第一章
肺血管胚胎发育与解剖学
第一节 肺血管胚胎发育
一、肺血管的发育
成人肺血管床包括肺循环和支气管循环,由丰富的分支系统构成,包括各种直径的动静脉和毛细血管网。本章主要讲述正常肺组织从胚胎发生、出生、出生后直至从儿童期到成人期的发育过程。肺血管床的发育离不开气道的发育,因此本章也会探讨肺的呼吸单元的形态学发生过程和机制。
伴随着肺的器官发生,胚胎血管网也随之发生、生长和成熟直至胎儿出生时,在胎儿出生前后,肺的发育遵循一系列时间依赖性步骤:假腺管期、腺管期和囊泡期,紧接着是肺泡分隔/肺泡发生。虽然肺血管床发育的主要过程在胎儿和新生儿时期,但其生长和成熟过程会持续整个儿童和青少年时期,直至成人后胸腔发育停止。
目前对小鼠肺血管发育的基因研究较为透彻,因此将其应用于人类肺血管发育研究。各种属肺血管发育的顺序是恒定的,只是每个时期的持续时间因种属不同而异。
小鼠胚胎发育第8天左右在胚胎前肠腹侧可以观察到与心脏发育密切相关的基因Nkx2-1的表达;胚胎第9.5天,前肠腹侧肺原基开始出芽并突入周围的间叶组织中。肺芽随后分成左右两部分,此后发育成左右肺,这一胚胎发育时期非常短,随后迅速进入假腺管期。在假腺管期原始肺芽膨胀进入间叶组织并开始出芽、分支,这一时期直到胚胎第16.5天。胚胎16.5天后,当支气管树开始形成,肺的发育进入一个新阶段即腺管期。在小鼠,腺管期非常短(16.5~17.5天),此时肺末梢分芽变窄。从胚胎第17.5天起直到出生后5天(P5),肺发育进入微囊泡期,肺泡前体开始形成。最后,从出生后开始,肺泡开始形成直到出生后第14天(P14)。在人类,肺发育遵循相似的时期,但时间表不同。肺出芽开始在胚胎第4周,假腺管期在第6周左右结束,紧接着是微管期(胚胎16~26周),微囊期(胚胎26~36周)和肺泡期(出生后直到3岁,表1-1-1)。
表1-1-1 人类和小鼠肺组织及肺血管发生时间表
续表
二、肺动脉分支的形成
原始血管的动脉球近端发育成右心室,其远段为心室的圆锥部,与动脉干相连。动脉干远端与主动脉囊(腹侧主动脉)相接。主动脉囊远端先后发出6对动脉(主动脉弓)绕过前肠、弯向北侧,分别与两侧的背主动脉相连。发育中的肺脏最早接受发自主动脉囊和背主动脉的体节动脉(位于诸对主动脉弓的远侧)的血供,其后才又与由第6对主动脉弓演化而来的左、右肺动脉相连。肺动脉主干的远段和左右肺动脉来自第6对主动脉弓。
第6对主动脉弓是主动脉囊发出的最后一对主动脉弓,在第1对体节动脉近侧与背主动脉相连。这对主动脉弓发出后平行向尾端延伸一段距离后,弯向背侧分别与同侧的背主动脉汇合,这转弯成角处将第6对主动脉弓分为近段和远段。转弯成角处又与肺血管丛相连,此段动脉成为腮弓后肺动脉。肺内血管一旦与第6对主动脉弓连接,各体节动脉逐渐退化,只余第1对体节动脉成为成体的支气管动脉。左侧第6弓的近段和右侧第6弓近段的近端被吸收发育成肺动脉主干的远段。右第6弓近段的远端成为右肺动脉的近端(起始段),右第6弓的远段则退化消失,因此第6弓失去与背主动脉的联系。右侧鳃弓后肺动脉发育成右肺动脉远段。左侧第6弓的远段成为动脉导管,左鳃后弓肺动脉发育成为左肺动脉,故在成体心脏中可见动脉导管起于肺动脉的分叉部稍偏左的位置。
三、肺静脉分支的形成
当静脉窦右角并入原始右心房的时候,在临近气管支气管芽处的原始左心房壁内,聚集有一组成血管细胞,这组细胞向房壁外凸出并逐渐形成憩室状,这就是共同肺静脉原基。共同肺静脉原基逐渐增长,而与肺静脉丛衔接。
肺静脉丛一旦与共同肺静脉衔接、连通,其与体静脉系的连接就逐渐退化、消失。随着肺的发育,肺静脉丛逐渐汇拢、合并,成为左、右肺各有两条肺静脉与共同肺静脉相连。同时,共同肺静脉也同步发育扩张,最后为左心房所吸收而成为左心房的主腔。结果,左右各两条肺静脉分别直接引流入左肺,成为成体心脏四条肺静脉直接开口于左心房后壁的格局,原始左心房则演化成为成体心脏的左心耳。
四、肺内血管网的形成
在从肺原基与右心室相连时起,主肺动脉就分成左右两个分支,其中一个分支仍保持与气道紧密的伴行关系,这些分支为肺叶及肺段提供血液供应;中央静脉与心脏的左侧相连。这些血管形成血管母细胞,发展成内皮细胞样细胞并组装成管样结构。毛细血管样结构通过扰乱已经存在的结构并形成环状结构,并最终发育成小血管网。肺动脉于肺中央走行,终止于腺泡内毛细血管和胸膜。毛细血管的血液进入位于周围肺组织的肺静脉内,最末梢的肺静脉位于肺泡的边缘;静脉分支起源于肺泡壁和肺泡管内、支气管壁内、胸膜内和结缔组织鞘内,引流到位于远端肺组织和肺门之间的轴静脉。肺血管网在周围基质中的空间调节机制至今仍不清楚,Hislop和Reid发现了人类肺组织分支具有家族遗传性,表明了血管形成中的遗传因素的作用。
现在对于决定肺血管和微血管网组成方式的首发机制仍不是十分明了,同样在肺损伤和疾病时如何形成无序但有等级的血管网的机制亦不清楚。血管从中央动静脉以规则和不规则分支法进行分支,然后再次分芽、分支和再分支,并向外生长出更小的血管分支。主要动脉与支气管伴行,其首先以复制的模式分支至16级,再以非复制的模式分支至23级。当血管网随之肺组织发育而面积增加、复杂性增强时,一些未灌注的血管网同时会退化,机制是内皮细胞受到血流方式的影响而凋亡。
除了与支气管伴行的中央动脉系统,肺还有更多动脉其数目超过支气管、且不与支气管平行而直接至或分支至肺泡区的,这种动脉分支称为“额外动脉”,其数量远远大于传统动脉分支。这些额外动脉通过捷径来供应相邻的肺泡。它们有自己的血管调节途径,血管收缩更为强烈,对一氧化氮(NO)的反应也与传统动脉不同。同样,传统静脉和额外静脉也存在。在肺远端,小动脉和小静脉连接成发达的毛细血管网,跨过肺泡壁。一般认为,肺泡的数量在出生时是两千万个,到8岁时达到3亿个。在成人肺,肺泡面积达70m 2 ,被数量巨大的小动脉、静脉和毛细血管网包围。毛细血管网从出生到成人,密度增加了四倍,面积达到126m 2 。
第二节 肺血管的发生
一、肺血管和毛细血管形成
过去200年间,肺血管的发育研究已经取得了许多成就。研究表明小鼠肺血管的发育通过两种主要机制:一是通过血管新生发育成中心血管系统,二是通过血管发生发育成外周血管系统,无论是间叶组织来源的血管母细胞抑或血管湖来源的血管母细胞都可以发育成血管内皮细胞。这两种血管在小鼠胚胎第13天或14天左右通过细胞溶解而相互融合,由此血液循环开始运行。组织学和形态学研究肯定了这种假说,同样的理论也可以揭示人类肺血管的发育。这些研究结果大多是通过组织学分析得到的。然而,组织固定的假象有可能导致结论和分析的偏差,应用转基因鼠研究则可解决这一问题。Yamaguchi等应用表达lacZ报告基因的转基因鼠在血管内皮细胞早期标记物(胚胎肝激酶1,Flk1)控制下发现近端和远端肺血管在胚胎第10.5天已经融合。进一步的研究发现表达lacZ报告基因的转基因小鼠在内皮细胞特异性Tie 2启动子控制下在胚胎第9.5天就已经存在围绕肺芽的血管网并与体循环连接。血管网随着肺的发育不断通过血管再生而发育。然而至今为止,对于肺血管系统如何发育以及血管再生中的祖细胞从何而来仍没有完全解释清楚。细胞系追踪实验能够破解肺内早期前体细胞的来源和命运,实验表明特异性的心肺祖细胞能够分化成心脏和肺脏的间叶细胞,而且,这些祖细胞也能够分化成血管平滑肌细胞和血管周细胞样细胞,但仅仅在近端肺血管系统发现。现在还不清楚远端肺血管的血管周细胞和内皮细胞来源于何种祖细胞,亟待更深入的研究和发现。
肺血管系统是通过血管新生和血管发生形成的。血管新生如图1-2-1A所示,内皮细胞和它的突起在信号触发下离开基底膜的束缚开始生长,侵入周围的组织中(生长信号指导下的出芽)形成细胞被覆的管道。管道壁不稳定,局部内皮基底膜和周围的基质降解,形成一个尖坡样结构,内皮细胞的伪足伸展过去覆盖在尖坡的缝隙上。内皮细胞朝着尖坡形成的方向迁移形成出芽。在迁移的内皮细胞形成的出芽顶端最前缘有许多更细小的微棘,这些微棘缺乏基底膜。这些内皮细胞不仅仅是单纯的迁移,它们还以一种细胞移位的方式运动。典型的就是增殖的细胞位于正在生长的细胞尖部的后方以增加出芽的长度。这些出芽虽然仍然与其最初的潜在血管和毛细血管相连,它们仍旧持续延长、分支或者与相邻的出芽在末端融合形成新的血管环并建立相邻的网络。细胞条索中央形成裂隙状管腔,紧接着血浆和血细胞进入后形成连续的管腔。血管发生的方式如图1-2-1B所示,未分化的间充质细胞聚集分化成原位血管母细胞,即属于一个内皮细胞系的前体细胞,组成细胞岛;血管母细胞组装成毛细血管样结构将成血母细胞(血细胞前体)包裹在管腔内。
毛细血管的重组是通过一种叫做套叠的过程发生的,毛细血管壁内陷形成相对的内皮细胞接触带。在内皮细胞接触的部位管腔内的结缔组织形成一个桩样结构,将毛细血管腔一分为二。毛细血管网继续通过套叠式微血管生长和简单膨胀方式发育。除此之外,内皮细胞通过覆盖已有的毛细血管内皮细胞而对毛细血管进行重组。小动脉和小静脉随后通过套叠式吸收和分支从毛细血管网发育而成(图1-2-2)。
图1-2-1 血管新生(angiogenesis)和血管生成(vasculogenesis)
A.毛细血管通过血管新生方式形成:内皮细胞及其胞突脱离基底膜的限制,在触发生长的信号通路的作用下,突入周围的组织中形成细胞被覆的管道(上层左向右)。此时的血管壁不稳定,局部内皮细胞基底膜和周围基质降解,内皮细胞伪足通过缺口伸展形成刺样结构。迁移的内皮细胞的顶端微刺结构形成出芽的顶端,此处缺乏基底膜。出芽后虽然仍与原来的潜在管腔或毛细血管相连,但新出芽的结构可以继续延长和分支或与邻近的出芽融合形成新的血管环,建立血管网(下层左向右所示)。融合后形成裂隙样管腔,血浆和血细胞进入完成连续的管道的形成;B.毛细血管通过血管生成形成:未分化的间充质细胞聚集在原位分化成血管母细胞(内皮细胞系的前体细胞)与血岛连接;血管母细胞组装成毛细血管样结构将成血母细胞(血细胞前体)包裹在管腔内。(引自Schoefl GI.Electron microscopic observations on the regeneration of blood vessels after injury.Ann N Y Acad Sci,1964,116:789-802)
图1-2-2 毛细血管的重构和生长:套叠式的微血管生长(IMG)和扩张
A.套叠过程:毛细血管腔相对的部分向中央生长直至相互接触,双层细胞中央形成穿孔后,内皮细胞相互融合形成跨血管腔的嵴,然后成纤维细胞或血管周细胞长入并加固;B.血管床的生长主要以简单膨胀、血管壁细胞长入和管腔直径加大及管壁延长的方式进行。(A.参考Kurz H,Burri PH,Djonov VG.Angiogenesis and vascular remodeling by intussusception:from form to function.News PhysiolSci,2003,18:65-70;B.参考 Schoefl GI.Electron microscopic observations on the regeneration of blood vessels after injury.Ann N Y AcadSci,1964,116: 789-802)
肺内中央动脉、静脉干及它们的分支是通过血管新生(angiogenesis)方式发育而成的,外周(胸膜下)肺血管系统则是通过血管发生(vasculogenisis)方式发育而成,两种发育方式同时进行。透射电镜观察发现早在气道发生之初(胚胎第9天)在肺间质胸膜下区域就存在丰富的充满血液的管道。此时这些管道与中央动脉没有连接。间叶细胞顶端的囊泡丢失形成细胞内空腔从而形成最初的血管腔,随后间叶细胞的突起变薄逐渐变化成内皮细胞样细胞。在胚胎中期(E13~E14)这两种血管系统才开始相互融合。虽然在胚胎假腺管期末期(E14.2~E16.6)中央毛细血管前血管和毛细血管后血管与远段血管网的连接是零星发生的,但在微管期(E16.6~E17.4)动脉-毛细血管-静脉循环的连接已经十分广泛。
研究表明内皮细胞的功能和分子表型具有血管特异性,即大血管与微血管有不同的分子表型,小血管的内皮细胞起源于间质细胞而大血管的内皮细胞来源于肺动脉干,由此表明肺的血管发育是一个结合的过程。虽然一般认为毛细血管在出生前通过血管新生和血管发生两种方式形成,而出生后主要通过血管新生形成,但仍有一些毛细血管在出生后通过血管发生的方式形成。因此,对于内皮细胞和来源于骨髓和循环血液中的内皮前体细胞在肺发育或损失肺组织中的作用是研究的热点。循环造血干细胞/前体细胞在发育中的肺组织和成人肺组织中的主要作用是促进毛细血管的生长和修复,在肺部疾病中能够在肺动脉壁上检测到循环造血干细胞。
生长因子(FGF)家族首先引起血管母细胞和造血细胞在间质形成。而后血管生长因子(VEGF)二聚体糖蛋白通过其受体酪氨酸激酶(RTKs), 尤其是 VEGF-R1(Flt-1),VEGF-R2(Flk-1/KDR)和VEGF-R3(Flt-4)调节血管形成,保持血管母细胞的分化和存活。VEGF-A和VEGF-D在发育中的肺内丰富表达,其中VEGF-A在整个胚胎时期肺间质内均有表达,而VEGF-D从胚胎E13.5天开始表达。肺内上皮细胞表达VEGF,其信号通路控制肺内的血管新生,刺激同族的酪氨酸激酶在内皮细胞表达。VEGF-R1和VEGFR2在血管新生和血管发生中尤其是在内皮细胞增殖、血管组装和管壁稳定等方面发挥作用。
二、动脉和静脉特化及分化
具有功能的血管最早出现在大鼠胚胎第11.5天的远端肺间质内,到E14.5天血管延伸到上皮细胞连接处(受到上皮细胞VEGF信号的调控)。尽管有血液流过,但此时的肺血管网缺乏动静脉特化。研究表明Notch受体和配体在发育中的肺血管网内和周围表达。Notch1-Notch4与5个配体作用,它们分别是 Delta-like 1、Delta-like 3、Delta-like 4、 Jagged1和 Jagged2。Notch1、 Notch4、Delta-like 4、Jagged1和Jagged2分别在动脉内皮细胞表达,但表达量较低,在动脉血管平滑肌表达但是静脉平滑肌无表达,Jagged1在动脉内皮细胞和平滑肌表达。Notch1和Jagged1在胚胎肺组织内先出现在大血管内,后出现在小的血管网络中。Forkhead box(Fox)f1转录因子-对肺血管发育至关重要的转录因子家族成员-介导Notch信号通路。
EphB4/ephrin B2信号对于正确的血管发育至关重要,其可能是在相似的血管融合中发挥作用。发育中的动脉内皮细胞特异表达ephrin B2,发育中的静脉内皮细胞特异表达 EphB4。Ephrin B2-/-和EphB4-/-小鼠在胚胎第9.5天和11.5天死于动脉静脉缺陷。出生后EphB4则成为血管重塑和血管网形成的负调控因子,促使血管从出芽性的血管新生转变成为血管壁环形生长。EphrinB2和EphB4也在间叶细胞表达,在内皮细胞和间叶细胞的相互作用中亦发挥重要作用。
三、肺血管和毛细血管壁的成熟(稳定)
在肺内已经形成的内皮细胞管道需要血管周细胞来稳定,它们与内皮基底膜紧密并列可以诱发分化,有可能是由于内皮细胞TGF-b的作用,后者能够抑制内皮细胞移动和增殖。在发育中的血管壁,血管周细胞分化成平滑肌细胞、外膜成纤维细胞和血管周细胞。血管周细胞主要分布在直接起源于血管壁的毛细血管和毛细血管后静脉。围绕着内皮细胞腔隙,它们起到连接相邻内皮细胞和连接相邻内皮细胞出芽的桥梁作用。在一些与毛细血管相邻的血管,血管周细胞发育成中间细胞。虽然间充质是血管周细胞前体细胞的重要来源,血管周细胞也可以来源于支气管平滑肌细胞和内皮细胞,因此也表达平滑肌细胞的表型。另外胚胎内皮细胞也能够变成表达平滑肌细胞蛋白表型的间充质细胞,因此可能也是血管周细胞的来源之一。紧接着,形成细胞骨架和收缩细丝的蛋白开始在血管周细胞内相继表达,先是α-平滑肌肌动蛋白(α-SMA),然后是钙调理蛋白(calponin)、 h-钙调素结合蛋白(h-caldesmon)、γ-原肌球蛋白(γ-tropomyosin)和变黏着蛋白(metavinculin)。平滑肌细胞肌球蛋白重链(smooth muscle myosin heavy chain,SM-MHC)SM1同型体出现在胚胎时期,SM-MHC SM2出现在出生后。
血管平滑肌细胞内的收缩细丝赋予血管壁抗张力和收缩能力。除了最小的静脉,在其他的血管平滑肌细胞被基底膜包围,细胞具有特征性的致密的细丝、梭形致密小体和黏着斑。在增殖和迁移时,这些细胞重新分布肌丝网(去分化)。在外周肺内,呼吸性细支气管和近端肺泡管水平,血管平滑肌细胞的胞突深入到周围的基膜形成侧侧连接,和相邻的内皮细胞基膜形成连接复合体。当血管逐渐变细成毛细血管时,内皮细胞连接的数量增加,它们的胞突深入周围的基膜和内弹力板与平滑肌细胞接触。在肺泡管和肺泡壁水平,中间细胞失去了基膜,与相邻的内皮细胞通过突起相连。血管壁的最外层由环形排列的外膜成纤维细胞形成。成纤维细胞和血管平滑肌细胞的数量决定了氧气的弥散能力。虽然这些成纤维细胞表达波形蛋白、肌动蛋白同型体和非肌性肌球蛋白,在一定的条件下,它们还可以表达两种平滑肌细胞特异性蛋白α-SMA和desmin。成纤维细胞的特征是具有阵列的微丝(直径4~6nm)、中间丝、胞饮泡和大量的粗面内质网,缺乏基底膜,胶原纤维和原纤维进入细胞和离开细胞边缘。毛细血管周细胞与内皮细胞共有基底膜,但通常缺乏致密的细丝网、致密体和黏着斑。它们的胞突通常延伸与内皮细胞接触,少量的缝隙连接使得核苷酸可以在细胞之间传递。在内皮细胞出芽时,这些连接可以阻止血浆从管腔内渗出到间质中。毛细血管血管周细胞可以不同程度地表达cGMP-依赖性激酶、肌动蛋白、desmin、波形蛋白、原肌球蛋白、肌球蛋白,对血管收缩剂或舒张剂都有反应。间质肌纤维母细胞是血管周细胞的另一个来源,拥有血管周细胞或平滑肌细胞的表型。
当血管壁的内外弹力板分别形成时,平滑肌细胞与周围的内皮细胞和外膜的成纤维细胞分开。在正常肺内平滑肌细胞生长的主要调节因素是弹性蛋白,而缺乏弹性蛋白基因的小鼠会发生阻塞性内膜增生。在发育中的肺组织,每种血管细胞(内皮细胞、平滑肌细胞和成纤维细胞)都可以生成弹性蛋白,虽然每一种对弹力板形成的贡献多少没有明确定论。出生后,动脉壁弹性蛋白原表达下降而静脉壁表达增加,恰好与胚胎时期的表达方式相反。大血管的基质和弹力板内存在的内皮他汀(内皮细胞增殖抑制剂)能够限制血管壁的出芽。
四、肺内远端血管和毛细血管网的形成
在出生前后肺的呼吸膜开始形成时,毛细血管网和小血管网也开始形成。在气道末端形成一个球囊,也称为终末囊或原始隔。原发隔形成的作用是在气道周围形成一个袖套样结构防止气道的随意分支。当继发嵴从原发隔突入时,分隔开始,继发隔形成,此时原发隔分为肺泡。继发隔在毛细血管和原发隔折叠的地方形成:在继发嵴发生的地方成纤维细胞增殖并拉长了继发隔到肺泡腔内。成纤维细胞在继发嵴的顶端组装,紧邻弹力纤维。新形成的肺泡间隔壁变薄,因为中间的组织萎缩,间质的成纤维细胞凋亡,毛细血管融合。
在假腺泡期,上皮细胞形成的管腔突入包含疏松毛细血管网的间质中。位于中间的间质减少,毛细血管分布在上皮周围。在上皮-毛细血管接触处,气血屏障开始变薄,肺泡Ⅰ型和Ⅱ型上皮开始形成,形成原发隔,原发隔由双重毛细血管网供血。在胎儿出生前后,继发嵴从原发隔突入,通过抬升原发隔双层毛细血管网的一层而形成继发隔。在继发嵴突入的地方,原发隔被分隔成肺泡。在继发嵴起始处成纤维细胞开始繁殖使继发隔开始延长并以直角突入肺泡腔内。由于成纤维细胞凋亡、毛细血管融合使得中间的组织退化,因此新形成的肺泡间隔开始变薄。在成熟的肺内,肺泡间隔包含单层毛细血管网(图1-2-3)。
图1-2-3 肺毛细血管床在胚胎和出生后的发育
A.在假腺泡期,包含疏松毛细血管网的上皮管道突入周围的间质中(左上),中间的间质减少,毛细血管围绕上皮排列。在上皮-毛细血管接触的地方,部分气血屏障因为肺泡Ⅰ型和Ⅱ型上皮形成而开始变薄(右上),然而在周边的上皮细胞仍然是立方上皮。出生前后,继发隔从原发隔基础上发生(左下,箭头):此时,所有的隔均为原始状态即包含双层毛细血管网和中央的结缔组织层。在成熟的肺内(右下)肺泡间隔包含单层毛细血管网。B.继发隔通过抬起原发隔双层毛细血管网中的一层形成(箭头),弹力蛋白沉积在间质中是肺泡形成必须的条件(黑色区域)。(参考Burri PH.Fetal and postnatal development of the lung.BurriAnnu Rev Physiol,1984,46: 617-628)
第三节 肺血管解剖学
肺脏含两套血液供应系统,分别是肺动脉系和支气管动脉系。肺动脉系统是肺的功能性血循环,负责将静脉血运送至肺内进行气血交换,而后将含氧的动脉血运送至全身。支气管动脉属于体循环系统,来自主动脉或肋间动脉,是肺的营养性血循环。肺循环系统分为肺动脉、肺小动脉、毛细血管、肺小静脉和肺静脉。
一、肺动脉系
从右心室发出后,肺动脉主干在主动脉弓的下方分出左、右肺动脉,分别进入左、右肺肺门。肺门处有支气管、血管、神经进出。通常肺动脉与气管支气管树伴行,位于支气管的侧后方(图1-3-1)。
图1-3-1 肺循环系统
肺动脉管壁由内向外分为三层,分别是内膜、中膜和外膜(图1-3-2)。内膜由内皮和内皮下层组成。内皮细胞为被覆于血管腔面的单层扁平上皮,附着在下方的基板上。内皮细胞与基板构成通透性屏障,液体、气体和大分子物质可选择性地透过此屏障。另外内皮细胞还具有复杂的酶系统,能合成与分泌多种生物活性物质,Weibel-Palade小体(W-P小体)是内皮细胞特有的细胞器,主要作用是合成和储存与凝血有关的第Ⅷ因子相关抗原。内皮细胞能够分泌具有强烈的缩血管作用的内皮素,内皮细胞还能够分泌具有舒张血管作用的内皮细胞舒张因子。内皮下层是位于内皮和内弹性膜之间的薄层结缔组织,内含少量胶原纤维、弹力纤维,有时有少许纵行平滑肌。肺动脉内皮下层较厚。
图1-3-2 主肺动脉,中膜(M)含平行排列的弹力板,外膜(E)较薄(ET+VG染色,低倍放大)
中膜位于内膜与外膜之间,由多层弹力板构成,弹力板之间有少量平滑肌和少量胶原纤维和弹性纤维。中膜基质的主要成分为硫酸软骨素。中膜的弹性纤维具有使扩张的血管回缩作用,胶原纤维起维持张力的作用。
外膜由疏松结缔组织组成,其中含螺旋状或纵向分布的弹性纤维或胶原纤维,还有小的滋养血管。肺动脉的外膜较薄,没有明显的外弹力板。
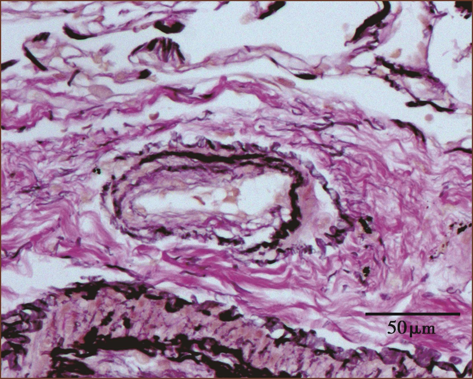
二、肺小动脉
肺小动脉壁同样有内、中、外膜三层结构,其中内、外弹力板明显,中膜含有较多的平滑肌和少量弹性纤维(肺肌型动脉)。随着管腔逐渐减小,中膜弹性纤维和平滑肌逐渐减少,至肺泡-毛细血管时完全消失。肺微细动脉为呼吸性细支气管、肺泡管和肺泡提供营养支持。肺小动脉中膜的平滑肌能够调节血液的分布,因此被称为阻力血管(图1-3-3和图1-3-4)。
三、肺静脉和静脉分支
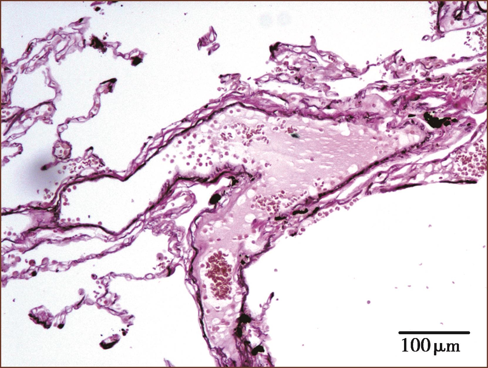
血液由肺毛细血管进入肺小静脉,然后注入肺静脉,而后进入心脏。肺静脉管壁也可分为内膜、中膜和外膜三层,但三层膜之间常无明显的界限。静脉壁的平滑肌和弹性组织不及动脉丰富,结缔组织成分较多(图1-3-5,图1-3-6)。小静脉常常仅有内膜和中膜两层结构,缺乏外膜。在中等和大静脉中膜很不发达,环形平滑肌分布稀疏。外膜一般比中膜厚,结缔组织内常有较多的纵行平滑肌。因为管壁较薄的特点,静脉能够收集大量的血液,因此被称为容量型血管。与肺动脉不同的是,肺静脉不与支气管伴行,而是远离支气管。外径60~100μm的肺小静脉常在肺小叶间隔走行,此段易与肺细小动脉区别。肺细小静脉如出现双层弹力板、肌性增厚,则称为静脉“动脉化”(正常成人此种动脉化约占静脉支数的2%),如超过2%提示有慢性肺静脉高压。在慢性心力衰竭、肺静脉高压患者可见到肺静脉壁增厚、内膜纤维化增厚(超出年龄性改变),严重时可引起管腔狭窄,继发肺动脉高压。每侧肺的肺静脉汇成两支大的静脉,穿出肺门。左右肺共四支肺静脉最终进入左心房。
图1-3-3 肺肌型动脉
中膜含较多平滑肌,内外弹力板明显(ET+VG染色,中倍放大)
图1-3-4 肺微细动脉
中膜无完整肌层,内弹力板完整,外弹力板不完整(ET+VG染色,中倍放大)
图1-3-5 肺内较大静脉,管壁薄,管腔较大(ET+VG染色,中倍放大)
图1-3-6 肺内细静脉,管壁结缔组织成分较多(ET+VG染色,中倍放大)
四、支气管循环系统
支气管动脉起自胸主动脉或肋间动脉,管径比同径肺动脉厚而管腔较小,为肌性动脉,有典型的内弹力板,无外弹力板(图1-3-7)。支气管动脉沿途在肺导气部和呼吸性细支气管管壁内,以及肺动脉、肺静脉管壁内和肺结缔组织内分支形成毛细血管,为支气管、肺组织提供营养。上述毛细血管部分汇入肺静脉,部分汇集成支气管静脉,与支气管伴行,由肺门出肺。
图1-3-7 支气管动脉,内弹力板完整,无外弹力板(ET+VG染色,中倍放大)
支气管动脉管壁常含纵行肌束,当发现大量纵行肌束及/或螺旋肌束造成管腔狭窄甚至闭锁时,为肺动脉-支气管动脉吻合处(图1-3-8)。正常情况下此种吻合很少开放,在肺动脉因病变阻塞时,支气管动脉通过此吻合支代偿地供应原肺动脉供血区。在慢性支气管扩张症、慢性肺脓肿、肺结核纤维化、肺间质纤维化、法洛四联症等疾病,可见此种肺动脉-支气管动脉吻合支增多、增大。
图1-3-8 支气管动脉-肺动脉吻合支(Masson染色,中倍放大)
体循环系与肺循环系的侧支循环途径:除上述吻合支外,还有支气管动脉系毛细血管网与肺动脉毛细血管网相交通;支气管动脉系的毛细血管前支或其毛细血管网与肺静脉也有吻合。支气管静脉与肺静脉之间,支气管静脉间都有吻合支,支气管动脉之间吻合少,肺动脉之间未见吻合支。支气管静脉常与支气管动脉伴行、位于支气管分支的外膜结缔组织内。支气管静脉壁薄、含有内皮细胞、基底膜,外层为薄而少的胶原纤维。
五、肺泡毛细血管网
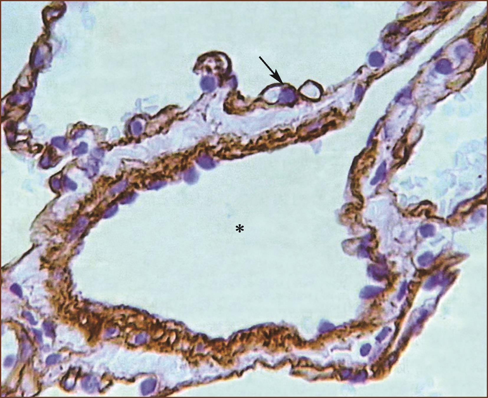
从无肌肺细动脉(毛细血管前动脉)发出致密的毛细血管网(图1-3-9),胸膜下、肺泡及血管间有疏松的胶原纤维,细淋巴管穿入肺毛细血管网,肺泡毛细血管网呈蛇形走行于肺泡壁间肺毛细血管网衬有内皮细胞,内皮细胞层外绕以基底膜,内皮细胞间的连接不像肺泡上皮细胞间连接那样紧密。肺泡毛细血管的内皮细胞胞质—肺泡间隔(内皮细胞及肺泡上皮细胞的基底膜)—肺泡上皮细胞胞质共同构成气-血屏障(blood-air barrier), 其厚度约1.6~1.8μm。
图1-3-9 为Ⅳ型胶原显示一支肺小静脉(∗)及邻近的肺泡、肺泡毛细血管(箭头所示)(免疫组织化学PAP法,中倍放大)
总之,肺循环系统在结构上、功能上比身体任何其他脏器的循环更复杂。肺循环系统又被分成肺泡外血管和角血管。肺泡外血管(动脉和静脉)具有疏松的结缔组织鞘围绕血管,此鞘内有肺细淋巴管发源。
六、肺淋巴管
由广泛的淋巴管网位于肺膜内、肺间质内及小叶间隔,在肺动脉周围的纤维结缔组织内、肺静脉和细支气管壁外层及大支气管黏膜内也可见细淋巴管网。在较大淋巴管壁内,可见内皮细胞层、基底膜和不规则的少量平滑肌细胞,组织结构与同一位置的肺静脉结构相似。在淋巴管内可见瓣膜组织。
七、正常胎儿肺动脉
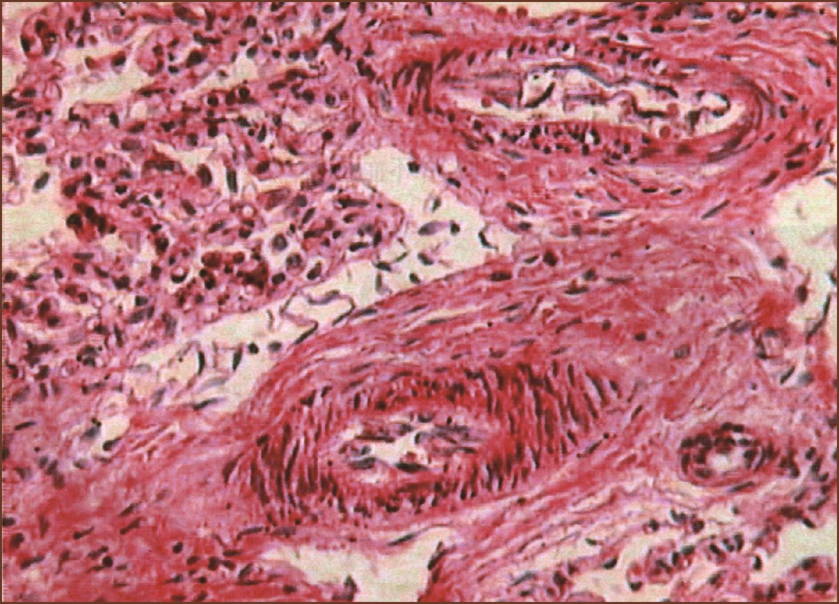
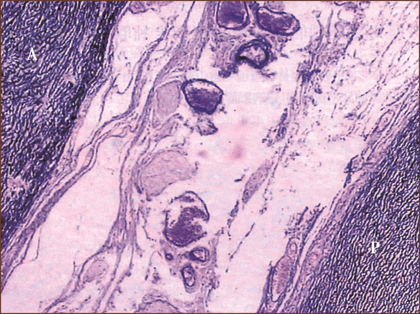
正常足月胎儿的肺动脉干(主肺动脉)的管壁厚度近似同体主动脉,弹力纤维丰富、呈板层状似主动脉壁结构(图1-3-10)。胎儿肺内动脉均较成人肺内动脉壁厚,肺细小动脉可见到完整的肌层,由于肺细小动脉收缩使内皮细胞呈立方状、柱状突入管腔,肺细小动脉的内皮细胞体积肥大,有的内皮细胞呈局限性隆起,呈矮丘状突向管腔,类似肺动脉的早期丛状病变,但不是丛状病变。有的作者称此肺动脉壁厚为 “胎儿期肺动脉高压形态”。出生后,因呼吸和肺膨胀使肺循环阻力下降,肺循环血流量增加,肺泡和肺血管继续发育,肺小动脉增多。正常新生儿肺弹力型动脉壁较成人肺弹力型动脉壁厚,弹力纤维丰富,内膜层亦较成人肺动脉内膜厚(图1-3-11)。在出生后18个月至2岁,肺动脉中膜的厚度可退缩达到成年人肺动脉肌层厚度水平,同时腺泡内肺细小动脉的大小、密度亦渐增加,一般约在8~10岁时,肺动脉树基本形成。如出生后上述肺动脉干弹力纤维不退缩,肺细小动脉肌层不变薄。这些提示新生儿患者存在先天性肺动脉高压,即新生儿持续(胚胎性)肺动脉高压(persistent pulmonary hypertension of the newborn-PPHN, 图1-3-12)。
图1-3-10 正常胎儿升主动脉(A)、肺动脉干(P),具有相似的丰富的弹力纤维板(ET+VG染色,低倍放大)
图1-3-11 正常胎儿肺内小动脉比正常成人肺小动脉中膜、外膜厚,内皮细胞胖大,呈乳头状突向管腔,肺泡腔未形成(Masson染色,中倍放大)
八、肺动脉老年性改变
肺动脉老年性变化在40岁以后明显,老年人肺动脉(弹力型)可见散在少量脂斑、脂点,内膜胶原及弹力纤维轻度增多,轻度内膜纤维化增厚(但此老年性变化应小于管腔内径的20%),在吸烟者内膜纤维化比不吸烟者更明显。老年性改变随年长而加重。
肺组织的老年性改变还可见肺静脉内膜轻度纤维化,肺泡间隔胶原纤维、弹力纤维增多,轻度肺泡性气肿等。
图1-3-12 出生后20天先天性心脏病室间隔缺损,矫治手术后肺动脉高压,呼吸循环衰竭死亡,图示肺小动脉肌层显著增厚,有PPHN(HE中倍放大)
(李莉 阮英茆)
参考文献
1.Jones RC,Capen DE.Textbook of Pulmonary Vascular Disease: Pulmonary Vascular Development. Boston:Springer,2011:25-60.
2.Kool H,Mous D,Tibboel D,et al.Pulmonary vascular development goes awry in congenital lung abnormalities.Birth Defects Res C: Embryo Today,2014,102(4):343-358.
3.Galie N,Torbick A,Barst R,et al.Guidelines on diagnosis and treatment of pulmonary arterial hypertension.European Heart Journal,2004,25(24): 2243-2278.
4.阮英茆,胡旭东,薛淦兴,等.先天性心脏病肺动脉高压性病变与血流动力学资料对照分析.中华心血管病杂志,1983,11(3):165-168.
5.Harris P,Heath D.The Human Pulmonary Circulation.2nd ed.Edinburgh: Churchill Livingstone,1977: 25-38,266-267,392,597-605.
6.阮英茆,司文学,张连庄,等.肺动脉高压尸检病例的肺动脉形态计量及胶原变化的观察.中华病理学杂志,1996,25(2): 89-927.
7.阮英茆.肺血管病:肺血管病病理学.北京:北京医科大学、协和医科大学联合出版社,1993:49-53.
8.Wagenvoort CA,Mooi WJ.Biopsy Pathology of the Pulmonary Vasculature.London:Chapman&Hall Medical,1989:24-50.
9.Wagenvoort CA,Wagenvoort N.Age Changes in Muscular Pulmonary Arteries. Arch Pathol,1965,79(1):524-528.
10.Peacock AJ,Rubin LJ.Pulmonary Circulation Disease and their Treatment.2nd ed.London:Hodder Arnold Publication,2004:14-20.


