagnosis of pulmonary embolism.Chest,2009,136(6): 1546-1553.
46.Van der Molen AJ,Veldkamp WJ.16-slice CT:achievable effective doses of common protocols in comparison with recent CT dosesurveys.Br J Radiol,2007,80(95): 248-255.
47.Atalay MK,Walle NL,Egglin TK.Prevalence and nature of excluded findings at reduced scan length CT angiography for pulmonary embolism.J Cardiovasc Comput Tomogr,2011,5(5): 325-332.
48.Bauer RW,Kramer S,Renker M,et al.Dose and image quality at CT pulmonary angiography-comparison of first and second generation dual-energy CT and 64-slice CT.Eur Radiol,2011,21(10): 2139-2147.
49.Schembri GP,Miller AE,Smart R.Radiation dosimetry and safety issues in the investigation of pulmonary embolism.Semin Nucl Med,2010,40(6): 442-454.
50.Burns SK,Haramati LB.Diagnostic imaging and risk stratification of patients with acute pulmonary embolism.Cardiol Rev,2012,20(1): 15-24.
第二节 多排螺旋CT肺血管计算机重建
一、多排螺旋CT肺血管计算机重建技术
CT采集的是二维数据(X-Y轴数据)得到横断面图像,为得到三维图像,由计算机将横断面的二维数据应用线性插值法重建纵轴(Z轴)数据,得到三维数据(X-Y-Z轴数据)重建立体图像,供诊断、指导手术和教学应用。在MDCT增强肺血管成像中,三维重建方法主要包括以下几种:容积再现法(volume rendering,VR)、最大密度投影法(maximum intensity projection,MIP),多平面重组法(multi-planner reformat,MPR), 曲面重组法(curved planner reformat,CPR),仿真内镜(virtual endoscopy,VE)。
(一)容积再现
容积再现法(volume rendering,VR)是一种能生成极其直观真实的图像的三维重建法。与其他几种面向体元数据的方法不同,这种方法面向三维物体,用光线跟踪法给它们的表面加阴影,展现在屏幕上。容积再现的一个明显特点就在于放弃了传统图形学中体由面构造的这一约束,而采用体绘制光照模型直接从三维数据场中绘制出各类物理量的分布情况。体绘制的根本点就在于直接研究光线穿过三维体数据场时的变化,得到最终的绘制结果,所以有时体绘制也被称做直接体绘制。由于体绘制的这种直接性,非常符合人的视见过程,因此保留了大量的细节信息,大大地提高了图像的保真度,这时图像质量的好坏主要集中在光照模型、绘制过程上。
容积再现技术的优点是:①可以直观地反映物体的空间位置、结构和与其他器官的关系,是真正的三维立体重建;②容积再现技术保留了原始数据的全部信息,可以直接对图像进行分析处理,直接从立体图像上进行原始数据提取和测量,增强了交互性。对肺动脉及肺静脉疾患诊断有重要价值(图8-2-1)。
缺点:①影响因素较多,如重建阈值的选取,造影剂浓度等,对三维图像质量影响很大;②受部分容积效应的影响,夸大血管狭窄或梗阻的诊断,特别是较细的血管;③对伪影的识别有困难,使得伪影具有真实感,一般需要结合多层面重组进行进一步评价。
(二)最大密度投影
最大密度投影法(maximum intensity projection,MIP)是对三维体元数据,沿着X方向或Y、Z方向进行投影,每条投射线经过有所体元值取得最大的一个作为结果的像素值,这样得到的投影图像叫最大密度投影。
MIP的优点:①操作过程简单,不需要阈值,是取得投影线上全部像素的CT值,没有数据丢失,用以观察肺动脉解剖、分布、走行以及管壁钙化;②在一副图像内概括整个立体空间的CT值信息;③图像上的灰度体现相对密度,高密度物体显示突出(图8-2-2)。
图8-2-1 肺动脉容积再现(VR)
正常肺动脉:A.冠状位;B.背面观;C.左前斜位;D.右前斜位
图8-2-2 最大密度投影(MIP)
正常肺动脉及肺静脉(骨骼高密度重叠,影响对软组织观察)
缺点:①投影线前后物体的影像重叠,目标血管会和投影线上的其他组织、器官相重叠,高密度(骨骼、钙化)会完全遮蔽低密度组织影像(如血管软组织、非钙化性栓子等)。但是,可以通过多角度重建采用转动观察,能够解决这一问题。在肺动脉诊断中常被应用。②低密度物体(如血栓)被遮盖而遗漏。③从单独一幅投影图像不能了解空间结构,需要旋转角度做一系列投影图以电影方式观察。
(三)多层面重组与多层面容积重组
多层面重组是交互式容积观察的延续。让三维体元数据分别绕 x、y、z轴旋转任意角度,再移动三个平面截取,或者用斜面截取,实现了用任意角度的平面截取三维空间。可以任意规定层厚,令层厚范围内的体元值平均,得到新断层的像素值。层数、层间距可以任意规定,层厚大能降低图像噪声,我们以任意的角度、层厚、层间距重新做了一组扫描,这就是多层面重组(multiplanner reformat,MPR)。
由于是多层面,又称多层面容积重组(multiplanner volume reformat,MPVR)(图8-2-3)。
图8-2-3 肺动脉多层面容积重组(MPVR)
肺动脉:A.冠状位;B.矢状位(左肺动脉)
MPR优点:①是一种比较简单直接的重组观测方式。可以观察肺动脉解剖、管腔,管腔内的栓子的大小和位置。②多角度观察,显示肺动脉的解剖结构以及和周围解剖结构的关系,不需要再次扫描。是肺动脉成像采用的重建方法。③不仅显示目标器官,而且显示断面上的全部结构,因而易辨认移动伪影。
缺点:一个角度或一定层厚只能显示目标血管的一部分,当空间结构复杂时,难以在一幅图像表达,需要依据感兴趣区做一系列的重组图像或多角度观察。
(四)曲面重组法(curved planner reformat,CPR)
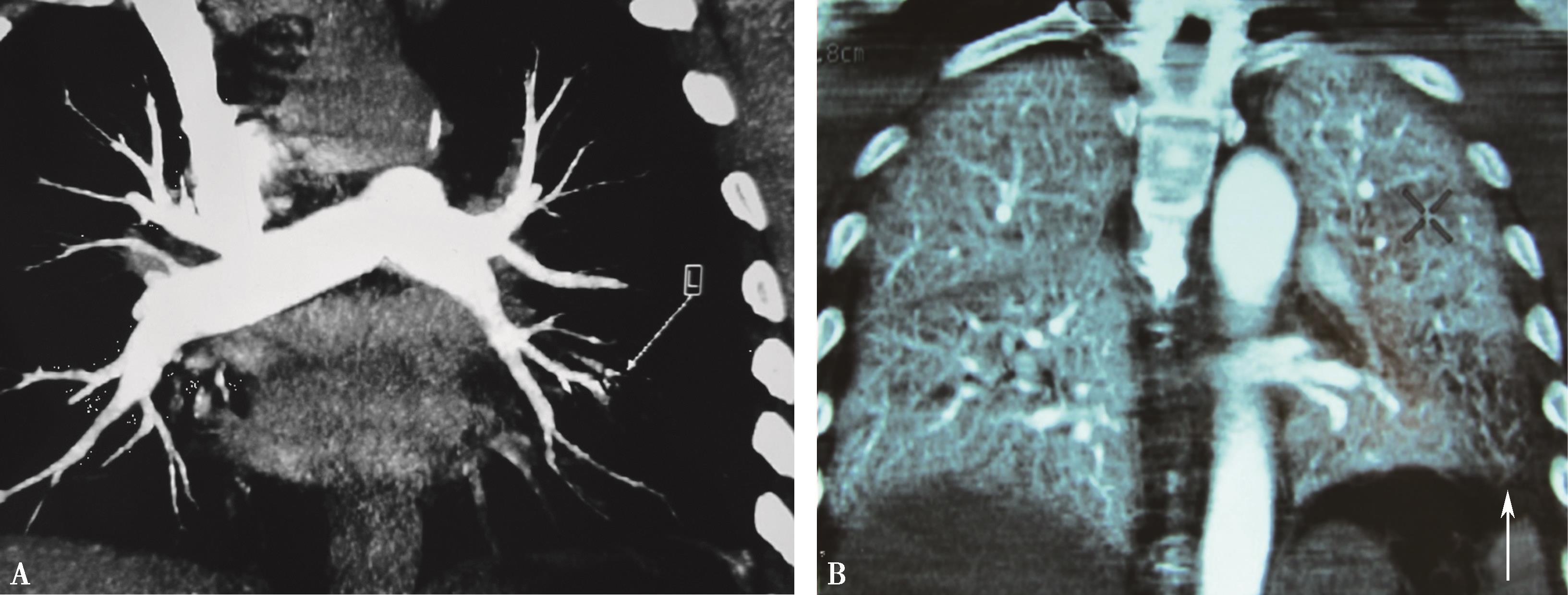
曲面重组方式需要有一条已知的中心线,沿着此中心线以一定的角度双向延展,切割原始体数据集呈一曲面,将此曲面展开为平面后即可使全程的中心线在结果平面中得以显示。曲面重组法的重要意义便是可以将中心线全程显示在一个平面内,并可以以中心线为轴线360°方向上各个方向的信息,给血管图像重建提供了很大的帮助。其优点:是用于对于弯曲走行的器官,如肺动脉及其分支全程显示在一个平面内,有重要意义(图8-2-4)。
图8-2-4 曲面重组(CPR)
A.左右肺动脉;B.右下肺动脉自动拉直展开,用于自动分析
缺点:曲面重建必须准确沿着血管轴线作出曲面才能正确表达管径,对于细的血管难以做到,同时由于曲面展开观察,解剖关系变形,不好分辨。每次只能观察一支血管,多支血管需要重复操作。
(五)仿真内镜(virtual endoscopy,VE)
CT仿真内镜的成像原理:多层螺旋CT连续扫描所获得的容积数据是成像的基础,在此基础上通过计算机软件识别空腔器官内壁与中空区域(多为空气,或为高浓度的造影剂)之间的密度差,提取管壁组织的CT值作为成像的像素,形成中空的管腔图像,然后调整CT值阈值及透明度,使不需要观察的组织透明度为100%(即消除其影像),而需要观察的组织透明度为0,从而保留其图像,再调节人工伪彩,即可获得类似纤维内镜观察的仿真色彩(图8-2-5)。
图8-2-5 仿真内镜
A.左心房-肺静脉仿真内镜(VE)。右上、下肺静脉开口;B.血管腔内狭窄(↑)
CT仿真内镜,又称虚拟内镜,在容积重建时使用了透视算法,使三维物体看上去有近大远小的效果,在观测点上可以进行任意角度的观察,对于选定了一定路线的CT仿真内镜,我们还可以沿着路径的方向进行电影式观察。
CT仿真内镜技术优点:①非侵入式的辅助医学检查技术,通过CT扫描所得腔体数据进行重建和绘制,将腔体内的信息展示在我们面前;②可回顾性,我们可以反复的观察所得腔体内部的信息;③交互性,可以通过改变观测角度和范围,从而能够观察到传统有创内镜无法观察到的地方;④连续性,可以电影式连续观察。
缺点:①检查技术要求严格。机械因素、操作因素、患者配合等人为因素所造成的伪像,影响图像重建。我们必须注意因此而带来的CT仿真内镜与真实情况的误差避免误解。②仿真内镜扁平病变观察受限。局部观察,缺乏整体感。
二、计算机重建肺血管解剖
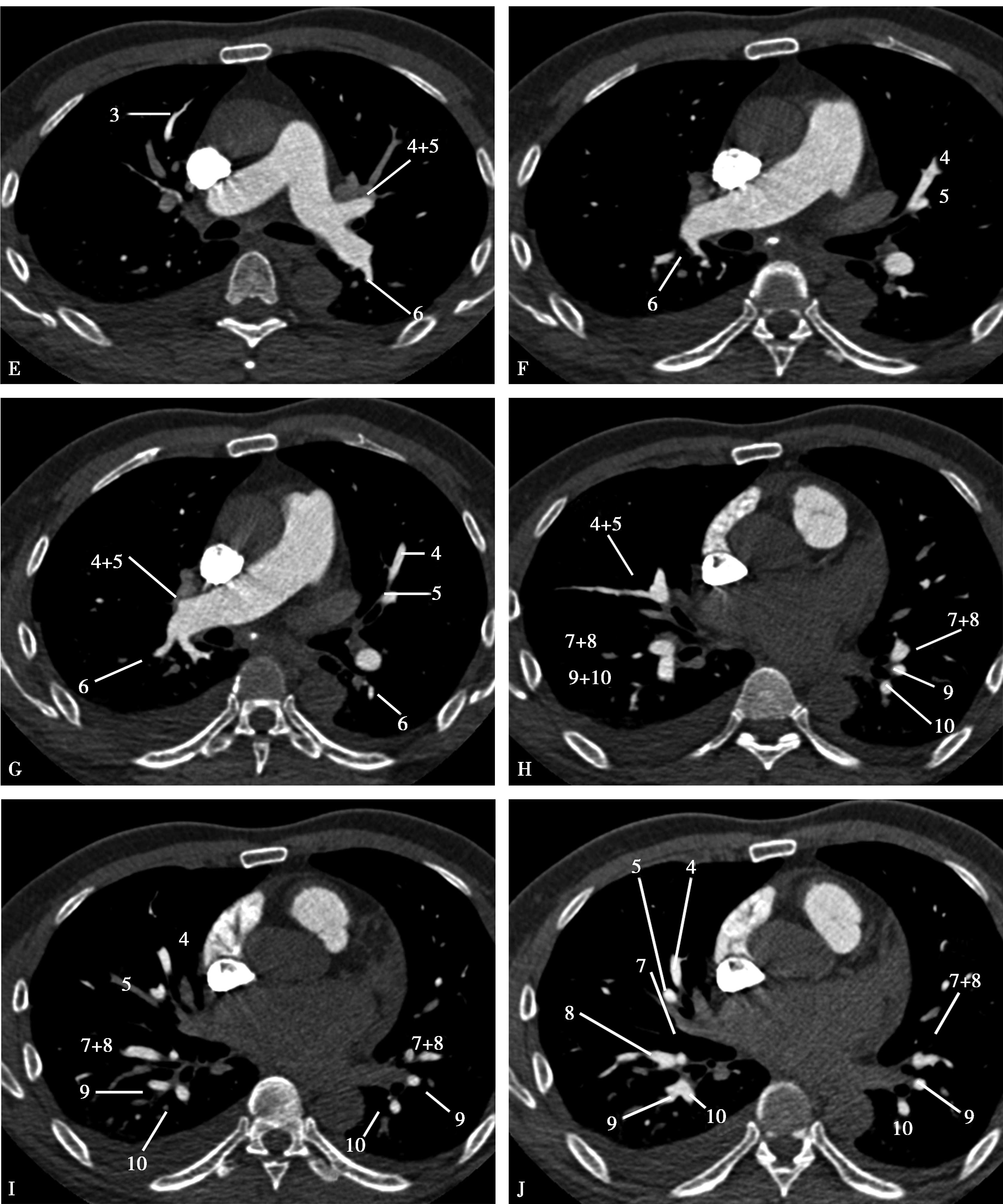
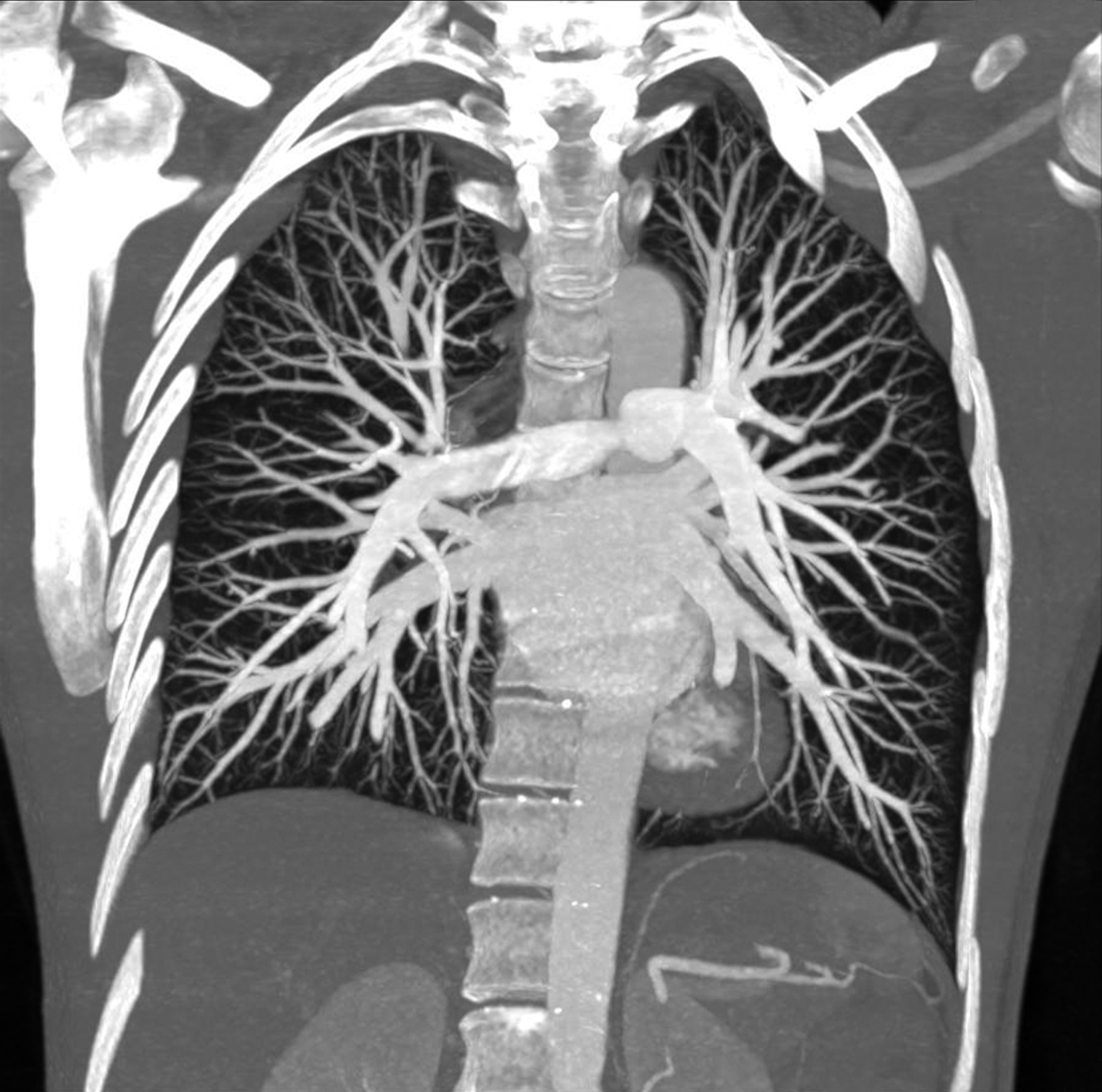
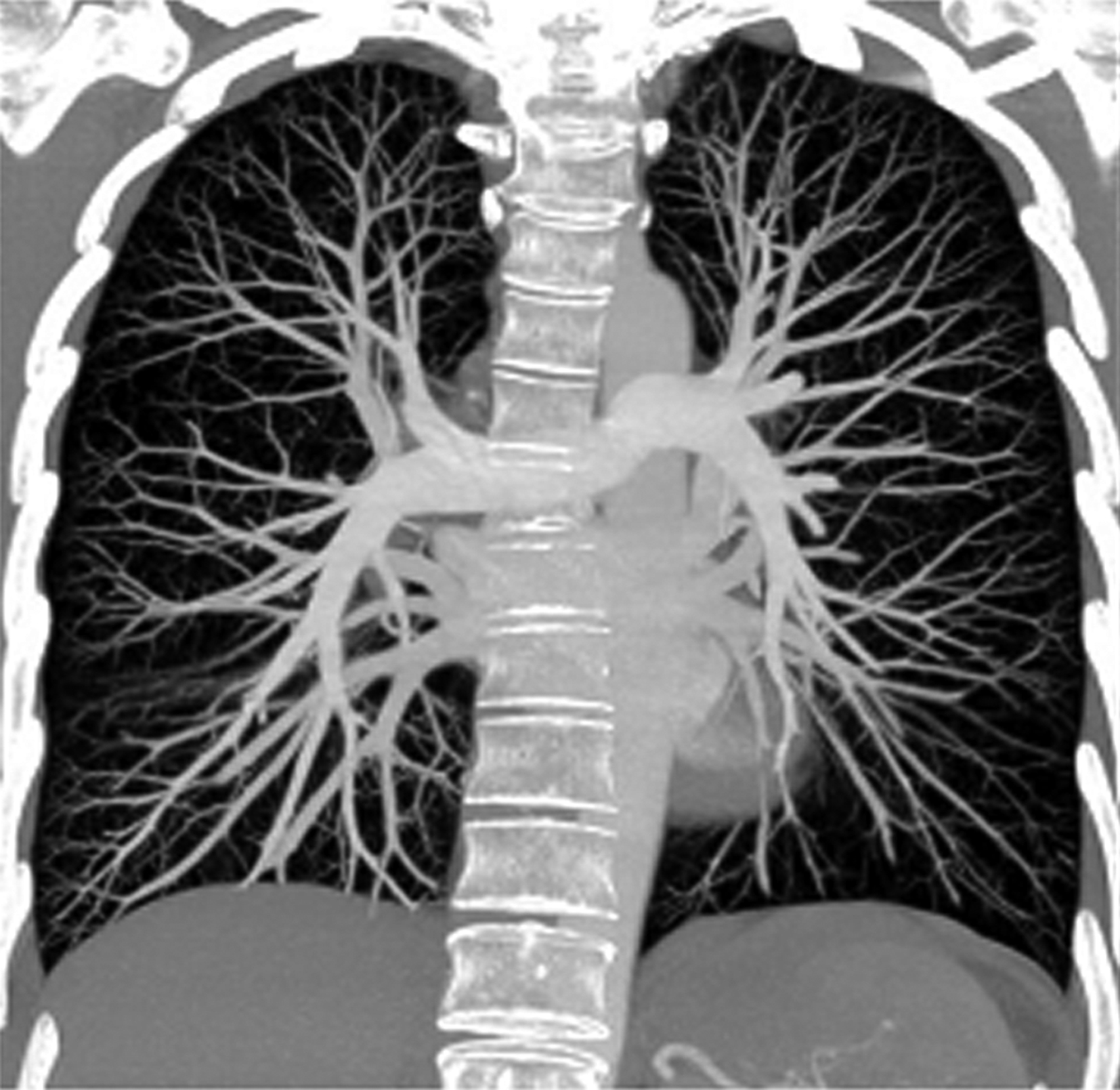
(一)肺动脉解剖(图8-2-6)
1.肺动脉横断像
(1)上叶肺动脉层面(图8-2-7A~D)。
(2)中叶层面(图8-2-7E、 F)。
(3)中、下叶层面(图8-2-7G~J)。
图8-2-6 肺动脉正常解剖模式图
图8-2-7 肺动脉横断扫描
A~D.上叶:1.尖段;2.后段;3.前段。E~J.(右肺)中叶:4.外侧段;5.内侧段。(左肺)舌叶:4.上舌段;5.下舌段。下叶:6.背段;7.内基底段;8.前基底段;9.外基底段;10.后基底段
2.多层容积重组(MPVR,图8-2-8)
图8-2-8 肺动脉多层容积重建
上叶:1.尖段;2.后段;3.前段。(右肺)中叶:4.外侧段;5.内侧段。(左肺)舌叶:4.上舌段;5.下舌段。下叶:6.背段;7.内基底段;8.前基底段;9.外基底段;10.后基底段。PA:肺动脉;RA:右心房
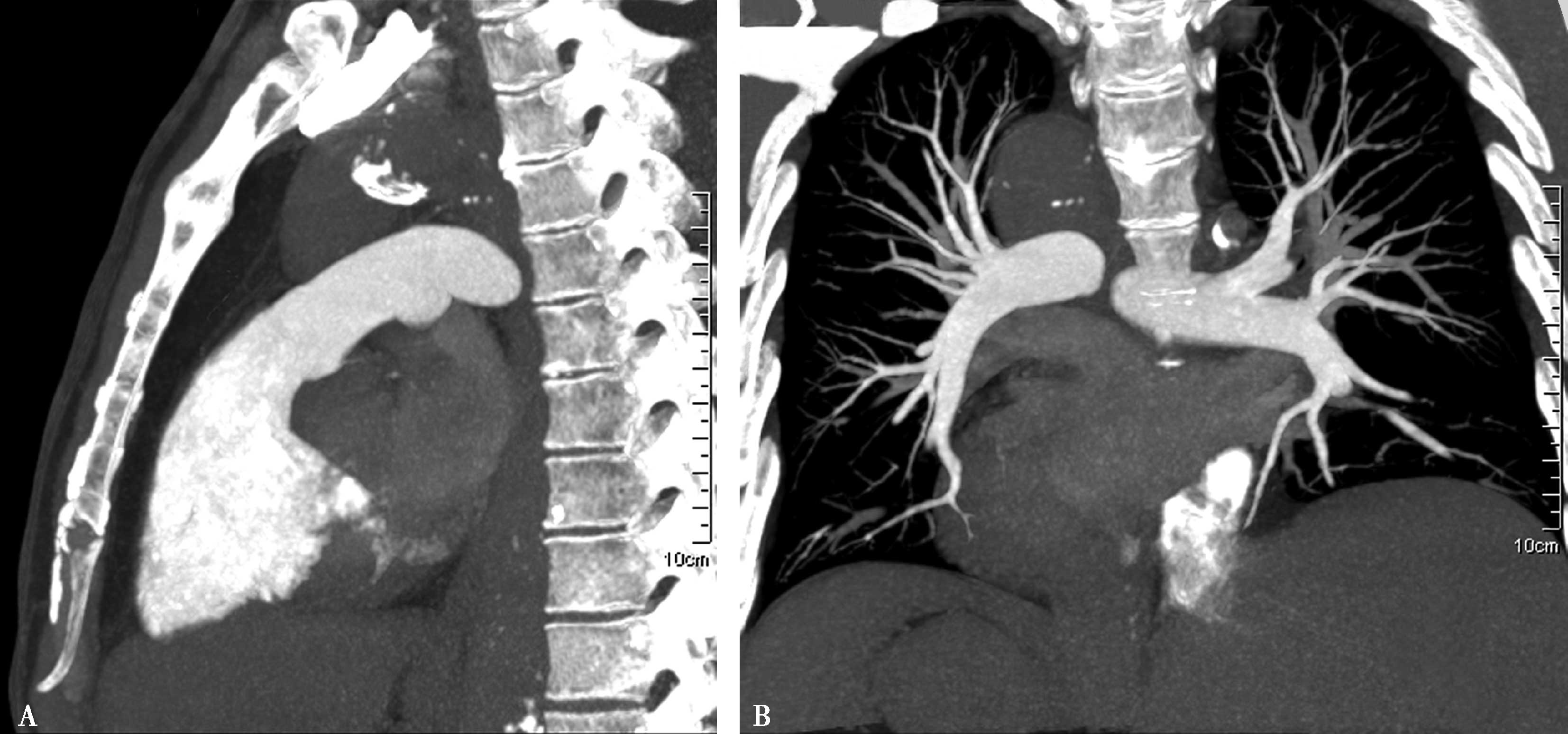
3.容积再现(VR)(图8-2-9)
图8-2-9 肺动脉容积再现与肺动脉DSA对照图
肺动脉DSA(ACE):A.肺动脉DSA(冠状位);C.右肺动脉DSA(矢状位);E.左肺动脉DSA(矢状位)。肺动脉容积再现(BDF):B.肺动脉VR(冠状位),D.右肺动脉VR(矢状位),F.左肺动脉VR(矢状位)。上叶:1.尖段;2.后段;3.前段。(右肺)中叶:4.外侧段;5.内侧段。(左肺)舌叶:4.上舌段;5.下舌段。下叶:6.背段;7.内基底段;8.前基底段;9.外基底段;10.后基底段
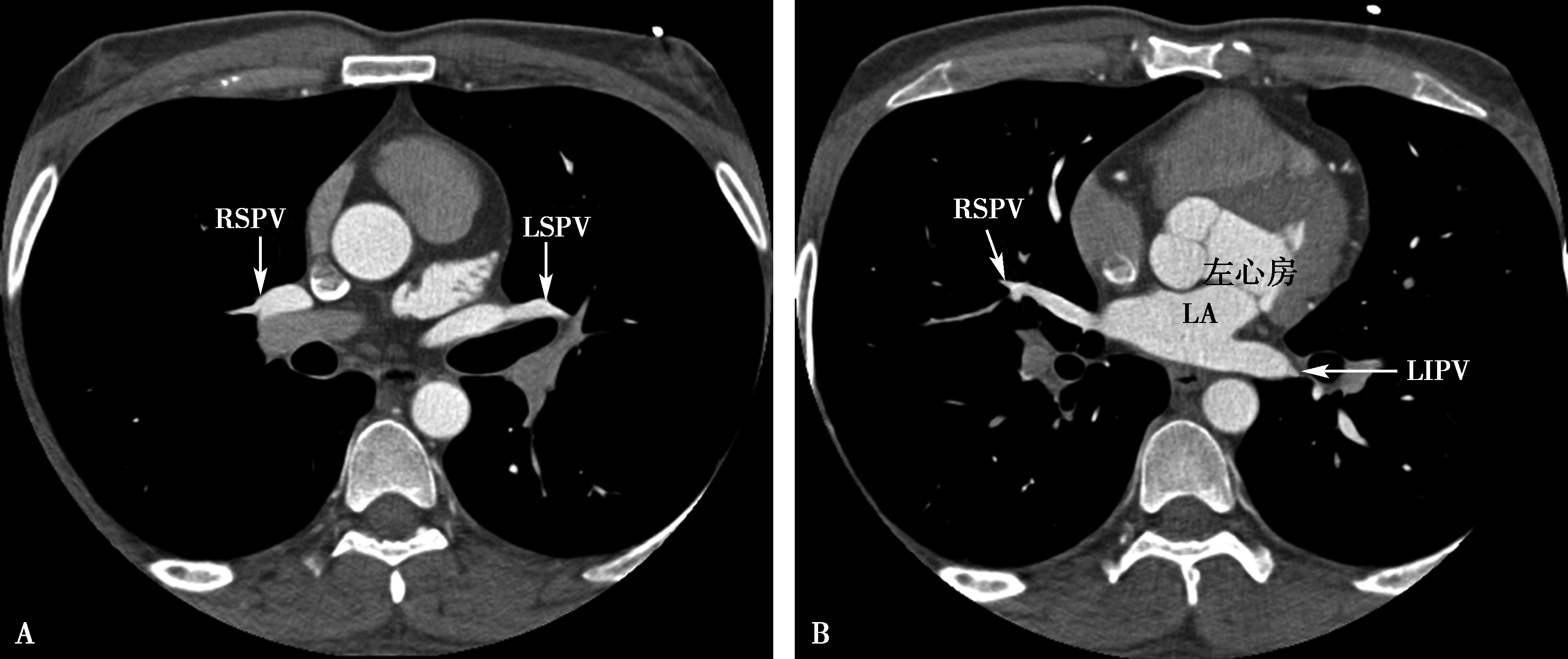
(二)肺静脉解剖
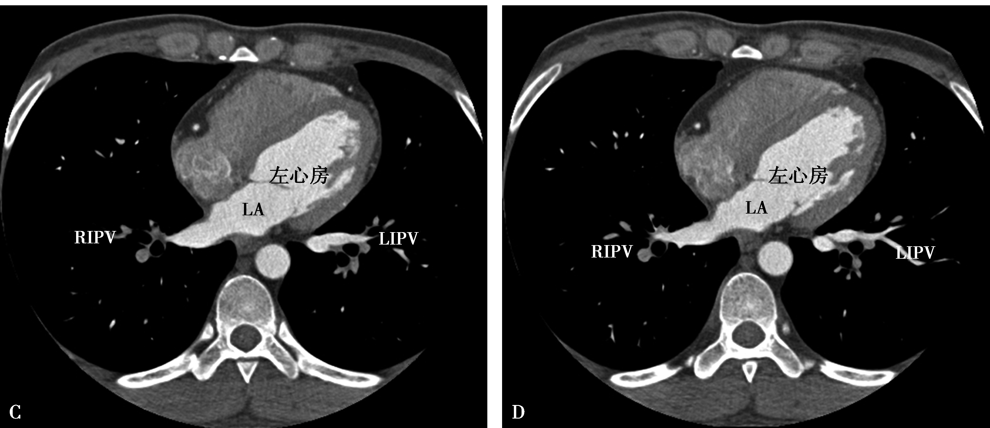
1.横断图像(图8-2-10)
图8-2-10 肺静脉横断像
A.升主动脉层面;B.主动脉根部层面;C.左心房-二尖瓣层面;D.左心房-二尖瓣层面。RSPV:右上肺静脉;RIPV:右下肺静脉;LSPV:左上肺静脉;LIPV:左下肺静脉;LA:左心房
2.曲面重组(CPR)(图8-2-11)
图8-2-11 肺静脉曲面重组
A.右上肺静脉(RSPV↑);B.右下肺静脉(RIPV↑)
3.最大密度投影(MIP)(图8-2-12)
图8-2-12 肺静脉最大密度投影(MIP)
A.冠状位;B.冠状位;C.右前斜位,右肺静脉;D.左前斜位,左肺静脉。RSPV:右上肺静脉;RIPV:右下肺静脉;LSPV:左上肺静脉;LIPV:左下肺静脉;LA:左心房;LV:左心室
4.容积再现(VR)(图8-2-13)
图8-2-13 左心房-肺静脉容积再现(VR)
A.冠状位;B.背面观;C.冠状位适度LAO;D.背面观适度LAO。RSPV:右上肺静脉;RIPV:右下肺静脉;LSPV:左上肺静脉;LIPV:左下肺静脉;LA:左心房
5.仿真内镜(VE)(图8-2-14)
图8-2-14 仿真内镜(VE)
左心房-右上肺静脉开口(AB↑),下肺静脉开口(AC▲)
(戴汝平)
参考文献
1.Hideo A,Jun N.Three-Dimentional CT Angiography.Boston:Little Brown Company,1995.
2.Raptopoulos V,Boiselle PM.Multi-detector row spiral CT pulmonary angiography:comparison with single-detector row spiral CT.Radiology,2001,221(3): 606-613.
3.Prologo JD,Gilkeson RC,Diaz M,et al.CT pulmonary angiography:a comparative analysis of the utilization patterns in emergency department and hospitalized patients between 1998 and 2003.Am J Roentgenol,2004,183(4): 1093-1096.
4.Wittram C.How I Do It:CT Pulmonary Angiography.Am J of Roentgenol,2007,188(5): 1255-1261.
5.戴汝平。心血管病CT诊断学。第2版。北京:人民卫生出版社,2013.
6.戴汝平,马展鸿。肺血管病多排螺旋CT成像及诊断。北京:科学出版社,2014.
7.Bruder H,Stierstorfer K,McCollough C,et al.Design considerations in cardiac CT,Medical Imaging,2006,61(7): 42-43.
8.Herzog C,Abolmaali N,Balzer JO,et al.Heart-rate-adapted image reconstruction in multidetector-row cardiac CT:Influence of physiological and technical prerequisite on image quality.Eur Radiol,2002,12(11):2670-2678.
9.Vembar M,Garcia MJ,Heuscher DJ,et al.A dynamic approach to identifying desired physiological phase for cardiac imaging using multislice spiral CT.Med Phys,2003,30(7): 1683-1693.
第三节 多排螺旋CT相关功能检查
一、多排螺旋肺灌注扫描与临床应用
MDCT灌注成像是指在静脉注射对比剂后对选定的层面进行连续多次扫描,以获得该层面内每一像素的时间-密度曲线(time-density curve,TDC),根据该曲线利用不同的数学模型计算出血流量(blood flow,BF)、血容量(blood volume,BV)、对比剂的平均通过时间(mean transit time,MTT)、对比剂峰值时间(time to peak,TTP)、表面通透性(permeability surface,PS)等参数,以此来评价肺组织的灌注状态。
(一)CT肺灌注成像的扫描及后处理技术
1.先行定位相扫描,确定灌注扫描的靶层面。
2.经静脉注射对比剂40~50ml,流率为4ml/s~5ml/s,扫描时间为5~15秒,对病灶最大层面行同层连续动态增强扫描(cine模式),多层螺旋CT为固定多层的连续动态扫描,层厚5~10mm,同一层面连续扫描35~40次,要求患者屏气,以保证图像质量和计算的准确性。
3.所得扫描图像由随机灌注软件进行后处理,不同的CT机型附带的软件各不相同,主要有perfusion CT或functional CT专用软件。后处理过程中,感兴趣区(region of interest,ROI)的选择很重要,应避免病灶内肉眼可见的血管、钙化、坏死及病灶边缘,尽量选择大的ROI以减少光子噪声。
4.经软件计算得到病变ROI的时间-密度曲线和一系列CT灌注参考图,图像均可以彩色显示,突出病变区域的对比,在灌注参考图上可得到感兴趣区各项灌注参数,以便进行定量、半定量分析和数据统计分析。
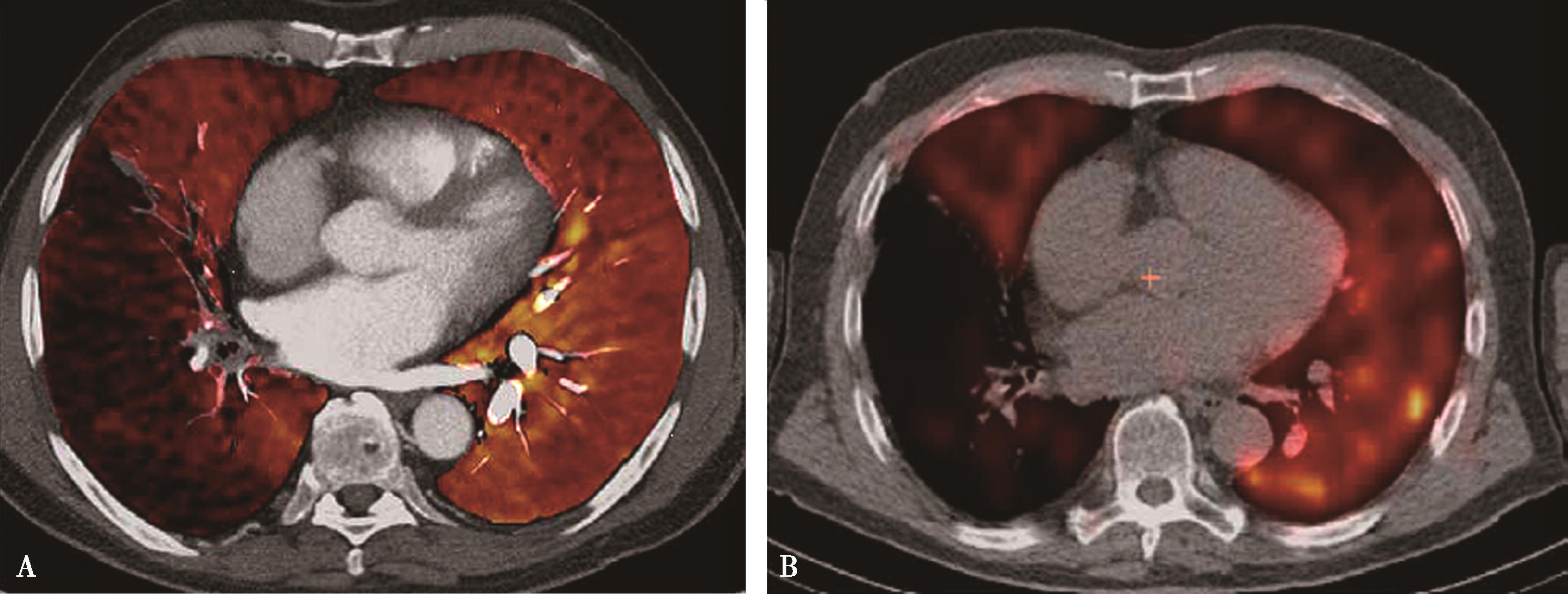
(二)双能量CT肺灌注成像技术
CT双能量肺灌注成像(dual energy lung perfusion imaging,DELPI)目前只能在双源CT上实现。双源CT的两个垂直安装的x线管可以分别发射不同能量的射线进行同步螺旋扫描,获得的数据经过计算机处理,将不同能量下所采集的各种物质密度的信息进行分析,从而达到诊断疾病的目的。DELPL即通过这两种能量状态下对肺组织内碘对比剂的分布情况进行分析,仅通过1次曝光扫描,不但能够获得常规的CT密度图像信息,更能得到肺的灌注信息,从而提示肺血流受损情况、肺功能的改变及提示可能的肺小栓子的存在。
尽管DELPI可以敏感地发现肺灌注改变,然而,这种改变并非肺栓塞所特有,纵隔炎累及肺动脉狭窄-闭塞、肺血管炎、肺癌侵犯肺门血管合并肺不张及阻塞性肺炎、肺炎等均可表现为灌注减低或缺失,故必须结合平扫、CTPA、灌注图进行综合分析,方可作出正确诊断。
1.扫描范围 从肺尖到膈顶。
2.双源CT(Somatom Definition DS,Siemens Healthcare,Forchheim,Germany),2个球管管电压分别为80kV、140kV,参照管电流分别为51mA和213mA。使用4D剂量实时控制系统降低辐射剂量,2个球管有效管电流分别为22~51mA和122~213mA。X线球管旋转时间为0.33秒,探测器准直器32×0.6mm,螺距0.5,视野260mm。
3.扫描采用的对比剂跟踪技术,监测层面设定在肺动脉干层面,ROI定为肺动脉主干,触发阈值定义为100HU,延迟6秒。
4.双筒高压注射器以4ml/s的速率经肘静脉注射80ml的浓度为300~370mgI/ml的含碘对比剂(小儿注射速率和对比剂用量可适度降低),随后按相同的速率注射生理盐水30~50ml,以尽量减少腔静脉内残留的对比剂。
图像后处理和图像分析流程:①进行DE-CTPA扫描可常规获得80kV、140kV及平均加权3个系列图像。在临床实践中,平均加权图像是将80kV和140kV系列的图像以0.3的融合系数融合而得的,指的是30%的图像信息来自80kV图像,70%的图像信息来自140kV图像。②目前应用于DE-CTPA的后处理软件有肺灌注血容量成像软件(lung perfused blood volume,Lung PBV)和双能量肺血管成像软件(lung vessels)。双能量CT肺灌注成像软件是目前应用最多的评价肺灌注的软件,它利用3种成分(空气、软组织和碘)解析方法进行分析。由于碘在高低千伏时X线衰减明显不同,而空气和软组织则没有明显的变化,从而可提取出碘对比剂的信号。利用该软件可获得3个系列图像,即解剖图像、肺灌注图像和两者的融合图像。肺灌注图像提供了靶器官碘对比剂分布的信息,融合图像则可以同时显示靶器官碘的分布和相应的解剖信息。
(三)CT能谱增强扫描技术
CT常规平扫及能谱扫描,经数据处理后,可以获得单能量肺CTA及碘基物质图像,记录肺实质灌注、准确测量碘分布及含量,做到定量分析,评价生理状态及病理状态下肺实质血流动力学变化,为诊断做出功能学信息。
1.采用美国GE Medical system,Discovery 730HDCT。
2.扫描范围 从胸腔入口至膈水平,包括全部肺野。
3.扫描参数 ①胸部平扫:机架旋转时间:0.6s/周,螺距 0.984,床速39.37mm/周,管电流600mA,层厚及间距均为5mm,FOV 400mm×400mm。②能谱增强扫描:电压行高低能量(80和140kVp)瞬时(0.5ms)切换,其他扫描参数同于平扫。
4.对比剂 浓度300mgI/ml,采用双筒高压注射器,流速4ml/s,质量80~100ml,随之注入生理盐水;注入途径:肘静脉。
5.采用人工智能触发扫描系统确定延迟时间。感兴趣区(ROI)设在主肺动脉,CT值100HU,再延长7秒后自动开始扫描;扫描方向为头-足向。平均扫描时间约5s。
6.图像重建 原始数据重建为层厚1.25mm数据,利用随机gemstone spectral imaging(GSI)Viewer软件包,进行数据处理及分析,可以同时得到单能量70keV下CTA图像及碘基物质图像(iodine-based material decomposition imagines)。 两种图像均可以横断面、冠状面、矢状面显示。应用ROI测量任意肺野灌注区碘含量。对灌注减低区,应与对侧相应区或紧邻的正常灌注区进行对比测量。
(四)CT肺灌注成像临床应用
常规的CT肺灌注成像属于功能成像,通过灌注参数图,定量及半定量评价肺组织及病灶的灌注状态,但范围有限,不能包括全肺。双能量CT肺部灌注成像不仅可以显示肺栓塞所引起的形态学变化,而且能够提供栓塞后肺组织微循环改变,并以灌注伪彩图的形式直观地显示栓塞引起的灌注缺损区,为诊断及治疗提供更多信息,指导治疗,评价治疗效果。但CT肺灌注成像不能直接显示栓子的部位和大小,而且急性肺栓塞患者无法做到长时间屏气,因而其应用仍在探索中。
1.CT肺灌注成像肺血流灌注研究(EBCT资料,图8-3-1)足侧及背侧肺段正常灌注量:2.42ml/(min·ml)。 头侧及腹侧肺段正常灌注量:2.19ml/(min·ml)。容积扫描(解剖诊断)与功能扫描在肺段以上水平一致率为85%~100%。功能扫描提供肺血流定量研究,为诊断及治疗提供更多信息,指导治疗,评价治疗效果。
2.CT肺灌注成像肺栓塞的诊断应用 CTPA及肺部灌注成像可以显示肺动脉管腔形态,可以显示肺栓塞所引起的肺动脉形态学变化,同时提供栓塞后肺组织微循环改变,并以灌注伪彩图的形式直观地显示栓塞引起的灌注缺损区,为诊断及治疗提供更多信息,指导治疗,评价治疗效果。但CT肺灌注成像不能直接显示栓子的部位和大小,诊断应该结合CTPA所显示的肺动脉狭窄及梗阻,做出诊断。但是,研究表明灌注扫描对检出亚分段的栓塞,可以提高CTPA诊断敏感性(20%),有重要价值。与核素对照研究,高度相关( r =0.884)(图8-3-2~图8-3-6)。
图8-3-1 急性肺栓塞肺灌注成像(EBCT资料)
A、 B.治疗前, 灌注量0.15ml/(min·ml); C、 D.治疗后, 灌注量改善1.4ml/(min·ml)
图8-3-2 正常肺组织
A.双能CT肺灌注成像(DELPI);B.核素 99m Tc-MAA SPECT/CT
图8-3-3 男,73岁,右肺下叶肺栓塞
A.双能CT肺灌注成像(DELPI);B.核素 99m Tc-MAA SPECT/CT。CT灌注扫描与核素检查结果一致
图8-3-4 男,69岁,双肺多发、急性肺栓塞
A.双能CT肺灌注成像(DELPI);B.核素 99m Tc-MAA SPECT/CT,CT灌注扫描与核素检查结果一致
图8-3-5 肺栓塞双能CT肺灌注成像(DELPI)
CTPA显示左肺舌叶段-亚分段、下叶内前基底段-亚分段未显影(A↑),灌注扫描示相应肺段灌注缺损(B↑),明确左肺舌叶段-亚分段、下叶内前基底段-亚分段肺栓塞诊断
图8-3-6 肺栓塞双能量CT能谱成像
A.右肺下叶外基底段栓塞(↑);B.能谱成像得到肺碘基物质图,梗阻肺段呈低灌注,清楚反映栓塞分布、程度(↑)
3.CT肺灌注成像肺血管疾病诊断的应用CTPA可以显示各种病因所引起的肺动脉病理解剖变化(狭窄、闭塞、动脉瘤形成等);同时,肺部灌注成像提供血管狭窄或梗阻引起的肺组织微循环改变,并以灌注伪彩图的形式直观地显示血管病变引起的灌注缺损区,为诊断及治疗提供更多信息,指导治疗,评价治疗效果。但CT肺灌注成像作为功能成像不能直接显示血管形态,只作为灌注功能评价。CT肺灌注扫描结果与核素对照研究高度相关( r =0.884);可以做为辅助CTPA功能诊断(图8-3-7,图8-3-8)。
图8-3-7 双能CT肺灌注
A.正常肺灌注;B.楔形灌注缺损(↑)
图8-3-8 纤维素纵隔炎患者双能量CT肺灌注
女,69岁,纤维素性纵隔炎。A、B横断像,C灌注扫描(冠状位),显示纵隔大血管之间低密度脂肪结构被中等密度的纤维组织所代替,双肺上叶肺动脉闭塞(AB↑),双肺上叶灌注缺损(C↑)
二、多排螺旋CT右心功能检查与临床应用
右心室功能改变对多种心肺疾病患者的生存率及预后起重要作用,判断右心室功能不全的程度对制订治疗方案和解决其他临床问题具有重要意义,但右心室结构复杂,其心腔呈一个不规则的几何体,流入道和流出道不在同一平面,且肌小梁粗大,心内膜边缘不规则,导致右心室容积测量一直是影像技术的一个难题,准确定量评价右心功能受到影响,CT采用改良Simpson法较其他方法更为准确。
(一)单源多排螺旋CT扫描方法
1.以GE light speed VCT为例,应用回顾性心电门控技术。
2.使用人工智能触发扫描,触发阈值设置为100HU,感兴趣区设在主-肺动脉窗层面的降主动脉内,触发4秒后启动扫描。扫描范围从气管分叉部至心尖部屏气扫描。扫描参数:120kV,500~700mA,时间分辨率88~175ms(取决于患者心率),平面内空间分辨率为0.3mm×0.3mm,准直器宽度为0.625mm×64,探测器单圈旋转时间为350ms,1圈覆盖范围4cm,于5次心搏内完成心脏CT扫描。
3.扫描完成后在主机进行图像拆分 以5%R-R间期为时间间隔,整个心动周期共拆分0~95% 共20个相位的图像。
4.右心功能指标进行评价
(1)短轴图像MPR法:将拆分后图像输入远程图像工作站,进行右心室短轴多平面重建,重建层厚为3mm,层间距0,共获得20~26层连续的垂直于室间隔的右心室短轴图像,覆盖从流出道至心尖整个右心室。应用GE公司随机附带的心功能测量软件逐层半自动手工描记右心室心内膜及心外膜轮廓,右心室乳头肌及右心室流出道计算入心内膜轮廓之内,描记完成后软件自动计算出右心室功能的各项指标:舒张末期容积(end-diastolic volume,EDV),收缩末期容积(end-systolic volume,ESV),每搏输出量(stroke volume,SV)及右心室射血分数(eject ion fraction,EF)。
(2)VR法:将拆分后图像输入远程图像工作站,确定好心脏的长短轴、收缩末期时相及舒张末期时相,根据右心室对比剂充盈情况确定阈值的上下限:上限均为500HU以便与心肌钙化相区分,下限由右心室充盈对比剂后的平均CT值决定应用随机附带的心功能3D软件从多维度进行结构的添加,覆盖三尖瓣及肺动脉瓣之间的所有有对比剂充盈的右心室结构,完成后软件自动计算出右心室功能的各项指标EDV、ESV、SV、EF(图 8-3-9)。
图8-3-9 肺动脉高压患者CT右心功能测定
右心室(黄绿色RV)容积VR测量(舒张期)右心室容积154ml(3D),左心室(红色 LV)41ml(3D)
(二)双源多排螺旋CT扫描方案
1.不使用任何药物进行心律控制,取仰卧位,连接心电图,进行呼吸训练,选择冠动脉成像扫描方案,采用回顾性心电门控技术,做胸部屏气定位像,扫描范围为气管分叉下方1cm至心脏膈面。
2.应用对比剂示踪法,选择主动脉根部层面作为监测层面,当感兴趣区内CT值超过100Hu时,延迟5~6秒自动触发扫描。扫描参数:管电压120kV,管电流380~400mAs。准直器宽度为32×0.6mm,采用Z轴飞焦点技术采集64层,每层0.6mm,矩阵512×512,视野150mm×150mm~180mm×180mm;机架每转旋转时间330ms,螺距0.2~0.5,根据扫描时心率变化自动调整。
3.扫描结束后,在副台对原始数据进行重建,采用0~100%全时相重建,以10%为间隔,得到10个心动周期的图像,重建完成后再将图像传输到后处理工作站,利用Circulation软件进行分析,通过电影观察10个心动周期的短轴位,确定舒张未期和收缩未期。自动加手动微调勾画出左心室心腔内膜面和外膜面,左心室乳头肌包括在血池内,应用心功能分析软件自动计算出舒张未期容积(EDV)、收缩未期容积(ESV)、每搏输出量(SV)、心输出量(CO)、射血分数(EF)、心肌质量(MM)。
(三)多排螺旋CT右心功能评价
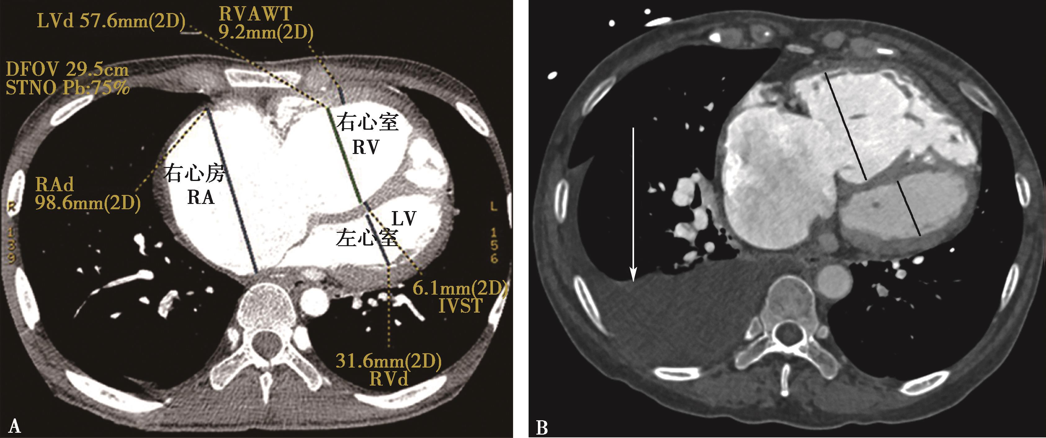
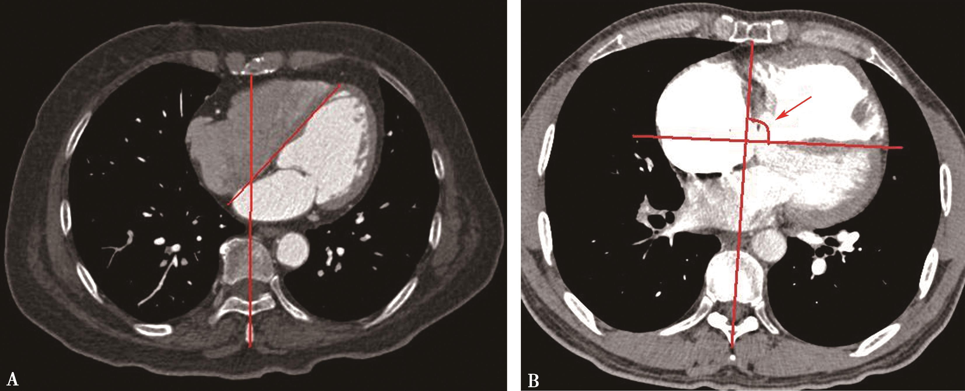
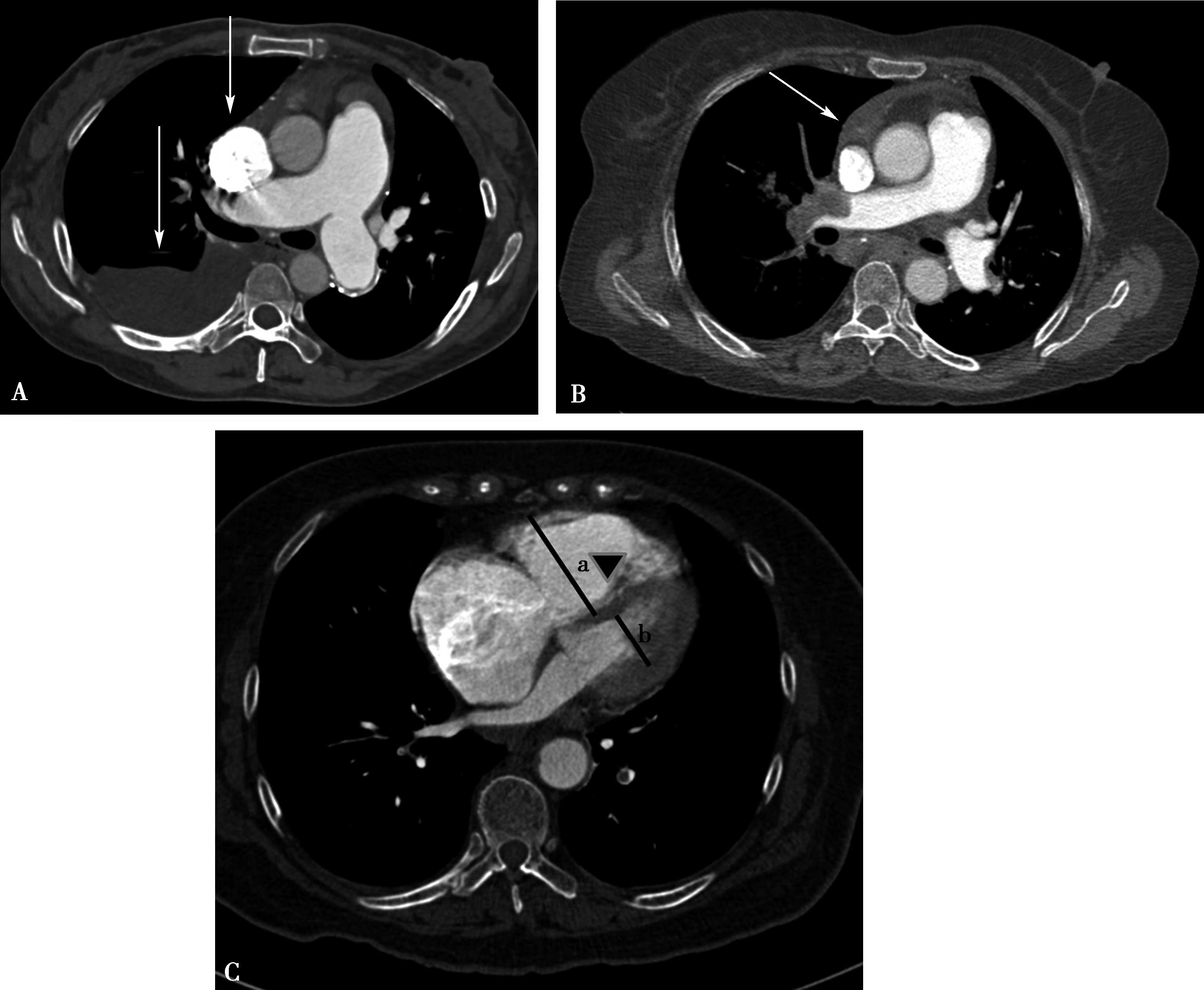
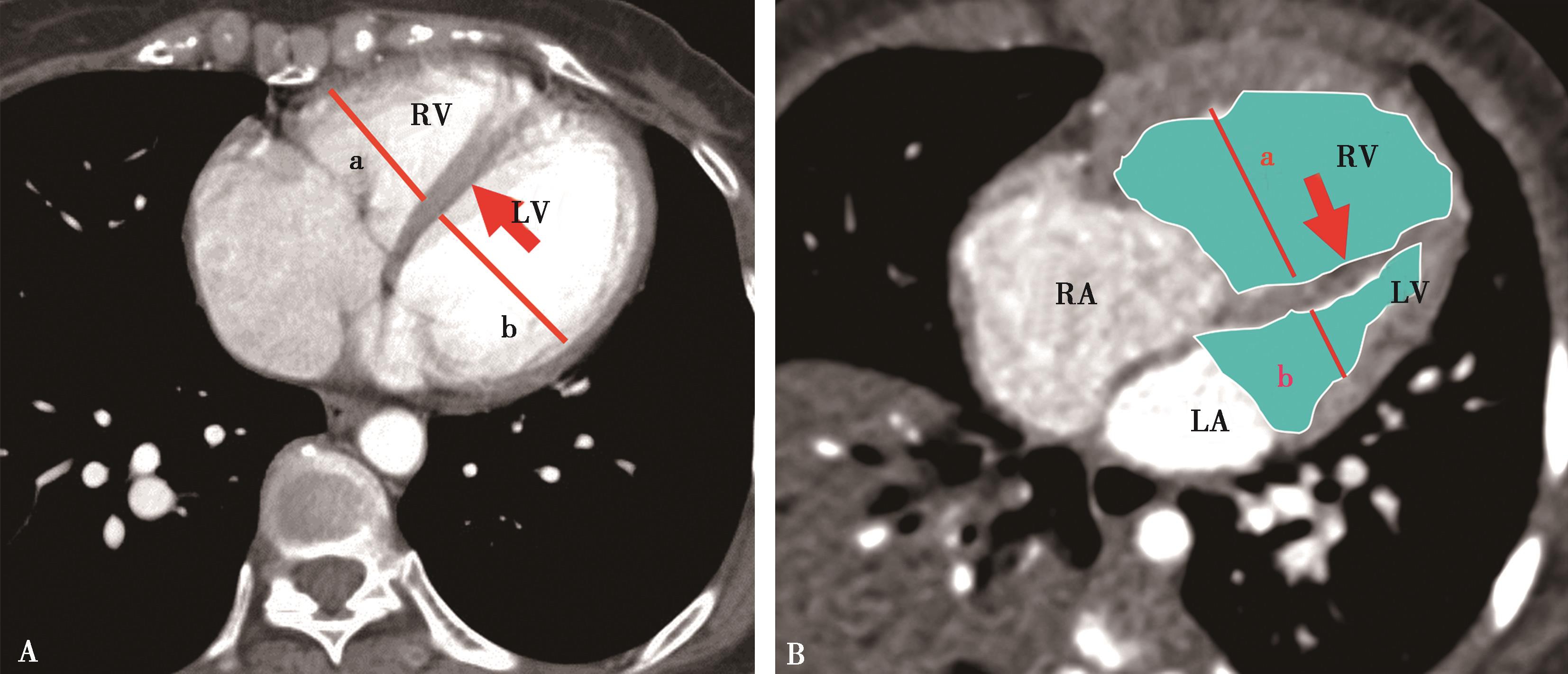
1.右心室增大
横断像心室最大层面测量左右心室最大横径(图8-3-10),正常心脏右心室横径:左心室横径<1,(a∶b<1),室间隔居中(红色↑)。右心室增大,右心室横径:左心室横径>1,(a∶b>1),室间隔凸向左心室(红色↑)。
2.右心室增大心脏顺钟向转位
横断像心室间隔与纵轴夹角可以反映右心室增大;由于右心室增大,心脏顺钟向转位,室间隔与纵轴夹角增大(图8-3-11)。
3.右心功能不全CT征象
右心功能不全表现为:①右心房、室增大;②上腔静脉增宽、奇静脉增宽、下腔静脉增宽有反流现象;③心包积液;④胸腔积液(图8-3-12)。
图8-3-10 横断图像
A.正常心脏,a∶b<1; B.右心室增大,a∶b>1
图8-3-11 横断图像
A.正常心脏;B.右心室增大,顺钟向转位,室间隔与纵轴夹角增大(↑)
三、肺栓塞指数计算方法
(一)Qanadli栓塞指数计分方法
双侧肺动脉树共10个肺段(上叶3个段,中叶和舌叶各2个段,下叶5个段)。肺段动脉内的栓子设定分值为1分,同时需要考虑到远端亚肺段的数目,及梗死引发的肺野灌注信息,每一分值设定一加权值:0表示无灌注缺损,1表示部分阻塞,2表示完全阻塞。孤立的亚段栓子定义为部分阻塞的肺段动脉,设定值为1。每一栓塞动脉的分值为其所含的肺段动脉数乘以加权值。因此,上叶动脉的栓塞分值最大为6(3×2),中叶或舌叶动脉的最大分值为4(2×2),下叶动脉的最大分值为10(5×2),中间段动脉的最大分值为14(7×2),右肺动脉和左肺动脉的最大分值为20(10×2)。因此肺栓塞患者最大的可能阻塞分值为40。
图8-3-12 肺动脉高压右心功能不全
A.肺动脉高压,右心衰竭;右心增大,上、下腔静脉增宽(↑);B.多层重组示奇静脉(△)、下腔静脉增宽有反流现象(↑);C.横断图像示上腔静脉增宽(↑)
(二)Mastora栓塞指数计分方法
Mastora栓塞指数:根据动脉位置分为5个纵隔动脉(肺动脉干,右肺动脉,左肺动脉,右侧叶间动脉,左侧叶间动脉),6个肺叶动脉,20个肺段动脉(上叶3个段,中叶或舌叶2个段,下叶5个段)。根据栓塞动脉的阻塞程度分为5级:1分,阻塞程度 <25%;2分,25% ~49%;3分,50% ~74%;4分,75% ~99%;5分,100%。栓塞指数的计算为各级动脉阻塞程度评分之和,因此,总的最大的可能阻塞分值为155=[(5×5)+(6×5)+(20×5)]。
为了两者之间比较,将Qanadli栓塞指数/40×100%=改良Qanadli栓塞指数,将Mastora栓塞指数/155×100%=改良Mastora栓塞指数,研究显示急性及慢性肺栓塞患者,两个指数呈高度正相关。
(三)肺栓塞指数临床应用
CT肺动脉栓塞指数(pulmonary artery obstruction index,PAOI)目前常用的CT PAOI包括Qanadli栓塞指数和Mastora栓塞指数。Qanadli栓塞指数于2001年提出,Mastora栓塞指数于2003年提出,这两种方法均考虑到了肺动脉分支(最远至肺段动脉水平)的阻塞程度,可以更全面的了解肺栓塞后肺灌注受损的情况。但研究显示在急性肺栓塞时,肺动脉栓塞指数与右心功能参数仅呈弱相关,而在慢性血栓栓塞性肺动脉高压中,肺动脉栓塞指数与右心功能参数统计学相关无显著性,提示这两个参数在评价右心功能时可能价值有限。
四、CT在肺血管疾病诊断功能检查的评价
1.多排螺旋CT肺灌注扫描可以提高CTPA肺栓塞检出率,特别是对亚分段栓塞的检出。一组动物实验研究结果,CT肺灌注扫描提高检出肺栓塞敏感性约20%。CT肺灌注与核素对照研究高度相关( r =0.884)。因此,值得临床推广应用。
2.肺动脉树的阻塞程度被认为是决定肺栓塞后右心功能改变的最重要因素。通过对CTPA显示的肺动脉内栓子的阻塞情况进行分析,可以对肺动脉树的阻塞情况进行相对客观的量化评价,此即 CT肺动脉栓塞指数(pulmonary artery obstruction index,PAOI)。目前常用的CT PAOI包括Qanadli栓塞指数和Mastora栓塞指数。Qanadli栓塞指数于2001年提出,Mastora栓塞指数于2003年提出,这两种方法均考虑到了肺动脉分支(最远至肺段动脉水平)的阻塞程度,可以更全面的了解肺栓塞后肺灌注受损的情况。但研究显示在急性肺栓塞时,肺动脉栓塞指数与右心功能参数仅呈弱相关,而在慢性血栓栓塞性肺动脉高压中,肺动脉栓塞指数与右心功能参数统计学相关无显著性,提示这两个参数在评价右心功能时可能价值有限。
3.CTPA对右心功能不全(RVD)的定性及定量诊断标准目前尚无定论,较为公认的定性诊断方法是右心室增大,即右心室最大短轴横径(RVd)超过左心室最大短轴横径(LVd)。文献报道横切位图像上心脏的量化测量指标,RVd和LVd,特别是RVd/LVd,与肺栓塞的严重程度和死亡呈正相关(RVd,RVd/LVd)或负相关(LVd)。在对25例肺栓塞和14例大面积肺栓塞患者的研究中,Contractor等和Lim等发现以超声心动图为参考标准,CTPA对RVD(诊断标准为RVd/LVd>1和/或室间隔移位)的诊断敏感性为78%~92%,特异性为100%,阳性预测值为100%。Araoz等的研究认为,与右心室大小正常的肺栓塞患者相比,RVd/LVd>1的肺栓塞患者进入重症监护室的危险度高3.6倍。多项研究也认为RVd/LVd>1.5提示肺栓塞患者的病情严重。Collomb等的研究认为,通过分析CTPA显示的肺动脉树的阻塞程度、左心室最大短轴直径、右心室/左心室最大短轴直径比和主肺动脉直径,可以对肺栓塞患者血流动力学损害的严重程度进行评价。因此,RVd/LVd在肺栓塞患者的病情评价方面有着非常重要的临床意义。此外研究显示肺动脉高压患者,脊柱室间隔夹角与右心功能参数具有显著相关性,提示该角在评价肺动脉高压患者右心功能具有一定价值。
Cecilia研究报告,CT右/左心室径比值(dimensional ratio)>1.0评价右心室功能不全,是急性肺栓塞院内死亡及临床恶化的独立预测因子(HR 3.5,95%CI 1.6~7.7; P =0.002)。 急性肺栓塞右心室正常a∶b<1,无事件转归的阴性预测值为100%[95%可信区(CI)下限为94.5%]。
4.肺动脉高压的严重后果在于会引起右心功能的相应改变,多排CT技术的发展使得CTPA可以清晰地显示心室的大小,室间隔、上腔静脉和奇静脉的情况,从而可以较为客观的评价右心功能。在病情严重的肺栓塞患者中,超声心动图检查时,90%以上显示有右心功能的异常,包括右心室增大和左心室减小,肺动脉、上腔静脉和奇静脉增宽,上腔静脉和奇静脉造影剂反流,提示肺栓塞患者的肺动脉压力和右心室压力增高,而这些征象都可以在CTPA图像上清晰的显示出来,从而在明确诊断的同时,为临床提供更多的关于患者病情严重性的信息。
(戴汝平)
参考文献
1.吴华伟,程杰军,李剑影,等.CT能谱成像定量碘基物质图对肺栓塞的诊断价值,中华放射学杂志,2011,45(8): 727-730.
2.Pontana F,Faivre JB,Remy-Janlin M,et al.Lung perfusion with dual-energy multidetector-row CT(MDCT):feasibility for the evaluation of acute pulmonary embolism in 117consecutive patients.Acad Radial,2008,15(12):1494-1504.
3.赵艳娥,张龙江,卢光明,等。双源CT双能量肺灌注成像诊断肺栓塞。中国介入影像与治疗学,2009,6(1): 36-39.
4.Salah D,Mostafa EH,Antoine VB,et al.New CT Index to Quantify Arterial Obstruction in Pulmonary Embolism.AJR,2001,176(6): 1415-1420.
5.Mastora I,Remy-Jardin M,Masson P,et al.Severity of acute pulmonary embolism:evaluation of a new spiral CT angiographic score in correlation with echocardiographic data.Eur Radiol,2003,13(1): 29-35.
6.戴汝平。心血管病CT诊断学。第2版。北京:人民卫生出版社,2013.
7.Halil D,Kroft LJ,Bax JJ,et al.MDCT Assessment of Right Ventricular Systolic Function.AJR,2006,186(6Suppl): s366-s370.
8.Paul D.Diagnostic Pathways in Acute Pulmonary Embolism:Recommendations of The PIOPED II Investigators.Am J Med,2006,119(12): 1048-1055.
9.Adam T,Rnaud P,Stavros K,et al.Guidelines on the diagnosis and management of acute pulmonary embolism:The Task Force for the Diagnosis and Management of Acute Pulmonary Embolism of the European Society of Cardiology(ESC).Euro Heart Journal,2008,29(18):2276-2315.
10.王建国,王辰,郭佑民,等.CT肺血管成像分析肺栓塞程度及右心功能评价。中国医学影像学杂志,2009,17(12): 81-85.
11.Wildbergel JE,Schoepf UJ,Mahnken AH.Approaches to CT Perfusion Imaging in Pulmonary Embolism.Semin Roentgen,2005,40(1): 64-73.
12.马智军,张素娟,冯强,等.双能CT双能量肺灌注成像在诊断肺栓塞中的初步研究。中国实用医学,2010,5(33): 46-48.
13.Bruder H,Stierstorfer K,McCollough C,et al.Design considerations in cardiac CT.Medical Imaging,2006,61:42-43.
14.Hsieh J,Pan T,Acharya KC,et al.Non-uniform phase coded image reconstruction for cardiac CT.Radiology,1999,213:401-404.
15.Herzog C,Abolmaali N,Balzer JO,et al.Heart-rateadapted image reconstruction in multidetector-row cardiac CT:Influence of physiological and technical prerequisite on image quality.Eur Radiol,2002,12(11):2670-2678.
16.Vembar M,Garcia MJ,Heuscher DJ,et al.A dynamic approach to identifying desired physiological phase for cardiac imaging using multislice spiral CT.Med Phys,2003,30(7): 1683-1693.
17.Taguchi K,Anno H.High temporal resolution for multislice helical computed tomography.Med Phys,2000,27(5): 861-872.
18.Choi HS,Choi BW,Choe KO,et al.Pitfalls artifacts,and remedies in multi-detector row CT coronary angiography.Radiographics,2004,24(3): 787-800.
19.Haaga JR.Radiation dose management:weighing risk versus benefit.AJR.2001,177(2): 289-291.
20.Slovis TL.CT and computed radiography:the pictures are great,but is the radiation dose greater than required?AJR,2002,179(1): 39-41.
21.McCollough C,Bruesewitz M,Kofler J.CT Dose Reduction and Dose Management Tools:Overview of Available Options.Radio Graphics,2006,26(2): 503-512.
22.Hsieh J,Londt J,Vass M,et al.Step-and-shoot data acquisition and reconstruction for cardiac x-ray computed tomography.Med Phys,2006,33(11): 4236-4248.
23.Li J,Mohr K,Okerlund D.Dose reduction for CT Coronary Artery Imaging using a Special Bowtie.Med Phys,2004,31(6): 1841.
24.Wang JG,Guo XJ,Liu M,et al.The dynamic study of the pulmonary artery obstruction degree and the right ventricular function in massive pulmonary embolism on CT pulmonary angiography.JNMU,2008,22(3): 188-192.
25.Hunold P,Vogt FM,Schmermund A,et al.Radiation Exposure during Cardiac CT:Effective Doses at Multi-Detector Row CT and Electron-Beam CT.Radiology,2003,226(1): 145-152.
26.Jakobs TF,Becker CR,Ohnesorge B,et al.Multislice helical CT of the heart with retrospective ECG gating:reduction of radiation exposure by ECG-controlled tube current modulation.Eur Radiol,2002,12(5): 1081-1086.
第四节 肺动脉血栓栓塞症CT诊断
肺动脉栓塞症,简称肺栓塞(pulmonary embolism,PE)是以各种栓子阻塞肺动脉系统为其发病原因的一组疾病或临床综合征的总称。肺动脉血栓栓塞症(pulmonary thromboembolism,PTE)是PE的最常见类型,是指来自静脉系统或右心的血栓阻塞肺动脉或其分支所致疾病,以肺循环和呼吸功能障碍为其主要临床和病理生理特征。PTE占PE中的绝大多数,通常所称PE即指PTE。引起PTE的血栓主要来源于下肢的深静脉血栓形成(deep venous thrombosis,DVT),PTE 常为 DVT的并发症。目前公认PTE与DVT是静脉血栓栓塞症(venous thromboembolism,VTE)在不同部位、不同阶段的两种临床表现形式。
临床将肺栓塞发生发展过程分为急性肺栓塞(2周之内),亚急性肺栓塞(2周~3个月)及慢性肺栓塞(3~6个月);病程拖延至6个月以上者将发展为慢性血栓栓塞性肺动脉高压。在CTPA影像学征象有其特征性,有助于诊断及鉴别诊断。
一、急性及亚急性肺栓塞CT征象及诊断
临床将肺栓塞发生发展过程2周之内为急性肺栓塞;2周~3个月为亚急性肺栓塞。
(一)肺动脉CT造影(CTPA)检查
1.横断图像 肺栓塞诊断主要根据CTPA横断扫描,是诊断的基础。
2.多层重组(MPR)或曲面重组(CPR)肺动脉多层重组(MPR)可以弥补横断扫描的不足,沿长轴观察肺动脉,但是包括范围有限。曲面重组对肺栓塞有重要价值,可以在横断扫描基础上沿长轴中心线逐支重建分析,进一步明确血栓累及范围及程度,可以直接分析肺段小分支。对疑难病例的鉴别诊断提供有价值信息。
3.容积再现(VR)或表面阴影显示(SSD)对中央型肺栓塞可以立体显示,对指导治疗有一定意义。对亚分段肺栓塞诊断价值有一定限制。
(二)急性肺栓塞CT直接征象
急性肺栓塞CT直接征象,以横断像为准。但是多层重组(MPR)或曲面重组(CPR),容积再现(VR)可以展示血管全貌,有助于显示栓塞的特点、范围及程度,有重要价值,应该参考应用。
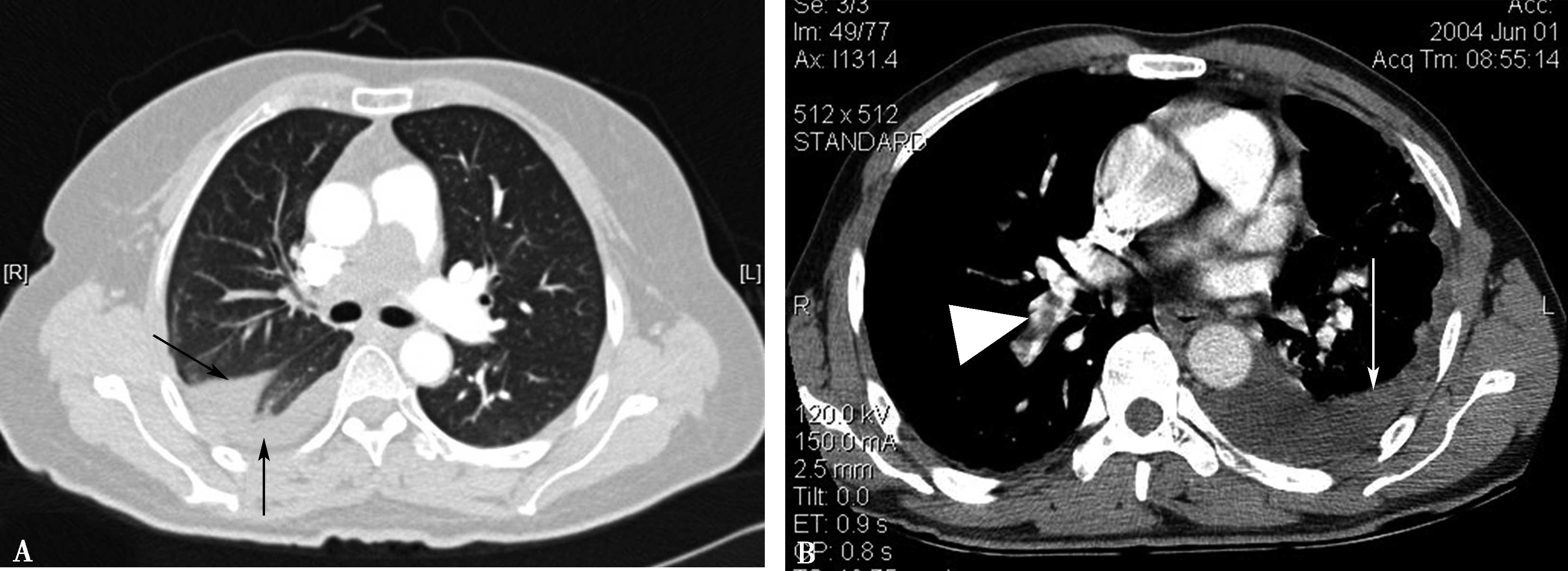
1.肺动脉内充盈缺损
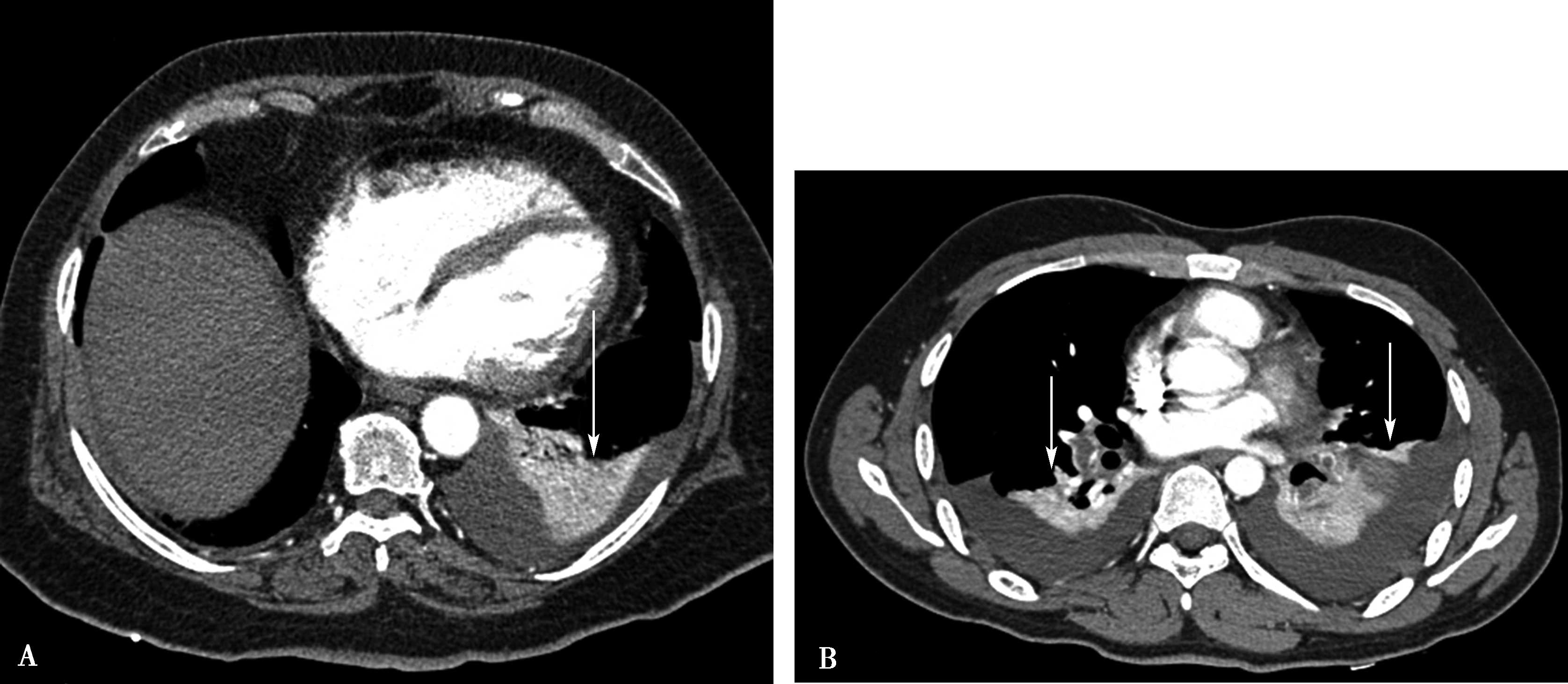
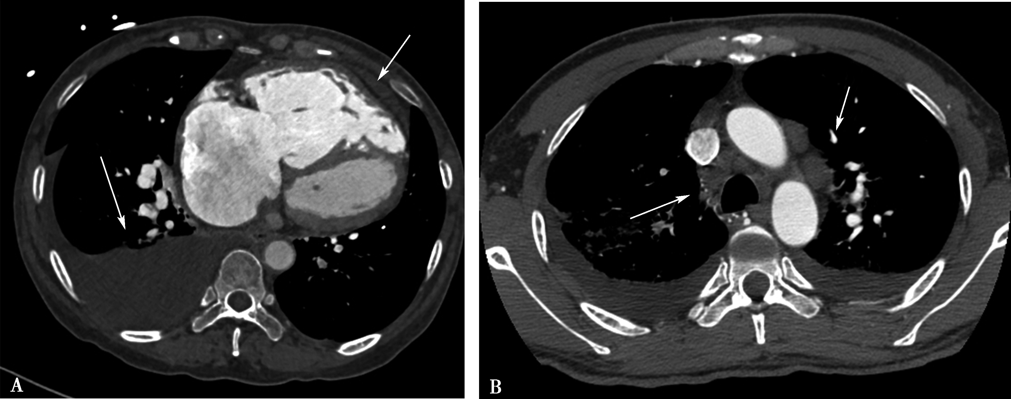
新鲜血栓依栓子大小呈圆形或半圆形、蓬松状,可表现为中心性、偏心性的充盈缺损,造成管腔不同程度的狭窄(图8-4-1)。
2.肺动脉完全性梗阻
管腔被栓子完全阻塞,呈杯口状、圆杵状或斜坡状。急性或亚急性肺栓塞其梗阻血管直径较正常饱满(图8-4-2)。
图8-4-1 急性肺栓塞的直接征象
A.左右肺动脉内半圆形充盈缺损,蓬松状(▲ ↑);B.左右肺动脉腔内多个充盈缺损呈蜂巢征(↑)
图8-4-2 急性肺栓塞的直接征象
A.左、右肺动脉充盈缺损,完全闭塞(↑);B.多层重组(MPR),右下肺动脉栓塞向远端延续,完全闭塞(↑)
3.轨道征、漂浮征、蜂窝征及马鞍征
均为 急性或亚急性肺栓塞征象,栓子位于血管中央不同部位,根据横断像的形态特征而得名。
轨道征:血栓两侧有平行造影剂通过(图8-4-3A↑);
漂浮征:血栓漂浮于管腔中,动态观察可见其向远端浮动(图8-4-3B↑);
蜂窝征:多个血栓造成的多个充盈缺损,似蜂巢得名(图8-4-1B↑)。
马鞍征:长条血栓骑跨于左右肺动脉分叉处的充盈缺损呈马鞍形,而得名(图8-4-2A▲,图8-4-3C↑)。
图8-4-3 急性肺栓塞直接征象(根据横断)
A.轨道征(↑),B.漂浮征(↑),C.马鞍征(↑),D.CPR示右肺上叶、中叶、下叶栓塞,左肺下叶后外基底段栓塞(↑),E.MPR示右肺上、中、下叶栓塞(↑),F.(SSD)黄色为血栓,累及左右肺动脉(↑),G.(VR)白色为血栓(↑),可见骑跨于左右肺动脉的血栓呈 “马鞍征”(▲)
(三)急性肺栓塞CT间接征象
1.“马赛克”征
由于血栓栓塞造成栓塞血管区血流灌注减少,与过度灌注区形成明显密度差,造成 “黑白相嵌”现象,称为 “马赛克征”。此为非特异征象,小气道病变亦可形成此种征象(图8-4-4)。
2.肺梗死
为基底靠近胸膜,尖端指向肺门的近似于三角形阴影。可与支气管相通,中心溶解呈含液、气空腔。陈旧肺梗死可形成斑片瘢痕或索条影(图8-4-5)。
图8-4-4 急性肺栓塞间接征象
A.马赛克征,黑白相间(↑);B.马赛克征,白箭显示相对灌注较好区域,黑箭显示灌注较差区域,呈黑白相间(↑)
图8-4-5 急性肺栓塞的间接征象
A.多层重组,右肺上叶肺栓塞,血管闭塞,肺梗死,呈三角形实变影(↑);B.两周后,横断图像示右肺上叶前段肺栓塞肺梗死空腔形成(↑)
3.胸腔积液
可由于肺梗死后胸膜反应所致,首先发生于患侧。右心功能不全也可以胸腔积液,常以右侧胸腔积液为首发(图8-4-6)。
4.肺不张
栓塞局部的肺组织血流灌注减少,区域性的低氧血症和区域性的低灌注可以导致支气管痉挛,肺泡表面活性物质合成的减少,炎症介质引起的血管通透性增加以及肺水肿改变严重时均可出现肺不张;由于胸痛造成的呼吸表浅也是肺不张形成的原因之一。胸腔积液亦可引起被动性肺不张,双下肺多见,强化明显(图8-4-7)。
5.主肺动脉增宽
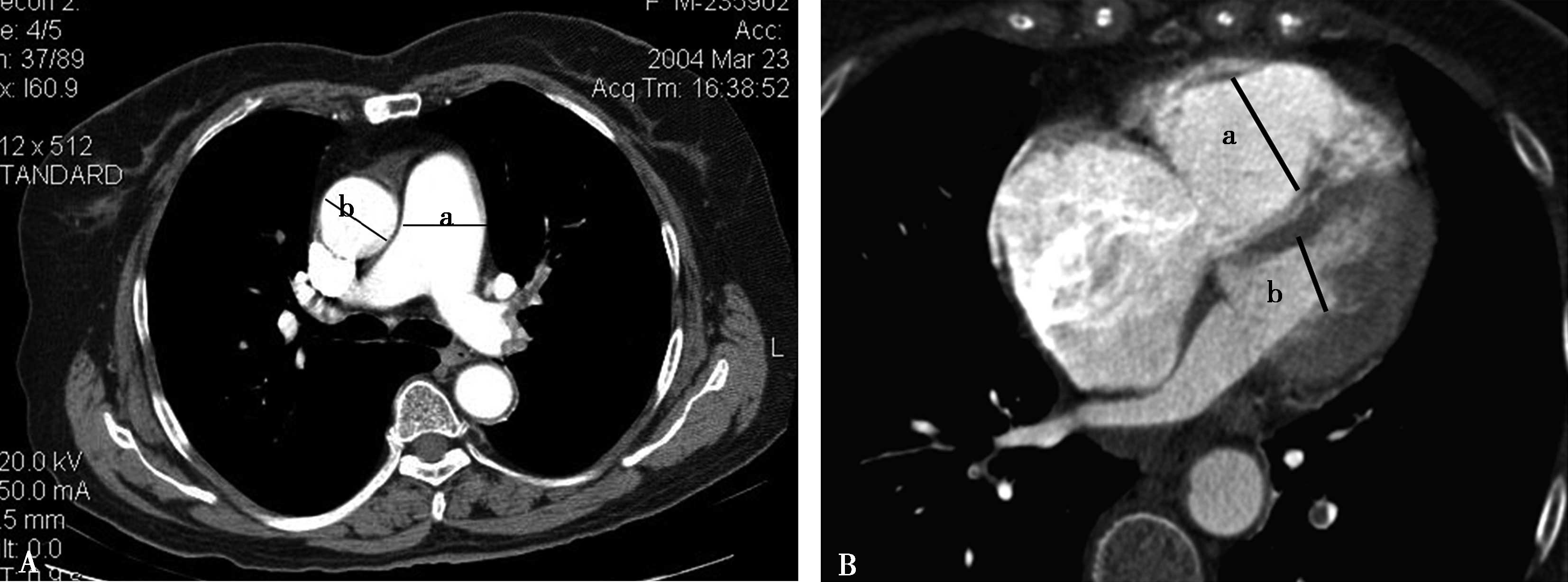
主肺动脉正常较同水平升主动脉直径增粗时或绝对值大于29mm,90%患者为肺动脉增宽,如同时合并右心室扩大,则一般反映为右心负荷增大或肺动脉高压表现(图8-4-8)。
6.右心房室扩大
肺栓塞重视是否发生右心功能不全,CT检出右心室增大有重要意义。右心室最大横径大于或等于左心室最大横径、室间隔变平直或凸向左心室侧,为右心室增大征象。右心房增大在急性或亚急性肺栓塞中与病变程度有关。CT检出右心室增大是急性肺栓塞住院期间死亡的独立预测因子。右心功能不全还可以同时存在腔静脉扩张、心包积液及胸腔积液等征象(图8-4-9)。
根据急性肺栓塞研究,右心室增大(程度)是30天院内死亡的一个独立预测因素;右心室正常a∶b<1,无事件转归的阴性预测值为100%(95%可信区(CI)下限为94.5%)。
图8-4-6 急性肺栓塞的间接征象
A.右侧胸腔积液合并斜裂积液(↑);B.左侧胸腔积液(↑);肺栓塞(▲)
图8-4-7 急性肺栓塞的间接征象
A.左下肺不张并胸腔积液;B.双下肺不张并胸腔积液(↑)
图8-4-8 急性肺栓塞的间接征象
A.轴位CT图像测定主肺动脉直径增宽,大于同水平升主动脉直接(横径a>b);B.右心室增大(横径a>b)
图8-4-9 急性肺栓塞的间接征象
A.右侧胸腔积液,上腔静脉增宽(↑);B.心包内少量积液(↑);C.右心房室扩大,右心室横径大于左心室(a>b),室间隔稍向左心室侧弯曲(▲)
(四)肺栓塞指数计算方法
见本章第三节。
二、慢性肺栓塞及慢性血栓栓塞性肺动脉高压CT征象及诊断
肺栓塞病程迁延3个月以上将变为慢性肺栓塞,6个月以上演变为慢性血栓栓塞性肺动脉高压(chronic thromboembolic pulmonary hypertension.CTEPH);CTEPH。由于血栓不能完全溶解,或者是在深静脉血栓形成(DVT)反复脱落的基础上继发反复多次栓塞肺动脉,血栓机化,肺动脉内膜慢性炎症并增厚,发展为慢性肺栓塞,造成受累血管狭窄或闭塞而引起解剖学肺血管床血流减少以及神经体液因素和低氧血症等因素所致肺血管痉挛、导致血管阻力增大,最终导致慢性肺动脉高压和肺的通气/血流灌注失衡,进一步发展会出现呼吸功能不全、低氧血症和右心衰竭。
慢性血栓栓塞性肺动脉高压(chronic thromboembolin pulmonary hypetention,CTEPH)是肺栓塞中的一种特殊类型,发病机制仍不清楚,病理过程主要与血栓溶解机制的紊乱相关(模式图8-4-10);多数学者认为是机体易栓症倾向和血浆纤溶缺欠可以导致CTEPH。未能溶解的栓子堵塞各级肺动脉是产生肺动脉高压的主要原因之一,而为何栓子不能完全溶解、为何部分患者发展为肺动脉高压,目前尚不清楚。①阻塞血管的原位血栓形成是重要原因之一;②机化的栓子刺激致血管内膜消失、中膜增生,管壁增厚、管腔进一步阻塞;③动脉炎。栓塞后发生动脉炎、血管重塑,导致血管阻力增加;④血管损伤可以加速动脉粥样硬化发生,斑块加速血管重塑。Pengo等前瞻性列队研究,有症状CTEPH发生率:出现症状的第一次急性PTE 6个月、1年、2年的累计CTEPH发生率分别为1.0%、3.1%和3.8%。我国资料初步估计约5%~10%。
图8-4-10 慢性血栓栓塞演变模式图
(一)肺动脉CT造影(CTPA)检查
1.横断图像 CT横断扫描是诊断的基础,需要逐层进行分析。
2.多层重组(MPR)或曲面重组(CPR)可以不同层厚、不同角度进行重组,能够显示血管腔内血栓特点、管壁情况,有助于定性与定量(狭窄程度)诊断。
3.容积再现(VR)或表面阴影显示(SSD)有助于显示肺动脉全貌。有助于检出缺支、中心动脉增粗、外围分支纤细、扭曲肺动脉高压征象。
(二)慢性肺栓塞CT征象及诊断
慢性肺血栓栓塞的CT特征分为血管征象和肺实质征象。血管征象包括直接肺动脉征象(血栓机化的结果),肺动脉高压征象及体循环侧支的征象。
肺实质征象包括瘢痕、纤维索条;马赛克灌注征,局灶性磨玻璃影,小支气管扩张等。
1.肺动脉直接征象
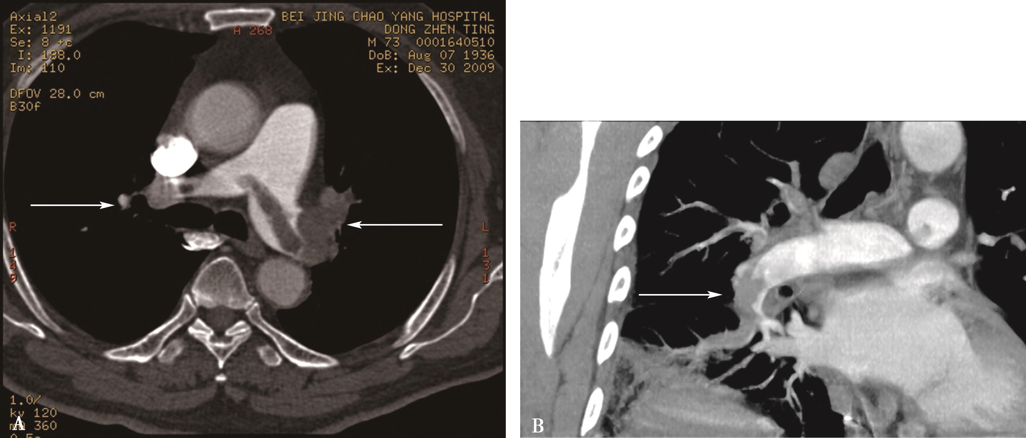
肺动脉在CT上显示的征象和传统的血管造影术看到的征象是相似的。
(1)中央肺动脉附壁型充盈缺损:
偏心性附壁血栓造成管壁呈波浪状增厚,以左-右肺动脉主干显示尤著(图8-4-11A↑)。
(2)肺动脉完全闭塞:
各级血管可以表现为管腔完全闭塞,呈截断状;段及亚段血管由于血栓收缩引起血管直径的缩小,闭塞血管直径变细小(见图8-4-11B、 C, 图8-4-12)。
图8-4-11 慢性肺栓塞
A.右肺动脉附壁型栓塞,管壁呈波浪状增厚(↑);B.右下肺动脉闭塞(↑);C.右下肺动脉基底段分支细小、闭塞(↑),右心增大;D.本例肺动脉内膜剥脱术后取栓,示机化血栓;CTPA诊断:慢性血栓栓塞性肺动脉高压
图8-4-12 慢性肺血栓栓塞性肺动脉高压(容积再现VR)
VR重建显示中心肺动脉明显扩张,远端分支明显纤细,迂曲、闭塞(↑)
2.叶-段分支 “多形性”充盈缺损、不规则狭窄
机化的血栓可能导致血管收缩,血栓呈偏心性不规整,呈带状、网状或蹼样管腔不规则狭窄(图8-4-13, 图8-4-14)。
图8-4-13 A.右肺上叶前段带状充盈缺损,远端闭塞(↑);B.多层重组,下肺动脉内带状或网状充盈缺损,蹼样征(↑)
图8-4-14 慢性肺栓塞CT征象:右下肺动脉慢性肺栓塞,管壁不规则增厚、管腔不规则狭窄(↑)
3.陈旧血栓钙化(图8-4-15)
慢性血栓可以发生血栓钙化,特别是较长时间的陈旧性血栓,CT平扫可以见到斑片状高密度灶。钙化血栓可能被周围的造影剂混淆而分辨不清,但是在血栓内的钙化可以清楚显示(图8-4-15)。
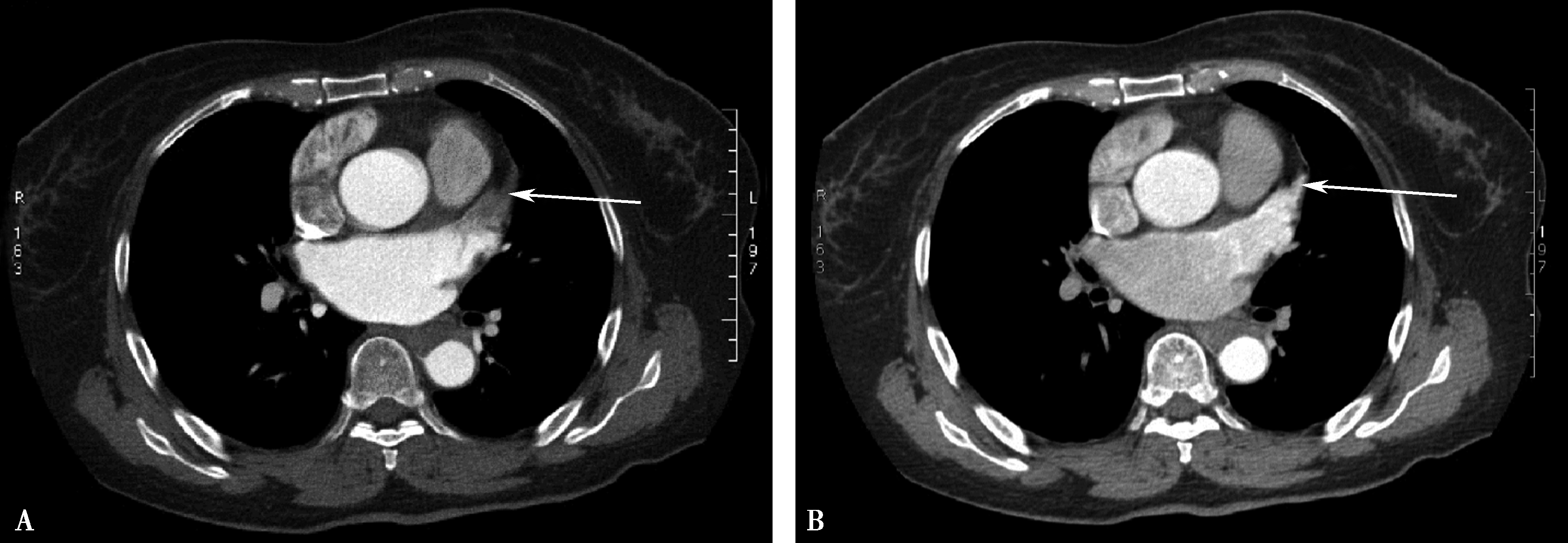
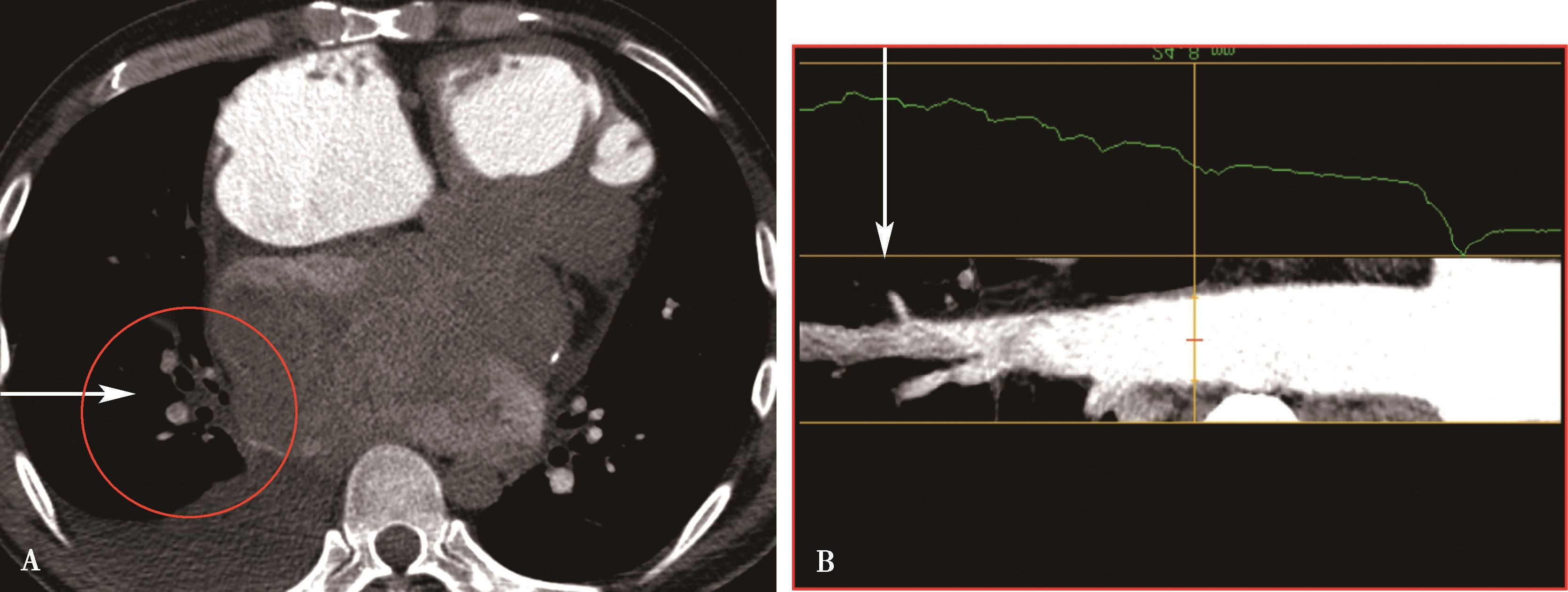
(三)肺动脉高压征象
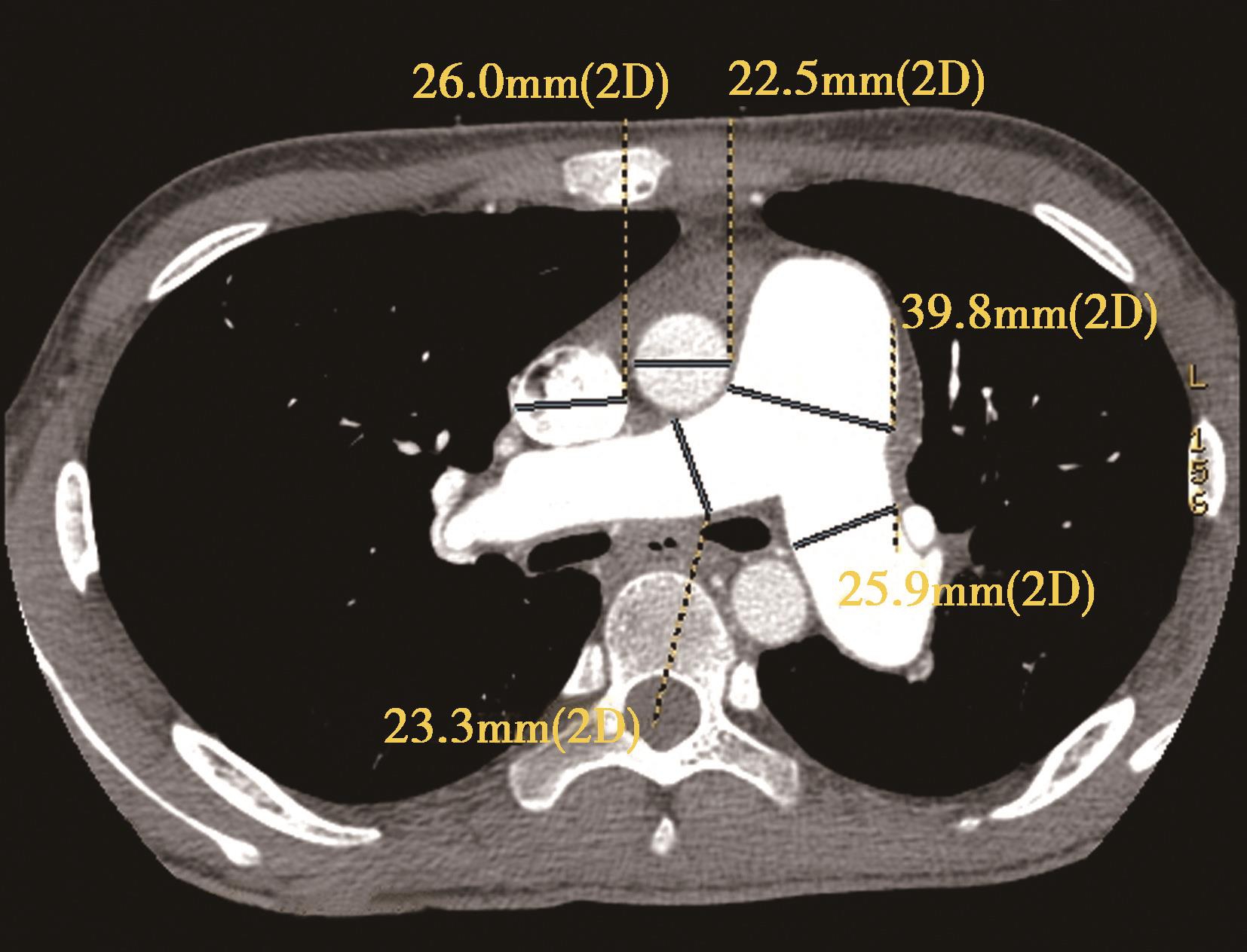
1.主肺动脉扩张
(1)主肺动脉大于29mm即为肺动脉增宽(图8-4-16)。主肺动脉测量部位一般在其分叉扫描平面,垂直其长轴测量(图8-4-17)。
图8-4-15 慢性肺栓塞钙化CT征象
A.横断图像显示左下肺动脉附壁血栓,血栓内可见钙化(↑);B.多层重组,左下肺动脉充盈缺损,血栓内钙化(↑)
图8-4-16 慢性肺栓塞,肺动脉增宽,大于同水平升主动脉(a>b)
(2)主肺动脉直径与主动脉直径的一般比例大于1∶1,特别在小于50岁的患者有诊断意义。
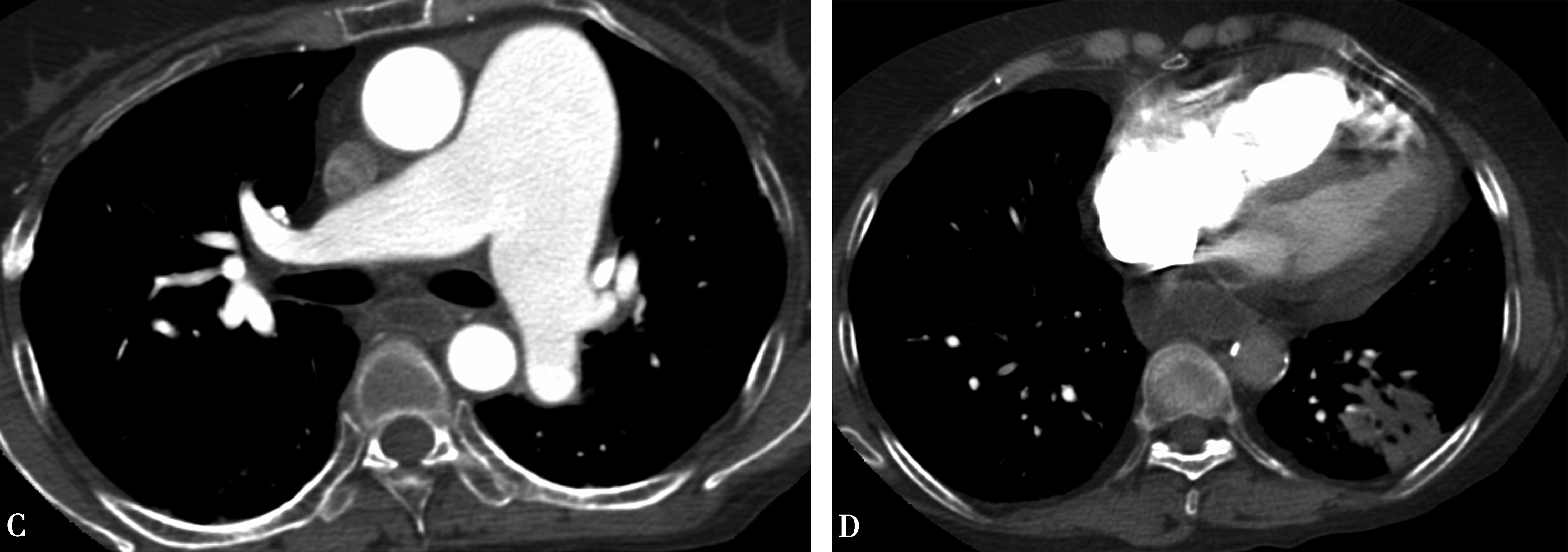
2.左右肺动脉扩张可以不一致
在慢性血栓栓塞性肺动脉高压(CTEPH)患者由于肺栓塞病变累及不一致,左右肺动脉扩张的程度往往是不对称的(图8-4-18)。
3.肺动脉外围分支迂曲
肺动脉未受血栓累及的血管,可以因肺动脉高压导致扩张-迂曲,管壁可能出现动脉粥样硬化性钙化(图8-4-19)。
4.右心房室扩大
(1)右心室直径比左心室直径大于1∶1,并且室间隔平直或凸向左心室时即认为右心室扩大(图8-4-20)。
(2)右心室肥厚(右心室心肌厚度大于4mm)(图8-4-20A)。
图8-4-17 主肺动脉水平测量部位,肺动脉高压,主肺动脉、左右肺动脉及上腔静脉均增宽
图8-4-18 慢性肺栓塞,左右肺动脉增宽不对称(R>L)
图8-4-19 慢性肺栓塞
A.容积重现;B.多层重组,远端肺血管不规则扩张扭曲
图8-4-20 慢性肺栓塞肺动脉高压
RA.右心房;RV.右心室;LV.左心室
横断图像示右心房室增大。A.右心室增大,右心室横径大于左心室横径,室间隔左偏;B.右侧胸腔积液,提示右心功能不全(↑)
(3)有研究显示在CTPA横轴位图像测定的胸骨中线与室间隔夹角,称为 “室间隔-中线夹角”,反映右心负荷增大时心脏顺钟向转位;肺动脉高压患者较正常人群明显增大(图8-4-21),同时该夹角与肺血管阻力(PVR)及右心功能密切相关,当该夹角越大,提示PVR越大,右心功能受损(图8-4-21B)。
5.心包改变及其他改变
重度肺动脉高压患者可出现轻度心包增厚或少量心包积液(图8-4-22)。有心包积液意味着预后更差。CTEPH的患者可有淋巴结增大(图8-4-22)。组织学检查提示为淋巴结窦转化为脉管,与不同程度的淋巴结硬化有关。淋巴结类似的病理特征,也可出现在由其他原因引起的肺动脉高压患者。由于右心房和右心室压力升高,可造成下腔静脉和肝静脉逆行显影及奇静脉反流(图8-4-23)。
图8-4-21 慢性肺栓塞,右心增大CT测量室间隔-中线夹角
A.正常人室间隔-中线夹角;B.肺动脉高压患者右心室增大,心脏顺钟向转位,中线室间隔夹角增大
图8-4-22 慢性肺栓塞,右心功能不全。A.心包少量积液及右侧胸腔积液(↑);B.纵隔及主肺动脉窗淋巴结增大(↑)
图8-4-23 慢性肺栓塞(横断图像)
A.下腔静脉扩张并造影剂反流,肝静脉近端显影(↑);B.奇静脉逆流显影,见高密度造影剂(→)
(四)侧支循环系统
随CTEPH肺血管阻塞的加重,支气管动脉血流可随之增加,且可导致经胸膜的侧支循环(如:肋间动脉)进一步开放(图8-4-24A)。一般情况下,支气管动脉只供应支气管营养而不参与气体交换。然而在病理条件,由于肺循环血量的显著降低,支气管动脉血量增加并可参与氧气交换。正常支气管动脉血流约是心输出量的1%~2%。在CTEPH患者,支气管血流约是心输出量的30%。异常扩张迂曲的支气管动脉(直径超过2mm)(图8-4-24B)是肺支气管动脉扩张 的特征性CT表现。
图8-4-24 慢性血栓栓塞性肺动脉高压,侧支循环,可见支气管动脉、肋间动脉-乳内动脉(B▼)、膈下动脉(A↑);C.肋间动脉经胸膜与肺动脉末梢构成侧支(C↑)
最近的一项研究提示,CTEPH(73%)与特发性肺动脉高压(14%)患者相比异常扩大的支气管和非支气管动脉出现频率更高,这些发现有助于鉴别这两种病理状态。最常见的异常非支气管动脉包括膈下、肋间和乳内动脉(见图 8-4-24)。
(五)肺实质征象
1.肺梗死
肺栓塞形成的肺梗死在肺部CT增强扫描后会形成一个肺灌注缺损区,随着长时间演变,这些梗死灶可形成纤维瘢痕灶,显示为不同大小的实变、楔形阴影(图8-4-25A↑)、周边结节(图8-4-25B↑)、空洞(图8-4-25C↑)、或不规则边缘条索影(图8-4-25D↑)。因此,CTEPH患者在肺内,特别是在周边见到上述征象应考虑为陈旧梗死灶,常多发,无强化,多见于肺下叶,可以发生钙化(图8-4-25)。
2.马赛克征
CTEPH也可出现马赛克灌注征,因为存在灌注不均造成(图8-4-26)。灌注降低多因阻塞血管远端的灌注不足或血管远端发生病变;灌注增加与未阻塞动脉床的血流重分配有关。马赛克征是非特异的,除肺血管疾病外,各种心肺疾病均可见到。其中以肺血管病肺动脉高压患者更多见。
图8-4-25 慢性肺栓塞间接征象
A.肺外带楔形阴影;B.结节状陈旧梗死灶;C.梗死后空洞形成;D.线状瘢痕形成,条索影(↑)
图8-4-26 慢性肺栓塞马赛克灌注征
箭头所指为高灌注区域,低灌注区密度较低
3.支气管扩张
三分之二的CTEPH患者存在有圆柱形支气管扩张(图8-4-27)。多见于段及亚段支气管水平,一般伴行肺动脉严重狭窄或完全阻塞。这些肺实质征象虽为非特异性,但是在临床工作中,这些征象仍然被视为诊断CTEPH的有力证据。
图8-4-27 A.横断图像(肺窗);B.多层重组(MPR),慢性肺栓塞,合并轻度柱状支气管扩张,支气管管壁增厚(↑)
三、CT在肺栓塞诊断的评价
1.CTPA是检出肺栓塞最佳影像学方法,但是,各种来源的栓子阻塞肺动脉CT征象并无特异性,所以病原诊断要密切结合临床。
2.目前公认CTPA是检出肺栓塞的首选影像学检查方法。CTPA检出肺栓塞具有高准确性。
(1)急性肺栓塞诊断:根据世界大组前瞻性研究(PIOPED-Ⅱ),CTPA诊断肺栓塞敏感性83%,特异性96%;对于临床评估PE高可能性及低可能性的阳性预测值96%;中度可能性阳性预测值为92%。CT检出肺栓塞具有高准确性。
(2)对慢性肺栓塞及慢性血栓栓塞性肺动脉高压,可以做出正确诊断与鉴别诊断。
3.不同影像学检查方法,医生诊断一致性比较 多种检查方法可以检查肺栓塞,除CTPA外常用的有数字减影血管造影术(DSA);核素肺灌注/通气扫描(V/Q)等。在诊断工作中,多位医生用同一种方法诊断的一致性如何,直接反映了该方法应用的难易度、诊断的权威性及应用的规范性。一组研究比较了三种常用的影像学诊断方法,其结果对临床有助于参考(表8-4-1)。
表8-4-1 不同影像学肺栓塞诊断一致性比较
CTPA+CTV诊断者的一致性达90%。根据一组研究,从事肺栓塞CT诊断2年以上年轻医生与高年医生比较,诊断准确性无差异显著性( P <0.05)。可见CTPA+CTV是医生容易掌握的一种诊断方法。
4.合理解读CTPA检查结果 临床根据患者肺栓塞危险因素评估PE发生,分为高、中、低度可能性。CTPA检出PE结果,对不同可能性患者的阴性预测值(NPV)或阳性预测值(PPV)不同(表8-4-2),应该做全面解读。必要时,确诊还需参考其他无创检查。
上述研究说明,在临床高度可能性患者中CTPA检查为阴性结果,其阴性预测值(NPV)为60%(CTPA+CTV为82%),还是应该继续进一步检查。不可放松警惕。
5.影响肺栓塞检出率原因
(1)CT空间分辨率影响对亚分段肺栓塞检出。亚分段检出率约40%,且有较大差异,影响肺栓塞检出的准确率(图8-4-28)。
(2)检查技术因素:约有1/2的受检者由于体位移动、闭气不良导致移动伪影;约2%~4%CTPA检查技术不理想,以致无法诊断。
(3)患者存在肺动脉高压或/和右心功能不全,循环时延长,扫描时间掌握不佳,影响扫描成功率。为提高扫描成功率,采用两期(多期)扫描方法,有助于充分保证了对比剂团注时间与肺动脉CT数据采集时间的吻合。多期观察可以辨别对比剂充盈不均造成的假象。
表8-4-2 不同可能性肺栓塞患者MDCT检查结果评价
注:CTPA:CT肺动脉造影;CTPA/CTV:CT肺动脉造影及CT静脉造影
图8-4-28 亚分段肺栓塞,ab右肺上叶肺段-亚分段横断像及多层重组图像,示亚段肺栓塞(↑)
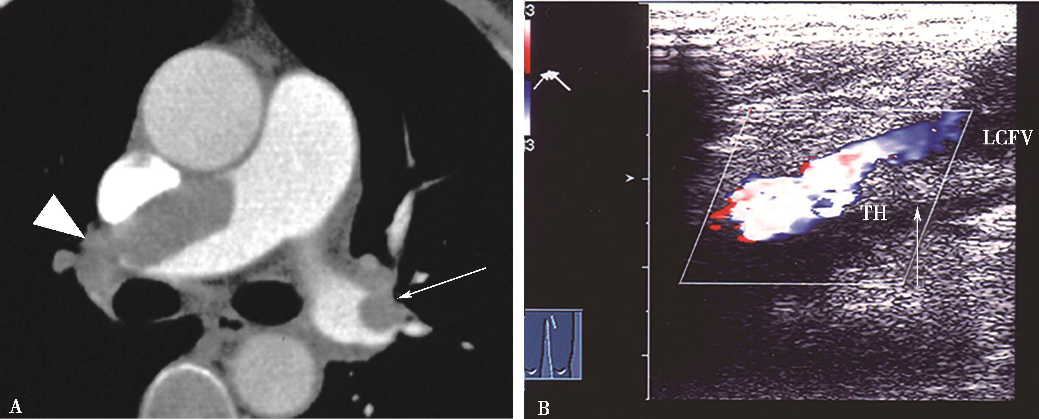
6.CT静脉造影(CTV)在CTPA检查中的必要性 CTPA检查可以一次性做下肢深静脉CT造影检查(CTV),方便患者,提高诊断敏感性。CTPA+CTV检出的敏感性提高为90%(单纯CTPA为 83%);而特异性 95%(单纯 CTPA为96%),两者相似。CTPA及CTPA+CTV两者对肺栓塞检出均有价值。但是CT检查有X线辐射。CTPA辐射剂量平均约为3mSv;而盆腔静脉CT扫描约6.0mSv;腿部约3.2mSv。因此,从防护考虑,CTPA不建议同时检查下肢深静脉检查。推荐下肢深静脉Doppler超声检查代替CTV。尤其对孕妇、儿童不推荐做CTV检查。临床实践证明CTPA阴性结果,下肢Doppler超声检查无下肢静脉血栓,患者除外PE,是可靠的。CTPA+下肢深静脉Doppler,是PE诊断检查最佳组合(图8-4-29)。
图8-4-29 急性肺栓塞,CTPA+Doppler超声下肢深静脉检查是最理想组合
A.横断像左右肺动脉大块充盈缺损(↑▲);B.下肢静脉Doppler超声检查,股静脉血栓栓塞(TH↑)
7.肺栓塞MDCT检查的限度与影像学检查优势互补
(1)限度
1)碘过敏为禁忌证,约0.1%。
2)肾功能不全,依照程度列为禁忌证或相对禁忌证。
3)严重呼吸功能不全,严重心力衰竭不能合作者。依据程度列为禁忌证或相对禁忌证。
4)妊娠妇女,儿童怀疑肺栓塞时,从射线防护考虑,推荐MRI检查。
(2)影像检查优势互补:CTPA公认是急性PE首选影像学检查方法。但是,如果CTPA检查结果与临床评估不一致时,应该参考其他检查,做到优势互补。
1)CTPA亚分段PE检出率低,核素V/Q对提高诊断有重要价值。
2)对碘对比剂过敏者以及孕妇、儿童等,建议用超声心动图或MRA检查。
3)疑难病例鉴别诊断,经导管肺动脉造影还是需要的。
4)CT能谱成像(spectral CT)是最近发展的新技术,实现对肺血流灌注功能评价,检出亚分段血流灌注异常,与核素对照研究有良好相关性。对亚分段肺栓塞检出有大的帮助。目前仍处于研究阶段。
四、急性肺栓塞诊断检查策略
Paul根据PIOPED-Ⅱ进一步提出急性肺栓塞诊断检查策略。他认为应该对患者先有客观的临床评估,应用Wells记分(Wells Score)将怀疑急性肺栓塞患者评为高、中、低度可能性。主要根据患者症状、心率、手术-卧床情况、继往深静脉血栓史、咯血、肿瘤及其他有关PE检查结果等进行评分。<2分为低度可能性;2~6分中度可能性;>6分高度可能性。在迅速取得D-dimer结果后,CTPA-CTV是首选影像学检查。如果临床与CTPA/CTV评价不一致时,需要其他诊断方法做进一步评估。
(戴汝平)
参考文献
1.PIOPED Investigators.Value of the ventilation/perfusion scan in acute pulmonary embolism:results of the Prospective Investigation of Pulmonary Embolism Diagnosis(PIOPED).JAMA,1990,263(20): 2753-2759.
2.Stein PD,Fowler SE,Goodman LR,et al.Multidetector Computed Tomography for Acute Pulmonary Emblism(PIOPED II).N EnglJ Med,2006,354(22):2317-2327.
3.Stein PD,Chenevert TL,Fowler SE,et al.Gadolinium-Enhanced Megnetic Resonance Angiography for Pulmonary Embolism: A Multicenter Prospective Study(PIOPEDⅢ).Ann Intern Med,2010,152(7): 434-443.
4.Hajjam M,Vieillard-Baron A,Joseph T,et al.New CT Index to Quantify Arterial Obstruction in Pulmonary Embolism.Am J Roentgenol,2001,176(6): 1415-1420.
5.Mastora I,Remy-Jardin M,Masson P,et al.Severity of acute pulmonary embolism:evaluation of a new spiral CT angiographic score in correlation with echocardiographic data.Eur Radiology,2003,13(1): 29-35.
6.王建国,王辰,郭佑民,等.CT肺血管成像分析肺栓塞程度及右心功能评价。中国医学影像学杂志,2009,17(2): 81-85.
7.Wildbergel JE,Schoepf UJ,Mahnken AH.Approaches to CT Perfusion Imaging in Pulmonary Embolism.Semin Roentgen,2005,40(1): 64-73.
8.马智军,张素娟,冯强,等.双能CT双能量肺灌注成像在诊断肺栓塞中的初步研究。中华放射学杂志,2011,45(2): 116-119.
9.Marc H,Michael U,Dietmar T,et al.CT Scan Findings in Chronic Thromboembolic Pulmonary Hypertension-Predictors ofHemodynamicImprovementAfterPulmonary Thromboendarterectomy.CHEST,2005,127(5):1606-1613.
10.Cecilia B,Giancarlo A,Maria C,et al.Multidetector computed tomography for acute pulmonary embolism:diagnosis and risk stratification in a single test.Eur Heart J,2011,32(13): 1657-1663.
11.Halil D,Lucia J,Kroft L,et al.MDCT Assessment of Right Ventricular Systolic Function.Am J Roentgenol,2006,186(6): s366-370.
12.Paul D.Diagnostic Pathways in Acute Pulmonary Embolism:Recommendations of The PIOPED II Investigators.Am J Med,2006,119(12): 1048-1055.
13.Adam T,Rnaud P,Stavros K,et al.Guidelines on the diagnosis and management of acute pulmonary embolism:The Task Force for the Diagnosis and Management of A-cute Pulmonary Embolism of the European Society of Cardiology(ESC).Euro H Journal,2008,29(18):2276-2315.
14.Wells PS,Anderson DR,Rodger M,et al.Excluding pulmonary embolism at the bedside without diagnostic imaging:management of patients with suspected pulmonary embolism presenting to the emergency department by using a simple clinical model and d-dimer.Ann Intern Med,2001,135(2): 98-107.
15.Freeman LM.Don′t bury the V/Q scan: it′s as good as multidetector CT angiograms with a lot less radiation exposure.J Nucl Med,2008,49(1): 5-8.
16.王辰。呼吸与危重症医学。北京:人民卫生出版社,2011.
17.Min L,Zhanhong M,Xiao JG,et al.A Septal Angle measured on CTPA can noninvasively estimate Pulmonary Vascular Resistance in Patients with chronic thromboembolic pulmonary hypertension.J Thorac Imaging,2012,27(5): 325-330.
18.Min L,Zhanhong M,Xiaojuan G,et al.Computed tomographic pulmonary angiography in the assessment of severity of chronic thromboembolic pulmonary hypertension and right ventricular dysfunction.Euro J Radiol,2011,80(3): 462-469.
19.Min L,Zhanhong M,Xiaojuan G,et al.Cardiovascular parameters of computed tomographic pulmonary angiography to assess pulmonary vascular resistance in patients with chronic thromboembolic pulmonary hypertension.Int J Cardiol,2013,164(3): 295-300.
20.马展鸿,刘敏,郭晓娟,等.肺动脉异常起源的CT动脉造影诊断。中国呼吸与危重监护杂志,2012,11(6): 549-551.
21.刘敏,马展鸿,郭晓娟,等.CT肺动脉造影测定脊柱室间隔夹角评价慢性血栓栓塞性肺动脉高压肺血管阻力的价值探讨。中国呼吸与危重监护杂志,2012,11(4): 382-386.
22.刘敏,马展鸿,郭晓娟,等.慢性血栓栓塞性肺动脉高压CTPA测定脊柱室间隔角与右心室功能、氨基末端脑钠肽前体关系研究。中华医学杂志(中文版),2011,91(41): 2903-2907.
23.刘敏,马展鸿,郭晓娟,等.CT肺动脉造影评价慢性血栓栓塞性肺动脉高压栓塞指数及右心功能。医学影像学杂志,2010,20(6):804-808.
24.马展鸿,刘敏,郭晓娟,等.CT肺动脉造影评价慢性血栓栓塞性肺动脉高压的血流动力学。实用放射学杂志,2010,26(9): 1254-1258.
25.马展鸿,戴汝平,曹程,等.肺动脉栓塞比较影像学研究。中华放射学杂志,2007,41(6):602-606.
26.马展鸿,戴汝平,柳志红,等.电子束CT在肺动脉血栓栓塞症诊断中的应用,中华结核和呼吸杂志,2005,38(9): 590-595.
27.马展鸿,戴汝平,何建国,等.电子束计算机断层摄影术在肺栓塞治疗随访中的应用,中国循环杂志,2005,20(5): 367-370.
28.马展鸿,戴汝平,徐仲英,等.肺动脉夹层影像学诊断两例。中华胸心外科杂志,2006,22(1):70-71.
29.方玮,马展鸿,戴汝平,等.急性肺动脉血栓栓塞症核素肺灌注显像与电子束计算机断层摄影术的对照研究。中国循环杂志,2005,20(4):289-292.
30.戴汝平。呼吸与危重症医学:多排螺旋CT肺血管造影在肺栓塞诊断的评价。北京:人民卫生出版社,2011:232-239.
31.曹程,戴汝平,程显声,等.电子束CT在诊断肺动脉栓塞中的应用。中华放射学杂志,1999,33(5):295-298.
32.戴汝平。重视肺动脉栓塞的影像学诊断。中华放射学杂志,1999,33(5): 293-294.
33.吴文辉,戴汝平。肺动脉栓塞诊断的现代策略。当代医学,2001,7(3): 31-33.
34.戴汝平。肺栓塞的影像学诊断。中华心血管病杂志,2001,29(5): 263-264.
35.宋金松,刘玉清,朱杰敏,等.磁共振三维增强肺动脉造影及其临床应用初步研究。中国医学影像学杂志,2000,8(2): 81-83.
36.宋云龙,刘玉清,荆宝莲。肺栓塞影像学诊断-着重于X线平片的作用。中国医学影像技术杂志,1998,14(5): 340-342.
37.宋云龙,刘玉清,刘蕴忠,等.肺栓塞的磁共振诊断研究。中华放射学杂志,1997,31(7):485-487.
38.Johnston SL,Lock RJ,Gompels MM.Takayasu arteritis: a review.J Clin Pathol,2002,55(7): 481-486.
39.Khandelwal N,Kalra N,Garg MK,et al.Multidetector CT angiography in Takayasu arteritis.Eur J Radiol,2011,77(2): 369-374.
40.Tanabe N.Diagnosis and vasculopathy in chronic thromboembolic pulmonary hypertension.Ann Vasc Dis,2009,2(3): 136-143.
41.Jenkins D,Mayer E,Screaton N,et al.State-of-theart:chronic thromboembolic pulmonary hypertension diagnosis and management.EurRespirRev,2012,21(123): 32-39.
42.He H,Stein M,Zalta B,et al.Computed tomography evaluation of right heart dysfunction in patients with acute pulmonary embolism.J Comput Assist Tomogr,2006,30(2): 262-266.
43.Remy-Jardin M,Louvegny S,Remy J,et al.Acute central thromboembolic disease:post-therapeutic followup with spiral CT angiography.Radiology,1997,203(1): 173-180.
44.Van Rossum AB,Pattynama PM,Tjin AT,et al.Spiral CT appearance of resolving clots at 6 week follow-up after acute pulmonary embolism.J Comput Assist Tomogr,1998,22(3): 413-417.
45.周旭辉,李子平,谭国胜,等.急性大面积肺动脉血栓栓塞症溶栓治疗的动态CT观察。中华放射学杂志,2005,39(3): 256-261.
46.Nijkeuter M,Hovens MM,Davidson BL,et al.Resolution of thromboemboli in patients with acute pulmonary embolism: a systematic review.Chest,2006,129(1):192-197.
47.Zhu T,Martinez I,Emmerich J.Venous thromboembolism:risk factors for recurrence.Arterioscler Thromb Vasc Biol,2009,29(3): 298-310.
48.Kipfmueller F,Quiroz R,Goldhaber SZ,et al.Chest CT assessment following thrombolysis or surgical embolectomy for acute pulmonary embolism.Vasc Med,2005,10(2): 85-88.
49.陆慰萱,王辰。肺循环病学。北京:人民卫生出版社,2007.
50.王辰。肺栓塞。北京:人民卫生出版社,2003.
51.程显声。右心疾病。北京:人民卫生出版社,2008.
52.戴汝平,马展鸿。肺血管病多排螺旋CT成像及诊断。北京:科学出版社,2014.
53.吴华伟,程杰军,李剑影,等.CT能谱成像定量碘基物质图对肺栓塞的诊断价值。中华放射学杂志,2011,45(8): 727-730.
54.Pontana F,Faivre JB,Remy-Janlin M,et al.Lung perfusion with dual-energy multidetector-row CT(MDCT):feasibility for the evaluation of acute pulmonary embolism in 117 consecutive patients.Acad Radial,2008,15(12): 1494-1504.
55.赵艳娥,张龙江,卢光明,等。双源CT双能量肺灌注成像诊断肺栓塞。中国介入影像与治疗学,2009,6(1): 36-39.
56.Salah D,Qanadli,Mostafa E,et al.New CT Index to Quantify Arterial Obstruction in Pulmonary Embolism.AJR,2001,176(6): 1415-1420.
57.Mastora I,Remy-Jardin M,Masson P,et al.Severity of acute pulmonary embolism:evaluation of a new spiral CT angiographic score in correlation with echocardiographic data.Eur Radiol,2003,13(1): 29-35.
58.Halil D,Lucia JM,Bax JJ,et al.MDCT Assessment of Right Ventricular Systolic Function.AJR,2006,186(Suppl): s366-s370.
59.Adam T,Rnaud P,Stavros K,et al.Guidelines on the diagnosis and management of acute pulmonary embolism:The Task Force for the Diagnosis and Management of A-cute Pulmonary Embolism of the European Society of Cardiology(ESC).Euro Heart Journal,2008,29(18):2276-2315.
60.马智军,张素娟,冯强,等.双能CT双能量肺灌注成像在诊断肺栓塞中的初步研究。中国实用医学,2010,5(33): 46-48.
第五节 肺血管炎CT诊断
一、基本知识
血管炎(vasculitis)是一组以血管壁炎症及管壁破坏为主要病理特征的异质性疾病。血管炎可以为单发疾病,也可以是某一种疾病的临床表现之一。病理依据组织细胞学的特点确定诊断;血管炎的临床特点决定于所累及的血管类型、部位、大小,以及所涉及血管组织的损伤、坏死的范围。
发生于肺血管(壁)的炎症称为肺血管炎(pulmonary vasculitis)。单纯孤立的肺血管炎临床少见,多与其他脏器的损害并存,因而肺血管炎的临床表现复杂多样。肺血管炎最常见于原发的系统性小血管炎。累及中到大血管的原发性血管炎(如大动脉炎、结节性多动脉炎)、原发的免疫复合物介导的血管炎(如肺出血肾炎综合征),以及继发的血管炎(如继发于系统性红斑狼疮的血管炎)均可累及肺脏血管,因此肺血管炎属于病理诊断。
血管炎的临床分类有利于对疾病诊断及处理。临床分类多以受累血管的大小、类型、分布、血管外表现、临床特点等为依据。Chapel Hill专业大会主要根据受累血管的大小对系统性血管炎进行了命名和定义(表8-5-1,图8-5-1)。
肺血管炎通常累及血管壁全层,除支气管中心性肉芽肿外,病变均以血管为中心,血管壁炎症同时累及周围组。肺动、静脉有多种成分及特征性细胞浸润,进行性血管破坏、血栓形成及血管狭窄-闭塞。
肺血管炎的诊断需要结合患者的病史、临床特点及实验室检查,而影像学检查对肺血管炎的诊断及鉴别诊断具有非常重要的价值,尤其是CTPA能直接观察肺动脉管壁特点、管腔形态,可以明确受累肺动脉的范围、受累程度及数量;还可以观察主动脉及其他大血管、气管-支气管、肺实质、纵隔内病变情况。为肺动脉炎诊断提供重要信息,对疾病定性诊断有重要价值。
肺血管炎的分类有Saldana根据病理和Strauss根据病因分类,见表8-5-2。
表8-5-1 Chapel Hill血管炎分类
图8-5-1 血管炎分类
表8-5-2 肺血管炎病理分型
二、肺血管炎CT诊断
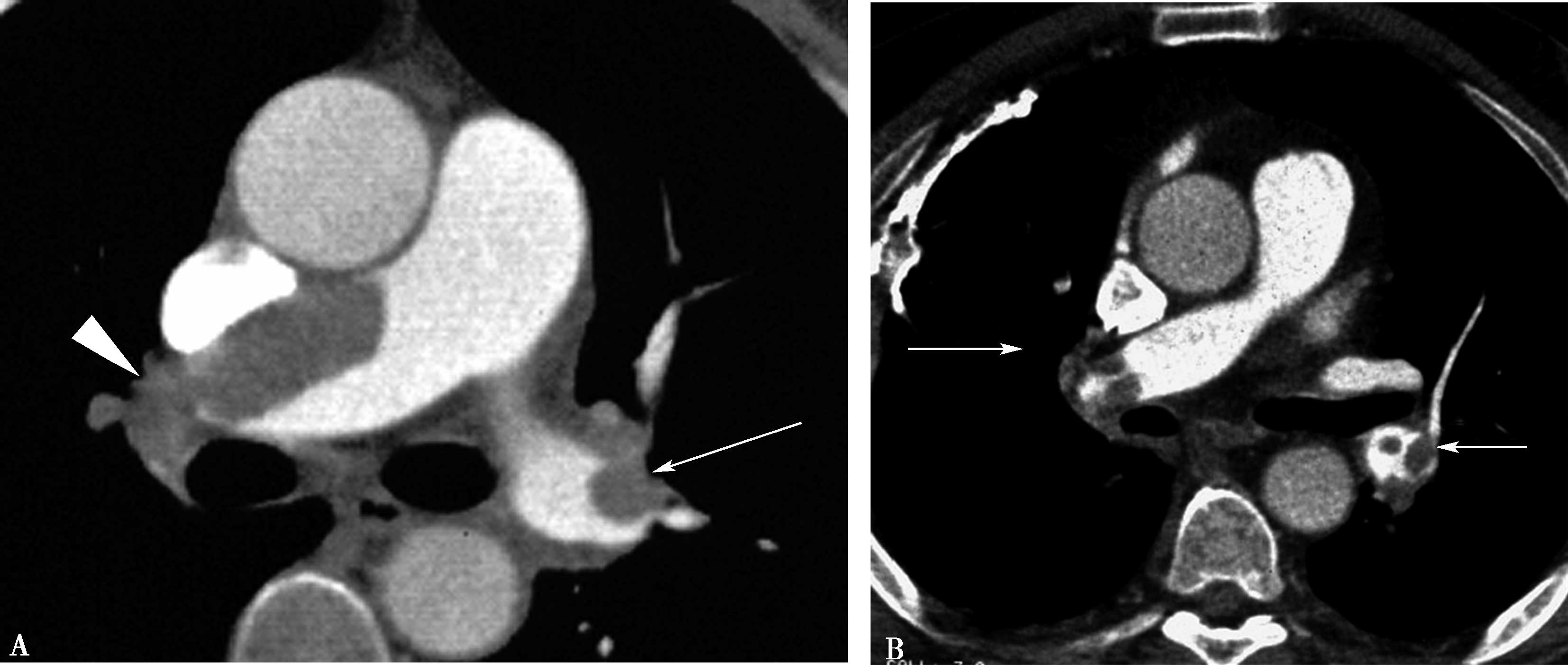
(一)大动脉炎累及肺动脉CT诊断
1.基本知识
大动脉炎是一种亚洲人种常见血管原发性疾病,青年女性多见,男女之比是1∶4,发病年龄多为20~30岁。30岁以前发病约占90%。病理特征是以中膜损害为主的非特异性全层动脉炎,血管壁内膜、外膜纤维化,营养血管闭塞,中膜萎缩、破坏。早期血管壁为淋巴细胞、浆细胞浸润,偶见多形核中性粒细胞及多核巨细胞。晚期表现为动脉全层弥漫或不规则增厚及纤维化,引起动脉狭窄或堵塞,可有继发的血栓及粥样斑块。部分病例,由于血管内膜增厚,导致管腔狭窄或闭塞,少数患者因炎症破坏动脉壁中层,弹力纤维及平滑肌纤维坏死,而致动脉扩张、假性动脉瘤或夹层动脉瘤。
根据病变部位可分为: “头臂动脉”型、“胸-腹主动脉”型、 “混合型”(广泛型)、 “肺动脉”型及 “升主动脉”型。大动脉炎病变多见于主动脉弓及其分支,其次为降主动脉、腹主动脉、肾动脉。约有50%~80%可累及肺动脉及分支,早期表现为管壁增厚、慢性期可出现肺动脉壁钙化,管腔狭窄或闭塞,最终可致肺动脉高压。部分病例肺动脉受累可早于主动脉。累及肺动脉的大动脉炎又称 “肺动脉”型大动脉炎,可以累及主干-叶-段分支为主;以右肺动脉更为常见,约占50%~70%。
2.“肺动脉”型大动脉炎CT诊断
(1)横断图像:
横断扫描是诊断检查基础(图8-5-2, 图8-5-3)。
图8-5-2 “肺动脉”型大动脉炎
AB.CT横断图像,右肺动脉闭塞(A↑),左锁骨下动脉闭塞、钙化(B↑);C.肺动脉造影,右肺动脉闭塞(↑);D.主动脉造影,左锁骨下动脉闭塞(↑)。诊断:“肺动脉”型大动脉炎。证实CT所见
1)管壁特点:
大动脉炎以累及主动脉及其主要分支为主。约50% ~80%累及肺动脉主干,叶-段分支。可以独立发生于肺动脉者,但少见。①活动期(早期):受累血管管壁明显增厚;不引起管腔狭窄。②慢性期:管壁逐渐变为向心性不规则增厚,引起管腔狭窄闭塞;管壁出现钙化;随年龄增长,有动脉硬化性斑块形成,管壁不规则改变加剧。
2)管腔特点:
①管腔无变化:早期(活动期)虽然管壁增厚,但是管腔可以无变化。②管腔狭窄-闭塞:随着疾病进展,管壁向心性不规则增厚加重,管腔狭窄-闭塞。③动脉瘤形成:部分可见管腔不规则瘤样扩张,或动脉瘤形成,可呈“串珠样”改变;可发生附壁血栓。少见假性动脉瘤形成。
图8-5-3 “肺动脉”型大动脉炎
A.CT横断图像,右肺动脉闭塞(▲),左肺动脉及分支多发狭窄-闭塞(↑);B.横断图像,左颈总动脉、左锁骨下动脉开口部管壁增厚(晕环征),管腔狭窄不明显(↑);C.肺动脉造影,右肺动脉闭塞(△),左肺动脉及分支多发狭窄(↑);D.主动脉造影,左颈总动脉、左锁骨下动脉开口部管壁僵硬,未见明显狭窄(↑)。CT诊断:“肺动脉”型大动脉炎
3)累及范围:
累及肺动脉主干-叶-段以上大中血管,右侧多于左侧,右肺上叶动脉最易受侵犯。约占50%~70%。
4)主动脉及其重要分支病变:
大动脉炎主要是累及体动脉为主,因此一定要相应注意观察,并做出诊断,对肺动脉病变定性有重要价值。
5)心脏改变:
注意观察有否房室增大。如果以累及肺动脉为主,常有肺动脉高压发生,注意有否存在右心室肥厚、扩大,右心房扩大。
(2)多层重组(MPR)或曲面重组(CPR):
以不同层面、不同角度重建各支肺动脉影像,显示管壁病变及管腔狭窄特点、程度,累及范围,为诊断提供依据。
(3)三维重建:
容积再现(VR)或表面阴影显示(SSD):直观显示肺动脉解剖、狭窄-闭塞、缺支,肺动脉主干扩张及肺动脉高压。
(二)白塞病肺动脉炎CT诊断
1.基本知识
白塞病(Behcet disease,BD)是以血管炎为主要病理基础的慢性多系统疾病。该病与HLA-B51强关联,感染或异常自身免疫应答(尤其是细胞免疫)参与发病。临床上以口腔溃疡、生殖器溃疡、眼炎及皮肤损害为突出表现,又称为口-眼-生殖器综合征。白塞病累及心血管特点为淋巴细胞、浆细胞浸润,弹力纤维破坏,侵犯心脏瓣膜、心内膜炎,累及主动脉瓣、二尖瓣造成瓣叶脱垂、关闭不全;累及房间隔瘤并发血栓形成。累及血管病变特点:①动脉炎呈现淋巴细胞、浆细胞浸润,弹力纤维破坏;动脉瘤形成-真性、假性,游走性、多发性、重复性为其特点,占48%。②静脉炎;急性血栓性静脉炎,占20%;③肺动脉炎:主肺动脉及叶-段动脉分支为该病动脉最易受累的部位,多为动脉瘤形成。
白塞病是肺动脉瘤形成的最常见原因,动脉瘤常伴原位血栓形成。
2.白塞病肺动脉炎CT征象及诊断
(1)横断图像:
横断扫描是诊断检查基础。
白塞病肺动脉炎可累及主肺动脉,左右肺动脉,肺叶-段分支。可以是单发、多发或游走性或复发性。
1)主肺动脉干或/和左右肺动脉干梭形瘤样扩张,腔内不同程度附壁血栓(图8-5-4)。
图8-5-4 反复发作口腔溃疡,临床诊断白塞病
横断图像。A~C.主肺动脉、瘤样扩张,左右肺动脉瘤样扩张,不规则附壁血栓(↑);D~F.三维重建主肺动脉及左右肺动脉瘤样扩张,红色为附壁血栓(↑),波及肺叶分支;CT诊断:肺动脉瘤累及主肺动脉、左右肺动脉及叶分支,附壁血栓形成,病变性质考虑为白塞病
2)肺动脉叶段分支瘤样扩张,真性或假性动脉瘤形成,腔内不同程度附壁血栓(图8-5-5)。
(2)多层重组(MPR)或曲面重组(CPR):
以不同层面、不同角度重建各支肺动脉影像,显示血管病变(动脉瘤)特点、程度、累及范围及附壁血栓特点。
(3)三维重建:
容积再现(VR)或表面阴影显示(SSD):直观显示肺动脉解剖、动脉瘤累及范围。
图8-5-5 男,28岁,反复口腔及生殖器溃疡5年,白塞病,肺动脉瘤
A.胸部X线片,示左右肺动脉瘤(↑);B.横断图像,左、右下肺动脉动脉瘤形成,附壁血栓形成(↑);C.多层重组(冠状位)示右下肺动脉动脉瘤合并附壁血栓(↑);D.多层重组(左前斜位)示左下肺动脉瘤合并附壁血栓形成(↑)。CT诊断:左右肺动脉瘤,附壁血栓形成,病变性质白塞病
(三)肺小动脉炎CT征象及诊断
1.基本知识
抗中性粒细胞胞浆抗体(ANCA)相关血管炎(anti-neutrophil cytoplasmic antibodies,ANCA),是累及全身多系统,以小血管(毛细血管、微小动脉、小静脉)损害为主,血ANCA阳性的一组血管炎,包括坏死性肉芽肿性肺血管炎(韦格纳肉芽肿)、高嗜酸性粒细胞血症(churg-strauss syndrome)、显微镜下多血管炎(microscopic polyangiitis MPA),主要特征是累及微小动脉、微静脉及毛细血管,中老年人发病居多,肺、肾最常受累。
2.坏死性肉芽肿性肺血管炎(韦格纳肉芽肿)
韦格纳肉芽肿(Wegener granulomatosis),又称坏死性肉芽肿性肺血管炎,有肉芽肿形成,累及小血管、静脉及毛细血管,也见累及中等血管。肺血管受累病理改变是肺(中)小动脉坏死性肉芽肿性血管炎。临床常以上呼吸道为首发症状,如鼻窦炎、鼻腔、气管慢性炎症。胸部X线片示双肺多发性斑片状、结节及空洞影,主要分布两肺中下野,多发性/多样性为其特点,确诊需肺活检。
(1)坏死性肉芽肿性肺血管炎CT征象及诊断:
高分辨率CT(平扫)对诊断有重要价值。显示肺实质多发性斑片状、大小不等结节及空洞形成,主要分布两肺中下野,多发性/多样性(不规则,多发,大小不等)为其特点,并存胸膜反应,胸腔积液(图8-5-6)。
图8-5-6 坏死性肉芽肿性血管炎(韦格纳肉芽肿)
A.胸部X线片,两肺多发结节,不规则空洞形成(↑);B~D.横断图像,两上、下肺多发不规则结节肿块,大小不等,不规则空洞形成,壁薄厚不一,边缘不规则,液平形成;病理检查:E.肺小血管横断面,显示炎性细胞浸润累及部分血管;F.肺小血管纵切面,炎性细胞浸润,部分管壁破坏。CT诊断:韦格纳肉芽肿(病理证实为坏死性肉芽肿性血管炎)
(2)坏死性肉芽肿性肺血管炎(韦格纳肉芽肿):
在临床上常被误诊,为了能早期诊断,对有以下情况者应反复进行活组织检查:不明原因的发热伴有呼吸道症状;慢性鼻炎及副鼻窦炎,经检查有黏膜糜烂或肉芽组织增生;眼、口腔黏膜有溃疡、坏死或肉芽肿;肺内有可变性结节状阴影或空洞;皮肤有紫癜、结节、坏死和溃疡等。确诊依据病理组织学检查。
3.变应性肉芽肿性血管炎(churg-strauss syndrome)
CSS是一主要累及中下动脉和静脉,以坏死性小血管炎,血管外坏死性肉芽肿形成和多器官大量嗜酸性粒细胞浸润为特征的系统性血管炎,皮肤及肺是最常受累器官,临床以哮喘,嗜酸性粒细胞增多、坏死性血管炎为特征。
(1)变应性肉芽肿性血管炎(CSS)CT征象及诊断:
高分辨率CT(HRCT)表现多样,无特异性,反映了本病不同的肺部表现(图8-5-7),包括主要表现为:①双肺实变灶或磨玻璃结节影,多对称分布于周围部,少数病例病灶分布于支气管周围或呈随机分布斑片状实变灶;②直径5~35mm肺结节,可含空气支气管征或空洞;③小叶中心结节;④支气管扩张或管壁增厚;⑤小叶间隔增厚。约10%~50%病例伴单侧或双侧胸腔积液。
图8-5-7 变应性肉芽肿性血管炎
A.胸部X线片示双肺多发结节状及磨玻璃状影(↑);B-F横断图像,双肺多发大小不同结节灶,可见磨玻璃状影(ABC↑);小叶间隔增厚(E↑);支气管管壁明显增厚(F↑)。诊断经病理证实
(2)变应性肉芽肿性血管炎(churg-strauss综合征)诊断:
通常要依照典型的临床和实验室资料来判断。有反复哮喘病史数年,外周血嗜酸性粒细胞≥1.5×10 9 /L;系统性血管炎累及两个或两个以上的肺外器官;血沉增高,ANCA阳性;活组织检查有大量的嗜酸性粒细胞浸润,即可肯定本病。
4.显微镜下多血管炎(microscopic polyangiitis MPA)
显微镜下多血管炎是一种主要累及小血管的系统性坏死性血管炎,为小血管的节段性纤维素性坏死,无坏死性肉芽肿,在小动脉、小静脉及毛细血管壁上有多核白细胞和单核细胞浸润,可有血栓形成。常具有节段性、坏死性肾小球肾炎和肺毛细血管炎。
约一半的MPA患者有肺部损害,发生肺泡毛细血管炎,12%~29%的患者有弥漫性肺泡出血。查体可见呼吸窘迫征,肺部可闻及啰音。由于弥漫性的肺间质改变和炎症细胞的肺部浸润,约1/3的患者出现咳嗽、咯血、贫血,其中大量的肺出血可导致呼吸困难,甚至死亡。部分患者可在弥漫性肺泡出血的基础上出现肺间质纤维化。
(1)显微镜下多血管炎(MPA)CT征象及诊断:
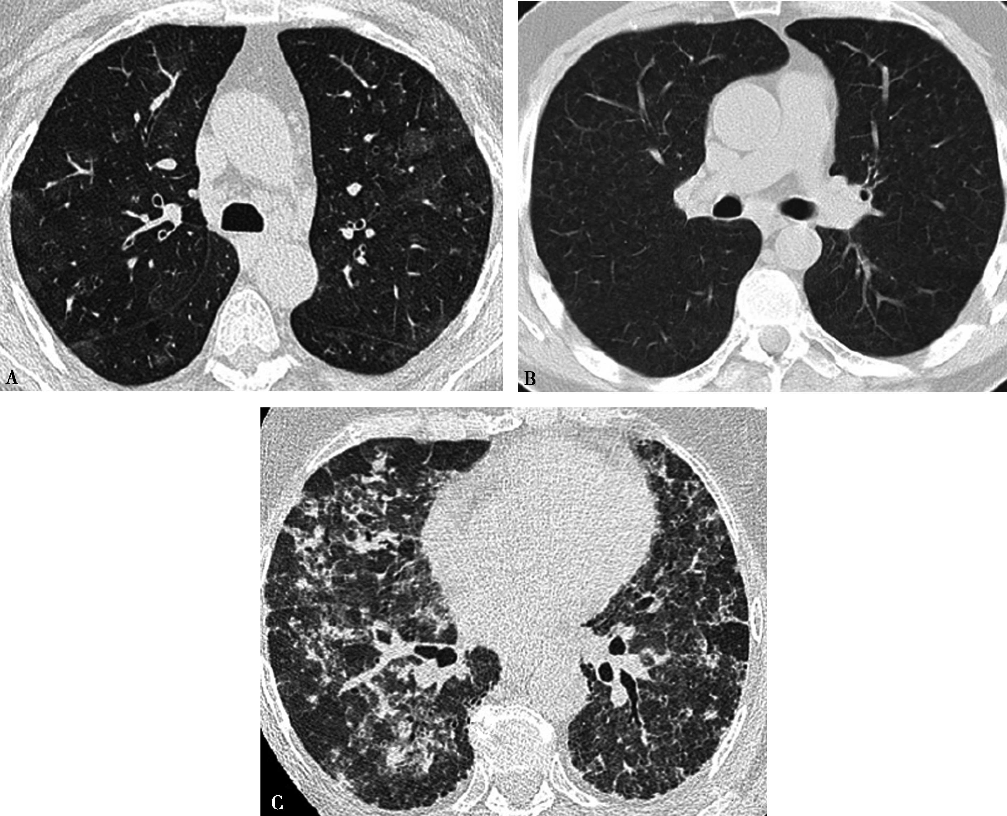
高分辨率CT(HRCT)表现多样,无特异性,反映了本病不同的肺部表现,包括主要表现为斑片状或弥漫性双肺磨玻璃结节影或实变灶,主要分布于周围部,以双肺中下野多见(图8-5-8)。
图8-5-8 显微镜下多血管炎,CT表现无特异性
A、B.可见多发磨玻璃影;C.病变进展可表现为间质性炎症
(2)显微镜下多血管炎诊断:
目前尚无统一标准,以下情况有助于MPA的诊断:①中老年,以男性多见;②肾脏损害表现:蛋白尿、血尿或(及)急进性进行性肾功能不全等;③伴有肺部或者肺肾综合征的临床表现;④伴有关节、眼、耳、心脏、胃肠道等全身各器官受累表现;⑤PANCA阳性;⑥肾、肺活检有助于诊断。
MPA需与结节性动脉周围炎(PAN),肉芽肿性多动脉炎(EGPA)、肉芽肿性动脉炎(GPA)等鉴别。
三、肺血管炎CT诊断评价
1.2012年Chapel Hill会议指出,三大类血管炎可以影响任何大小血管,之间存在着重叠。因此,肺血管的受累也存在着同样问题。CT诊断也存在同样问题。
2.侵犯大中肺血管的病变,如大动脉炎、白塞病等,CTPA多有相对特征性改变,可以做出明确诊断。
3.CTPA对肺小血管病变征象不典型,诊断有一定困难,但是,MDCT可以显示受累器官病理解剖改变,如HRCT肺扫描可以反映肺组织的病理征象,提供其背后肺小血管病变的病理基础。但是CT征象并非是特异性,对肺小血管病定性诊断要结合实验室检查及全面临床情况。
4.ANCA实验室检查是关键,间接免疫荧光法联合酶联免疫法是诊断ANCA相关性血管炎的最佳检测方法。但是应慎重对待阳性结果,其受到感染或某些药物干扰。
(戴汝平)
参考文献
1.Baum GL,Crapo JD,Celli BR,et al.Textbook of Pulmonary Diseases.Philadelphia: Lippincott-Raven,1998:1273-1295.
2.Wagenvoort CA.Lung biopsy specimens in the evaluation of pulmonary vascular disease.Chest,1980,77(5):614-625.
3.Nakabayashi K,Kurata N,Nangi N.Pulmonary artery involvement as first manifestation in three cases of Takayaan′s arteritis.Int J Cardiol,1996,54(Suppl 3): s177-183.
4.Lie JT.Isolated pulmonary Takayasu′s arteritis: clinicopathologic characteristics.Mod Pathol,1996,9(5):469-474.
5.Haque U,Hellmann D,Trail T.Takayasu′s arteritis involving proximal pulmonary arteries and mimicking thromboembolic disease.Rheumatol,1999,26(2): 450-453.
6.Arend WP,Michel BA,Bloch DA.The American College of Rheumatology 1990criteria for the classification of Takayasu′s arteritis.Arthritis Rheum,1990,33(8): 1129-1134.
7.Paul JF,Fiessinger JN,Sapoval M.Follow-up electron beam CT for the manegement of early phase Takayasu′s arteritis.J Comput Assist Tomogr,2001,25(6):924-931.
8.Kissin EY,Merkel PA.Diagnostic imaging in Takayasu′s arteritis.Current Opinion in Rheumatology,2004,16(1): 31-37.
9.Fei Y,Li X,Lin S,et al.Major vascular involvement in Behçet′s disease: a retrospective study of 796 patients.Clin Rheumatol,2013,32(6): 845-852.
10.Bouzelmat H,Chaib A,Kheyi J,et al.Hemoptysis revealing pulmonary artery aneurysm associated with intracardiac thrombosis: A delicate anticoagulation situation(a case report of Behçet′s disease).J Mal Vasc,2013,38(3): 198-200.
11.Thompson LD.Wegener granulomatosis.Ear Nose Throat J,2013,92(1): 18-22.
12.Provenzale JM,Allen NB.Wegener granulomatosis:CT and MR findings.AJNR,1996,17(4): 785-792.
13.Summers RM,Aggarwa NR,Sneller MC,et al.CT virtual bronchoscopy of the central airways in patients with Wegener′s granulomatosis.Chest,2002,121(1): 242-250.
14.Watts RA,Scott D.Vasculitis in Clinical Practice:Churg-Strauss Syndrome.London: Springer,2010:71-82.
15.Miranda-Filloy JA,Veiga JA,Juarez Y,et al.Microscopic polyangiitis following recurrent Staphylococcus aureus bacteremia and infectious endocarditis.Clin Exp Rheumatol,2006,24(6): 705-706.
16.陈文彬,潘祥红。诊断学。北京:人民卫生出版社,2011:432.
17.戴汝平。心血管病CT诊断学。北京:人民卫生出版社,2013.
第六节 慢性纵隔炎肺动脉病变CT诊断
一、基本知识
慢性纵隔炎多为肉芽肿样病变,常由原发肺结核或组织胞质菌病感染所致,起病缓慢,在纵隔形成致密的纤维组织。其他如放线菌、结节病、梅毒、外伤后纵隔出血、药物中毒、自身免疫等,均可引起纵隔纤维化。部分患者的病因不明。
累及范围:前中纵隔的上中部。侵犯大血管、腔静脉、肺动脉;同时可以累及食管、气管、支气管致发生狭窄或梗阻。少数患者可同时发生颈部纤维化和腹膜后纤维化,以致造成输尿管狭窄。
慢性纵隔炎累及肺动脉包括两种情况:①造成同源性肺动脉炎:纵隔炎同时浸润肺动脉,如结核性纵隔炎,造成结核性肺动脉炎,肺动脉有干酪性病变,检出朗格汉斯细胞,后期出现管壁钙化,管腔狭窄或/和闭塞。②慢性纵隔炎纤维化包绕肺动脉,造成不同程度狭窄或闭塞。
二、慢性纵隔炎肺动脉病变CT诊断
(一)横断扫描
胸部平扫及增强扫描显示纵隔增宽,纵隔胸膜增厚,器官间(如大血管、气管、食管)低密度脂肪间隙消失,代之以中等密度结缔组织。主动脉、肺动脉外形不规则,粗细不均,管壁钙化,大气管、食管狭窄。
肺动脉受累表现为主肺动脉及左右肺动脉外形不规则,粗细不均,不同程度狭窄-闭塞、与瘤样扩张交替出现;管壁钙化;可以出现肺动脉高压征象,右心房室扩大(图8-6-1,图8-6-2)。
(二)多层重组(MPR)或曲面重组(CPR)
以不同层厚、不同角度重建,可以进一步显示肺动脉形态、管腔、管壁及其与周围组织、器官的关系。
(三)三维重建
应用容积再现(VR)或表面阴影显示(SSD)重建肺动脉、主动脉等大血管,可以得到三维整体解剖图像,用以指导治疗及教学。
图8-6-1 缩窄性心包炎、纵隔炎(结核性),心包缩窄术后
A、B.横断图像,右肺动脉被纵隔纤维化包围重度狭窄-闭塞(A↑);右侧肺血少(B↑),左侧肺血多(B↑);肺动脉高压,右心房扩大。AO:升主动脉;PA:肺动脉;RPA:右肺动脉;LPA:左肺动脉
图8-6-2 男,34岁,慢性纵隔炎(结核性)肺动脉、主动脉受累,肺动脉高压
A、B.横断扫描纵隔增宽,纵隔胸膜增厚,主动脉与肺动脉间低密度脂肪间隙消失,代之以中等密度(结缔组织),主动脉、主肺动脉及左右肺动脉外形不规则,粗细不均,钙化。主肺动脉及右肺动脉狭窄为主,左肺动脉瘤样扩张;C、D.肺动脉三维重建,示主肺动脉及右肺动脉粗细不均,不规则狭窄,主肺动脉瘤扩张。PA:主肺动脉;LPA:主肺动脉;RPA:右肺动脉;AO:升主动脉
(戴汝平)
参考文献
1.戴汝平。心血管病CT诊断学。北京:人民卫生出版社,2013.
2.戴汝平,马展鸿。肺血管病多排螺旋CT成像及诊断。北京:科学出版社,2014.
3.Rossi SE,McAdams HP,Rosado-de-Christenson ML,et al.Fibrosing mediastinitis.RadioGraphics,2001,21(3): 737-757.
4.McNeeley MF,Chung JH,Bhalla S,et al.Imaging of granulomatous fibrosing mediastinitis.Am J Roentgenol,2012,199(2): 319-327.
5.Atasoy C,Fitoz S,Erguvan B,et al.Tuberculous fibrosing mediastinitis:CT and MRI findings.J Thorac Imaging,2001,16(3): 191-193.
6.Devaraj A,Griffin N,Nicholson AG,et al.Computed tomography findings in fibrosing mediastinitis.Clin Radiol,2007,62(8): 781-786.
第七节 原发性肺动脉肿瘤CT诊断
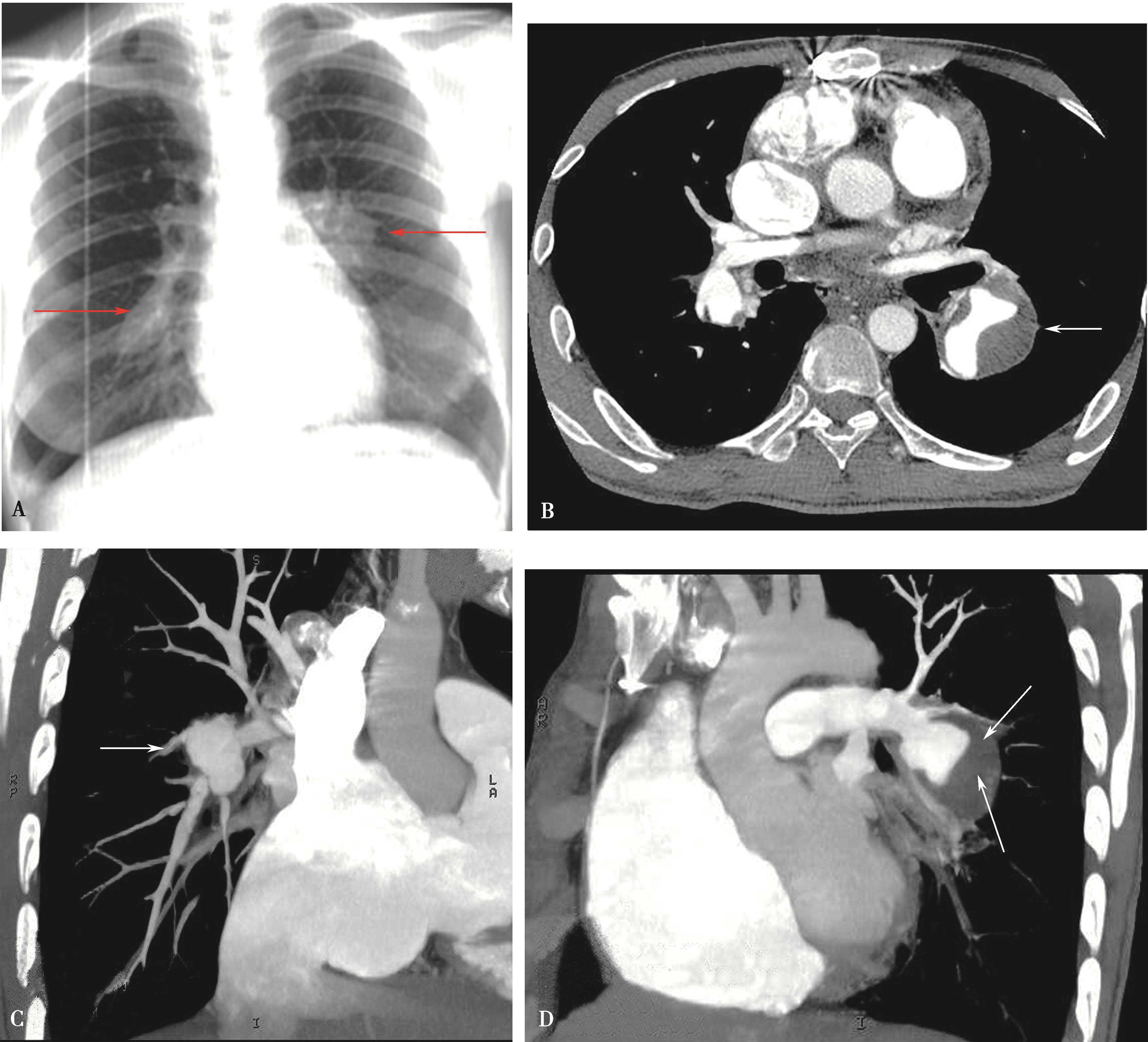
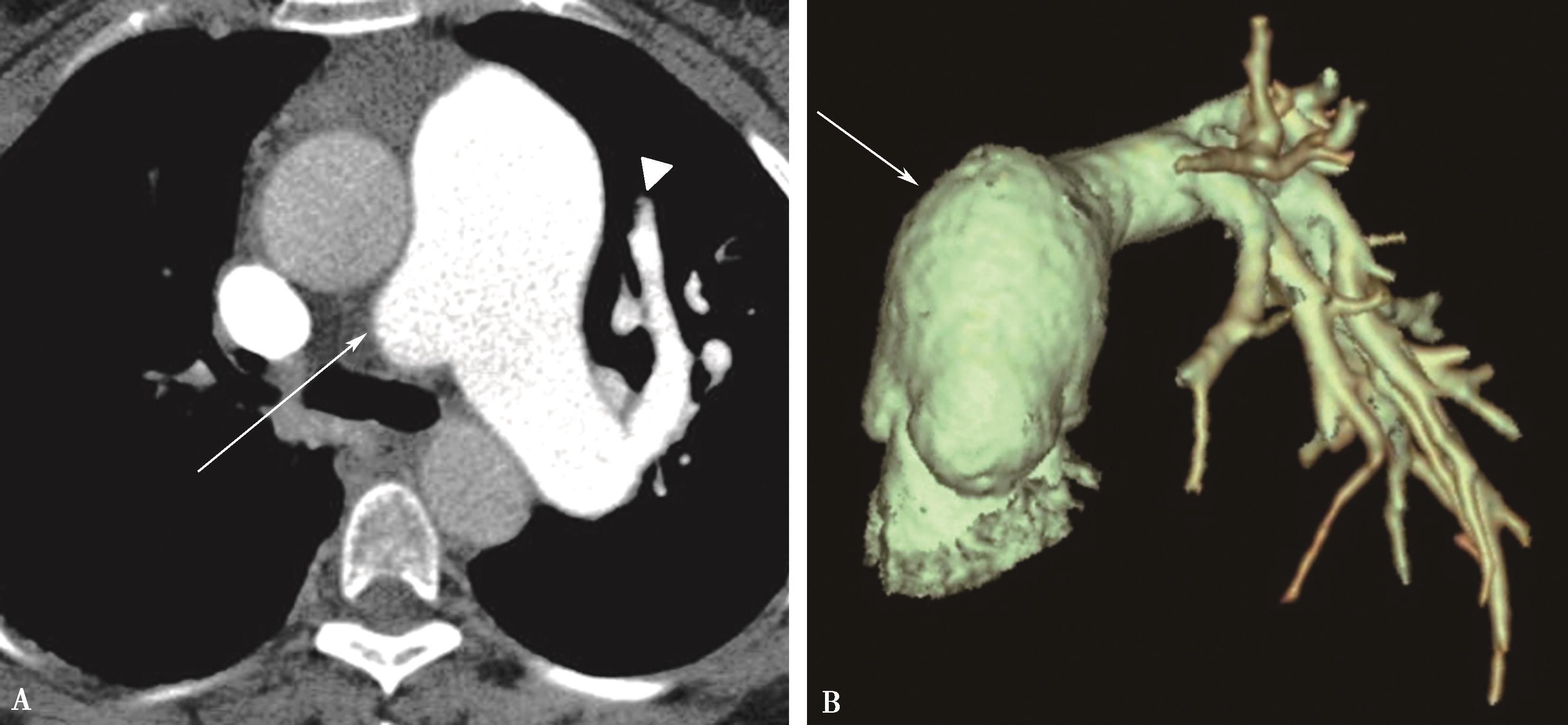
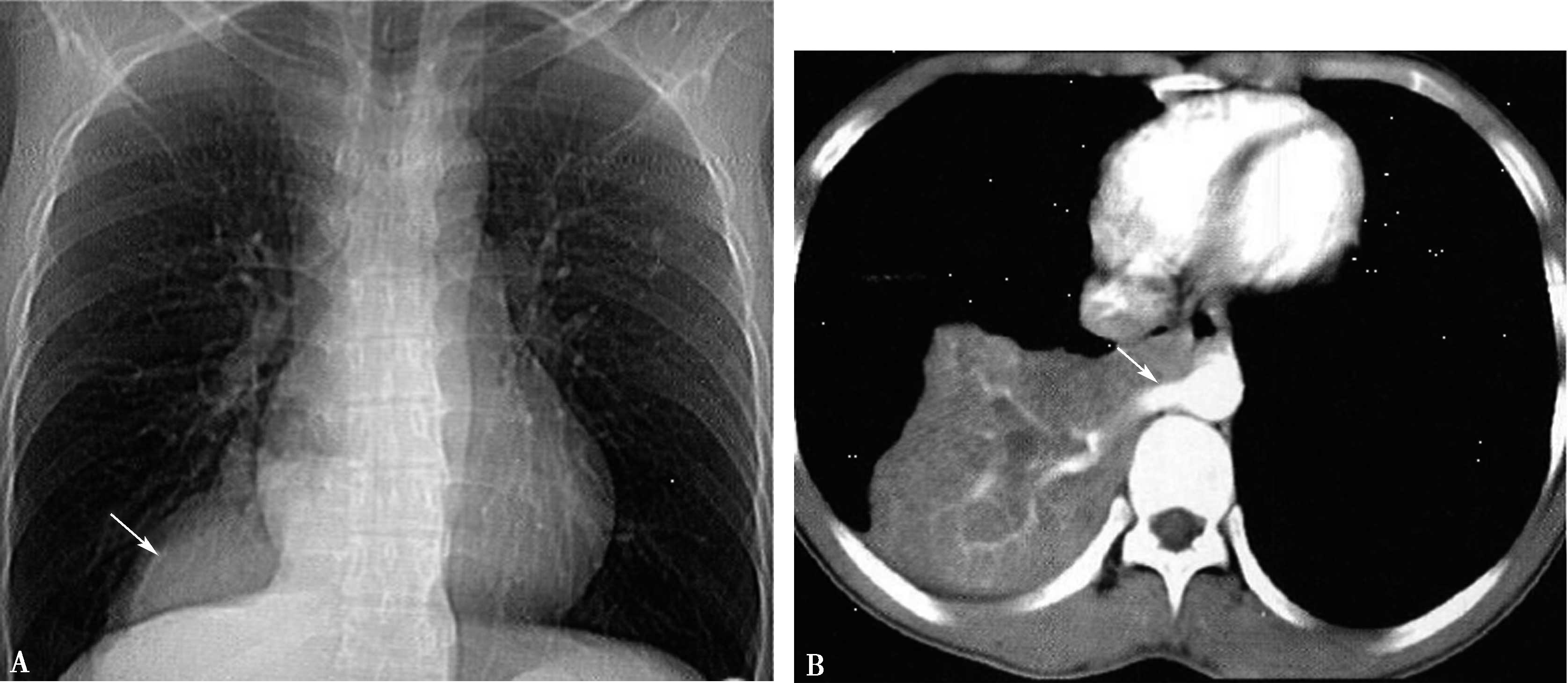
一、基本知识
原发性肺动脉肿瘤是指发生于肺动脉半月瓣或/和肺动脉干的原发肿瘤。少见,多为恶性,发展迅速,罕见良性肿瘤报道。临床症状无特异性,由于肿瘤的梗阻,其症状与肺栓塞类似,常常贻误病情。1923年Mandelstamm首次报道,随后文献报道不超过200例,均为肉瘤。发病率不详,发病年龄13~86岁,60%在45~60岁。
肿瘤发生:原发性肺动脉肿瘤起源不明,大致可分为源自动脉内膜和动脉中膜外膜两类,绝大部分病例属于前者。有学者认为来源于肺动脉内膜及内膜下心球的原始细胞,沿血流生长,罕见逆行扩散,但有个例报道这种低分化肉瘤原发于左肺下叶动脉,然后逆行扩散到肺动脉干,一般不侵及动脉壁。肿瘤很少穿透外膜,侵及主动脉、心包及纵隔。78%的肿瘤有转移,67%的转移至肺,大多数由于瘤栓所致。其他部位转移包括肺门及纵隔的淋巴结;偶尔可转移至其他器官。
肿瘤病理:肿瘤大体多呈息肉状或指状与肺动脉瓣或主肺动脉基底部紧密相连,且延续至肺动脉分叉及左右肺动脉,有些早期可为多结节,但晚期为坚硬的肿块充满血管腔。另外,一些肿瘤为右心室流出道多中心起源及累及三尖瓣。肿瘤的成分及颜色多种多样,从半固态-固态-骨样硬度。
肺动脉肿瘤镜下常见的形式为多形性、原始细胞伴有巨细胞浸润,其中最常见的为梭形细胞和疏松、含黏液的基质。一组60例分析,最常见的为未分化肉瘤,占37%,依次为平滑肌肉瘤占17%、黏液肉瘤13%、软骨肉瘤11%、横纹肌肉瘤8%及恶性间叶细胞瘤5%。
早期诊断的关键在于提高对该病的认识和警惕。诊断肺栓塞有以下情况时应该予以警惕:①影像学出现单侧肺动脉扩张、肺门圆隆呈分叶状呈 “三叶草”征;肿物可以累及肺动脉瓣、右心室流出道或肺内肿块;②经充分抗凝、溶栓治疗后症状无缓解或恶化者;③无引起肺栓塞的诱因,如深静脉血栓的存在;④病程短、进展快,体重呈进行性下降。
CTPA诊断结合18F-FDG PET检查可以提高原发性肺动脉肿瘤的检出。
二、原发性肺动脉肿瘤CT诊断
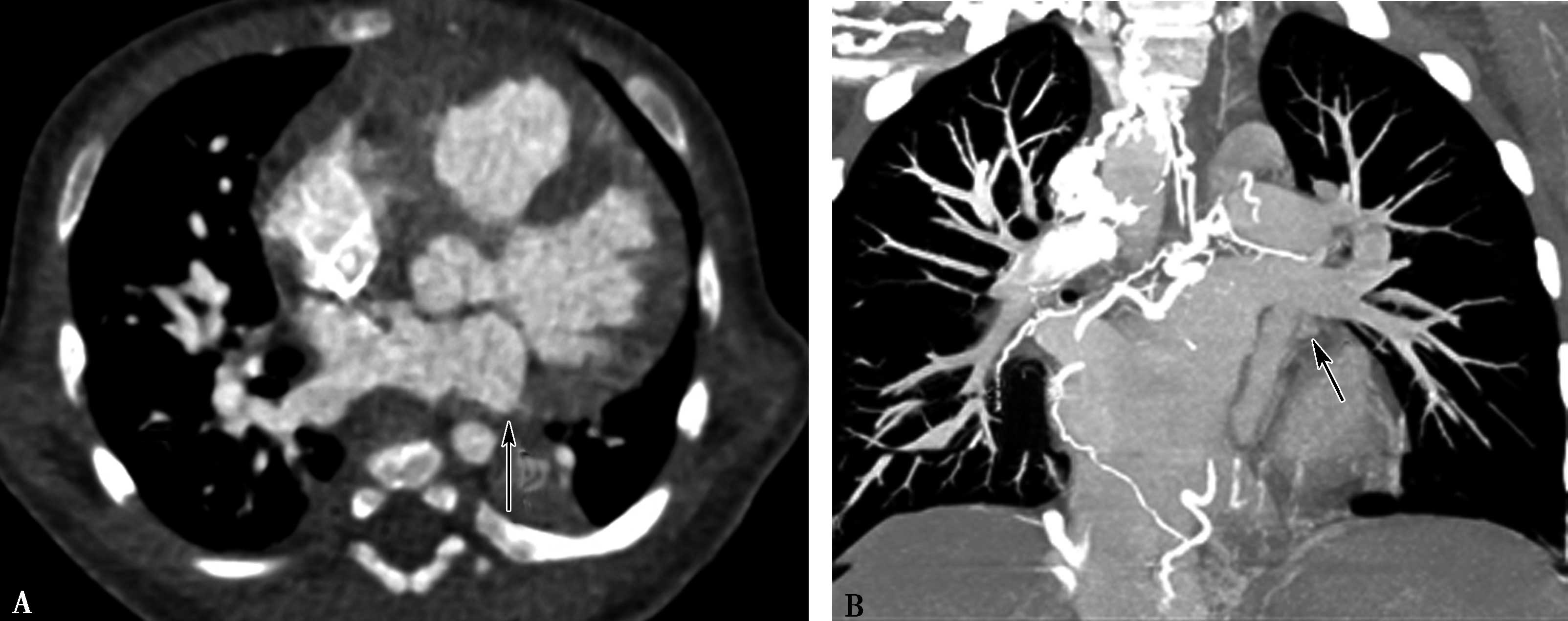
横断扫描是诊断的重要基础。肺动脉多层重组(MPR)或曲面重组(CPR)可以以不同层厚或不同角度显示肺动脉腔内肿瘤范围、形态、与管壁及周围组织器官的关系,有着重要意义。三维重建(容积再现或表面阴影显示)可以直观显示肺动脉,但是对定性诊断帮助不大。
1.直接征象(图8-7-1~图8-7-3)
(1)主肺动脉或单侧肺动脉干管腔充盈缺损,大块状充盈缺损呈分叶、结节样(指压征),可以延肺动脉血管长轴向远侧蔓延。
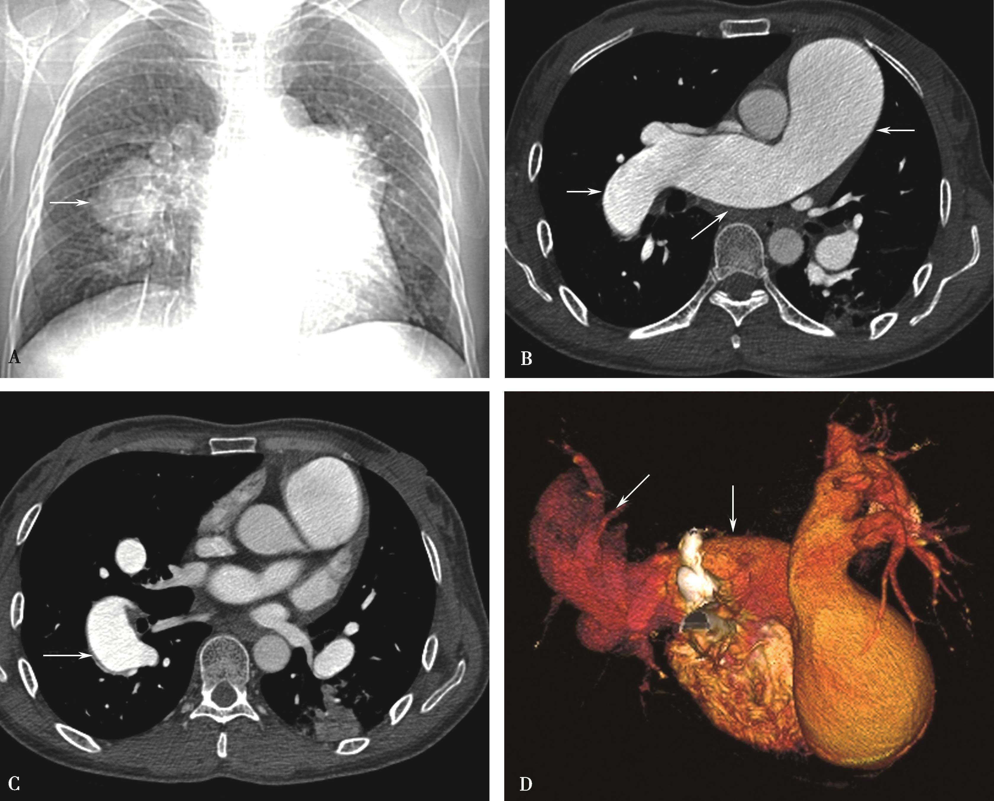
(2)晚期肿块沿肺动脉长轴管腔膨胀性生长,可以充满主肺动脉、左右肺动脉干及叶段分支管腔,血管闭塞。CTPA检查对比剂存在于节结间呈分隔状,有一定提示。
(3)肿瘤可以发生于或累及肺动脉瓣、右心室流出道。如果有蒂存在,肿瘤可以有一定活动度。
(4)肿瘤依恶性程度,生长发展较快,肺门血管影圆隆增大,呈 “三叶草”征。
(5)远处转移:最常见的为肺和肋骨。
2.间接征象
(1)肺动脉扩张,右心房室增大,肺动脉高压。
(2)双肺实质灌注不均。
图8-7-1 女,21岁,反复咯血2年,胸闷气短1年半
CT横断扫描。A、B.多层重组;C、D.示主肺动脉及左右肺动脉内结节状充盈缺损,可见 “指压征”(↑),右肺动脉及左下肺动脉闭塞;前上纵隔中等密度影,考虑为纵隔转移(A▲)。肺动脉造影(E)示主肺动脉不规则充盈缺损,右肺动脉及左下肺动脉闭塞,术后病理诊断:低分化平滑肌肉瘤(F)
图8-7-2 男,44岁,因劳力性胸闷、气短2年余,加重1个月并出现双下肢水肿急诊入院
CT横断扫描ABCD示主肺动脉、右肺动脉干内巨大充盈缺损,膨胀性生长,累及右心室流出道(↑),主肺动脉明显扩张。肺动脉造影E,示主肺、左右肺动脉干及右下肺动脉管腔内充盈缺损(↑),两肺、左肺舌叶及下叶各基底支仅见稀疏肺动脉分支显影。病理诊断为恶性间叶细胞瘤。
图8-7-3 女,53岁,劳力性呼吸困难2个月余,偶尔咯血
A.CT横断图像,示主肺动脉及右肺动脉内充盈缺损-闭塞(↑);B.磁共振TIWI显示主肺动脉及右肺动脉中等信号(↑);C.磁共振增强扫描。管腔内充盈缺损,充盈缺损信号不均匀增强(↑);D. 18 F-FDG PET检查示该病灶呈放射性浓集(↑);E.手术切除大体标本,白色为瘤体;F.病理证实为原发肺动脉肉瘤。PA:主肺动脉;LPA:左肺动脉;RPA:右肺动脉
(戴汝平)
参考文献
1.Becquemin JP,Lebbe C,Saada F,et al.Sarcoma of the aorta:report of a case and review of the literature.Ann Vasc Surg,1988,2(3): 225-230.
2.金敬琳,戴汝平,杨志强。原发性肺动脉肿瘤的影像学诊断。中华放射学杂志,2003,37(2):120-124.
3.Blelsch VR,Kraus FT.Polypoid sarcoma of the pulmonary trunk:analysis of the literature and report of a case with leptomeric organelles and ultrastructural features of rhabdomyosarcoma.Cancer,1980,46(2): 314-324.
4.Mandelstamm M.Ueberprimare Neubildungen des Herzens.Virchows Arch,1923,245(1): 43-54.
5.Akomea-Agyin C,Dussek JE,Anderson DR,et al.Pulmonary artery sarcoma mimicking pulmonary embolism:Successful surgery intervention.Ann Thorac Surg,1996,61(5): 1536-1538.
6.Eunhee SY.Tumors of the pulmonary vasculature.Cardiology Clinics,2004,22(3): 431-440.
7.Pagni S,Passik CS,Riordan C,et al.Sarcoma of the main pulmonary artery:An unusual etiology for recurrent pulmonary emboli.J Cardiovasc Surg,1999,40(3):457-461.
8.Head HD,Flam MS,John MJ,et al.Long-term palliation of pulmonary artery sarcoma by radical excision and adjuvanttherapy.Ann Thorac Surg,1992,53(2):332-334.
9.Fitzgerald PM.Primary sarcoma of the pulmonary trunk:CT finding.J Comput Assist Tomogr,1983,7(3):521-523.
第八节 肺动脉夹层CT诊断
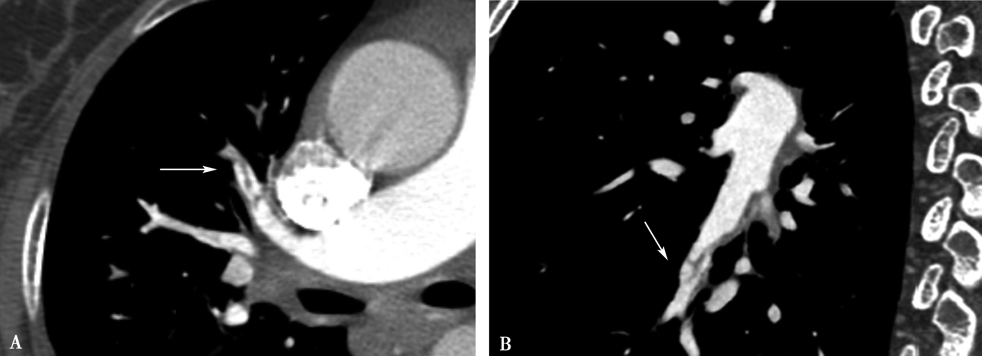
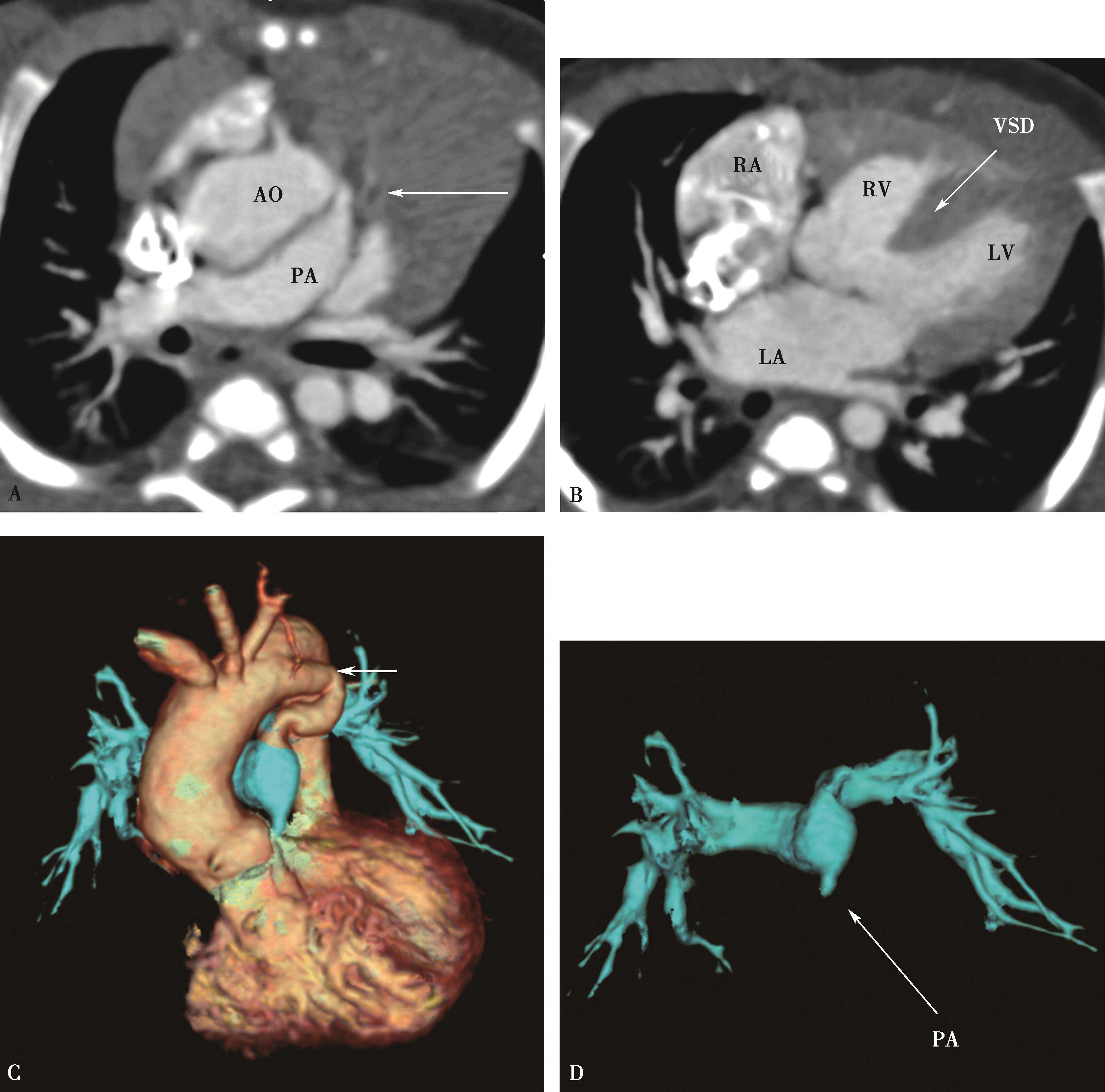
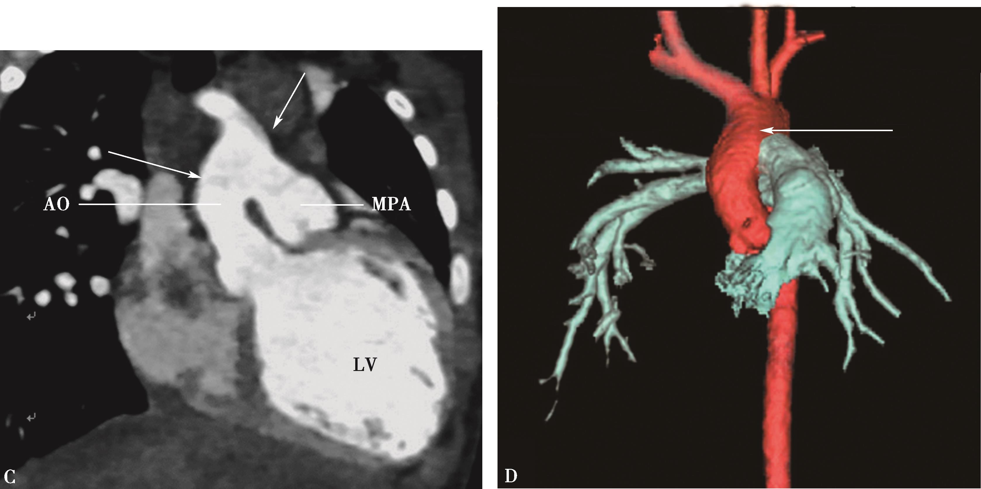
一、基本知识
肺动脉夹层(pulmonary artery dissection,PAD)是指肺动脉内的循环血液通过内膜破口进入肺动脉中层形成壁内血肿,并延伸剥离,出现第二个破口,形成双腔肺动脉,夹层中的血液重新进入肺循环。是严重的肺血管急症。
肺动脉夹层是一种非常罕见的疾病。自1842年Helmbrecht首次报道以来,迄今已有72例,大部分为尸检发现,仅17例患者生前获得确诊。随着多种影像学技术的发展,包括CT、MRI、超声心动图、核医学、介入技术等,肺动脉夹层生前检出率提高。北京阜外心血管病医院2000—2010年CT共确诊4肺动脉夹层患者。女性发病率略高,男女之比约1∶1.2。
病理分型:根据夹层累及部位,分肺动脉主干型(发生于主肺动脉干可累及左右肺动脉干),占80.3%;左/右肺动脉型(发生于左或右肺动脉干),占11.5%,肺内动脉型(发生于肺内叶-段动脉),占8.2%。
按照病因分为特发性和继发性肺动脉夹层,后者包括医源性肺动脉夹层(如不适当的介入操作)。肺动脉夹层发生的主要危险因素为肺动脉高压,75%以上的患者有肺动脉高压,其他曾经报道过的少见病因有马方综合征、肺结核、梅毒、妊娠、特发性中层囊状坏死、淀粉样变性等。个别患者无相关危险因素,称为特发性肺动脉夹层。
二、肺动脉夹层CT诊断
(一)横断图像
横断扫描是诊断的基础。肺动脉层面可见内膜片构成的线状充盈缺损,形成双腔肺动脉,亦可分辨出真腔与假腔;假腔显影较淡,管腔膨大。心包积液或胸腔积液,常预示有破裂的可能。
(二)多层重组(MPR)或曲面重组(CPR)
以不同层厚、不同角度重建肺动脉,可以清楚显示肺动脉内腔、内膜片,累及的范围及程度,有否血栓形成等,对指导治疗有重要价值。
(三)三维重建
容积再现(VR)或表面阴影显示(SSD),有助于直观肺动脉外形,对观察内腔不如多层重组能提供更多信息(图8-8-1~图8-8-3)。
图8-8-1 马方综合征,主动脉夹层,肺动脉夹层(横断图像)
A、B.术前示升主动脉夹层,肺动脉夹层,可见内膜片,累及主肺动脉及右肺动脉,假腔显影较淡,管腔膨大(↑);C.升主动脉及主肺动脉血管置换术后,管腔正常(↑)。AO:升主动脉;PA:主肺动脉
图8-8-2 男,33岁,肺动脉夹层(横断图像)
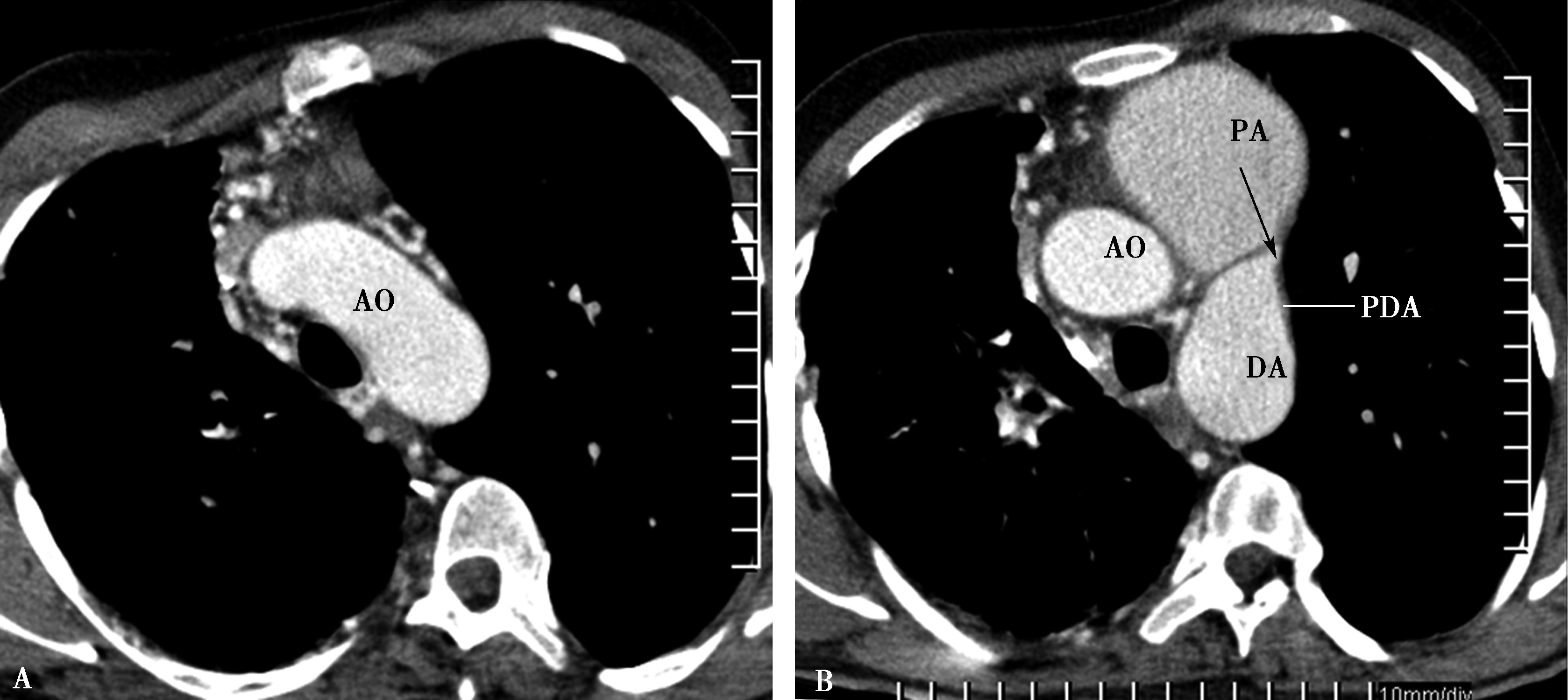
先天性心脏病:右肺动脉缺如、动脉导管未闭、肺动脉高压、肺动脉夹层(B,C,D↑)。AO:升主动脉;PA:主肺动脉;PDA:动脉导管未闭;DA:降主动脉
图8-8-3 女,21岁。活动后心慌气短15年,先天性心脏病,室间隔缺损(VSD),重度肺动脉高压
A、B.多层重组,示主肺动脉高度瘤样扩张,可见左侧壁线状内膜片影,为肺动脉夹层(↑);C.三维重建,容积再现示主肺动脉夹层(↑)。MPA:主肺动脉;RPA:右肺动脉;LPA:左肺动脉
(戴汝平)
参考文献
1.马展鸿,戴汝平,蒋世良,等.肺动脉夹层影像学诊断2例。中华心胸外科临床杂志,2006,22(1):70-71.
2.孙宏涛,于存涛,常谦,等.肺动脉夹层的诊断与治疗。中国胸心血管外科临床杂志,2011,18(01):45-48.
3.卢晓芳,谢明星,王新房,等.超声心动图诊断肺动脉夹层-附3例报告。中华超声影像学杂志,2006,15(03): 186-189.
4.Wunderbaldinger P,Bernhard C,Uffmann M,et al.A-cute pulmonary trunk dissection in a patient with primary pulmonary hypertension.J Comput Assist Tomogr,2000,24(1): 92-95.
5.Westaby S,Evans BJ,Ormerod O.Pulmonary-artery dissection in patients with Eisenmenger's syndrome.N Engl J Med,2007,356(17): 2110-2112.
6.Peng LQ,Yu JQ,Chu ZG,et al.A rare case of right and left pulmonary artery dissections on 64-slice multidetector computed tomography.J Thorac Imaging,2010,25(4): 136-137.
7.Ay Y,Ay NK,Aydin C,et al.A rare complication of pre-Eisenmenger patent ductus arteriosus:Pulmonary artery dissection.Int J Surg Case Rep,2013,4(5): 483-485.
第九节 特发性肺动脉高压CT诊断
一、基本知识
特发性肺动脉高压(idiopathic pulmonary arterial hypertension IPAH)是指原因不明肺血管阻力增加引起持续性肺动脉压力增高,排除所有引起肺动脉高压的继发因素。idiopathic pulmonary arterial hypertension(IPAH)是在2003年威尼斯会提出,以后不再应用 “原发性肺动脉高压”一词。
目前已发现骨形成蛋白Ⅱ受体基因突变等原发性肺动脉高压的病因。将以往的原发性肺动脉高压患者中,具有肺动脉高压家族史的患者归入“家族性肺动脉高压”,其余的即为特发性肺动脉高压。本病发病率约15/100万~35/100万,多见于中青年,男女发病率之比为1∶2~1∶3。
特发性肺动脉高压主要病理特点是肺小动脉丛样病变。病理指肺小动脉内皮细胞、平滑肌细胞增生肥大、血管内膜纤维化增厚、中膜增厚、管腔狭窄、闭塞、扭曲变形,呈丛状改变。肺小静脉也可以出现内膜纤维增生和管腔阻塞。肺动脉主干扩张,右心室肥厚,右心扩大。典型病例3~5年内死于右心衰竭。
二、特发性肺动脉高压CT征象及诊断
(一)横断图像
横断扫描缺乏特征性征象(图8-9-1)。
1.主肺动脉扩张;左、右肺动脉扩张(决定于肺动脉高压程度)。
2.段以下外围小肺动脉正常或纤细。
3.肺野清晰,少见马赛克征。
4.右心室肥厚,肺动脉高压征象。
5.失代偿期并发三尖瓣关闭不全,可以右心房室扩大。晚期右心衰竭征象(包括上下腔静脉增宽、心包积液、胸膜腔积液)。
(二)多层重组(MPR)或曲面重组(CPR)
以不同层面、不同角度重建各支肺动脉影像,显示中心肺动脉扩张,段-亚段分支无特征性改变。
(三)三维重建
容积再现(VR),显示中心肺动脉扩张,段-亚段分支无特征性改变。
三、特发性肺动脉高压(IPAH)CT诊断原则采用排除法
排除一切可以引起肺动脉高压的疾患如:①左-右分流先天性心脏病;②胸肺疾病;③肺栓塞;④动脉炎;⑤瓣膜病(二尖瓣狭窄);⑥左心疾病相关肺动脉高压等,排除一切已知病因引起的肺动脉高压,才考虑诊断特发性肺动脉高压。病理检查是确诊的 “金标准”。
四、MDCT在特发性肺动脉高压鉴别诊断的评价
对特发性肺动脉高压诊断与鉴别诊断的CT研究较少,根据有限病例经验及文献做简要评价,仅供参考。
1.特发性肺动脉高压(IPAH)CT诊断原则采用排除法。排除一切可以引起肺动脉高压的疾病,才考虑诊断特发性肺动脉高压。
图8-9-1 男,30岁,劳力性呼吸困难,心电图右心室肥厚
A.X线胸片示肺野清晰,肺门动脉增宽,右心室肥厚,肺动脉高压征象;B.核素肺灌注扫描未见有意义灌注缺损;C.肺动脉造影,中心肺动脉增宽,外围纤细,未见充盈缺损。肺动脉高压征象;D~F.MDCT横断图像,示主肺动脉、左右肺动脉扩张(↑),段以下外围小动脉纤细,肺野清晰;右心室肥厚(F↑);CTPA排除一切可以引起肺动脉高压的疾患,诊断为特发性肺动脉高压。G、H.病理示丛样病变形成(↑);I.3D显微图像重建示特发性肺动脉高压肺小动脉迂曲、狭窄、细小、闭塞、缺支
2.CT在特发性肺动脉高压(IPAH)与肺静脉阻塞病(PVOD)、肺毛细血管血管瘤病(PCH)鉴别诊断有一定价值。可以检出后两者所特有的一些征象,有利于鉴别诊断。
(1)肺动脉高压患者在HRCT检查,显示肺野清晰,应考虑为特发性肺动脉高压。
(2)肺动脉高压患者在HRCT检查,检出中央小叶毛玻璃样模糊影、胸膜下间隔线,叶间胸膜渗出增厚等,提示肺静脉压力增高,有助于肺静脉阻塞病诊断。
(3)肺动脉高压患者在HRCT检查,检出两肺网结状模糊影,“磨玻璃”样小结节为主的改变。有助于肺毛细血管血管瘤病(PCH)诊断,但是需要结合临床并与肺静脉阻塞病鉴别。
(4)病理检查是确诊的 “金标准”。
(戴汝平)
参考文献
1.Rubin LJ.Primary pulmonary hypertension.N Engl J Med,1997,336(2): 111-117.
2.Souza R,Jardim C,Humbert M.Idiopathic pulmonary arterial hypertension.Semin Respir Crit Care Med,2013,34(5): 560-567.
3.Nicod P,Moser KM.Primary pulmonary hypertension.The risk and benefit of lung biopsy.Circulation,1989,80(5): 1486-1488.
4.Aya M,Kazufuni N,KengoF,et al.Three-dimensional structure of pulmonary capillary vessels in pulmonary hypertension.Circulation,2010,121(19): 2151-2153.
第十节 肺静脉阻塞病
一、基本知识
肺静脉阻塞病(pulmonary veno-occlusive disease,PVOD)主要病变是小叶间静脉和小叶前静脉由疏松的纤维化重构的内膜、中膜机化、血栓形成阻塞管腔;同时隐性肺泡出血,吞噬细胞大量增加,导致大量含铁血黄素沉积,肺间质纤维化,形成肺静脉高压,导致肺动脉高压。常误诊为特发性肺动脉高压。
该病病因尚不清楚,并非单一因素,包括感染、免疫、药物、肿瘤(放化疗)及有家族史,提示有遗传因素等。胸部X线片显示两肺透过度降低、可见间隔线(Kerley'B线),胸腔积液,为肺静脉高压征象。确诊需要肺活检,病理学检查(图8-10-1)。
图8-10-1 肺小静脉及小叶间隔静脉阻塞示意图
A.正常次级肺小叶和小叶间隔显微解剖示意图;B.POVD,小叶间隔静脉阻塞,小叶间隔水肿,毛细血管网扩张,淋巴管堵塞示意图;C.HRCT重建小叶间隔水肿,间隔线(↑);小叶渗出(▲);D.3D电镜毛细血管病变呈小瘤样,不均、终断 [引自Miura A,Nakamura K,Kusano KF]
二、肺静脉阻塞病CT诊断
(一)HRCT(平扫)横断扫描
薄层扫描(肺窗)(图8-10-1C,图8-10-2,3)。
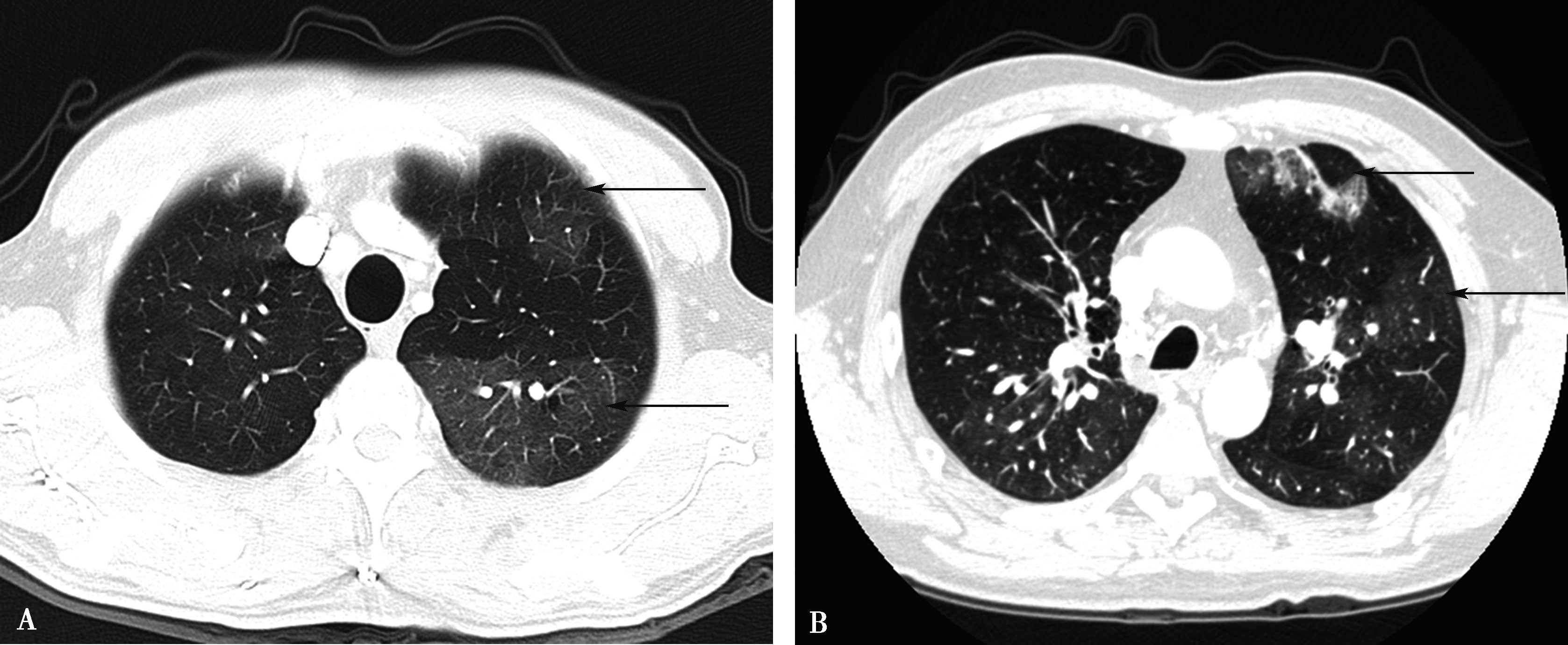
1.中央小叶毛玻璃样模糊影(检出率73%)。
2.胸膜下间隔线(检出率93%)。
3.肺动脉高压征象:中心肺动脉扩张,右心扩大。
4.纵隔淋巴结肿大。
5.少量胸腔积液(包括叶间积液)。
(二)多层重组或三维重建图像对诊断无意义
Montani一组研究:以上2~3项诊断PVOD敏感性为75%,特异性为84.6%。但是影像学无异常或只有一项征象,并不能排除诊断。确诊需要病理检查。
图8-10-2 男,43岁,呼吸气短,病理诊断为肺静脉阻塞病
A.横断扫描,(肺窗)肺透过度减低,多发胸膜下间隔线(▲);中心肺动脉增宽,肺动脉高压征象(↙)。AO:主动脉;PA:主肺动脉。B.肺活检:肺泡间隔纤维化,小静脉被胶原蛋白丰富的纤维组织阻塞(▲)
图8-10-3 PVOD女,17岁,喘憋,病理诊断:肺静脉阻塞病
A.CT冠状位重建(肺窗)显示广泛小叶间隔线和弥漫的边缘不清的磨玻璃结节影(箭头);B.右肺组织标本大体照显示间隔线增厚(曲箭头),边缘不清的淡红棕色实质结节灶(直箭头);C.横断图像(纵隔窗)显示右心房、右心室明显增大,右心室前壁增厚(弯箭头),室间隔平直(↑);D.右心房、右心室病理镜下所见小静脉阻塞(↑)
(戴汝平)
参考文献
1.Wagenvoort CA.Pulmonary veno-occlusive disease.Entity or syndrome?Chest,1976,69(1): 82-86.
2.Sanderson JE,Spiro SG,Hendry AT,et al.A case of pulmonary veno-occlusive disease responding to treatment with azathioprine.Thorax,1977,32(2): 140-148.
3.Kishida Y,Kanai Y,Kuramochi S,et al.Pulmonary venoocclusive disease in a patient with systemic lupus erythematosus.J heumatol,1993,20(12): 2161-2162.
4.Zhang L,Visscher D,Rihal C,et al.Pulmonary venoocclusive disease as a primary cause of pulmonary hypertension in a patient with mixed connective tissue disease.Rheumatol Int,2007,27(12): 1163-1165.
5.Morassut PA,Walley VM,Smith CD.Pulmonary venoocclusive disease and the CREST variant of scleroderma.Can J Cardiol,1992,8(10): 1055-1058.
6.Johnson SR,Patsios D,Hwang DM,et al.Pulmonary veno-occlusive disease and sclerodermaassociated pulmonary hypertension.J Rheumatol,2006,33(11): 2347-2350.
7.McDonnell PJ,Summer WR,Hutchins GM.Pulmonary veno-occlusive disease morphological changes suggesting a viral cause.JAMA,1981,246(6): 667-671.
8.Escamilla R,Hermant C,Berjaud J,et al.Pulmonary veno-occlusive disease in a HIV-infectedintravenous drug abuser.Eur Respir J,1995,8(11): 1982-1984.
9.Davies P,Reid L.Pulmonary veno-occlusive disease in siblings:case reports and morphometric study.Hum Pathol,1982,13(10): 911-915.
10.Voordes CG,Kuipers JR,Elema JD.Familial pulmonary veno-occlusive disease:a case report.Thorax,1977,32(6): 763-766.
11.Runo JR,Vnencak-Jones CL,Prince M,et al.Pulmonary veno-occlusive disease caused by an inherited mutation in bone morphogenetic protein receptor II.Am J Respir Crit Care Med,2003,167(6): 889-894.
12.Chazova I,Robbins I,Loyd J,et al.Venous and arterial changes in pulmonary veno-occlusive disease,mitral stenosis and fibrosing mediastinitis.Eur Respir J,2000,15(1): 116-122.
13.Mandel J,Mark EJ,Hales CA.Pulmonary veno-occlusive disease.Am J Respir Crit Care Med,2000,162(5): 1964-1973.
14.Rabiller A,Jaïs X,Hamid A,et al.Occult alveolar haemorrhage in pulmonary veno-occlusive disease.Eur Respir J,2006,27(1): 108-113.
15.Holcomb BW,Loyd JE,Ely EW,et al.Pulmonary veno-occlusive disease:a case series and new observations.Chest,2000,118(6): 1671-1679.
16.Aya Miuc,Kazufuni N,KengoF,et al.Three-dimensional structure of pulmonary capillary vessels in pulmonary hypertension.Circulation,2010,121(19): 2151-2153.
第十一节 肺毛细血管瘤病
一、基本知识
肺毛细血管血管瘤病(pulmonary capillary hemangiomatosis,PCH)较罕见,肺泡毛细血管异常增生,薄壁微血管浸润生长于支气管周围及血管周围间质、肺实质和胸膜(图8-11-1)。这些增殖微血管容易出血,巨噬细胞吞噬含铁血黄素在肺泡积累。是一个罕见导致肺动脉高压的原因,常误诊特发性肺动脉高压或肺静脉阻塞病。临床特点:咯血,气短,右心功能不全。确诊需要肺活检,病理诊断。用血管扩张剂,会迅速出现肺水肿。
图8-11-1 正常次级肺小叶/小叶间隔肺及毛细血管瘤病(PCH)示意图
A.正常次级肺小叶和小叶间隔显微解剖示意图;B.PCH显微解剖显示毛细血管增殖,但无静脉及小叶间隔受累示意图;C.HRCT重建(冠状位)肺毛细血管瘤病,网结状影;D.肺毛细血管瘤病电镜超显微三维结构电镜,肺泡毛细血管异常增生,瘤样聚集生长的毛细血管团薄壁微血管浸润生长支气管周围及血管周围的间质、肺实质和胸膜
二、肺毛细血管瘤病CT诊断
(一)HRCT(平扫)
两肺网结状模糊影,“磨玻璃”样小结节,间隔线,胸液(图8-11-2,图8-11-3)。
图8-11-2 女,19岁,进行性呼吸困难1年,病理诊断:毛细血管瘤病
A、B.横断图像及多层重组(冠状位)肺窗,显示磨玻璃结节影;C.CTPA示肺动脉增宽;D.VR肺动脉增宽,未见肺动脉栓塞及发育异常;EF.肺动脉造影未见异常;G-J.病理镜检(HE染色);G、H.肺泡间隔明显增厚,大量增殖的厚壁毛细血管;I、J.(CD34染色)毛细血管异常增殖。病理诊断:毛细血管瘤病
图8-11-3 肺毛细血管瘤病
A.横断图像(肺窗)显示磨玻璃结节影(箭头);B.肺大体标本,肺泡毛细血管异常增生,薄壁微血管浸润生长支气管周围及血管周围的间质、肺实质和胸膜。增殖微血管出血,导致吞噬含铁血黄素的巨噬细胞在肺泡积累(B↑)
(二)CTPA
肺动脉高压征象:肺动脉干增宽,右心增大,室间隔向左偏移,心包积液。
(戴汝平)
参考文献
1.Kothear SS,Jagia P,Gupta A,et al.Pulmonary capillary hemangiomatosis.Circulation,2009,120(4): 352-354.
2.Dufour B,Maître S,Humbert M,et al.High-resolution CT of the chest in four patients with pulmonary capillary hemangiomatosis or pulmonary venoocclusive disease.Am J Roentgenol,1998,171(5): 1321-1324.
3.Lantuéjoul S,Sheppard MN,Corrin B,et al.Pulmonary veno-occlusive disease and pulmonary capillary hemangiomatosis:a clinicopathologic study of 35 cases.Am J Surg Pathol,2006,30(7): 850-857.
4.Aya Miuc,Kazufuni N,KengoF,et al.Three-dimensional structure of pulmonary capillary vessels in pulmonary hypertension.Circulation,2010,121(19): 2151-2153.
5.戴汝平,展鸿。血管病多排螺旋CT成像及诊断。北京:科学出版社,2014.
6.戴汝平。心血管病CT诊断学。北京:人民卫生出版社,2013.
第十二节 结缔组织病相关性肺动脉高压
一、基本知识
结缔组织病(connective tissue disease)是一种以血管及结缔组织慢性炎症为基础的自身免疫性疾病,病因尚不清楚,具有自身免疫为特点。主要包括系统性红斑狼疮、类风湿关节炎、原发性干燥综合征、多发性肌炎与皮肌炎、系统性硬化症、系统性血管炎等,患者常混合存在,而称为混合型结缔组织病(mixed connective tissue disease)。主要累及血管、关节及其周围组织。
累及血管表现为血管炎,管壁炎性细胞浸润,管壁增厚、管腔狭窄,继发小血栓形成,管腔闭塞。由于血管分布的广泛性,因此,造成多脏器受损是其特点。累及肺小血管,发生肺小血管炎及肺间质纤维化,最终形成肺动脉高压。
二、结缔组织病肺部病变CT征象及诊断
(一)CT横断图像(平扫)
采用高分辨率薄层扫描。表现为肺透过度降低、磨玻璃样改变,胸膜下小结节、间隔线,间质性肺炎,间质性改变,构成肺小血管炎的CT特征,可见细小支气管扩张。
(二)CT增强扫描
主要显示肺动脉,示中心肺动脉扩展,外围纤细;右心室增大。呈现肺动脉高压征象(图8-12-1)。
图8-12-1 女,54岁,混合型结缔组织病(经临床实验室检查确诊)
A.X线胸片,示两肺透过度降低,广泛间质性改变。肺动脉段凸,右心增大,肺动脉高压;B.CT横断图像,两肺野呈不均匀磨玻璃状改变,间质改变,间质纤维化,可见间隔线,为肺小动脉炎特点;C、D.增强扫描,中心肺动脉高度扩张,外围纤细,右心房室增大,为肺动脉高压改变;左下叶基底段实变容积缩小
附:抗磷脂抗体综合征
抗磷脂抗体综合征(antiphospholipid syndrome,APS)是指由抗磷脂抗体(antiphospholipid antibody,APL抗体)引起的一组临床征象的总称。APL抗体是一组能与多种含有磷脂结构的抗原物质发生免疫反应的抗体,主要有狼疮抗凝物(lupus anti-coagulant,LA)、抗心磷脂抗体(anticardiolipid antibody,ACL抗体)、抗磷脂酸抗体和抗磷脂酰丝氨酸抗体等。与APL抗体有关的临床表现,主要为血栓形成、习惯性流产、血小板减少和神经精神症状等。动脉或静脉血栓形成是抗磷脂抗体综合征最主要的临床表现。体内任何部位的血管均可出现血栓形成,常受累的有外周血管、脑血管及心、肺、肾等脏器的血管。肺部表现多样,最主要表现是肺动脉血栓栓塞及肺动脉高压,而急性呼吸窘迫综合征、肺泡出血及肺毛细血管炎较为罕见。
血栓的发生与血清抗磷脂抗体滴度的变化无明显关系,但有时大血栓的形成常伴有抗体滴度的下降。大约30%~40%的抗磷脂抗体阳性者可出现抗磷脂抗体综合征的临床表现,有10%~15%的系统性红斑狼疮患者合并抗磷脂抗体综合征。儿童抗磷脂抗体综合征以女性更为常见(男女之比约为2∶3)发病年龄为8个月至16岁(平均为10岁)。
CT检查主要以肺栓塞,右心室肥厚,肺动脉高压为主要表现;肺窗可以见到磨玻璃样影,间质性改变为主。确诊需要根据临床及实验室检查(图8-12-2)。
图8-12-2 女,38岁,抗磷脂抗体综合征
A.胸部X线片,两肺透过度降低,间质性改变、呈磨玻璃状;肺动脉段膨突,右心房室扩大,肺动脉高压;B、C.肺窗示两肺呈磨玻璃状,不均匀分布;D、E.增强扫描,中心肺动脉扩张,左肺动脉及外围分支迂曲,右肺动脉仅部分分支对比剂充盈,上叶及下叶多支未显影(↑);右心房室扩大,肺动脉高压;F.多层重组,右肺动脉仅少量分支显影,多数分支未显影(↑),为肺栓塞;左肺动脉扩张迂曲,肺动脉高压表现。CT诊断:肺栓塞,肺动脉高压,临床实验室检查证实为抗磷脂抗体综合征
(戴汝平)
参考文献
1.Vij R,Strek ME.Diagnosis and treatment of connective tissue disease-associated interstitial lung disease.Chest,2013,143(3): 814-824.
2.Levine JS,Branch DW,Rauch J.The antiphospholipid syndrome.N Engl J Med,2002,346(10): 752-763.
3.Del Ross T,Ruffatti A,Visentin MS,et al.Treatment of 139 Pregnancies in Antiphospholipid-positive Women Not Fulfilling Criteria for Antiphospholipid Syndrome:A Retrospective Study.J Rheumatol,2013,40(4): 425-429.
4.Ruiz G,Crowther M,Branch W,et al.Antiphospholipid syndrome.Lancet,2010,376(9751): 1498-509.
5.戴汝平,马展鸿。肺血管病多排螺旋CT成像及诊断。北京:科学技术出版社,2014.
第十三节 先天性肺血管畸形CT诊断
一、先天性肺动脉畸形CT诊断
(一)先天性肺动脉狭窄
1.基本知识
先天性肺动脉及其分支狭窄约占先天性心脏病4.4%,可以独立存在,约2/3患者合并其他心脏畸形,如四联症、房、室间隔缺损等。
病理解剖:肺动脉内膜节段性纤维性或纤维肌性增生,致肺动脉节段性狭窄(包括纤维肌性发育不良)。可以单发或多发累及主肺动脉,左、右肺动脉或/和叶段分支。依其发生部位分为三型:①中央型:累及主肺动脉,左、右肺动脉主干;②外围型:累及叶-段分支;③混合型:以上两型的混合存在。
肺动脉单发且轻度狭窄者,血流动力学影响小;多发、重度狭窄时可以引起(中心)肺动脉高压;右心排血受阻,右心室收缩压升高,右心室肥厚及右心功能衰竭。
2.CT征象及诊断(图8-13-1)
(1)中央型狭窄:
主肺动脉层面、肺动脉分歧部层面示主肺动脉干腔内环形嵴状突入腔内,造成狭窄。左、右肺动脉狭窄可呈局限或长段,内腔光滑。狭窄近心段肺动脉处于高压区而扩张;狭窄远心段可见狭窄后扩张。
(2)外围型狭窄:
肺段级动脉需要逐层分析肺内分支断面,显示粗细不均,可呈串珠状;中心肺动脉增粗。CT横断扫描对外围型狭窄的显示不如对中央型狭窄容易检出。
(3)右心室及漏斗部肌肥厚。
(二)肺动脉闭锁合并室间隔缺损
1.基本知识
本病是一组严重的发绀属先天性心脏病。泛指肺动脉与心室连接中断,两心室间有室间隔缺损相连通,肺动脉血液由体动脉供给。占先天性心脏畸形的1%~3%。
病理解剖:肺动脉闭锁包括的范围有右心室漏斗部、肺动脉瓣、肺动脉干及其主要分支,任何水平的闭锁造成右心室至肺动脉前向血流完全梗阻。室间隔缺损使双室血液均由主动脉发出,主动脉骑跨,肺循环主要靠降主动脉的侧支供血。根据肺动脉闭锁部位,分为五型(图8-13-2):①Ⅰ型:右心室漏斗部或/和肺动脉瓣闭锁,主肺动脉及两侧肺动脉融合存在;②Ⅱ型:主肺动脉闭锁,两侧肺动脉融合存在;③Ⅲ型:两侧肺动脉存在,但不融合;④Ⅳ型:一侧肺动脉闭锁,该侧依靠体-肺侧支循环、支气管动脉供血;⑤Ⅴ型:两侧肺动脉闭锁,两侧肺依靠体-肺侧支循环、支气管动脉供血。
图8-13-1 男,11岁,先天性肺动脉狭窄
A~D.横断像示右肺上叶(RSPA)、中叶动脉局限性狭窄,及狭窄后扩张(RMPA);左肺动脉开口部近段管状狭窄、左下肺动脉近端狭窄(LPA↑);B.曲面重组示主肺动脉开口部近心段狭窄(↑);C、D.容积再现,示两肺动脉多发狭窄(↑)。CT诊断:先天性肺动脉狭窄(混合型)。MPA:主肺动脉
图8-13-2 肺动脉闭锁模式图
肺动脉闭锁肺循环供血主要来源有以下三类:①以动脉导管为主要供血;②以体-肺侧支循环为主要供血;③以支气管动脉为主要供血。
此外,较为特殊的侧支血管来源,如冠状动脉、头臂动脉、膈下动脉、肋间动脉等均可参与供血。
2.CT征象及诊断(图8-13-3~图8-13-5)
(1)肺动脉闭锁:
在肺动脉-右心室流出道层面示该部无造影剂充盈,漏斗部为肌块所代替。主肺动脉或左、右肺动脉任何一支如无造影剂充盈,即为闭锁。左、右肺动脉有无融合,是重要征象。
(2)室间隔缺损:
多数为膜周部,在主动脉瓣下层面显示室间隔中断;少数为嵴上型缺损;也可以并存多发肌部室间隔缺损。
(3)肺动脉侧支循环:
主要来自:①主动脉弓部支气管动脉,弓上、弓下的体-肺侧支血管;②未闭的动脉导管;③降主动脉侧支血管。
(4)其他合并畸形。
图8-13-3 男,1个月,生后发绀(肺动脉闭锁+室间隔缺损+动脉导管未闭)
A、B.横断像,示肺动脉根部(肺动脉瓣及右心室流出道)闭锁,膜周部室间隔缺损(↑);C、D.容积再现,示肺动脉闭锁及动脉导管未闭(C↑)。CT诊断:肺动脉闭锁(Ⅰ型)+室间隔缺损+动脉导管未闭。AO:升主动脉;PA:肺动脉;RA:右心房;RV:右心室;LA:左心房;LV:左心室;VSD:室间隔缺损
图8-13-4 肺动脉闭锁(Ⅲ型)合并室间隔缺损
A.横断像;B,D.三维重建;C.多层重组;示主肺动脉、肺动脉瓣及右心室流出道闭锁;左右肺动脉发育尚可,无融合(A、B▲),有动脉导管未闭自主动脉弓下发出,连接左肺动脉(PDA),纵隔体肺侧支循环;膜周部室间隔缺损。CT诊断:肺动脉闭锁(Ⅲ型)合并室间隔缺损,左右肺动脉发育,无融合,合并动脉导管未闭。AO:主动脉;RPA:右肺动脉;LPA:左肺动脉;PDA:动脉导管未闭;RV:右心室;LV:左心室
图8-13-5 肺动脉闭锁(Ⅴ型)合并室间隔缺损
横断像A、B.容积再现(VR)C、D.示主肺动脉、肺动脉瓣及右心室流出道闭锁,左、右肺动脉未发育,自左无名动脉发出的粗大体肺侧支(为胚胎期未闭动脉导管)连接左上肺动脉;左下肺动脉及右上肺动脉、右下肺动脉直接与降主动脉连通;膜周部室间隔缺损,主动脉骑跨。CT诊断:肺动脉闭锁(Ⅴ型)合并室间隔缺损。左、右肺动脉主干未发育,肺内主要分支由体动脉供血。AO:主动脉;RV Outlet:右心室流出道;RSA:右锁骨下动脉;LSA:左锁骨下动脉;LNA:左无名动脉;LSPA:左上肺动脉;LIPA:左下肺动脉
(三)肺动脉闭锁伴室间隔完整
1.基本知识
肺动脉闭锁伴室间隔完整(pulmonary atresia with intact ventricular septum)是一种少见的先天畸形。发病率占先天性心脏病1% ~1.5%。
病理解剖与病变发生时间有关,胚胎早期发病肺动脉闭锁会导致右心室、三尖瓣发育不全,右心室肌壁与冠状动脉间广泛存在心肌窦状隙交通,生后保留胚胎时期心肌窦状隙开放-冠状循环状态,冠状动脉粗大。发病较晚时肺动脉三个窦发育,三个半月瓣叶完全融合,右心室发育良好,冠状动脉正常。
(1)合并畸形:
房间隔缺损(20%),卵圆孔未闭(80%);主要通过动脉导管未闭向肺动脉供血。尚可见主肺动脉或/和分支狭窄,右心发育不全、三尖瓣发育异常(关闭不全,下移畸形等)等。
(2)病理生理:
右心血流动力学较为复杂,与右心发育(包括三尖瓣功能)、房间交通、冠状循环有直接关系。
(3)病理分型:
①Ⅰ型,肺动脉闭锁合并右心室发育不良;②Ⅱ型,肺动脉闭锁合并右心室发育正常,右心室腔正常或扩大。
2.CT征象及诊断
(1)肺动脉闭锁(图8-13-6):肺动脉窦部发育正常或发育不全,半月瓣缘融合闭锁;漏斗部发育正常或闭锁为肌块所代替。主肺动脉或左、右肺动脉发育,通常发育正常。
(2)室间隔完整(图8-13-6)。
(3)右心室-冠状动脉循环,有两种情况:①右心室肌壁窦状隙粗大,与冠状动脉沟通,冠状动脉粗大,回流入主动脉。提示是早期发病的肺动脉闭锁。②冠状动脉正常,右心室肌壁未见窦状隙粗大,提示是晚期发病的肺动脉闭锁。
(4)房间交通:Ⅱ孔型房间隔缺,或卵圆孔未闭。
(5)动脉导管未闭。是供给肺动脉血流的重要通道。
(6)其他畸形:右心发育不良,肺动脉发育不良等。
图8-13-6 女,3岁,生后发绀,肺动脉闭锁室间隔完整
横断扫描A、B.多层重组C、D.容积再现E、F.肺动脉窦部发育小,半月瓣缘融合闭锁(A、B↑)肺动脉瓣闭锁,可见针样小孔(D▲);室间隔完整(C黑色↑),右心室壁窦状隙粗大与冠状动脉末梢沟通(D、E↑);容积再现(E、F),示粗大冠状动脉构成右心室(窦状隙)-冠状动脉-主动脉循环(E↑)。AO:主动脉;PA:肺动脉;RA:右心房;RV:右心室;LV:左心室
(四)先天性肺动脉缺如
1.基本知识
本病可以单独存在,以右肺动脉为多见。肺动脉闭锁或闭锁段呈纤维索条状,而左右肺动脉位置正常,并与主肺动脉相连接。肺动脉主干缺如者多为死产,或婴儿期死于肺动脉高压。右或左肺动脉近端缺如表现为血管腔闭锁,肺组织血液供应来源于支气管动脉或主动脉的异常分支,伴同侧肺发育不全、肺静脉畸形引流;对侧肺血流量代偿性增加,可引起不同程度肺动脉高压。本病可以与其他先天性心脏病并存,如四联症及其他复杂畸形。
2.CT征象及诊断
(1)主肺动脉干及左、右肺动脉层面显示左、右肺动脉于分歧部一侧肺动脉完全缺如,断端内腔光滑,无充盈缺损表现,可以与肺动脉栓塞鉴别,该侧肺及肺静脉发育差。
(2)主肺动脉及对侧肺动脉处于高血流量状态而扩张(图8-13-7)。
图8-13-7 右侧肺动脉缺如
A.CT横断像示右肺动脉自开口部缺如(↑);主肺动脉及左肺动脉扩张(▲);B.容积再现(VR),示右肺动脉缺如(↑),主肺动脉及左侧肺动脉代偿扩张,肺动脉高压
(五)先天性肺动脉起源升主动脉
1.基本知识
肺动脉起源于升主动脉属于肺动脉起源异常,指一侧肺动脉起源于升主动脉。是一种少见的先天性心脏病。
病理解剖及分型:①Ⅰ型:左肺动脉起源于升主动脉,多并存右位主动脉弓,较为少见(约占20%)。②Ⅱ型:右肺动脉起源于升主动脉,多并存左位主动脉弓,较为多见(约占80%)。
依据畸形肺动脉在主动脉起源的位置又分为ab两个亚型:①亚型a:一侧肺动脉起源于升主动脉近端前、右、左或后壁,肺动脉开口与对侧相似等大。以右肺动脉起源于后壁为多见,左肺动脉多起自前壁。②亚型b:一侧肺动脉起源于主动脉弓近端或无名动脉,该侧肺动脉起始部常稍狭窄,其组织结构为动脉导管结构。以右肺动脉常见,说明肺动脉根部发育中断为该侧动脉导管所代替。
约有50% 以上病例合并其他心脏畸形,如动脉导管未闭、室间隔缺损及四联症等。
2.CT征象及诊断
(1)Ⅰ型:
左肺动脉起源于升主动脉(图8-13-8)。
1)Ⅰa型征象:
主肺动脉层面,可见左肺动脉起源于升主动脉左前壁,发出后由主肺动脉上方向左走行出左肺门向左肺内分支。右肺动脉起自于主肺动脉,走行与分布大多无异常。
2)Ⅰb型征象:
主肺动脉层面示左肺动脉起自于主动脉弓近端或无名动脉,肺动脉起始部稍狭窄(该段结构为动脉导管),发出后由主肺动脉上方向左走行出左肺门向左肺内分支。右肺动脉起自于主肺动脉,走行与分布大多无异常。
(2)Ⅱ型:
右肺动脉起源升主动脉(图8-13-9)。
1)Ⅱa型征象:
主肺动脉层面示右肺动脉多起自于升主动脉后壁,在纵隔内于主动脉弓下向右走行,经右肺门向右肺内分支。左肺动脉与主肺动脉相延续,走行与分布大多无异常。
2)Ⅱb型征象:
主肺动脉层面示右肺动脉起自于主动脉弓近端或无名动脉,肺动脉起始部稍狭窄(该段结构为动脉导管),在纵隔内于主动脉弓下向右走行,经右肺门向右肺内分支。左肺动脉与主肺动脉相延续,走行与分布大多无异常。
图8-13-8 男,33岁,左肺动脉起自升主动脉
A、B.横断图像,左肺动脉起自升主动脉前壁,伴有右位主动脉弓;C.三维重建,显示左肺动脉起源于升主动脉根部前壁。CT诊断:左肺动脉起自升主动脉(Ⅰa型)。AAO:升主动脉;PA:主肺动脉;RPA:右肺动脉;LPA:左肺动脉;DAO:降主动脉
图8-13-9 女,13岁,右肺动脉起源升主动脉
A.横断图像,示右肺动脉起源升主动脉后壁,主肺动脉与左肺动脉相延续;B~D.容积再现,示右肺动脉起源于升主动脉后壁,左位主动脉弓;合并动脉导管未闭(B↑)。CT诊断:右肺动脉起源升主动脉(Ⅰa型)合并动脉导管未闭;AO:主动脉;MPA:主肺动脉;RPA:右肺动脉;LPA:左肺动脉;PDA:动脉导管未闭
(六)先天性主-肺动脉间隔缺损
1.基本知识
先天性主-肺动脉间隔缺损,又称主-肺动脉窗,是少见的先天性心脏病,约占1.5%。根据缺损部位,分为三型:①Ⅰ型,主动脉-肺动脉间隔缺损近邻于半月瓣上方;②Ⅱ型,主动脉-肺动脉间隔缺损远离半月瓣上缘邻近主动脉弓,常并存右肺动脉起源主动脉;③Ⅲ型,主动脉-肺动脉间隔几近全部缺损,但双半月瓣环及瓣叶完整。
2.CT征象及诊断
(1)横断图像示主动脉-肺动脉间分隔消失,升主动脉左后壁与肺动脉右前壁相连通。依据其范围和与半月瓣距离,可以分型:①Ⅰ型,近邻半月瓣上方升主动脉左后壁与主肺动脉右前壁分隔消失,相连通;②Ⅱ型,升主动脉左右壁与主肺动脉右前壁间分隔消失,相连通位于远端,远离半月瓣,上缘接近主动脉弓部;③Ⅲ型,升主动脉左右壁-主肺动脉右前壁间隔几乎全部连通,但双半月瓣环及瓣叶完整,以与永存共同动脉干鉴别。
(2)多层重组及三维重建可以直接显示主动脉-肺动脉间隔缺损解剖及分型(图8-13-10)。
图8-13-10 主动脉-肺动脉间隔缺损(Ⅱ型)
A、B.横断图像,示主肺动脉远端与升主动脉间隔缺损(↑),多层重组(冠状位C)三维重建D,示主肺动脉远端与升主动脉间隔缺损(C↑),缺损累及右肺动脉开口部(D↑)。诊断:主-肺动脉间隔缺损(Ⅱ型),右肺动脉起源升主动脉后壁。AO:主动脉;MPA:主肺动脉;LPA:左肺动脉;RPA:右肺动脉;LV:左心室
(七)共同永存动脉干
1.基础知识
共同永存动脉干是指自心底部发出一支大动脉干,供给冠状动脉、体动脉以及肺循环血液。是罕见的先天性心血管畸形,约占先天性心脏病的1‰~1%,几乎均合并室间隔缺损,仅极少数例外。病理分为三型(图8-13-11)①Ⅰ型:共同动脉干存在一组共同半月瓣,其上部分别发出主动脉(在右侧)及肺动脉(在左侧),肺动脉多粗大,存在肺动脉高压,约占1/2;②Ⅱ型:左右肺动脉分别发自共同动脉干,两开口距离可近可远,但没有共同的主干,大多开口于背侧,约占1/3;③Ⅲ型:只有一支肺动脉起自共同动脉干,另一侧肺动脉缺如,该侧肺血由主动脉弓或降主动脉侧支供应,此型少见。
图8-13-11 共同永存动脉干模式图
2.CT征象及诊断
(1)大动脉及半月瓣层面,自心底部仅显示一组半月瓣,无移动伪影时可以辨别瓣叶数目,可见2~6个半月瓣。冠状动脉由该层面冠状窦发出,注意有否起源变异。
(2)半月瓣下层面:室间隔连续中断,是诊断室间隔缺损的依据。并可判断共干骑跨程度,大多为≥50%。
(3)房室层面可以显示并存畸形,包括单心室,房间隔缺损,单心房,肺静脉畸形引流等其他并存的心血管畸形,均可在一次检查完成。
(4)主动脉弓-头臂动脉层面可以显示主动脉弓发育,有否主动脉弓缩窄、离断等;右位主动脉弓可占25%。头臂动脉起源变异,如双开口、三开口、四开口、迷走锁骨下动脉等变异。①Ⅰ型征象:于半月瓣上层面,大动脉发出冠状动脉、大动脉向上走行,右侧发出升主动脉至头臂动脉-体循环,左侧发出肺动脉至肺循环;②Ⅱ型征象:于大动脉层面,向上走行的大动脉其后壁或侧壁发出左、右肺动脉入肺门。大动脉向上延续为升主动脉及头臂动脉分支;③Ⅲ型征象:于大动脉层面,向上走行的大动脉仅见由侧壁发出左或右肺动脉,而另侧肺动脉缺如。大动脉向上延续为升主动脉。
(5)多层重组(MPR)、容积再现(VR)可以直观显示共同永存动脉干解剖细节,有利于手术方案的设计(图8-13-12~图8-13-14)。
图8-13-12 共同永存动脉干(Ⅰ型)
A~C.横断像共同半月瓣层面(A),共同动脉干(TA)发出冠状动脉(A↑)、大动脉向上走行,左侧发出肺动脉(BC↑);D、E.三维重建,显示Ⅰ型永存共同动脉干。诊断:共同永存动脉干(Ⅰ型)。RPA:右肺动脉;LPA:左肺动脉;AO:主动脉;TA:共同动脉干
图8-13-13 永存共同动脉干(Ⅱ型)
A、B.横断像于共同动脉干层面显示左、右肺动脉开口于共同动脉干背侧,距离较近;C、D.为三维重建,正面、背面观。CT诊断:永存共同动脉干(Ⅱ型)。SVC:上腔静脉;LPA:左肺动脉;RPA:右肺动脉;TA:共同动脉干;AO:主动脉
图8-13-14 永存共同动脉干(Ⅲ型)
横断像A、B.共同动脉干半月瓣层面,显示主动脉弓及左肺动脉,未见右肺动脉;C.多层重组,共同动脉干发出升主动脉,主肺动脉,仅见左肺动脉与之相延续;D.三维重建,共同动脉干发出升主动脉、主肺动脉、左肺动脉与之相延续;发育不全的右肺动脉与右无名动脉相连。CT诊断:永存共同动脉干(Ⅲ型)。SVC:上腔静脉;LPA:左肺动脉;RPA:右肺动脉;TA:共同动脉干;AO:主动脉;RV:右心室;LV:左心室
(八)迷走肺动脉
1.迷走左肺动脉(肺动脉吊带)
(1)基本知识:
迷走左肺动脉(肺动脉吊带)(aberration of left pulmonary artery(或称pulmonary artery sling)左肺动脉起源于右肺动脉称迷走左肺动脉,是少见的肺动脉起源异常。左肺动脉开口于右肺动脉近段后上壁,绕过主气管沿右主支气管上方向左行于食管与大气管之间,沿左主支气管后方走行,在左支气管上方出左肺门。主肺动脉干位置正常,左侧导管韧带位于其远端,异常走行的左肺动脉压迫主气管、左右主支气管,造成婴幼儿生后呼吸困难,又称肺动脉吊带(pulmonary artery sling)。左肺动脉纵隔段发育通常较细,肺内分支正常。常合并其他畸形,如动脉导管未闭。
(2)CT征象及诊断:
CT主肺动脉层面(图8-13-15),主肺动脉仅发出右肺动脉,左肺动脉作为大分支开口于右肺动脉近心段后上壁,绕过主气管在主气管和食管之间紧贴右主支气管上方向左走于左主支气管后侧,在左支气管上方进入左肺门。主肺动脉干位置正常,较短;迷走左肺动脉纵隔段发育较细,包绕主气管,可能压迫主气管、右主支气管或左主支气管狭窄。
图8-13-15 肺动脉吊带(pulmonary artery sling)
A.横断图像,B.多层重组,肺动脉层面,左肺动脉开口于右肺动脉近心段后上壁,绕过主气管紧贴右主支气管上方向左走于左主支气管后侧,在左支气管上方进入左肺门(↑);C~F.三维重建(VR)正位观及背面观,主肺动脉干位置正常,异常起源的左肺动脉纵隔段发育较细,包绕主气管,在主气管与食管间向左走行于左主支气管后侧,在左支气管上方出左肺门(↑)。RPA:右肺动脉;LPA:左肺动脉;PA:主肺动脉
2.多层重组(MPR)
及三维重建选择性重建肺动脉及气管树,可以直观显示肺动脉吊带与气管树的关系。对诊断有重要价值(见图8-13-15)。
CT及其图像重建可以准确检出肺动脉吊带及评价其临床意义。是超声心动图及心血管造影所无法比拟的。
(九)肺动脉(动脉)瘤
1.基本知识
肺动脉(动脉)瘤简称为肺动脉瘤,是肺动脉的扩张性疾病,当管径超过正常管径50%时,即可认为是瘤或瘤样扩张,有瘤颈凸出于管腔外的,称囊状动脉瘤。可分为合并动静脉交通与不合并两大类,前者定位于外周动脉,为肺动静脉发育畸形所致;后者多发生于近心段肺动脉,其病源性质多样:①特发性(如特发性肺动脉扩张);②先天性心血管畸形合并肺动脉瘤;③获得性肺动脉瘤,包括感染性、外伤性动脉瘤;自身免疫性动脉炎所致动脉瘤(如白塞综合征)。
肺动脉瘤发生部位分为:①中央型-肺动脉主干、肺叶以上肺动脉;②外围型:肺段及以下分支动脉瘤。不同病因,发生部位有所不同。
2.CT征象及诊断
(1)肺动脉层面显示基本改变为受累肺动脉瘤样扩张,部分可伴血栓形成,不同病因所致的肺动脉瘤样扩张受累部位及表现特点不同。
1)中央型肺动脉瘤表现:主肺动脉及左右肺动脉高度瘤样扩张,管径超过正常管径50%。不同病因有不同特点,特发性瘤样扩张内壁光滑,动脉炎性动脉瘤可以继发附壁血栓形成(图8-13-16)。
图8-13-16 左-右分流先心病合并右肺动脉动脉瘤
A.X线片,肺动脉段瘤样膨突(↑),右肺门影明显增大,多发类圆形结节状影(↑),右心增大;B~D.横断扫描及三维重建,主肺动脉-右肺动脉主干(↑)及右下肺动脉(↑)均呈瘤样扩张,右心大。中心肺动脉瘤样扩张;右肺动脉多发动脉瘤形成(↑)。考虑为先天性
2)外围肺动脉瘤表现多样化:①单发或多个孤立于肺野的动脉瘤,多见于感染性或动脉炎性动脉瘤,常伴有附壁血栓;②一支动脉呈串珠样大小不等的动脉瘤,可见于纤维肌性发育不良,较少有附壁血栓发生。
3)不同病因肺动脉瘤特点:①肺血管炎所致肺动脉扩张,动脉瘤形成:不同病因累及不同类型血管,如白塞综合征,其主要累及大中型血管,管壁不规则,动脉瘤可为真性或假性,具有游走性、多发性、重复性的特点;可伴有血栓形成;有些动脉炎性动脉瘤可以是血管狭窄-闭塞与动脉瘤并存。②特发性肺动脉扩张:累及肺动脉主干,以主肺动脉较明显,呈梭形瘤样扩张,内壁光滑,不伴血栓形成。③感染性肺动脉瘤,大小不等,单发与多发都有可能。常有感染性心内膜炎病史。④外伤性肺动脉瘤,外伤史,相应胸肺损伤,可能并存肺动静脉瘘。⑤先天性肺动脉瘤。可以独立发生,单发或多发,内壁光滑,少有血栓形成;纤维肌性发育不良动脉瘤多呈串珠样,可以并存其他心血管畸形。病原诊断需要结合临床。
(2)多层重组(MPR)容积再现(VR)可以直观显示肺动脉瘤,有益于临床诊断、治疗与教学。
(十)先天性肺动静脉瘘
1.基本知识
肺动静脉瘘(pulmonary arteriovenous fistula)又被称为肺动静脉畸形(pulmonary arteriovenous malformations),是肺动脉和肺静脉之间的异常沟通,是少见的肺血管病。60%~90%先天性肺动静脉瘘伴发遗传性出血性毛细血管扩张症(HHT)。该病女性发病率大约是男性的2倍。
肺动静脉瘘亦可由后天性病变引起,如肝硬化、外伤、手术、二尖瓣狭窄、放线菌病、结核病、血吸虫病、转移性甲状腺癌、范科尼综合征等。
病理解剖及病理分型:肺动静脉瘘好发于两肺的下叶,多为单侧病变,约1/3为多发性。瘘口多接近胸膜,在肺实质者少见。病理可分两型,即囊型和弥漫型。
(1)囊型:
瘘道部形成蜿蜒屈曲的团状血管瘤囊,瘤壁厚薄不均,又分为单纯型和复杂型。①单纯型:为1支供血肺动脉与1支引流肺静脉直接沟通,瘤囊无分隔;②复杂型:为2支以上的供血肺动脉与引流肺静脉直接沟通,囊腔常有分隔。
(2)弥漫型:
可局限于一个肺叶或遍及两肺小动、静脉之间毛细血管沟通,而无瘤囊形成。
大约80%~90%的肺动静脉瘘属单纯型。大约95%的肺动静脉瘘由肺动脉供血,少见由体循环动脉供血或两者同时供血。受累动、静脉常呈弯曲状扩张,静脉往往有变性或钙化。菲薄变性的囊瘘易发生自发性破裂,继而形成局限性含铁血黄素沉着症。
2.CT征象及诊断
(1)“囊型”肺动静脉瘘增强CT横断扫描:
肺野层面显示增粗肺动(静)脉,断面呈圆形、椭圆形或呈迂曲状,动脉瘤形状不一,可以逐层追踪到 “来龙去脉”的引流血管。单个瘤囊者为 “单纯型”(图8-13-17),与一支肺动脉及一支或两支肺静脉连通,引流血管增粗、迂曲,静脉增粗尤著。肺静脉及左心房提前显影有重要意义。两个以上多个囊状肺动静脉瘘者称 “复杂型”。
图8-13-17 “单纯型”肺动静脉瘘
A.增强CT横断扫描,左肺舌叶层面显示增粗肺动(静)脉,断面呈椭圆形迂曲(↑),右心房附壁血栓(▲);B.三维重建(VR)正面观,显示动脉瘤呈 “囊状”,可以逐层追踪到引流血管,一支肺动脉与一支肺静脉与瘤连通,引流血管增粗、迂曲,静脉增粗尤著(↑)。肺静脉及左心房提前显影。CT诊断肺动静脉瘘(单纯型);右心房血栓。PA:肺动脉;PV:肺静脉
(2)“弥漫型”肺动静脉瘘增强CT横断扫描:
肺野层面显示病变侧肺动脉增粗,相应肺静脉提前显影并增粗,广泛迂曲小血管网。常见一叶或多个肺叶受累及。左心房提前显影。
(3)多层重组(MPR)或三维重建(VR):
可以直观显示迂曲、增粗的引流血管,瘤的形态及大小。可以准确评价单发或多个发生。
(十一)肺隔离症
1.基本知识
肺隔离症,是临床上相对多见的先天性肺发育畸形,占肺部疾病的0.15%~6.4%,占肺切除的1.1%~1.8%。分为肺内型(图8-13-18)和肺外型(又称纵隔型,图8-13-19),前者位于脏层胸膜组织内,其囊腔病变与正常的支气管相通或不相通,临床多见;后者被独自的胸膜包盖,独立于正常肺组织之外,囊腔与正常支气管不相通,多以纵隔肿瘤为第一诊断就诊。无论肺外型与肺内型肺隔离症的主要动脉均来源于体循环的分支,主要是降主动脉,也可源于腹主动脉上部、腹腔动脉及其分支、升主或主动脉弓、无名动脉、锁骨下动脉、内乳动脉、肋间动脉、膈动脉或肾动脉等。多数经下肺韧带进入隔离肺内,常为1支,也有2支或多支的情况,但较少见。肺隔离症静脉回流不尽一致:肺内型肺隔离症的血液回流入下肺静脉导致左-右分流,偶有肺内型回流到体循环静脉。肺外型肺隔离症血液回流入半奇静脉、奇静脉、下腔静脉、无名静脉、肋间静脉等,此时无分流问题。
图8-13-18 女,27岁,反复发作左下肺肺炎,左下肺肺隔离症(肺内型)
A.横断图像(平扫肺窗)左下肺结节影(↑);B.横断图像(增强)左下肺一支肺动脉起源于胸主动脉(↑);C.多层重组,左下肺一支体循环血管起源于胸主动脉(↑);D.容积再现,示一支体循环血管起源于胸主动脉(↑)。CT诊断:左侧隔离肺(肺内型)
图8-13-19 女,6岁,反复发作右下肺肺炎,右侧隔离肺(肺外型)
A.胸部X线片示右下后纵隔占位性病变,包膜完整;B.增强CT横断图像,示右后纵隔占位性病变,降主动脉发出粗大血管分布其中(↑)。CT诊断:右侧隔离肺(肺外型),经手术证实
2.CT诊断
(1)横断图像
1)CT平扫表现为下叶后基底段紧贴膈面大多呈圆形或椭圆形致密块影或囊肿性阴影,少数为多边形或三角形,以囊肿型多见,密度不均匀或均匀,边缘清楚,其下缘多与膈相连,合并感染与支气管相通时,可形成多发含气囊腔阴影或气液平面。
2)增强扫描典型者呈蜂窝状改变或多囊状大小不等的透亮区及低密度影,有的可见气液平面,少数有斑点状钙化,伴发感染时,呈脓肿样改变。另外在病变周围有时可见肺炎症、肺气肿情况。局限性肺多血管。同时能够显示肺动脉由体循环供血,多数来源于降主动脉,也可见源于腹主动脉上部、腹腔动脉及其分支、升主或主动脉弓、无名动脉、锁骨下动脉、内乳动脉、肋间动脉、膈动脉或肾动脉等。
(2)多层重组(MPR),容积再现(VR)可以多方位直观准确地提供体循环动脉的起源、分支走行及其引流静脉。
(十二)CT对先天性肺动脉畸形诊断的评价
MDCT能够清晰显示段以上各级肺血管,三维重建能够良好显示肺血管空间分布及关系、对肺动脉及其分支解剖的显示及诊断狭窄与闭锁有重要优势,当临床或超声心动图怀疑肺动脉异常时,应选择无创的CTPA检查,合理应用优良的重建方法,可以直观显示病变部位及程度,为治疗及评价预后提供重要信息。
1.MDCT及其图像重建可以准确检出肺动脉起源、走行及其与大气管的关系,检出迷走肺动脉对气管的压迫,有重要价值。
2.MDCT对先天性肺动脉狭窄、闭锁、缺如的检出明显优于超声心电图诊断,是对超声心动图的重要补充,指导诊断、治疗。
3.MDCT可以检出典型肺动脉动脉瘤、特发性肺动脉扩张、肺动静脉瘘。明确主要征象,为定性诊断提供根据,为进一步治疗提供重要信息。
4.MDCT可以准确检出肺动脉与主动脉关系,对相关畸形的定性与分型诊断有重要价值,可以代替有创性心血管造影。当心血管造影或超声心动图诊断和鉴别诊断有困难时,CT可以明确诊断,是诊断的 “金标准”。
5.MDCT是肺动脉先天疾患治疗后(手术或介入治疗)评价治疗效果、评价预后、随访的重要检查手段。
6.但目前MDCT空间分辨率尚不能实现对亚段以下小分支显示及诊断,同时不能提供血流动力学资料,是其不足,密切结合超声心动图可以对血流动力学特点加以补充,以减少对有创检查的依赖。
7.X线辐射及碘对比剂应用的副作用应该加以注意。
二、先天性肺静脉畸形CT诊断
(一)先天性肺静脉狭窄—闭锁
1.基本知识
先天性肺静脉狭窄—闭锁,指一支或多支肺静脉狭窄—闭锁,未回流入左心房,亦无异位引流入其他循环系统。是一种罕见的先天性心血管畸形。完全性肺静脉闭锁尤为罕见。
先天性肺静脉闭锁,可以独立存在,但是,多合并其他先天畸形,特别是并存肺动脉、肺脏发育不全。
(1)部分性肺静脉闭锁:单支或多支肺静脉(不是全部)不与左心房、体静脉及其他心腔相沟通称为部分性肺静脉闭锁。
(2)一侧性肺静脉闭锁:仅左或右侧肺静脉不与左心房、体静脉或其他心腔相连通,常合并该侧肺及肺动脉发育不全。
(3)完全性肺静脉闭锁:全部肺静脉不与左心房、体静脉或其他心腔相连通称完全性肺静脉闭锁。多不能生存,临床很难见到。
(4)肺静脉闭锁所累及的肺叶出现发育不全、实变不张、肺水肿。
(5)肺静脉闭锁依病变范围,可引起肺动脉高压,及相应征象。
(6)合并心肺复杂畸形。
2.CT征象及诊断(图8-13-20)
图8-13-20 右心室双出口,左心发育不良,左下肺静脉闭锁
横断像A,多层重组B,箭头所示左下肺静脉闭锁,左下叶实变不张
(1)横断扫描显示一支、一侧肺静脉闭锁,未直接引流入左心房。
(2)未发现该肺静脉异位引流至其他部位。
(3)受累及的肺组织(肺段、叶或一侧肺)实变不张,肺水肿。或发育不全。
(二)先天性肺静脉畸形引流CT诊断
1.基本知识
肺静脉畸形引流(anomalouspulmonaryvenousdrainage)系指单支、多支或全部肺静脉血不直接进入左心房,而引流入体循环的静脉-右心房系统。包括部分性肺静脉畸形引流和完全性肺静脉畸形引流,后者系肺血流增多发绀属先天性心脏病。
病理解剖及分型:
(1)部分性肺静脉畸形引流(PAPVC)
1)右肺静脉畸形引流:
①右上肺静脉畸形引流入上腔静脉或右心房;②右侧全部肺静脉汇合成一支总干向下走行引流入下腔静脉,常并发右肺及肺动脉发育不全,而成为一组独立存在的畸形,又称镰刀综合征(scimitar syndrome)。
2)左肺静脉畸形引流:
①左肺静脉引流入冠状静脉窦、左无名静脉;②左上肺静脉畸形引流入垂直静脉-左锁骨下静脉-上腔静脉,可以存在于任何先天性心脏病中,最常见的是并发房间隔缺损。
3)部分性 “混合型”肺静脉畸形引流:
指部分左右肺静脉畸形引流入心内或心外混合存在的畸形。
(2)完全性肺静脉畸形引流(TAPVC)
1)心上型:
约占50%。肺静脉汇合成一支总干引流入垂直静脉-左无名静脉-右上腔静脉-右心房;亦见有肺静脉汇合成一支总干直接引流入右上腔静脉。
2)心脏型:
约占30%。全部肺静脉直接引流入右心房或冠状静脉窦。
3)心下型:
约13%。肺静脉汇合成一支总干经横膈下行引流入下腔静脉、门静脉或肝静脉。
4)混合型:
约占7%,肺静脉各支分别引流至腔静脉或右心房不同部位,形成不同组合。
完全性肺静脉畸形引流最主要的并发畸形是房间隔缺损,此外可存在其他复杂性先天性心脏病中。完全性肺静脉畸形引流心下型常并存引流通道狭窄或梗阻。
2.CT征象及诊断
(1)部分性肺静脉畸形引流CT征象及诊断
1)右上肺静脉畸形引流入上腔静脉;左上肺静脉畸形引流入垂直静脉-左无名静脉-上腔静脉。
2)部分性 “心下型”肺静脉畸形引流,多见于右肺静脉汇合成一支总干向下引流入下腔静脉,称 “镰刀综合征”(scimitar syndrome),多合并右肺(动脉)发育不全(图8-13-22)。
3)部分性 “心脏型”肺静脉畸形引流,如引流入右心房或冠状静脉窦。
4)部分性 “混合型”肺静脉畸形引流(图8-13-21)。
(2)完全性肺静脉畸形引流CT诊断
1)“心上型”肺静脉畸形引流:肺静脉汇合成一支总干引流入垂直静脉-左无名静脉-右上腔静脉-右心房(图8-13-23)。
图8-13-21 部分性 “混合型”肺静脉畸形引流
横断扫描A,容积再现B,示左上肺静脉(LSPV)引流入左无名静脉(LInnV)经上腔静脉(SVC)入右心房(RA);右肺静脉(RPV)直接引流入右心房(RA);并存房间隔缺损。CT诊断:部分性“混合型”肺静脉畸形引流。AO:主动脉;PA:肺动脉
图8-13-22 “镰刀综合征”(scimitar syndrome),右位心
横断扫描A三维重建B,示右肺静脉(RPV)汇合成一总干向下走行(↑),过膈后汇入下腔静脉(IVC↑)。CT诊断: “镰刀综合征”(scimitar syndrome),右位心。RV:右心室;RA:右心房;AO:主动脉;LA:左心房;LIPA:左下肺动脉;PV:肺静脉
图8-13-23 男,1岁,发绀。完全性心上型肺静脉畸形引流、单心房、单心室
横断扫描AB示左右肺静脉汇合成一主干,引流入垂直静脉(B↑)。垂直静脉引流入左无名静脉(A▲)汇入上腔静脉A↑。三维重建CD,示左右肺静脉汇合一主干(PV)引流入垂直静脉(VV)至左无名静脉(LInnV)、上腔静脉(SVC)。CT诊断:完全性心上型肺静脉畸形引流、单心房、单心室。RSPV:右上肺静脉;RIPV:右下肺静脉;LSPV:左上肺静脉;LIPV:左下肺静脉;PV:肺静脉总干;VV:垂直静脉;LInnV:左无名静脉;SVC:上腔静脉;SA:单心房;RInnV:右无名静脉;LSA:左锁骨下静脉
肺静脉汇合成一支总干直接引流入右上腔静脉,未经左无名静脉。
2)“心脏型”肺静脉畸形引流: “心脏型”肺静脉畸形引流包括两个亚型:①全部肺静脉直接引流入右心房;②全部肺静脉直接引流入冠状静脉窦。
3)“心下型”肺静脉畸形引流:肺静脉汇合成一支总干经横膈下引流入下腔静脉、门静脉或肝静脉。常存在肺静脉总干与体静脉汇合处缩窄,造成静脉回流受阻,存在肺静脉高压。多合并复杂畸形。
4)“混合型”肺静脉各支分别引流入腔静脉、冠状静脉窦或右心房不同部位,形成不同组合。
横断扫描是诊断基础,多层重组(MPR)及三维重建(VR)可以细致地直观认识该畸形。
(三)肺静脉瘤CT诊断
1.基本知识
肺静脉瘤是一种少见的血管疾病,中央型肺静脉瘤发生于肺静脉入左心房开口处;外围型发生于肺叶-段瘤样扩张;以及混合型。以中央型为常见;可以单发或多发。其病因尚不明确;多为先天性。获得性常见于风湿性心脏病二尖瓣病变患者,继发于肺静脉高压。还有学者提出静脉内膜肥大和静脉内膜硬化的理论。成年患者可因剧烈运动等致肺静脉压力增加导致肺静脉瘤破裂致死。肺静脉瘤也可发生钙化(图8-13-24)。
图8-13-24 右肺静脉瘤
A.X线胸片,二尖瓣狭窄,右心缘旁弧形肿影待查(↑);B.右上肺静脉近左心房入口处静脉瘤形成(↑);C.容积再现(VR)背面观,右肺动脉旁,巨大肺静脉瘤形成,有外围肺静脉汇入(↑)
2.CT征象及诊断
(1)横断图像:中央型肺静脉瘤仅发生于肺静脉中心部位。近左心房入口处。外围型发生于肺叶-段,远离左心房,位于去肺野内。混合型,以上两种情况并存。静脉瘤呈囊状、梭囊状,可以单发或多发。CTPA如显示瘤囊内充盈缺损,提示继发血栓形成。
(2)多层重组(MPR)、容积再现(VR)可以立体显示瘤部位和程度。
(四)CT在肺静脉疾患诊断的评价
1.CTPA检出肺静脉狭窄-闭锁优于超声心动图,是最佳检查方法。
2.CTPA在先天性肺静脉畸形引流诊断准确率可高达95%以上,与有创心导管造影检查相比,CT检查通过一次增强扫描得到清晰的肺静脉解剖,同时观察胸腔及腹部脏器,对内脏转位,复杂心血管畸形检出有重要价值,目前已成为外科手术前的重要诊断检查手段。
3.CTPA可以清晰显示肺静脉瘤,判断瘤囊内有否血栓形成。定性诊断需结合临床。
4.目前CT的空间分辨率对肺小叶静脉及毛细血管水平精细解剖的显示仍不能达到诊断要求,因此小静脉水平的畸形不能诊断,确诊仍需要病理检查。这是CT不足之处。
(戴汝平)
参考文献
1.Phalla OP,David SC,Giulio G,et al.Three-dimensional CT scanning:a new diagnostic modality in congenital heart disease.Heart,2007,93(8): 908-913.
2.Brickner ME,Hillis LD,Lange RA.Congenital Heart Disease in Adults.N Engl J Med,2000,342(5): 256-263.
3.Lee T,Tsai IC,Fu YC,et al.Using multidetector-row CT in neonates with complex congenital heart disease to replace diagnostic cardiac catheterization for anatomical investigation:initial experiences in technical and clinical feasibility.Pediatric radiology,2006,36(12): 1273-1282.
4.Haramati LB,Glickstein JS,Issenberg HJ,et al.MR Imaging and CT of Vascular Anomalies and Connections in Patients with Congenital Heart Disease:Significance in Surgical Planning. Radiographics, 2002, 22(2):337-349.
5.Gilkeson RC,Ciancibello L,Zahka K.Multidetector CT evaluation of congenital heart disease in pediatric and adult patients.AJR Am JRoentgenol,2003,180(4):973-980.
6.Paul JF,Rohnean A,Elfassy E,et al.Radiation dose for thoracic and coronary step-and-shoot CT using a 128-slice dual-source machine in infants and small children with congenital heartdisease.Pedia radiol,2011,41(2):244-249.
7.Leschka S,Oechslin E,Husmann L,et al.Pre-and Postoperative Evaluation of Congenital Heart Disease in Children and Adults with 64-Section CT.Radiographics,2007,27(3): 829-846.
8.Westra SJ,Hill JA,Alejos JC,et al.Three-dimensional helical CT of pulmonary arteries in infants and children with congenital heart disease. AJR, 1999, 173(1):109-115.
9.Goo HW.State-of-the-art:CT imaging techniques for congenital heart disease.Korean J Radiol,2010,11(1): 4-18.
10.Davlouros PA,Niwa K,Webb G,et al.The right ventricle in congenitalheartdisease.Heart,2006,92(Suppl 1): i27-i38.
11.Tsai I C,Lee T,Chen MC,et al.Visualization of neonatal coronary arteries on multidetector row CT:ECG-gated versus non-ECG-gated technique.Pedia radiol,2007,37(8): 818-825.
12.Kawano T,Ishii M,Takagi J,et al.Three-dimensional helical computed tomographic angiography in neonates and infants with complex congenital heart disease.Am heart journal,2000,139(4): 653-660.
13.Niwa K,Perloff JK,Bhuta SM,et al.Structural abnormalities of great arterial walls in congenital heart disease:lightand electron microscopic analyses.Circulation,2001,103(3): 393-400.
14.Bean MJ,Pannu H,Fishman EK.Three-dimensional computed tomographic imaging of complex congenital cardiovascularabnormalities. J ComputAssistTomogr,2005,29(6): 721-724.
15.Diller GP,Gatzoulis MA.Pulmonary vascular disease in adults with congenital heart disease.Circulation,2007,115(8): 1039-1050.
16.Chandran A,Fricker FJ,Schowengerdt KO,et al.An institutional review of the value of computed tomographic angiography in the diagnosis of congenital cardiac malformations.Cardiol Young,2005,15(1): 47-51.
17.Dollery CT,West JB,Wilcken DE,et al.A comparison of the pulmonary blood flow between left and right lungs in normal subjects and patients with congenital heart disease.Circulation,1961,24(3): 617-625.
18.Khatri S,Varma SK,Khatri P,et al.64-slice multidetector-row computed tomographic angiography for evaluating congenital heart disease.Pedia cardiol,2008,29(4): 755-762.
19.Jelnin V,Co J,Muneer B,et al.Three dimensional CT angiography for patients with congenital heart disease:scanning protocol for pediatric patients.Catheter Cardiovasc Interv,2006,67(1): 120-126.
20.Wang XM,Wu LB,Sun C,et al.Clinical application of 64-slice spiral CT in the diagnosis of the Tetralogy of Fallot.Eur J Radiol,2007,64(2): 296-301.
21.Spevak PJ,Johnson PT,Fishman EK.Surgically corrected congenital heart disease:utility of 64-MDCT.AJR,2008,191(3): 854-861.
22.Dillman JR,Hernandez RJ.Role of CT in the evaluation of congenital cardiovascular disease in children.Am J Roentgenol,2009,192(5): 1219-1231.
23.Rajeshkannan R,Moorthy S,Sreekumar KP,et al.Role of 64-MDCT in evaluation of pulmonary atresia with ventricular septal defect.Am J Roentgenol,2010,194(1): 110-118.
24.Huang M,Liang C,Zhao Z,et al.Evaluation of image quality and radiation dose at prospective ECG-triggered axial 256-slice multi-detector CT in infants with congenital heart disease.Pedia radiol,2011,41(7): 858-866.
25.Siripornpitak S,Pornkul R,Khowsathit P,et al.Cardiac CT angiography in children with congenital heart disease.Eur J Radiol,2013,82(7): 1067-1082.
26.Ellis AR,Mulvihill D,Bradley SM,et al.Utility of computed tomographic angiography in the pre-operative planning for initial and repeat congenital cardiovascular surgery.Cardiol Young,2010,20(3): 262-268
27.Gopalan D,Raj V,Hoey ET.Cardiac CT:non-coronary applications.Postgrad Med J,2010,86(1013):165-173.
28.Chandrashekhar G,Sodhi KS,Saxena AK,et al.Correlation of 64 row MDCT,echocardiography and cardiac catheterization angiography in assessment of pulmonary arterial anatomy in children with cyanotic congenital heart disease.Eur J Radiol,2012,81(12): 4211-4217.
29.Glöckler M,Koch A,Greim V,et al.The value of flatdetector computed tomography during catheterisation of congenital heart disease.Eur Radiol,2011,21(12):2511-2520.
30.Learn CP,Cook SC.Computed Tomographic Angiography in the Assessment of Congenital Heart Disease.London:Springer,2010:275-292.
31.曾筝,张戈军,戴汝平,等.体肺侧支血管栓塞术在复杂先天性心脏病治疗中的应用。中华放射学杂志,1998,32(8): 519-521.
32.金泽宁,谢若兰,戴汝平,等.先天性心脏病心肺动脉发育情况的电子束CT与心血管造影对照研究。中华放射学杂志,1998,32(8):515-518.
33.戴汝平.努力提高先天性心脏病影像学诊断水平.中华放射学杂志,1998,32(8):509-510.
34.凌坚,宋金松,刘玉清,等.肺动脉闭锁合并室间隔缺损的侧支血管造影分析.中华放射学杂志,2000,34(11): 782-784.
35.黄连军,蒋世良,戴汝平,等.肺动静脉瘘的放射学诊断.临床放射学杂志,2000,19(8):487-489.
36.金敬琳,戴汝平,阮英茆,等.电子束CT诊断累及升主动脉及主动脉瓣的大动脉炎.中华放射学杂志,2001,35(1): 45-48.
37.杨有优,戴汝平,孟俊非,等.电子束CT在肺静脉异常连接诊断中的临床价值,临床放射学杂志,2001,20(5): 349-353.
38.张庆桥,蒋世良.肺动脉狭窄的介入治疗.中华放射学杂志,2002,36(2):103-104.
39.宋云龙,刘玉清,谢若兰.先天性肺动脉和分支狭窄合并心内畸形2例.中国循环杂志,1995,10(12):757-758.
40.郑宏,李益群.主-肺动脉间隔缺损的放射诊断.中华放射学杂志,1995,29(7):478-480.
41.李建荣,刘迎龙.肺静脉狭窄诊治进展.国际外科学杂志,2006,12(3): 232-236.
42.杨延宗,王照谦.多层螺旋CT在评价心房颤动导管射频消融电隔离后肺静脉狭窄中的应用。中国心脏起搏与心电生理杂志,2004,32(3):119.
43.王荣发,陈树宝,等.先天性肺静脉狭窄的诊断和治疗.中国实用儿科杂志,2001,16(6):362-363.
44.陈彩虹,杨建生.单侧肺静脉闭锁畸形一例.中华放射学杂志,2010,44(5):553-554.
45.林剑,张海邻.先天性右肺动脉发育不全合并右肺静脉闭锁一例.中华儿科杂志,2009,47(11):874-875.
46.曹程,戴汝平.电子束CT血管造影及三维重建在肺静脉畸形引流临床诊断中的应用。中华胸心血管外科杂志,2004,20(4): 219-222.
47.Latson LA,Prieto LR.Congenital and acquired pulmonary vein stenosis.Ciculation,2007,115(1): 103-108.
48.HoltDB,Moiler JH,LarsonS,et al.Pulmonary vein stenosis.Am J Carol,2007,95(23): 568-572.
49.Lentschig MG,Roos N,Loser H,et al.Pulmonary varicose veins.Case report and review of the literature.Radiology,1995,35(1): 67-71.
50.徐立,凌坚,戴汝平。心下型完全性肺静脉畸形引流连接至门静脉一例.中华放射学杂志,2000,20(10): 691.
51.曹程,戴汝平,祁小鸥,等.电子束CT血管造影及三维重建在肺静脉畸形引流临床诊断中的应用。中华胸心血管外科杂志,2004,20(4):219-222.
52.张少雄,戴汝平,白桦,等.先天性肺静脉异位连接的电子束 CT诊断。中华放射学杂志,1999,33(11): 734-738.
53.Wagenvoort CA.Pulmonary veno-occlusive disease.Entity or syndrome?Chest,1976,69(1): 82-86.
54.Sanderson JE,Spiro SG,Hendry AT,et al.A case of pulmonary veno-occlusive disease responding to treatment with azathioprine.Thorax,1977,32(2): 140-148.
55.Kishida Y,Kanai Y,Kuramochi S,et al.Pulmonary venoocclusive disease in a patient with systemic lupus erythematosus.J heumatol,1993,20(12): 2161-2162.
56.Zhang L,Visscher D,Rihal C,et al.Pulmonary venoocclusive disease as a primary cause of pulmonary hypertension in a patient with mixed connective tissue disease.Rheumatol Int,2007,27(12): 1163-1165.
57.Morassut PA,Walley VM,Smith CD.Pulmonary venoocclusive disease and the CREST variant of scleroderma.Can J Cardiol,1992,8(10): 1055-1058.
58.Johnson SR,Patsios D,Hwang DM,et al.Pulmonary veno-occlusive disease and scleroderma associated pulmonary hypertension. J Rheumatol,2006,33(11):2347-2350.
59.McDonnell PJ,Summer WR,Hutchins GM.Pulmonary veno-occlusive disease morphological changes suggesting a viral cause.JAMA,1981,246(6): 667-671.
60.Escamilla R,Hermant C,Berjaud J,et al.Pulmonary veno-occlusive disease in a HIV-infected intravenous drug abuser.Eur Respir J,1995,8(11): 1982-1984.
61.Davies P,Reid L.Pulmonary veno-occlusive disease in siblings:case reports and morphometric study.Hum Pathol,1982,13(10): 911-915.
62.Voordes CG,Kuipers JR,Elema JD.Familial pulmonary veno-occlusive disease:a case report.Thorax,1977,32(6): 763-766.
63.Runo JR,Vnencak-Jones CL,Prince M,et al.Pulmonary veno-occlusive disease caused by an inherited mutation in bone morphogenetic protein receptor II.Am J Respir Crit Care Med,2003,167(6): 889-894.
64.Chazova I,Robbins I,Loyd J,et al.Venous and arterial changes in pulmonary veno-occlusive disease,mitral stenosis and fibrosing mediastinitis.Eur Respir J,2000,15(1): 116-122.
65.Mandel J,Mark EJ,Hales CA.Pulmonary veno-occlusive disease.Am J Respir Crit Care Med,2000,162(5): 1964-1973.
66.Rabiller A,Jaïs X,Hamid A,et al.Occult alveolar haemorrhage in pulmonary veno-occlusive disease.Eur Respir J,2006,27(1): 108-113.
67.Holcomb BW,Loyd JE,Ely EW,et al.Pulmonary veno-occlusive disease:a case series and new observations.Chest,2000,118(6): 1671-1679.
第十四节 CT肺血管病诊断评价
肺血管疾病是各种病因(先天性及获得性)引起肺血管整体或局部结构和/或功能改变的一组疾病或病变的总称。累及包括肺动脉、肺毛细血管、肺静脉等不同结构的血管。当前,多种影像学检查技术(包括有创性及无创性方法)广泛应用于临床,为肺血管病诊断起到重要作用。其中,CT检查(包括HRCT及CTPA)应用比较广泛,它可以显示肺血管解剖、病变的特点、肺实质及肺间质改变,能够全面提示心肺的病理生理及病理解剖的特点,为诊断提供多种信息。而受到重视及应用。
1.MDCT可以充分显示肺动脉及肺静脉横断解剖,对肺循环异常、肺动脉高压的检出有重要价值。CTPA计算机三维重建可以直观显示肺血管立体解剖,为肺血管病诊断奠定基础。
2.CTPA对肺功能检查,肺灌注扫描与核素对照研究,高度相关( r =0.884),研究表明灌注扫描对检出亚分段的栓塞,可以提高CTPA诊断敏感性(20%),有重要价值。右心功能对评估肺栓塞预后有重要价值。
3.CTPA诊断肺栓塞敏感性83%,特异性96%,是肺栓塞诊断的首选影像学检查方法。对慢性肺栓塞及慢性血栓栓塞性肺动脉高压,可以做出正确诊断与鉴别诊断。
4.对肺动脉炎的诊断,CTPA可以对侵犯大中肺血管的病变,如大动脉炎、白塞病等检出特征性征象,可以做出明确诊断。2012年Chapel Hill会议指出,三大类血管炎可以影响任何大小血管,之间存在着重叠。因此,肺血管的受累也存在着同样问题。CT诊断也存在同样问题。
5.CTPA受到分辨率的限制,肺小血管病变征象不典型,诊断有一定困难,但是,MDCT可以显示其他受累器官(如肺脏、心脏及纵隔等)病理解剖改变,这些器官组织的病理改变,能够为找出肺小血管疾病的诊断提供线索。值得提出的是,CT征象并非是特异性,对肺小血管病定性诊断要结合临床、实验室检查,最终要靠病理证实。
6.CTPA对慢性纵隔炎侵犯肺动脉、肺动脉原发肿瘤以及肺动脉夹层可以做出准确诊断,为临床诊断提供重要信息。
7.特发性肺动脉高压主要还是排除诊断法。在与肺静脉阻塞病、肺毛细血管瘤病等的鉴别诊断中仍存在一定困难;MDCT可以提供有价值的信息,值得临床应用。
8.CTPA对先天性肺血管畸形有重要价值,CT明显优于超声心动图,CTPA对心外畸形检出率高于超声心动图30%~50%。计算机三维重建,可以直观显示先天性肺血管畸形解剖,对指导手术治疗及教学有一定意义。
9.MDCT平扫(薄层)或HRCT能够对肺实质、肺间质病变显示清楚。凡是肺血管疾病或肺动脉高压性质待查的患者,在做CTPA前,应该先做肺平扫,并仔细分析征象。肺实质的改变对分析肺血管疾病的病因及后果,可以提供线索和依据。
10.为了充分发挥MDCT作用,应该注意①分析肺血管时与分析肺实质相结合。全面分析肺实质及肺循环征象,可以更多的得到诊断线索;②心肺相结合。分析肺血管的同时注意心脏改变的特点;③CT诊断与临床相结合。CT诊断应密切结合临床症状、体征及实验室检查。例如结缔组织疾患相关肺动脉高压的诊断,密切结合临床才可以做出正确诊断;④与其他影像学相结合。综合其他影像学检查提供的信息,可以充分发挥CT的优势,起到影像学优势互补,为肺血管疾患做出正确诊断。
11.肺血管病累及范围的交叉、病因与病理改变的多样性,为影像学诊断带来困难与挑战。CTPA所能显示的仍然是宏观的征象,不能显示微观改变,因此,有些肺血管疾病的确诊的金标准是病理检查。
12.MDCT(CTPA)射线剂量在安全范围,属于无创检查,方法简单,是有价值的随访检查方法。
13.MDCT的X线辐射,以及碘对比剂对肾功能的损伤,应予以重视。
(戴汝平)


